журек кан тамыр (2).pptx
- Количество слайдов: 87
Жүрек орны
Рентгеноанатомиялық анализ
Жүрек өлшемі
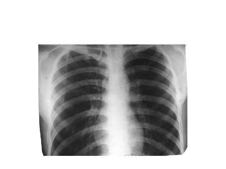
нормостеник
астеник
гиперстеник
Қарама – қарсы (алдыңғы) бағытта түсірілген жүрек көлеңкесінің көрінісі
Қарама – қарсы (алдыңғы) бағытта түсірілген жүрек көлеңкесінің көрінісі
Бірінші (оң) қиғаш бағытта түсірілген жүрек көлеңкесінің көрінісі
Екінші (сол) қиғаш бағытта түсірілген жүрек көлеңкесінің көрінісі
Сол жақ бүйір бағытындағы түсірілген жүрек көлеңкесінің көрінісі
Сынақтар
Рентгенография
Рентгеноскопия
Рентгеноскопия
Рентген зерттеудегі негізгі қолданатын бағыт
Рентген зерттеудегі негізгі қолданатын бағыт
Рентгенокимография
каронаграфия
Кт Коронарография
Жүректің компьютерлік томогаммасы
Жүректің компьютерлік томогамма 3 D өшемімен
Магнитті-резонансты томография (mpt)
Ангиограмма
Ангиограмма
Ангиограмма
Жүректі ультрадыбыспен зерттеудегі режимдер
М- модальді режим
В- режим
Допплер режимі
Эхографиялық стандартты зерттеу бағыттары
Дені сау адамның ЭХО-КГ көрсеткіштері Датчик-3, 5 м. Гц
гемодинамикалық белгілердің орташа Көрсеткіштері
Сол жақ (митральді) венозды саңылау стенозы
Сол жақ (митральді) венозды саңылау стенозы
Митралды стеноз
Митралды стеноз
Митралды стеноз
Митральді қақпақша жетіспеушілігі
Митральді қақпақша жетіспеушілігі
Митралды қақпашаның жетіспеуі. (УДЗ)
Митралды қақпашаның жетіспеуі. (УДЗ)
Қосылған митральді ақау
Қолқа саңылауының тарылуы
Қолқа саңылауының тарылуы
Қолқалық стеноз
Қолқалық стеноз
Қолқа қақпақшаларының жетіспеушілігі
Қолқалық стеноз
Қолқа қақпақшаларының жетіспеушілігі
Қолқа қақпақшаларының жетіспеушілігі
Қолқалық жетіспеу
Қолқалық жетіспеу
Қосылған аортальді ақау
Қосылған аортальді ақау
Қолқа – митральді ақау
Қолқа – митральді ақау
Митральды пішін пайда болады
Аортальды пішін пайда болады
Қолқаның ұзаруы мен кеңейюі
Қолқаның ұзаруы мен кеңейюі
Қолқаның ұзаруы мен кеңейюі
Үш жармалы қақпақшаның жетіспеушілігі
Үш жармалы қақпақшаның тарылуы
Үш жармалы қақпақшаның тарылуы
Үш жармалы қақпақшаның тарылуы
Қосылған аортальді ақау
Қосылған аортальді ақау
Миокардит, миокард дистрофиясы және миокардиттік кардиосклероз
Миокардит, миокард дистрофиясы және миокардиттік кардиосклероз
Тиреотоксикоз кезіндегі жүректің өзгерістері
Тиреотоксикоз кезіндегі жүректің өзгерістері
Гипертония ауруы
Тиреотоксикоз кезіндегі жүректің өзгерістері
Гипертония ауруы
Гипертония ауруы
Созылмалы өкпелі жүрек
Созылмалы өкпелі жүрек
Эксудативті перикардит
Эксудативті перикардит
Эксудативті перикардит
Құрғақ перикардит
журек кан тамыр (2).pptx