Бронхит пневмания.pptx
- Количество слайдов: 27
Жедел медициналық жәрдем беру Жедел бронхит. Пневмония. Балалардағы ерекшеліктері. Тексерген: Орындаған : Эгамбердиева Мадина Нуржан Жансая Тобы: 12 -13 -01
Жоспары: Этиологиясы. Клиникасы. Диагностикасы. Емі. Алдын алуы.
Жедел бронхит - бронхтың қабынуы. Көп жағдайда респираторлы вирусты инфекцияның асқынуы.
Этиологиясы: вирустар, (парагрипп, аденовирус, қызылша, микоплазма вирустары т. б. ), кейде бактериялар болуы да мүмкін (жұтқыншақтағы тұрақты инфекция ошақтары, интубациядан болған асқынулар), тыныс жолдарына сырттан бөгде заттар түскенде ( химиялық) дамуы да ықтимал. Икемдеуші жағдайға - суық тию, лас ауа, темекі түтіні және т. б. жатады.
Патогенезі: Вирустар тыныс алу жолдарының эпителийін зақымдайды. Бронх қабатының кедергілік (барьерлік) қасиетін төмендетеді. Балаларда, әсіресе сәбилерде тыныс жолдарының тарылуы, бронх қабатының ісінуі, ішіне секреттердің жиналуы жиі байқалады.
Клиникасы: Аурудың алғашқы 2 -3 күн. де дене температурасы 37, 5 -38 градус көтеріледі. Балада жалпы интоксикация белгілері : әлсіздік, қалтырау, артралгия, денесінің қақсап ауырсынуы, жұтынғанда ауырсыну, кейде тамақ қырылдауы байқалады. Баланың терісі, еріні, ауыз қуысының шырышты қабаты көгіс тартып тұрады, ентігу, тыныс алуы жиілейді, құрғақ тітіркендіретін жөтел, дем алуға қосымша бұлшықеттер қатысады. Кейде қатты жөтелгенде тынысы тарылып, кеуде қуысы ауырады. Демалысы тоқтап қалуы мүмкін. Көкірек клеткасы кеңейіп, гипоксияға әкеледі. 2 -3 күннен кейін тәул. 50 мл дейін болатын шырышты немесе шырышты – іріңді қақырық пайда болады. Кейде қан аралас болуы мүмкін. Аускультацияда: орташа, ірі көпіршікті, құрғақ тұрақсыз сырылдар көкірек кеудесінің екі жағынан да естілуі мүмкін.
Емі: Төсек режімі дене қызуы түскеннен соң тағы 2 -3 күнге тағайындалады. Диета: Баланың тамағында сүт, өсімдік тағамдары болуы керек. Витаминге бай, құнарлы, сұйықтық жеткілікті болғаны жөн. Әсіресе мүкжидек, итмұрын тұнбасы, боржоми, лимон қосылған шай, бал аралас сүт, таңқурай қосылған шай, жалбыз беру керек. Қақырық түсіретін дәрілер - алтей тұнбасы, мукалтин, мия түбірі, бромгексин, пертуссин (амброксол, карбоцистеин, ацетилцистеин) Жөтелді азайту үшін көп беруге болмайды, себебі жөтел қорғаныс реакциясы, қақырық шықпай обструкция болуы мүмкін. (декстрометорфан, кодеин, тусупрекс) бронходилататорлар (сальбутамол - бронхиалды гиперреактивтілік белгілері кезінде) Қыздырғыш компресс, қышамен аяққа ванна жасау. В тобының витаминдері Физиоемі – УКС (ультракүлгін сәулелендіру), калий иодидімен, эуфиллинмен кеуде клеткасына электрофорез жасау. Оттегімен дем алдыру, ингаляциялар. Ең жиі асқынуы - өкпе қабынуы (пневмония).
Пневмониялар. Пневмония - өкпе ұлпасының қабынуы. Пневмонияның себептері: әр түрлі инфекциялар, бактериялар (стафилококктар, стрептококктар, пневмококктар т. б. ), вирустар, патогенді саңырауқұлақтар, микоплазмалар. Балалардың өкпе қабынуымен ауыруына келесі факторлар себепкер болады: 1. Баланың организмінің реактивтілігінің төмендеуі (қажып шаршау, стресстік ситуациялар, нашар тамақтану т. б. ). 2. Балалардың тыныс алу жүйесінің АФЕ-рі. 3. Фондық аурулар-мешел, анемия, гипотрофия, аллергиялық диатездер. 4. Қатты тоңу.
Этиологиясы. Балалардың басым көпшілігінде пневмониялар этиологиясы инфекциялық. Соңғы кездегі мәліметтерге қарағанда пневмококктар ауруханадан тыс өрбитін пневмониялардың себебі ретінде байқалуда. Сәбилерде пневмония өрбуіне бейімделуші жайларға ауыр перинаталдық дерттер (құрсақішілік гипоксия, асфиксия, туу кезінде ми мен жұлын зақымдары, пневмопатиялар т. б. ), аспирациялық синдром, гипотрофиялар, іштен болатын жүрек ақаулары, өкпенің даму ақаулары, тұқым қуалайтын иммундық кемістік, гиповитаминоздар жатады. Мектеп жасындағы балаларда пневмонияға бейімделуші жайларға созылмалы ЛОР, инфекция ошақтары, рецидивті бронхиттер, темекі шегу жатады.
Патогенезі: Инфекция өкпеге бронхогенді, лимфогенді, гематогенді жолдармен түседі. Өкпенің қорғаныс қызметі төмендеп қабыну процессі дамиды. Өкпенің вентиляциясының және газ алмасуының бұзылыстары гипоксияға және гипоксемияға әкеледі. Зат алмасудың барлық түрлері бұзылады.
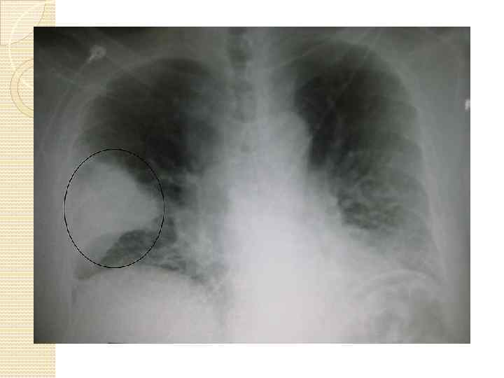
Клиникасы. Кейбір жағдайларда ошақты пневмония аяқ астынан пайда болуы мүмкін, көбінесе ол трахеобронхитпен немесе жіті респираторлық инфекциялармен қоса дамиды. Алғашқы белгілері дене қызуының көтерілуімен, жөтелдің күшеюімен, аз да болса іріңді-шырышты қақырықтың бөлінуімен байқалады. Егерде пневмония физикалық тексеру әдістерімен анықтауға болады. Бұл кезде дауыс дірілінің күшеюі, перкуторлы дыбыстың тұйықталуы, везикулярлық тыныстың қатаң түрі, ұсақ көпіршікті дауысты ылғалды сырылдар анықталады. Тереңдеу орналасқан ошақтың белгісі ретінде тек қана ылғалды, күшті дыбысты, ұсақ көпіршікті сырылдар естіледі. Сырылдардың жақсы естілуі бронх төңірегіндегі өкпе тінінің тығыздалуына тікелей байланысты болады. Қанда лейкоциттер формуласының сәл ғана сол жаққа ығысуы байқалады, лейкоцитоз аздап көбейеді. Рентген сәулесімен тексергенде өкпенің сегментарлы немесе полисегментарлы гомогенді қараюы анықталады, әдетте, олар өкпенің төменгі бөліктерінде орналасады.
Пневмонияғы әкелетін жағдайлар. Жас балалар: құрсақтық гипоксия және асфиксия; туу жарақаттары; жаңа туған кезедегі пневмопатия ; туа біткен жүрек ақаулары; өкпенің туа біткен ақаулықтары; муковисцидоз; тұқым қуалайтын иммунитет дефициті; аштық; гиповитаминоздар. Мектеп жасындағы балалар: жұтқыншақ инфекциясының созылмалы ошақтары; қайталанбалы бронхит; муковисцидоз; Жүрек клапаны аурулары; иммуно жетіспеушілік ; шылым шегу. Ересектер: темекі шегу және созылмалы бронхит; өкпенің созылмалы аурулары; эндокриндік аурулары; жүрек жеткіліксіздігі; иммуно жетіспеушілік; кеуде және іштің хирургиямв; маскүнемдік;
Диагностикалық критерийлері: Ұзақ фебрильді қызба. Интоксикация белгілері. Тыныс алу жетіспеушілігінің белгілері- ентікпе, цианоз, тыныс алуға қосымша бұлшықеттердің қатысуы. Тұрақты жергілікті өзгерістер: Аускультативті-ұсақ көпіршікті ылғалды сырылдар, перкуторлы-қабынған жердің үстінде дыбыстың қысқаруы. Рентгенографияда-көлеңкелер. ЖҚА-де- нейтрофильді лейкоцитоз, ЭЖТ-ның жоғарылауы.
Пневмониялардың жіктелуі Зақымданған аймағына байланысты: Ошақты Сегментарлы Крупозды Интерстициальды Ағымына байланысты: Жедел /2 айға дейін/ Созылыңқы /2 -8 ай/ Созылмалы /8 айдан жоғары/ Ауырлығына байланысты: Жеңіл. Орташа. Ауыр. Асқынуына байланысты: 1. Асқынған. 2. Асқынбаған.
Ошақты пневмониялардың түрлі варианттары бар – олар ең жиі кездесетін өкпе қабыну типі. Сәбилерде, мектептке дейінгі және оқушыларда аурудың жүрісі кейбір өзгешеліктермен сипатталады. Клиникалық көрінісі. Мектепке дейінгі және мектеп жасындағы балаларда ошақты пневмонияның клиникасы «өкпелік» (респираторлық) шағымдар мен интоксиация белгілері, ТТ-көріністері және локалдық өзгерістерден құралады.
Сегменттік пневмониялар. Ошақты пневмониялар бір немесе бірнеше сегментке жацылса, сегментті деп аталады. Көбіне бұндай ауруға диагноз қойылмайды: себебі тұрақты өзгерістер бірнеше күнге ғана созылады, ал ТТ, токсикоз, кейде тіпті жөтел де болмайды, сондықтан диагноды тек рентгенография арқылы қояды. Бұл вирустық инфекция кезіндегі өкпенің сегментті ісінуі болуы ықтимал. Сегментті пневмония ағымының екінші вариантының клиникасы крупоздық пневмониядан аумайды: кенет басталуы, қызыну, аурудын кезеңді ағымы т. б. Сегментті пневмонияның белгісі ретінде іш, кеуде аурыуы да мүмкін.
Крупозды пневмония негізінен мектепке дейінгі және мектеп жасындағы балаларда кездеседі, 1 -3 жас арасында сирек, ал жасқа дейін өте сирек байқалады. Бұл пневмонияның патогенезі аллергиялық реактивтілікке байланысты. Крупозды пневмонияның бір жасқа дейін сирек кездесуін бұл жастағыларда пневмококке сесибилизация әлі пайда бомағандығынан деп санайды. Балаларда крупозды пневмония өкпенің бөлігін түгел қамтып қоймай тек бірнеше сегментпен шектелуі мүмкін. Көп жағдайда ол оң өкпенің жоғарғы және төменгі бөліктерінде болады.
Клиникалық көрінсі. Ауру дене қызуының кенет көтерілуімен, бас ауырып, бала халінің күрт нашарлауымен, «тат түстес» қақырықты жөтелмен, кеуденің ауыруымен басталады. Ауырудың алдында, аз уакыт бойы, ең әрісі бірнеше сағатқа ғана созылатын, жалпы әлсіздік, сүйек сырқырауы, бас ауыруы болуы мүмкін. Науқастың көпшілігі іштің оң жағы немесе кіндік тұсынан ауыратынына шағынады. Осы кезде құсу, іш кебу, іш өтуі байқалады, ауруды аппендицит, жедел ағымды гастрит не перитонитке ұқсатуға болады. Пневмонияның мұндай ағымы оның оң өкпеде, анық төменгі бөлігінде орналасып, висцеро-висцералдық рефлекстер пайда болуына байланысты. Дегенмен, ентігудің ерекшелігі, пульс жиілігінің қызуға сәйкестігі, дем алуда кеуденің бір жағы қатысының азаюы, іштің еркін қимылы мен пальпацияда айқын қаттылықтың болмауы дәрігер ойын дұрыс жолға салады. Ересек балаларда аурудың «аппендикулярлы» түрі сирек кездеседі, олар кеселдің басынан-ақ кеудесінің ауыртанынына шағым жасайды, көбіне бұл арқа, иық, бүйірге таралады. Балалар аяқтарын кеудесіне бүгіп, ауру бүйіріне жатуды ұнатады. Мектеп жасына дейінгі кейбір балаларда ауру бастамасында денесі қызуы мен бас ауыруына құсу, сандырақтау, желкенің тартылуы, клоникалық тырысу қосылып, менингитке ұқсас белгілер шығады. Бұндай ағым пневмония оң өкпенің жоғарғы бөлігінде болғанда байқалады.
Интерстициалды пневмониялар. 1946 жылы Р. Ленк жедел ағымды пневмониялар арасынан төмендегі рентгендік сипаттарымен ерекшелінетін пневмонияларды бөліп шығарды: Өкпе суретінің өзгерісі кеңейген түбірден ұршық тәріздес тарайтын, тұрпайы не нәзік жолақтардан тұрады. Бұлардан негізінде бронх-төңіректік инфильтрация және, мүмкін, бронхтардың экссудатпен толуы жатады. Пневмония бар өкпе суреті ұялы әр түрлі көлемді тор тәрізді болады. Осы екі түрлі өзгерістердің үстіне кішілеу ателектаз ошақтары пайда, ұсақ дақтар көрінеді. Жайылмалы, тартылған жіп тәріздес айқын көрінетін көлеңкелер бронхтар қысылуының белгілерімен бейнеленеді. Осы пневмонияларды олинтерстициалдық деп атады. Балаларда сирек, жедел ағымды пневмониямен ауыратын балалардың 1%-да ғана кездеседі.
Емдеу жолдары Өкпе қабынуын антибиотиктермен емдеу емір немесе өлім мәселесіне келіп тірелуі мүмкін. Пенициллин, котримоксазол немесе эритромицин беріңіз. Науқастың халі нашарлап бара жатса прокаин-пенициллин шанышыңыз, ересек адамдарға: күніне 2— 3 рет 400 000 ед (250 мг) немесе күніне 4 рет 500 мг ампициллин ішкізіңіз. Жас балаларға ересектерге берілетін дәрі мөлшерінің 0, 5— 025 мөлшерін беріңіз, 6 жасқа дейінгі балаларға ампициллин берген жөн. Ыстықты түсіру және ауырғанды қойғызу үшін аспирин немесе ацетаминофен беріңіз. Науқасқа мейлінше көп сұйық беріңіз. Егер науқас тамақ іше алмаса, онда оған сұйық тағам немесе регидрат сусынын беріңіз. Жөтелді жеңілдету және қақырықты босату үшін де көп сұйық ішу және су буы ингаляциясын жасау ұсынылады. Сырыл болған жағдайда теофиллин немесе эфедрин түріндегі демікпеге қарсы дәрілер қолдану қажет.
Пайдаланған әдебиеттер. http: //gtlbfnhbz. at. ua/ «Қазақстан» : Ұлттық энцклопедия / Бас редактор Ә. Нысанбаев – Алматы «Қазақ энциклопедиясы» Бас редакциясы, 1998 Т. , "Ж. Б. Ахметов, Патологиялық анатомия, 1993 ж. , 34 б. Пульмонология терминдерінің орысша-қазақша түсіндірме сөздігі. Алматы: Ана тілі. 1996. Вернер, Дэвид. Халыққа медициналық жәрдем көрсету жөніндегі (Анықтамалық). Қазақ тіліне аударғандар: Айымбетов М, Бермаханов А. — Алматы: "Демалыс", "Қазақстан", 1994— 506 бет.
Бронхит пневмания.pptx