Скачать презентацию ЖЕНСКАЯ ПОЛОВАЯ СИСТЕМА ПРЕПАРАТЫ 1 Яичник млекопитающего Окраска Скачать презентацию ЖЕНСКАЯ ПОЛОВАЯ СИСТЕМА ПРЕПАРАТЫ 1 Яичник млекопитающего Окраска

3 женская половая система.ppt

  • Количество слайдов: 10

ЖЕНСКАЯ ПОЛОВАЯ СИСТЕМА ПРЕПАРАТЫ 1. Яичник млекопитающего. Окраска гематоксилином и эозином, малое увеличение. 2. ЖЕНСКАЯ ПОЛОВАЯ СИСТЕМА ПРЕПАРАТЫ 1. Яичник млекопитающего. Окраска гематоксилином и эозином, малое увеличение. 2. Яичник. Гематоксилин и эозин, большое увеличение. 3. Яичник. Корковое вещество. Гем. и эоз, большое увелич. 4. Растущий вторичный фолликул. Гем. и эоз, большое увел. 5. Желтое тело в стадии расцвета. Гем. и эоз, малое увелич. 6. Желтое тело. Гем. и эоз, большое увелич. 7. Матка. Гем. и эоз, малое увелич. 8. Лактирующая молочная железа. Гем. и эоз, малое увелич. 9. Лактирующая молочная железа. Гем. и эоз, большое увел.

7 2 1 Яичник. Г/э, м/у 7 6 8 9 5 5 3 4 7 2 1 Яичник. Г/э, м/у 7 6 8 9 5 5 3 4

12 13 Яичник. Г/э, б/у 14 10 5 9 6 7 4 8 11 12 13 Яичник. Г/э, б/у 14 10 5 9 6 7 4 8 11 1 3 2 1

Яичник. Корковое вещество Г/э, б/у 6 2 1 4 3 3 7 5 Яичник. Корковое вещество Г/э, б/у 6 2 1 4 3 3 7 5

Растущий вторичный фолликул. Г/э, б/у. 1 5 3 2 4 4 Растущий вторичный фолликул. Г/э, б/у. 1 5 3 2 4 4

Желтое тело в стадии расцвета. Г/э, м/у. 1 2 1 1 2 2 Желтое тело в стадии расцвета. Г/э, м/у. 1 2 1 1 2 2

Желтое тело. Г/э, б/у. 1 2 3 1 1 2 Желтое тело. Г/э, б/у. 1 2 3 1 1 2

Матка. Г/э, м/у. 6 12 6 11 4 9 5 6 7 8 1 Матка. Г/э, м/у. 6 12 6 11 4 9 5 6 7 8 1 10 3 2

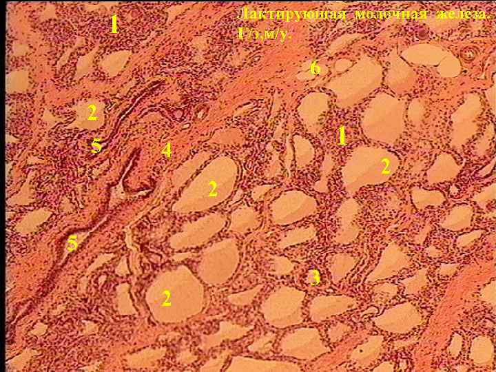
Лактирующая молочная железа. Г/э, м/у. 1 6 2 5 1 4 2 2 5 Лактирующая молочная железа. Г/э, м/у. 1 6 2 5 1 4 2 2 5 2 3

Лактирующая молочная железа Г/э, б/у. 4 5 1 4 2 2 3 1 Лактирующая молочная железа Г/э, б/у. 4 5 1 4 2 2 3 1