ЖЕЛЧНОКАМЕННАЯ БОЛЕЗНЬ.ppt
- Количество слайдов: 69
ЖЕЛЧНОКАМЕННАЯ БОЛЕЗНЬ
• Желчнокаменная болезнь или холелитиаз — это • обменное заболевание гепатобилиарной системы, характеризующееся образованием желчных камней в желчном пузыре (холецистолитиаз), печеночных желчных протоках (внутрипеченочный холелитиаз) или в общем желчном протоке (холедохолитиаз). Чаще желчные камни формируются в желчном пузыре и гораздо реже в желчном пузыре и желчных протоках одновременно. Желчнокаменная болезнь является распространенной патологией, наблюдается чаще у женщин. Истинную заболеваемость охарактеризовать чрезвычайно трудно, поскольку у значительного числа людей болезнь длительно протекает латентно. По данным американских авторов, приблизительно у 1 млн жителей США ежегодно формируются желчные конкременты, а затраты на медицинскую помощь при холелитиазе оцениваются более чем в 5 млрд долларов в год.
nразличают дно (1), тело (2), шейку (3), переходящую в пузырный проток (4).
Анатомические сведения • Термин "холецистит" в переводе с греческого означает воспаление желчного пузыря. Воспаление желчного пузыря регистрируется почти у 10% населения планеты, причем в 3 -4 раза чаще страдают от холецистита женщины. На возможность заболевания холециститом влияют возраст и вес (масса) тела: чем старше человек и чем он больше весит, тем выше опасность возникновения и развития хронического холецистита.
• Топография образований, заключенных в печеночно-двенадцатиперстной связке. Стрелкой показан вход в bursae omentalis через сальниковое отверстие: 1 — ductus hepaticus communis; 2 — ramus sinister a. hepaticae propriae; 3 — ramus dexter a. hepaticae propriae; 4 — a. hepatica propria; 5 — a. gastrica dextra; 6 — a. hepatica communis; 7 — ventriculus; 8 — duodenum; 9 — a. gastroduodenalis; 10 — v. portae; 11 — ductus choledochus; 12 — ductus cysticus; 13 — vesica fellea
Патогенез желчнокаменной болезни • Одна из форм желчнокаменной болезни связана с нарушением метаболизма холестерина и желчных кислот (холестериновые камни), другая — с превращением билирубина (билирубиновые или пигментные камни). Чаще встречаются холестериновые камни. На их образование влияют три основных фактора: осаждение моногидрата холестерина в виде кристаллов, перенасыщенность печеночной желчи холестерином и гипокинезия желчного пузыря. Известно, что холестерин в норме благодаря желчным кислотам и фосфолипидам сохраняется в растворенном состоянии в виде макромолекулярных агрегатов, называемых смешанными мицеллами. Если количество этих двух холестеринудерживающих факторов снижается ниже критического уровня, создаются благоприятные условия для выпадения холестерина в осадок. Обычно при высоких темпах секреции желчных кислот, например во время еды, желчь недонасыщена холестерином, а когда темп секреции желчных кислот снижается, процент насыщения желчи холестерином возрастает. В межпищеварительном периоде, особенно после ночного голодания, содержание холестерина в желчи возрастает, а желчных кислот снижается. В ряде случаев образование литогенной желчи может быть связано с усиленной секрецией холестерина, что нередко наблюдается при ожирении.
• Макропрепараты желчного пузыря при желчнокаменной болезни: а — большой пигментно-холестериновый камень, заполняющий просвет желчного пузыря; стенки пузыря утолщены, на его внутренней поверхности имеются пролежни (указаны стрелками); б — мелкие фасетированные холестериново-пигментные камни в просвете желчного пузыря.
• Предпосылкой к изменению физико-химических свойств желчи, при котором она становится литогенной, является взаимоотношение таких факторов, как генетическая предрасположенность, дисгормональные расстройства, нерациональное питание, нарушения обмена веществ и печеночнокишечной циркуляции основных составных частей желчи. Факторами, способствующими образованию пигментных желчных камней, являются состояния с ускоренным обменом гемсодержащих веществ, прежде всего гемоглобина (гемолитические анемии), и нарушения обмена порфиринов (циррозы печени, врождённые и приобретённые порфирии).
Клинические стадии и формы желчнокаменной болезни • Выделяют три стадии и шесть форм желчнокаменной болезни. Первая стадия — физико-химическая, во время которой печень продуцирует желчь, перенасыщенную холестерином, с уменьшенным содержанием в ней желчных кислот и фосфолипидов. У пациентов отсутствуют клинические симптомы болезни, диагноз основывается на результатах исследования пузырной желчи (порция В). Выявляется нарушение мицеллярных свойств желчи, в ней обнаруживаются холестериновые «хлопья» , кристаллы и их преципитаты. Камней в желчном пузыре нет. Первая стадия желчнокаменной болезни может бессимптомно протекать в течение многих лет. Лечебно-профилактические мероприятия в эту стадии заболевания включают общегигиенический режим, систематическую физическую нагрузку, рациональное дробное питание с исключением алиментарных излишеств (высококалорийной и богатой холестерином пищи, особенно при ожирении и наследственной предрасположенности). К профилактическим мерам относят также адекватное лечение больных с нарушением функции желудочно-кишечного тракта (дисбактериоз кишечника, колиты и др. ).
• Вторая стадия (латентная, бессимптомная, камненосительство) характеризуется теми же физикохимическими изменениями в составе желчи, что и в первой стадии, но с формированием камней в желчном пузыре без ярких клинических проявлений заболевания. Процесс камнеобразования на этом этапе связан не только с физико-химическими изменениями желчи, но и с присоединением желчно-пузырных факторов патогенеза (застой желчи, повреждение слизистой оболочки, повышающее проницаемость стенки пузыря для желчных кислот, воспаление), нарушениями в печеночно-кишечной циркуляции желчных кислот и др. Большинство камней, находящихся на дне желчного пузыря, никак себя не проявляют. Продвижение камней в пузырный проток и закупорка его приводят к развитию холецистита, который прекращается, если устраняется обструкция протока, или прогрессирует с развитием осложнений.
• Третья стадия — клиническая. Желчнокаменная болезнь может сопровождаться клиникой хронического холецистита в фазе обострения, затухающего обострения (неполная ремиссия) и ремиссии, а также острого холецистита. Формы желчнокаменной болезни: - Латентная (камненосительство); - Диспепсическая (боль в эпигастрии, изжога, метеоризм, неустойчивый стул); - Желчная колика и хронически-рецидивирующая форма (резкие боли, тошнота, рвота, без признаков воспаления); - Болевая (постоянные давящие боли в правом подреберье); - Стенокардитическая (иррадиация болей в область сердца); - Синдром Сейнта (ЖКБ + диафрагмальная грыжа + дивертикулёз толстой кишки).
Профилактика желчнокаменной болезни • Первую стадию желчнокаменной болезни можно диагностировать, если провести соответствующие биохимические исследования желчи, главным образом порции С. Для литогенной желчи характерны перенасыщение желчи холестерином, снижение концентрации в ней желчных кислот и фосфолипидов, а также гипокинезия желчного пузыря и поражение паренхимы печени. В целях профилактики прогрессирования желчнокаменной болезни (перехода во вторую стадию — латентную, бессимптомное камненосительство) рекомендуется изменить режим питания и образ жизни. Эффективность профилактических мер зависит от их четкого соблюдения пациентом. Во второй стадии (латентного камненосительства) целью профилактики является предотвращение формирования осложнений желчнокаменной болезни и последствий холецистэктомии. Адекватная тактика ведения пациента на этой стадии определяется совместно терапевтом и хирургом. Для первичной профилактики желчнокаменной болезни рекомендуется:
• * В целях устранения застоя желчи и улучшения ее качества следует соблюдать диету, при этом принимать пищу не реже 5 раз в день (первый завтрак - около 8 часов, второй - в 11 часов, обед - в 14 часов, полдник - в 17 часов и ужин - в 21 час). Для больных, предрасположенных к развитию желчнокаменной болезни, а также на первой стадии заболевания не существует запрещенных продуктов и блюд. Неторопливый прием пищи в строго определенное время стимулирует секрецию пищеварительных соков (в том числе желчи) и моторно-эвакуаторную функцию полых органов (в том числе и желчного пузыря). В рацион питания следует включать мясо, рыбу, жиры, овощи, фрукты и их соки. Нельзя допускать снижения трудоспособности, увеличения массы тела (тучность, ожирение); необходимы ночной сон достаточной продолжительности, ежедневный оформленный стул и достаточное и безболезненное мочеиспускание; не рекомендуется курить и употреблять алкогольные напитки даже в так называемых "малых" количествах. * Если имеют место склонность к запорам или затрудненный, удлиненный или болезненный акт дефекации, необходимо прежде всего исключить органическую патологию (геморрой, язвенную болезнь, дивертикулярную толстокишечную болезнь, полипоз прямой и ободочной кишки, колоректальный рак и др. ), далее внести соответствующие изменения в режим питания и образ жизни (ежедневно употреблять не менее 0, 5 кг овощей и фруктов, довести употребление жидкости до 1, 5 -2 л в сутки, употреблять только "темные" сорта хлеба, повысить ежедневную физическую активность (ходьба быстрым шагом, плавание и т. д. ), после приема пищи принимать препарат аллохол в количестве 3 -4 таблеток в сутки. Рекомендуется так называемый "утренний блок": вечером замочить в кипятке от 4 до 10 плодов чернослива (приготовить настой), а утром выпить его и съесть плоды. Затем позавтракать с обязательным употреблением стакана любого сока и небольшого количества салата из свежих овощей или фруктов.
• * При идиопатическом функциональном запоре наряду с соблюдением соответствующих диетического и физического режимов возможно на короткое время назначать слабительные средства, преимущественно мукофальк или ламинарид (по 4 чайные ложки гранул в сутки) либо форлакс (по 2 пакетика в сутки), либо лактулозу (30 мл сиропа или 20 г гранул в сутки). Другие слабительные средства используются реже. * При вовлечении в процесс печени (жировой гепатоз, реактивный гепатит со слабой активностью и др. ) наряду с соответствующими пищевым и физическим режимами на длительный период назначаются препараты, обладающие гепатопротективным и желчегонным эффектом (гепабене по 2 капсулы в сутки в течение года). * Литогенность желчи с успехом устраняется при длительном (многомесячном) применении хенодеоксихолевой кислоты (хеносана, хенофалька, хенохола и др. ) в сочетании с урсодеоксихолевой кислотой (урсофальком, урсосаном и др. ) из расчета 5 -10 мг/кг массы тела. Например, перед сном принимают 12 капсулы хенохола и 1 -2 капсулы урсофалька в течение 6 месяцев.
• * Профилактика образования коричневых и черных пигментных камней в желчном пузыре и протоках включает терапию больных с хроническим гемолизом (спленэктомию, санацию билиарного тракта и др. ), соблюдение соответствующего режима питания, ведение здорового образа жизни. В ряде случаев возможно дополнительное назначение холеретиков и холекинетиков, приостанавливающих процесс камнеобразования. * Учитывая холекинетическую роль интестинальных гормонов, образующихся в слизистой оболочке двенадцатиперстной кишки (холецистокинина, секретина и др. ), а также вовлечение в воспалительный и, как следствие, в атрофический процесс ее слизистой из-за избыточного бактериального роста, целесообразно провести курсовую антибактериальную терапию (кларитромицин 500 мг 2 раза в день + метронидазол или тинидазол по 500 мг 2 раза в день в течение 5 дней). Противогельминтозная и противопаразитарная терапии проводятся по показаниям.
• * Желчнокаменная болезнь чаще возникает при наличии наследственной предрасположенности (отягощенности), заболеваний печени (жирового гепатоза, гепатитов, цирроза и др. ), нарушений процессов пищеварения и всасывания, обусловленных панкреатитом, дуоденитом, энтеропатиями, моторно-эвакуаторными расстройствами кишечника, включая запоры. Это заболевание нередко встречается у женщин. Возникновению желчнокаменной болезни способствуют беременность, избыточная масса тела, а также ряд заболеваний и вредных привычек (злоупотребление алкоголем, курение). В связи с этим профилактика желчнокаменной болезни состоит в нормализации функционального состояния печени и билиарной системы, включая желчный пузырь, двенадцатиперстную кишку, поджелудочную железу, и адекватном лечении имеющихся заболеваний. Особое внимание следует обратить на сохранность физической и умственной активности, аппетита, нормализацию индекса массы тела (20 -25), купирование симптомов тех или иных заболеваний, включая гемолитическую анемию (например, спленэктомия при болезни Минковского-Шоффа и т. д. ).
ХОЛЕЦИСТИ Т
Этиология • К воспалению желчного пузыря приводят следующие факторы: > инфицирование - желчный пузырь может по- ражаться микроорганизмами, которые проникают в него из больных зубов, инфицированных миндалин, уха, больных придатков матки и других очагов хронической инфекции. Пути проникновения микроорганизмов в стенку и полость желчного пузыря могут быть различными: с током крови (гематогенный путь инфицирования), с током лимфы (лимфогенный путь), из двенадцатиперстной кишки вверх (восходящий), из печени вниз (нисходящий);
• > пищевое отравление; • >перенесенное воспаление придатков матки; • • • >паразиты, прежде всего лямблии, аскариды, опистархии; >застой желчи, которому способствуют малоподвижный образ жизни, избыточный вес тела, наличие камней в желчном пузыре, врожденная деформация пузыря; > воспаление тонкого кишечника (дуоденит), печени (гепатит); >тупые травмы живота в области правого подреберья, а также значительные ожоги; >в некоторой степени наследственная предрасположенность
ОСТРЫЙ ХОЛЕЦИСТИТ • Острый холецистит, острое воспаление желчного пузыря, - одно из наиболее распространенных хирургических заболеваний, которое по частоте занимает второе место после аппендицита. Классификация острого холецистита 1. Калькулёзный, бескаменный. 2. Клинико-морфологические формы: · простой, · флегмонозный, · гангренозный, · прободной. 3. Осложнения острого холецистита: · околопузырный инфильтрат, · околопузырный абсцесс, · панкреатит, · перитонит.
Этиология и патогенез острого холецистита • Возникновение острого холецистита связано с действием нескольких этиологических факторов. При этом ведущая роль в его развитии принадлежит желчной гипертензии, вызванной обтурацией пузырного протока камнем. Определённое место в патогенезе острого холецистита, особенно у пожилых людей, занимают сосудистые нарушения в стенке желчного пузыря за счёт тромбоза пузырной артерии или атеросклеротических изменений с развитием очагов некроза и перфорации. Нарушение оттока желчи при обтурации или сосудистой ишемии ведёт к бурному развитию не только патогенной, но и условно-патогенной микрофлоры. В желчный пузырь инфекция проникает тремя путями: гематогенным, лимфогенным и энтерогенным. Считается, что гематогенный путь является основным путем его инфицирования. При этом микрофлора попадает в желчный пузырь, как правило, из кишечника по воротной вене пройдя через печень. Лишь при снижении фагоцитарной активности печени микробы проходят через клеточные мембраны в желчные капилляры и с током желчи попадают в желчный пузырь. Обычно микробы гнездятся в стенке желчного пузыря, которая в результате хронических изменений склерозирована и атрофична, что снижает его сократительную способность и дренажную функцию. На фоне этих изменений острое воспаление желчного пузыря протекает с более глубокими морфологическими поражениями.
Клиника острого холецистита • Клиническая картина острого холецистита многообразна, что зависит от патологоанатомической формы воспаления желчного пузыря, распространенности перитонита и наличия сопутствующих изменений в желчных протоках. Заболевание начинается, как правило, внезапно после приёма жирной или острой пищи. Его развитию нередко предшествует приступ желчной колики, который купируется самостоятельно или после введения спазмолитических препаратов. Через несколько часов приступ может рецидивировать с клинической картиной острого холецистита. Ведущим признаком острого холецистита является сильная и постоянная боль в правом подреберье, интенсивность которой по мере прогрессирования заболевания нарастает. Она может иррадиировать в правую надключичную область, плечо, лопатку или в поясничную область. Иногда боли иррадиируют в область сердца, что может расцениваться как приступ стенокардии (холецистокоронарный синдром, описанный С. П. Боткиным).
• Другим постоянным симптомом острого холецистита является тошнота и повторная рвота, которая не приносит больному облегчения. Повышение температуры тела отмечается с первых дней заболевания. Характер ее во многом зависит от глубины патоморфологических изменений в желчном пузыре. Состояние больного бывает различным, что зависит от тяжести заболевания. Кожные покровы обычной окраски. Умеренная желтуха склер наблюдается при реактивном гепатите и при воспалительной инфильтрации внепеченочных желчных протоков с застоем желчи в них. Появление яркой желтухи кожи и склер указывает на механическое препятствие нормальному оттоку желчи в кишечник, что может быть связано с закупоркой желчного протока камнем или со стриктурой терминального отдела общего желчного протока. Частота пульса колеблется от 80 до 120 ударов в 1 мин и выше. Частый пульс — это грозный симптом, свидетельствующий о глубокой интоксикации и тяжелых морфологических изменениях в брюшной полости. При осмотре живота брюшная стенка участвует в акте дыхания, при этом больной щадит область правого подреберья во время глубокого вдоха. Пальпаторно живот болезненный, а при деструктивных формах локально напряжён в правом подреберье. В пузырной точке, ориентирами которой является место пересечения наружного края прямой мышцы живота и края рёберной дуги справа, в ряде случаев удается пальпировать увеличенный и напряжённый желчный пузырь.
• Специфическими симптомами острого холецистита являются симптомы Ортнера-Грекова, Кера, Мерфи и Мюсси-Георгиевского (френикус-симптом). Симптом Ортнера-Грекова — это боль в проекции желчного пузыря при поколачивании правой реберной дуги согнутыми пальцами кисти. Симптом Кера — болезненность при пальпации желчного пузыря, резко усиливающаяся во время вдоха. Симптом Мерфи определяется следующим образом. Исследующий левой кистью фиксирует грудную клетку справа со стороны спины, а первый и второй палец раскрытой правой кисти располагает в проекции желчного пузыря. Просят больного выдохнуть, а затем глубоко вдохнуть. Появление при этом боли под первым пальцем раскрытой правой кисти будет говорить о положительном симптоме Мерфи. Симптом Мюсси-Георгиевского — болезненность при пальпации между ножками грудиноключичнососцевидной мышцы. При переходе воспалительного процесса на париетальную брюшину помимо напряжения брюшных мышц появляется положительный симптом Щеткина — Блюмберга.
Диагностика острого холецистита • В клиническом анализе крови отмечается высокий лейкоцитоз, сдвиг лейкоцитарной формулы влево и увеличение СОЭ. УЗИ в настоящее время является основным аппаратным методом диагностики острого холецистита. В начальной стадии заболевания обнаруживают увеличение размеров желчного пузыря, утолщение его стенки. По мере прогрессирования заболевания воспалительных изменений она становится слоистой, может выявляться феномен «двойного контура» стенки, что свидетельствует о наличии деструктивных изменений Диагностическая лапароскопия, являясь инвазивным методом, применяется лишь в наиболее сложных случаях, возникающих у больных острым холециститом. Абсолютным показанием к её выполнению является ситуация, когда при наличии явных клинических проявлений острого деструктивного холецистита УЗИ не выявляет воспалительных изменений желчного пузыря. В такой ситуации клиническая картина заболевания может быть обусловлена острым аппендицитом или другим заболеванием, требующим экстренного хирургического вмешательства.
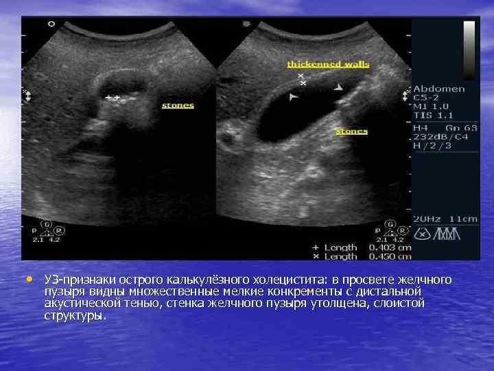
• УЗ-признаки острого калькулёзного холецистита: в просвете желчного пузыря видны множественные мелкие конкременты с дистальной акустической тенью, стенка желчного пузыря утолщена, слоистой структуры.
• Лапароскопическая картина гангренозного холецистита.
Особенности острого холецистита у больных старческого возраста • Заболевание возникает, как правило, при наличии различных фоновых терапевтических заболеваний. При этом воспаление желчного пузыря часто носит деструктивный характер, быстро наступает омертвление стенки за счёт как агрессивности инфекционного процесса, так и местного нарушения кровообращения на фоне атеросклеротических изменений артерий. Тяжесть состояния больного усугубляется декомпенсацией имеющихся сопутствующих и конкурирующих заболеваний. Клинические проявления острого холецистита у лиц старческого возраста могут соответствовать классической картине заболевания и легко диагностироваться. Однако нередко заболевание протекает с отступлением от привычной клиники. В частности, именно у этих больных острый холецистит может обусловлен тромбозом пузырной артерии, а не обтурацией шейки пузыря камнем. При этом клиническая картина заболевания развивается стремительно. Заболевание начинается внезапно. Как правило, отсутствует связь с диетическими нарушениями. В первые часы заболевания нет клинических проявлений желчной колики. Боли носят постоянный, интенсивный характер, локализуются в правом подреберье. Уже в первые часы заболевания появляются признаки эндогенной интоксикации: повышается температура тела, появляется слабость, резко повышается лейкоцитоз, а к исходу первых суток возникает существенный сдвиг формулы крови влево.
• При пальпации живота уже в первые часы заболевания имеются выраженная болезненность и напряжение мышц в правом подреберье. Указанные симптомы быстро распространяются на всю правую половину живота, а затем и весь живот. Становится положительным симптом Щёткина-Блюмберга. Атипизм клинических проявлений воспаления желчного пузыря может заключаться и в весьма скудной клинической картине с минимальными болевыми ощущениями. В таких случаях характерно позднее обращение за медицинской помощью. На момент госпитализации у больных уже может сформироваться околопузырный инфильтрат, нередко, с абсцедированием, или перитонит, другие осложнения.
Лечебная тактика при остром холецистите • В настоящее время принято, что тактика хирурга при остром холецистите должна быть активно-выжидательной. Основные её принципы состоят в следующем. 1. Показаниями к экстренной операции, которая выполняется в первые 2— 3 ч с момента госпитализации больного, являются гангренозный и прободной холециститы, осложненные диффузным или разлитым перитонитом. 2. Показаниями к ранней срочной операции, которая производится в первые сутки с момента поступления больного в стационар, либо поздней срочной операции, которая производится в первые трое суток с момента поступления больного в стационар, являются отсутствие эффекта от консервативного лечения при сохранении симптомов интоксикации и местных перитонеальных явлений, а также случаи нарастания общей интоксикации и появления симптомов раздражения брюшины, что свидетельствует о прогрессировании воспалительных изменений в желчном пузыре и брюшной полости.
• 3. При отсутствии симптомов интоксикации и местных перитонеальных явлений больным проводится консервативное лечение. Если в результате консервативных мероприятий удается купировать воспалительные явления в желчном пузыре, вопрос об операции у них решается индивидуально после всестороннего клинического обследования, включая рентгенологическое исследование желчных протоков и желудочно-кишечного тракта. Оперативное вмешательство у данной категории больных выполняют в «холодный» период (не ранее 14 дня с начала заболевания), как правило, не выписывая больных из стационара.
Консервативное лечение острого холецистита • 1. Голод в течение 2— 3 дней. 2. Локальная гипотермия – применение «пузыря» со льдом на область правого подреберья. 3. Промывание желудка при сохранении тошноты и рвоты. 4. Адекватное обезболивание: Ненаркотические анальгетики: - Анальгин – в/м или в/в по 250 -500 мг 3 раза в сутки. Максимальная разовая доза – 1 г, суточная – 2 г, или - Баралгин – в/в медленно (по 1 мл в течение 1 мин) по 2 мл; при необходимости вводят повторно через 6 -8 ч. В/м – 2 -5 мл раствора 2 -3 раза в день. Суточная доза не должна превышать 10 мл. Продолжительность лечения – не более 5 дней.
• Спазмолитики - Но-шпа – в/м 40 -80 мг 1 -3 раза в сутки или в/в медленно 40 -80 мг, или - Дроверин - в/м 40 -80 мг 1 -3 раза в сутки или в/в медленно 40 -80 мг - Платифиллин - п/к 1 -2 мл 0. 2 % раствора 1 -2 раза в сутки, или - Атропин – п/к, в/м или в/в 0. 25 -1 мг 1 -2 раза в сутки. Новокаиновая блокада круглой связки печени. Техника выполнения. Положение больного на спине. Тонкой иглой строго по средней линии на расстоянии 3 см выше пупка 0, 25 % раствором новокаина анестезируется кожа. После смены иглы производится прокол белой линии живота. Продвижению иглы предпосылается введение новокаина. После прокола апоневроза продвижению иглы прекращается. В клетчатку круглой связки печени вводится 200 - 300 мл 0, 25 % раствора новокаина. Противопоказания: непереносимость местных анестетиков; наличие рубцов, грыж в зоне анестезии; артериальная гипотония.
• Блокада круглой связки печени.
• 5. Коррекция водно-электролитных, метаболических нарушений (объём инфузии зависит от тяжести состояния больного) - 5 -10 % р-р глюкозы в/в, - 0, 9 % р-р Na. Cl в/в, - Р-р Рингера в/в. 6. Антибактериальная терапия: Препараты выбора: - Цефтриаксон – в/в 1 -2 г/сут + метронидазол – в/в 1, 5 -2 г/сут; - Цефоперазон – в/в 2 -4 г/сут + метронидазол в/в 1, 5 -2 г/сут; - Ампициллин/сульбактам – в/м или в/в 6 г/сут; - Амоксициллин/клавуланат – в/м или в/в 3, 6 -4, 8 г/сут. Альтернативный режим: - Гентамицин или тобрамицин – в/м или в/в 3 мг/кг в сутки + ампициллии - в/м или в/в 4 г/сут + метронидазол – в/в 1, 5 -2 г/сут; - Нетилмицин – в/м или в/в 4 -6 мг/кг в сутки + метронидазол – в/в 1, 5 -2 г/сут; - Цефепим – в/м или в/в 4 г/сут + метронидазол – в/в 1, 5 -2 г/сут; - Фторхинолоны (ципрофлоксацин – в/в 400 -800 мг) + метронидазол – в/в 1, 5 -2 г/сут).
Хирургическое лечение острого холецистита • Объем оперативного вмешательства при остом холецистите он определяется общим состоянием больного, тяжестью основного заболевания и наличием сопутствующих изменений во внепеченочных желчных протоках. Операцией выбора при остром холецистите является холецистэктомия. Техника операции. Брюшная полость вскрывается посредством верхнесрединной лапаротомии, реже разрезом по С. П. Федорову, Кохеру, Керу или Рио-Бранко. После вскрытия брюшной полости рану растягивают ранорасширителем и приступают к ревизии желчного пузыря, внепечёночных желчных протоков, органов брюшной полости. Нередко при острых и хронических воспалительных процессах в пузыре имеются сращения между пузырем и окружающими органами, поэтому ревизию и удаление желчного пузыря следует начинать с разъединения сращений. Закончив ревизию желчного пузыря и желчных протоков, брюшную полость отгораживают марлевыми салфетками. При удалении желчного пузыря "от шейки" для лучшего контурирования желчного протока следует захватить желчный пузырь ближе к шейке окончатым зажимом Люэра и несколько натянуть его. Брюшину вдоль пузырного протока и частично по свободному краю печеночно-двенадцатиперстной связки рассекают ее на протяжении 2 — 4 см. Отодвигая тупфером или диссектором брюшину, осторожно выделяют со всех сторон пузырный проток до места его впадения в холедох.
• Пузырный проток пересекают между двумя зажимами, наложенными на 1— 1, 5 см от места впадения его в общий желчный проток и перевязывают. Затем приступают к перевязке пузырной артерии (а). Для облегчения этого этапа операции пузырную часть протока подтягивают книзу и кпереди. После этого брюшину, покрывающую желчный пузырь, рассекают с одной и другой стороны, отступя на 1, 5 см от места перехода ее на печень. Брюшину сдвигают к печени и частично тупо, частично остро выделяют желчный пузырь и удаляют его (б). Как правило, после холецистэктомии из ложа пузыря бывает более или менее выраженное кровотечение. Последнее обычно останавливают прижатием сухой или смоченной в горячем физиологическом растворе салфеткой. После чего ложе ушивают непрерывным кетгутовым швом (в). К Винслову отверстию устанавливают дренаж, который выводят через контрапертуру в правом подреберье. По показаниям к ложу желчного пузыря подводят марлевые тампоны. Рану брюшной стенки зашивают послойно наглухо. У больных, находящихся в тяжёлом состоянии может быть выполнена холецистостомия. Как и холецистэктомия она может быть проведена посредством лапароскопии или из минидоступа.
Холецистэктомия "от шейки".
Хронический холецистит • Основное клиническое проявление хронического холецистита - боль, возникающая, как правило, после обильной трапезы с жареной и жирной пищей, реже - после стресса или значительного физического напряжения. Интенсивность боли может быть резкой, по типу классической желчной колики, или умеренной. Болевой приступ может продолжаться от нескольких часов до нескольких дней. Боль появляется примерно спустя 50 -90 минут после приема пищи, как правило, в правом подреберье, иногда не имеет определенной локализации или локализуется в подложечной области, а также вокруг пупка. Боль обычно ноющего характера, монотонная, приступ по типу желчной колики наблюдается нечасто. Боль может сопровождаться тошнотой и отрыжкой.
• Горечь во рту - довольно характерный признак • • холецистита, причем это ощущение может беспокоить пациента и вне приступа. Отрыжка при холецистите сопровождается обычно горечью; также больные нередко указывают на постоянный горький вкус во рту. Тошнота и рвота - довольно частый симптом у страдающих холециститом. Рвотные массы содержат примесь желчи. Если отмечается упорная, частая рвота, то выделения содержат практически чистую желчь, без пищевых масс. Аппетит у больного холециститом может быть понижен или, наоборот, повышен.
• Тошнота и рвота - довольно частый симптом у страдающих холециститом. Рвотные массы содержат примесь желчи. Если отмечается упорная, частая рвота, то выделения содержат практически чистую желчь, без пищевых масс. • Аппетит у больного холециститом может быть понижен или, наоборот, повышен.
• Возможны изжога, металлический привкус, нередко • • тяжесть в правом подреберье, а также урчание в животе, вздутие живота, расстройства стула, причем чаще склонность к запору, чем понос. При обострении хронического холецистита температура тела может достигать 40 °С, но чаще не превышает 37, 5 °С. При нарушении оттока желчи (чаще при калькулезном холецистите) возможно окрашивание кожных покровов в желтый цвет - развивается желтуха, а также появляется кожный зуд. Помимо перечисленных, наиболее характерных, признаков хронического холецистита могут наблюдаться общие неспецифические симптомы, такие как беспричинная раздражительность, повышенная возбудимость, ощущение слабости, нарушение сна.
• Хронический холецистит - воспалительное • заболевание желчного пузыря. Наиболее частой причиной развития хрониче ского холецистита является бактериальная инфекция - различные виды кишечной палочки, протей, энтерококки, стафилококки, стрептококки. Обсуждается роль вирусов, в частности вирусов гепатита. Определенное значение имеет лямблиоз желчных путей. Способствуют длительному течению воспалительного процесса изменения свойств желчи, образование камней и нарушения оттока желчи. Выделяют две формы хронического холецистита - на фоне камней в пузыре и без них (калькулезный и некалькулезный холецистит
Степени тяжести течения хронического холецистита • легкая степень - если заболевание обостряется не • чаще одного раза в год. Аппетит обычно не нарушен, симптомы заболевания выражены слабо, боль в правом боку появляется лишь при нарушении диеты или после больших физических нагрузок; средняя степень - если в течение года регистрируется три и более обострения. Отмечается характерный стойкий болевой синдром с ирридацией боли в правую сторону, нередко наблюдается рвота желчью, боль может возникать не только после погрешности в диете или после физического напряжения, или стресса, но и без видимых причин. Несколько приступов желчной колики могут следовать один за другим, повышение температуры тела отмечается довольно часто. Самостоятельно боль не проходит, приходится практически всегда прибегать к медикаментозным средствам;
• тяжелая степень - при частоте обострений 1 - • 2 раза в месяц. Эта форма проявляется отчетливыми, резко выраженными, типичными болями в правом подреберье с характерной ирридацией - классической желчной коликой. При тяжелой форме болезни часто страдает также функция поджелудочной железы. Считается, что в целом хронический холецистит протекает благоприятно. При выполнении рекомендаций и под наблюдением квалифицированного гастроэнтеролога качество жизни пациента с хроническим воспалением желчного пузыря не страдает, продолжительность жизни остается достойной. Но это при условии, что хронический холецистит протекает без осложнений.
• Одно из наиболее частых осложнений хронического холецистита - так называемый билиарный панкреатит - воспаление поджелудочной железы, обусловленное патологией желчного пузыря. Течение холецистита может осложниться также холангитом - воспалением внутрипеченочных желчных протоков, В случае нарушения оттока желчи, например если камень желчного пузыря закроет выход желчи из пузыря, она начинает поступать в кровь и развивается желтуха. При длительном течении заболевания стенка желчного пузыря может пропитаться солями кальция - тогда развивается так называемый холестероз, в итоге резко снижается деятельность желчного пузыря, и такое состояние называют "отключенным" желчным пузырем. Также в случаях продолжительного течения заболевания возможно поражение печени как органа, расположенного в непосредственной близости от больного желчного пузыря, - развивается так называемый реактивный гепатит. Самым грозным осложнением хронического воспаления желчного пузыря является его деструктивное поражение: в результате перфорации (прорыва) стенки пузыря желчь попадает в брюшную полость, развивается желчный перитонит - тяжелое и опасное для жизни заболевание.
Хронический бескаменный холецистит • это воспалительное заболевание слизистой оболочки желчного пузыря. Заболевание проявляется болевым синдромом, нарушениями пищеварительной функции и общими проявлениями воспалительной реакции организма. Это заболевание относится к часто встречающимся заболеваниям органов желудочно-кишечного тракта. Женщины болеют чаще мужчин в 3 -4 раза.
Причины хронического бескаменного холецистита • различные микроорганизмы (кишечная палочка, стафилококки, • энтерококки, протей, смешанная флора). Однако в настоящее время считается, что сами по себе микроорганизмы не могут вызывать воспаление в стенке желчного пузыря, для этого обязательно нужны предрасполагающие факторы. К таким факторам относится застой желчи в желчном пузыре, повреждение стенок желчного пузыря, снижение иммунитета, наличие очагов хронической инфекции. Застою желчи в желчном пузыре способствуют различные анатомические аномалии развития желчного пузыря (перегибы пузыря, перетяжки в желчном пузыре) и протоков, перегибы желчных путей, сдавления желчных путей. К застою желчи может привести снижение тонуса желчного пузыря и желчных путей, вызванное эндокринными расстройствами, эмоциональными стрессами, воздействием текущих воспалительных процессов в органах желудочно-кишечного тракта.
• Способствуют нарушению оттока желчи малоподвижный образ • жизни, опущение органов брюшной полости, беременность, редкие, но обильные приемы пищи. Одним из факторов возникновения воспалительного процесса в желчном пузыре считается наличие гипотонически-гипокинетической дискинезии желчного пузыря и желчных путей. Повреждение и раздражение слизистой оболочки желчного пузыря происходит при изменении физико-химических свойств желчи, под воздействием усиленной стимуляции жареной острой пищей, при травматизации камнями, при затекании в желчный пузырь соков поджелудочной железы, что становится возможным при нарушении двигательной функции желчных путей. Обычно в начале заболевания происходит повреждение слизистой оболочки желчного пузыря, и, в условиях нарушенного оттока желчи, к процессу присоединяется микробная флора. По тяжести течения хронические холециститы делят на легкие, средние, тяжелые, по стадии – на стадии обострения и ремиссии.
осложнения • может осложняться возникновением хронического холангита, гепатита, панкреатита и способствовать образованию каменей в желчном пузыре и желчевыводящих путях. Опасным осложнением может стать прободение стенки желчного пузыря с излитием желчи в брюшную полость и развитием тяжелого перитонита, и эмпиема желчного пузыря, при которой желчный пузырь превращается в мешок с гнойным содержимым.
микроскопическое исследование желчи. • Во время дуоденального зондирования после введения стимулятора сокращения желчного пузыря собирается пузырная желчь. В качестве стимулятора проводится инстилляция в двенадцатиперстную кишку 50 мл Mg. SO 4 (за рубежом чаще применяется внутривенное введение ХЦК). В полученной пузырной желчи оцениваются два типа депозитов: первый -кристаллы холестерина ромбовидной формы, лучше визуализируемые при поляризационной микроскопии, и второй - гранулы билирубината, которые видны как красно-коричневые отложения при обычной световой микроскопии. дуоденальное зондирование – для изучения химического состава (фракций) желчи и состояния желчевыделительной функции. Проводят микроскопическое, бактериологическое (посев порций желчи на специальные среды и в случае роста микробной флоры определение ее чувствительности к антимикробным препаратам) и биохимическое исследование желчи, кристаллографию желчи (для выявления в ней компонентов воспаления);
Лечение хронического бескаменного холецистита. • Лечение хронического холецистита – длительный • процесс и основу его составляет диета. Диета должна быть составлена индивидуально с учетом пола, возраста, веса, физической активности пациента. Рекомендуется 4 -5 разовое питание, исключение жареной, особенно жареной в жиру пищи. Применяется антибактериальная терапия, хотя в последнее время ее эффективность подвергается сомнению. Назначаются антибиотики и антибактериальные препараты, которые могут концентрироваться в желчи (эритромицин, рифамицин, тетрациклин, нитрофурановые препараты, левомицетин, канамицин, метациклин). Антибактериальные препараты назначаются на 10 дней.
• Применяется физиотерапевтическое лечение. В фазу • ремиссии назначаются препараты, стимулирующие образование желчи – холеретики (аллохол, холензим, никодин, холагон, кукурузные рыльца), если у пациента выявлена гипотония желчного пузыря – назначаются препараты, усиливающие сокращение желчного пузыря и способствующие выведению желчи – холекинетики (сульфат магния, карловарская соль, ксилит, сорбит). При упорном течении воспалительного процесса сопровождающимся переходом воспаления на окружающие желчный пузырь ткани (перихолецистит), при отключении желчного пузыря, присоединении воспаления поджелудочной железы возникает необходимость в хирургическом лечении и удалении желчного пузыря.
Диета № 5 а • Характеризуется прежде всего ограничением в суточном рационе жира до 70 -80 граммов, а при ярко выраженных симптомах - тошнота, изжога, горечь во рту, вздутие живота - суточное количество жира следует снизить до 50 граммов. При этом количество белков и углеводов остается в пределах физиологической нормы: 80 -90 граммов белков, 300 -350 граммов углеводов. Основной способ кулинарной обработки продуктов - отваривание или приготовление их на пару, при этом пищу готовят преимущественно в протертом виде. Категорически исключаются любые жареные продукты. Сохраняется дробный режим питания: не менее 5 раз в день и небольшими порциями. Важно обращать внимание на температуру блюд: пища должна быть теплой, но не слишком горячей или слишком холодной.
МЕХАНИЧЕСКАЯ ЖЕЛТУХА • Клиническая картина механической желтухи • Наиболее часто механическая желтуха при желчнокаменной болезни вызвана холедохолитиазом. При этом симптомокомплекс складывается из интенсивных болей в животе, желтушной окраски кожи и склер, возникающей спустя 12 -24 часа после болей, обесцвечиванием кала и потемнением цвета мочи. Полная обтурация просвета общего желчного протока приводит к стремительному нарастанию желтухи. В случаях, когда этого не происходит или возникает «вентильный» механизм нарушения оттока желчи, механическая желтуха носит ремитирующий характер. Длительно существующая механическая желтуха приводит к нарушениям гомеостаза, в том числе нарушению свёртывания крови. Клиническими проявлениями этого тяжёлого осложнения являются кожные гематомы в местах минимальных травм и инъекций, геморрагическая сыпь. Накопление пигмента в коже приводит к появлению мучительного кожного зуда, который усугубляет страдания больных. Интоксикация, отсутствие желчи в кишечнике приводят к нарушению пищеварения, что проявляется анорексией, диспептическими пороявлениями (тошнота, неустойчивый стул).
Диагностика механической желтухи • Обследование больных с механической желтухой следует начинать • с УЗИ. Это исследование позволяет выявить наличие желчной гипертензии, получить информацию о состоянии внутри- и внепечёночных протоков. Прямым ультразвуковым признаком холедохолитиаза является наличие в просвете внепечёночных желчных протоков гиперэхогенного образования с акустической дорожкой. Косвенными признаками служат расширение вне- и внутрипечёночных желчных протоков более 8 -9 мм. Фиброгастродуоденоскрпия позволяет выявить патологию большого дуоденального сосочка и 12 -ти перстной кишки, а также оценить техническую возможность проведения эндоскопической ретроградной холангиопанкреатографии (РХПГ). РХПГ в настоящее время является основным методом верификации диагноза холедохолитиаза.
• УЗИ признаки холедохолитиаза.
• РХПГ: законтрастированно желчное дерево с камнями в желчном пузыре.
• Для интраоперационной диагностики холедохолитиаза применяется чресдренажная холангиография. Для механической желтухи характерно повышение содержания билирубина в основном за счёт прямой фракции, однако при её длительном существовании увеличивается и непрямая фракция. Также характерно повышение уровня щелочной фосфатазы.
• Чресдренажная холангиография: признаки холедохолитиаза.
Лечение механической желтухи при холедохолитиазе • I. Диетические рекомендации I. - Стол № 5 а. - В рацион обязательно включают молочные продукты (творог), овощи, фрукты, ягоды, соки. - Содержание легкоусвояемых углеводов не должно превышать физиологическую норму. - Обильное питьё. - Питание дробное, небольшими порциями. Блюда отварные и протёртые. II. Фармакотерапия (применяют для предоперационной подготовки и в послеоперационном периоде, т. к. основной метод лечения – хирургический) 1. Детоксикация Инфузионнокапельная терапия не менее 2 л/сут (объём определяют возрастом больного и состоянием сердечно-сосудистой системы): - Гемодез в/в, - Реополиглюкин в/в, - 5 -10 % р-р глюкозы в/в, - 0, 9 % р-р Na. Cl в/в. Форсированный диурез: - Фуросемид – в/в 20 -40 мг после инфузии. Гепатопротекторы: - Гептрал - в/в 0, 8 г/сут, - Гепасол - в/в 500 мл со скоростью 40 кап/мин каждые 12 ч. 2. При кожном зуде - Холестирамин (порошок) - 4 -8 г 2 -3 р/сут. 3. С целью профилактики кровотечений - Викасол – в/м 3 мл 1 % р-ра в/м (инъекции начинают за 4 -5 дней до операции), - Переливание замороженной плазмы. 4. Адекватное обезболивание (см. раздел «консервативное лечение острого холецистита» )
• III. Хирургическое лечение, направленное на • устранение билиарной гипертензии. Если желтуха обусловлена холедохолитиазом, после вскрытия общего желчного протока камни удаляют (т. е. выполняют холедохолитотомию), а холедох дренируют. Дренирование общего желчного протока делится на два вида: наружное и внутреннее. При наружном – в холедох устанавливается дренаж, который выводится на переднюю брюшную стенку (например, дренирование по Кохеру (а), Керте (б), Вишневскому (в), Холстеду-Пиковскому (г)). Также камни из холедоха можно удалить эндоскопическим путём с использованием корзинки Дормиа.
Виды наружного дренирования холедоха.
Эндоскопическая папиллосфинктеротомии.
• Законтрастированно желчное дерево 1 - эндоскоп; 2 - камень в просвете холедоха; 3 - корзинка для удаления камней введенная через эндоскоп.
ГНОЙНЫЙ ХОЛАНГИТ • Холангит рассматривают как болезнь, проявляющуюся местным • • инфекционным воспалением желчных путей, а также системной воспалительной реакцией с более или менее выраженными явлениями полиорганной недостаточности, при неблагоприятном течении переходящую в билиарный сепсис. В основе его развития лежит билиарная гипертензия, вызванная различными причинами (например, холедохолитиазом) и инфицирование желчи. Микроорганизмы попадают в желчь либо из воротного кровотока, куда они поступают из тонкой кишки, либо ретроградно из двенадцатиперстной кишки. Клиника и диагностика гнойного холангита Для гнойного холангита характерна классическая триада Шарко: озноб с лихорадкой, желтуха и боль в правом подреберье. Эти три признака дополненные спутанностью сознания и септическим шоком составляют пентаду Рейно, которая ассоциируется с повышением в 4 раза риска летального исхода. Наличие указанных симптомов и установленная с помощью УЗИ или других инструментальных методов желчная гипертензия убедительно подтверждают диагноз. Нарушение функции печени проявляется повышением уровня общего и прямого билирубина, щелочной фосфатазы, трансаминаз в сыворотке крови.
• Лечение гнойного холангита • Лечение больного с острым гнойным холангитом необходимо начинать • • сразу после поступления его в стационар. В условиях билиарной гипертензии при холангите самостоятельное значение консервативной терапии относительно невелико и её целесообразно рассматривать лишь как интенсивную кратковременную подготовку больного к проведению срочной декомпрессии желчных протоков. При угрозе жизни её следует сочетать с немедленной декомпрессией желчных путей. Консервативное лечение 1. Голод в течение 2— 3 дней. 2. Локальная гипотермия – применение «пузыря» со льдом на область правого подреберья. 3. Промывание желудка при наличии тошноты и рвоты. 4. Адекватное обезболивание: Ненаркотические анальгетики: - Анальгин – в/м или в/в по 250 -500 мг 3 раза в сутки. Максимальная разовая доза – 1 г, суточная – 2 г, или - Баралгин – в/в медленно (по 1 мл в течение 1 мин) по 2 мл; при необходи-мости вводят повторно через 6 -8 ч. В/м – 2 -5 мл раствора 2 -3 раза в день. Суточная доза не должна превышать 10 мл. Продолжительность лечения – не более 5 дней. Спазмолитики - Но-шпа – в/м 40 -80 мг 1 -3 раза в сутки или в/в медленно 40 -80 мг, или - Дроверин - в/м 40 -80 мг 1 -3 раза в сутки или в/в медленно 40 -80 мг - Платифиллин - п/к 1 -2 мл 0. 2 % раствора 1 -2 раза в сутки, или - Атропин – п/к, в/м или в/в 0. 25 -1 мг 1 -2 раза в сутки. Новокаиновая блокада круглой связки печени.
• • • 5. Антибактериальная терапия: Препараты выбора: - Цефтриаксон – в/в 1 -2 г/сут + метронидазол – в/в 1, 5 -2 г/сут; - Цефоперазон – в/в 2 -4 г/сут + метронидазол в/в 1, 5 -2 г/сут; - Ампициллин/сульбактам – в/м или в/в 6 г/сут; - Амоксициллин/клавуланат – в/м или в/в 3, 6 -4, 8 г/сут. Альтернативный режим: - Гентамицин или тобрамицин – в/м или в/в 3 мг/кг в сутки + ампициллии - в/м или в/в 4 г/сут + метронидазол – в/в 1, 5 -2 г/сут; - Нетилмицин – в/м или в/в 4 -6 мг/кг в сутки + метронидазол – в/в 1, 5 -2 г/сут; - Цефепим – в/м или в/в 4 г/сут + метронидазол – в/в 1, 5 -2 г/сут; - Фторхинолоны (ципрофлоксацин – в/в 400 -800 мг) + метронидазол – в/в 1, 5 -2 г/сут). 6. Детоксикация Инфузионно-капельная терапия не менее 2 л/сут (объём определяют возрастом больного и состоянием сердечно-сосудистой системы): - Гемодез в/в, - Реополиглюкин в/в, - 5 -10 % р-р глюкозы в/в, - 0, 9 % р-р Na. Cl в/в. Форсированный диурез: - Фуросемид – в/в 20 -40 мг после инфузии. Гепатопротекторы: - Гептрал - в/в 0, 8 г/сут, - Гепасол - в/в 500 мл со скоростью 40 кап/мин каждые 12 ч. Неспецифические методы детоксикации: - Плазмаферез. - Энтеросорбция. 7. С целью профилактики кровотечений - Викасол – в/м 3 мл 1 % р-ра в/м (инъекции начинают за 4 -5 дней до опера-ции), - Переливание замороженной плазмы. Хирургическое лечение острого гнойного холангита заключается в декомпрессии желчных протоков. Наиболее предпочтительным методом является эндоскопическая папиллосфинктеротомия. Однако в ряде случаев у хирурга не остаётся выбора кроме традиционной операции. Она должна включать холедохолитотомию и наружное дренирование общего желчного протока.
ЖЕЛЧНОКАМЕННАЯ БОЛЕЗНЬ.ppt