заболевания почек .ppt
- Количество слайдов: 78
Заболевания почек
Классификация заболеваний почек n n n Инфекционно-воспалительные заболевания почек (пиелонефрит, микоз, папиллярный некроз, карбункул, абсцесс почки, апосистемный нефрит, туберкулез почек, сифилис почек, паразитарные заболевания) Мочекаменная болезнь (ураты, фосфаты, оксолаты; цистиновые и коралловидные камни; мочекаменная болезнь у беременных; нефролитиаз, уретеролитиаз) Кисты почек (простые, атипичные, геморрагические, посттравматические, паразитарные, мультилокулярные, парапельвикальные и др. ) Иммунные нефропатии (гломерулонефрит, патология почек при васкулитах, сахарном диабете и других системных заболеваниях) Метаболические нефропатии (диабетическая нефропатия, амилоидоз почек, поражение почек при подагре) Токсические нефропатии (лекарственная нефропатия, поражения почек при отравлениях, радиационная нефропатия) Вторичные нефропатии (интерстициальный нефрит, заболевания почек при недостаточности кровообращения и расстройствах электролитного обмена) Сосудистые нефропатии (нефропатия беременных, злокачественная гипертония) Врожденные заболевания почек и мочеточников (аномалии размера, расположения, структуры и количества почек, сращения почек, генетические нефропатии, тубулопатии и энзимопатии) Нефросклероз (сморщенная почка) и нефроптоз (опущение почки) Травмы почек Доброкачественные и злокачественные опухоли почек
Международная классификация болезней n n n - мочекаменная болезнь; - гломерулярные болезни; - тубулоинтерстициальные болезни почек; - почечная недостаточность; - другие болезни мочеточника и почек (например, нефрогенный сахарный диабет и другие); - другие болезни мочевой системы (цистит, уретрит и другие).
n частота инфекций мочевых путей сравнима с частотой инфекций дыхательных путей и желудочнокишечного тракта. n ИМП развивается в любом возрасте, в целом преимущественно у женщин, у мужчин чаще в младенчестве и в старости. n Не менее 40% женщин переносят, по крайней мере, один эпизод ИМП в течение жизни. n Особенно часто ИМП развивается на фоне структурных и функциональных
Под инфекцией мочевых путей (ИМП) понимают инфицированность мочевыводящих путей без указания уровня поражения мочевой системы. n n n По уровню поражения: - цистит - уретрит - простатит - пиелонефрит n n ИМП: острые, хронические ИМП: осложненные и неосложненные (асимптоматические и симптоматические).
Факторы, способствующие ИМП. n n n n n n n Нарушение уродинамики : - механические - МКБ, опухоли мочевых путей, нефроптоз, дистопия почек, аномалии (удвоение), беременность, быстрое похудание. - динамические - рефлюксы, нейрогенный мочевой пузырь (при СД, радикулите). 2. Нарушения почечной гемодинамики - атеросклероз почечных артерий - ГБ - диабетическая ангиопатия. 3. Экстраренальные очаги инфекции - в малом тазу (аднексит, эндометрит) - холецистит - пневмония - сепсис. 4. Методы обследования и лечения - катетеризация - операции на органах малого таза - применение нефротоксических атибиотиков. 5. Иммунодефицитные состояния - лечение цитостатиками, преднизолоном - дефекты клеточного и гуморального иммунитета 6. Пожилой возраст - нарушение опорожнения мочевого пузыря - атрофия слизистых - изменение личности (снижение опрятности). 7. Сахарный диабет - автономная нейропатия нарушает опорожнение мочевого пузыря - глюкозурия нарушает фагоцитоз - сосудистые нарушения и нефросклероз могут снизить защитный воспалительный ответ.
Восходящий путь развития ИМП
Пути проникновения инфекции n n n - уриногенный (циститы, уретриты, МКБ, стриктуры, опухоли, катетеризация, цистоскопия. - гематогенный (инфекция проникает в почку из отдаленного очага инфекции: пневмония, желчные пути, сепсис, др. ). - лимфогенный (занос из органов брюшной полости).
ИМП чаще всего вызывается грамотрицательной микрофлорой , хотя в зависимости от различных факторов частота возбудителей может меняться. Например, по данным авторов (О. П. Кузнецова, П. А. Воробьев, С. В. Яковлев, 1997) структура возбудителей следующая: E. Coli - у амбулаторных больных 90%, больных реанимационных отделений - 24%, Proteus - сответственно 5%, 6%, Enterococci - соответственно 0%, 23%, 15%, Staphylococci - 0%, 5%, 7%.
Острый пиелонефрит - острое воспалительное заболевание почек инфекционного происхождения с поражением интерстициальной ткани и чашечно-лоханочной системы.
n Острый пиелонефрит – заболевание почек, вызванное бактериальной инвазией n Хронический пиелонефрит – заболевание с признаками воспаления чашечно-лоханочной области, ее фиброзом и деформацией. У большинства больных инфекция вторична к аномалиям мочевого тракта, обструкции, везико-
Морфология Почки увеличены в размере, n n отечны. На поверхности беловато-желтоватые микроабсцессы. На разрезе микроабсцессы расположены преимущественно в корковом слое, бледные полосы распространяются из мозгового слоя в корковый, обозначая собирательные трубки, наполненные лейкоцитами. Изменения захватывают преимущественно верхний и нижний полюсы. Слизистая лоханки гиперемирована, отечна, иногда покрыта гнойным экссудатом. Лоханка может быть расширена, сосочки притуплены, уплощены и даже некротичны
Классификация острого пиелонефрита n n . По морфологическому признаку : серозный, гнойный. Стадии гнойного ОП – апостематозный нефрит, карбункул, абсцесс. По путям проникновения инфекции : -гематогенный (из экстраренальных очагов инфекции) -уриногенный (нарушение оттока мочи с восходящей инфекцией путем пиелолимфатических и пиеловенозных рефлюксов) Первичный (чаще 2 х-стороннее поражение), вторичный (при обструкции) - одностороннее поражение.
Патанатомия n Острый серозный характеризуется увеличением размеров почек. Почка отечна. n Острый гнойный значительные изменения в лоханке, чашечках, расширение их полостей. В просвете лоханки - гной. На разрезе многочисленные абсцессы, карбункул.
Общеклинические симптомы острого пиелонефрита: n n n - высокая лихорадка (38 -40) - озноб - головная боль - арталгии, миалгии - резкая слабость - артериальная гипотония (симптом надвигающегося бактериемического шока).
Местные симптомы острого пиелонефрита : n n n n - почечная колика - боль и напряжение мышц в поясничной области - напряжение мышц передней брюшной стенки - “+” симптом поколачивания по пояснице - увеличенная болезненная почка - дизурия - мочевой симптом.
УЗ признаки острого пиелонефрита n n n n n УЗИ - увеличение в объеме пораженной почки. Увеличение передне-заднего размера. Утолщение паренхимы Повыцшение эхогенности коркового вещества, снижение эхогенности мозгового вещества. « подчеркнутые пирамиды» . Снижение эхогенности почечного синуса. Очаги уплотнения (очаги лейкоцитарной инфильтрации) паренхимы. Уменьшение площади центрального эхокомплекса. Почка более контурирована за счет отека паранефральной клетчатки. Дилятация лоханки, утолщение и расслоение ее стенки. Усиление сосудистого рисунка диффузно, одновременно его снижение в зонах отека и инфильтрации
Эхографическая картина острого правостороннего пиелонефрита. На правой половине снимка: правая почка увеличена в размерах за счет объема паренхимы. Эхогенность паренхимы значительно повышена. Полость почечного синуса умеренно расширена, стенки синуса гиперэхогенны. На левой половине снимка - неизмененная левая почка. Показано гистографическое различие плотности паренхимы почек.
Острый пиелонефрит
Эхографическая картина острого правостороннего пиелонефрита. Размеры почки умеренно увеличены, эхогенность паренхимы значительно повышена. В нижней трети почки визуализируются изолированные расширения чашечек (на снимке указаны стрелками). Продольное сечение правой почки.
Эхографическая картина острого двухстороннего пиелонефрита. Размеры почек увеличены. Эхогенность паренхимы значительно повышена и превышает эхогенность паренхимы печени. Медуллярный слой не дифференцируется. Структуры почечного синуса представлены в виде ескольких гиперэхогенных, линейной формы структур с нечеткими контурами.
Симптомокомплекс острого пмелонефрита Эхографическая картина симптомокомплекса острого левостороннего пиелонефрита. На снимках: 1 - значительно увеличенная в размерах левая почка, эхогенность паренхимы и структур почечного синуса повышена; 2 - умеренное расширение, утолщение и многослойность стенок левого мочеточника в верхней трети; 3 - расширение полости, утолщение и многослойность стенки почечного синуса с повышением эхогенности содержащейся мочи за счет мелкодисперсной взвеси ; 4 - повышение эхогенности мочи в полости мочевого пузыря за счет мелкодисперсной взвеси.
Осложнения острого пиелонефоита n - паранефрит - поддиафрагмальный абсцесс n - ОПН n - бактериемический шок n
n Апостематозный пиелонефрит – потеря кортикомедуллярной дифференцировки, неоднородность паренхимы, ее утолщение, увеличение почки, неровность, нечеткость контуров, ноздреватая структура почки, гипоэхогенный ободок под капсулой.
n Карбункул - образование неправильной формы, неровные, нечеткие контуры, повышение эхогенности на ранних этпапах с последующим образованием зоны сниженной зхогенности с анэхогенной структуройв центре с гиперэхогенными включениями.
n Абсцесс почки – образование неправильной округлой формы с неправильным нечеткими контурами с ннеоднородной внутренней эхоструктурой. В последствии содержимое становится гипо- и анэхогенным. Снаружи гиперэхоенный ободок – пиогенная капсула
Эхографическая картина двухстороннего пиелонефрита. На косых сечениях через области ворот обеих почек визуализируются умеренно расширенные почечные синусы с выраженным утолщением и многослойностью стенок. Размеры почек увеличены за счет паренхимы, эхогенность последней повышена.
О. инфильтративный пиелонефрит
О. инфильтративный пиелонефрит. ЦДК
Формирование очага деструкции
Формирование очага деструкции n Эхографическая картина правой почки при остром пиелонефрите с формированием очага деструкции. На левой половине снимка - правая почка увеличена в размерах, структуры почечного синуса слабо дифференцируются, эхогенность паренхимы повышена. В средней трети по передней поверхности капсула почки выбухает за счет образования округлой формы с нечеткими контурами и гипоэхогенным участком в центре (указано стрелкой). На правой половине снимка визуализируется "дефект" капсулы почки и схожее по структуре образование (1) в прикапсульной паренхиме печени.
Абсцесс почки n Эхографическая картина сформировавшегося абсцесса паренхимы левой почки на фоне острого пиелонефрита. Размеры почки значительно увеличены, эхогенность паренхимы повышена с небольшим снижением вдоль капсулы, почечный синус бесструктурен. В проекции средней трети почки в заднемедиальном участке паренхимы визуализируется округлой формы образование с нечеткими контурами, гиперэхогенной капсулой толщиной до 1 см и внутренней полостью с нечеткими контурами, заполненной гетерогенным содержимым. Образование деформирует капсулу и фрагменты чашечно-лоханочного комплекса. Взаимоперпендикулярные сечения через проекцию образования.
Абсцесс почки
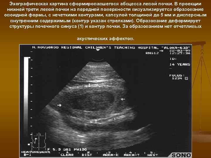
Эхографическая картина сформировавшегося абсцесса левой почки. В проекции нижней трети левой почки на передней поверхности визуализируется образование овоидной формы, с нечеткими контурами, капсулой толщиной до 5 мм и дисперсным внутренним содержимым (контур указан стрелками). Образование деформирует структуры почечного синуса (1) и контур почки. За образованием нет отчетливых акустических эффектов.
Эхографическая картина гидронефроз левой почки, осложненного пиелонефритом. Синус почки и все группы чашечек значительно расширены, эхогенность мочи повышена за счет мелкодисперсной взвеси. Эхогенность паренхимы почки значительно повышена.
Эхографическая картина правосторонней гидронефротической трансформации почки. Размеры почки значительно увеличены (границы указаны маркерами), паренхима представлена в виде тонкого ободка по периферии, значительно расширены все группы чашечек и почечный синус.
Эхографическая картина гидронефротической трансформации левой почки, осложненной пионефрозом. На левой половине снимка продольное сечение неизмененной правой почки с использованием в качестве акустического окна печени. На правом снимке левая почка представлена в виде овоидной формы образования (полости) с четким контуром и содержимым с дисперсным компонентом. Паренхима не визуализируется.
ХРОНИЧЕСКИЙ ПИЕЛОНЕФРИТ. n ХП - бактериальное воспалительное заболевание почек с преимущественным поражением интерстициальной ткани, канальцев, чашечно-лоханочной системы.
n n ХП - генетически обусловленное инфекционно-опосредованное иммунное воспаление с инициальным преимущественным поражением интерстиция почек с последующим вовлечением в патологический процесс всех структур почки, характеризующееся рецидивирующим течением с исходом в нефросклероз. Этиология - ведущее место занимает грам(-)флор
Патогенез хронического пинлонефрита n Нарушение уродинамики приводит к повышению давления в мочевых путях, нарушению опорожнения собирательных трубочек, возникновение рефлюксов, нарушение гемо- и лимфосистем в паренхиме почки, нарушение трофики мочевыводящих путей и потеря антисептических свойств мочи из-за стаза.
Диагностика хронического пиелонефрита n n n Анамнез - повторные эпизоды болей в пояснице, повышение t 0. Мочевой синдром : L, протеинурия до 1 гр. /c. , гематурия , бактериурия , гипостенурия Поллакиурический синдром: жажда, полиурия, никтурия, снижение плотности мочи Интоксикация - слабо выражена, лихорадка субфебрильная температура АГ
Лучевые признаки n n УЗИ-почек - ассиметрия, неровность контуров, деформация ЧЛС В/в урография - ассиметрия размеров почки, деформация ЧЛС, грибовидные чашечки с укороченными или суженными шейками, колбовидные чашечки
Хр. пиелонефрит
О. гломерулонефрит n Острый гломерулонефрит – это циклически протекающее инфекционно -аллергическое заболевание почек, развивающееся чаще через 1 – 3 недели после перенесенного инфекционного заболевания (чаще стрептококковой этиологии).
О. гломерулонефрит
Клиника о. гломерулонефрита n n n n экстраренальные: нервно-вегетативный синдром (недомогание, анорексия, вялость, тошнота, рвота, плохой аппетит, головная боль); кардиоваскулярный синдром (гипертензия, приглушенность тонов сердца, шумы и акценты тонов сердца, увеличение размеров печени); отечный синдром, проявляющийся пастозностью, ограниченными или генерализованными отеками; ренальные проявления: мочевой синдром (олигурия, протеинурия, гематурия, цилиндрурия, транзиторная лимфоцитарно-мононуклеарная лейкоцитурия); болевой синдром. Проявляется болью в области поясницы или недифференцированной болью в животе; синдром почечной недостаточности (азотемия проявляется тремя основными симптомами – отечным, гипертоническим и мочевым). Подострый гломерулонефрит протекает злокачественно Диагностика лабораторная
Эхографическая картина почек при остром гломерулонефрите. Размеры почек пропорционально увеличены, эхогенность коркового слоя паренхимы повышена и превышает эхогенность паренхимы печени. Пирамидки, на фоне высокой эхогенности коркового слоя, визуализируются отчетливо в виде гипоэхогенных структур клиновидной формы. Структуры почечного синуса не деформированы, но дифференцируются менее
Эхографическая картина почки при остром гломерулонефрите. Размеры правой почки пропорционально увеличены, эхогенность коркового слоя паренхимы резко повышена и значительно превышает эхогенность паренхимы печени. Медуллярный слой паренхимы практически не дифференцируется. Структуры почечного синуса отчетливо не визуализируются. Продольное сечение правой почки с использованием ткани печени в качестве акустического окна.
Хр. гломерулонефрит n Гломерулонефрит – иммуноаллергическое заболевание с преимущественным поражением сосудов клубочков – протекает в виде острого или хронического процесса с повторными обострениями и ремиссиями.
Хр. гломерулонефрит Хронический диффузный гломерулонефрит – длительно (не менее года) протекающее иммунологическое двустороннее заболевание почек, при которых изменения в моче сохрнаняются без существенной динамики свыше года или отеки и гипертензия наблюдаются свыше 3 – 5 месяцев. Это заболевание заканчивается (иногда спустя многие годы) сморщиванием почек и смертью больных от хронической почечной недостаточности. Хронический гломерулонефрит может быть как исходом острого гломерулонефрита, так и первичнохроническим, без предшествующей острой атаки. При любом течении хронический диффузный гломерулонефрит переходит в конечную стадию – вторично-сморщенную почку.
УЗ синдромы при диффузных заболеваниях почек n n n Выделяющихся пирамид Гиперэхогенных пирамид Перимедуллярного кольца Диффузное снижение эхогенности пирамид Повышение эхогенности паренхиы
УЗ признаки хр. гломерулонефрита n n n Проргрессирующее уменьшение размеров почки Повышение эхогенности паренхимы Потеря кортикомедуллярной дифференцировки Обеднение сосудистого рисунка в кортикальном слое Вторичносморщенная почка
Хр. гломерулонефрит
Хр. гломерулонефрит
Сморщенная почка
Допплерография сморщенной почки
Правосторонний пионефроз
Выраженный гидронефроз
Допплерограмма при острой обструкции. Увеличение пульсативности сигнала при снижении диастолического тока крови. RI = 0, 75.
n n Цистит – инфекция ограничена мочевым пузырем. Значимая (истинная, достоверная) бактериурия – > 105 уропатогенных бактерий в 1 мл мочи. Бессимптомная бактериурия – значимая бактериурия без каких-либо клинических проявлений. Симптоматическая абактериурия – дизурия без обнаруживаемой бактериурии.
Методика исследования мочевого пузыря
Эхографическая картина острого цистита. Стенки мочевого пузыря гиперэхогенны, в полости визуализируется дисперсная взвесь.
Эхографическая картина острого цистита. Стенки мочевого пузыря утолщены до 9 мм. В полости мочевого пузыря у задней стенки визуализируется эхогенный компонент (осадок).
Эхографическая картина хронического цистита. Стенка мочевого пузыря значительно утолщена, её внутренний контур неровный, эхогенность повышена. В полости пузыря визуализируется содержимое повышенной эхогенности за счет дисперсной взвеси.
Эхографическая картина конкремента мочевого пузыря. В проекции полости визуализируется округлой формы эхопозитивное образование, дающее акустическую тень. Стенки мочевого пузыря не изменены, эхогенность мочи обычная.
Эхографическая картина конкремента мочевого пузыря. В проекции полости визуализируется овоидной формы эхопозитивное образование, дающее акустическую тень.
Эхографическая картина полипа мочевого пузыря. В проекции задней стенки визуализируется средней эхогенности образование с четкими, ровными контурами, интимно связанное со стенкой (не смещается при изменении положения тела пациента). За образованием нет акустических эффектов.
Эхографическая картина опухоли мочевого пузыря. В области задней стенки визуализируется высокой эхогенности образование с неровными контурами и неоднородной "зернистой" эхоструктурой. На правой половине снимка отчетливо визуализируется истончение стенки пузыря в месте прикрепления образования и прилегающий к ней гипоэхогенный участок (указан стрелкой). За образованием нет акустических эффектов. Взаимоперпендикулярные сечения мочевого пузыря через проекцию образования. Гистологически: папиллярная карцинома.
Мочекаменная болезнь
Эхографическая картина левой почки при нефролитиазе. В проекции почечного синуса на границе нижней и средней трети визуализируется эхопозитивное образование, дающее интенсивную акустическую тень.
Эхографическая картина нефролитиаза. В средней трети левой почки, в проекции чашечки, визуализируется эхопозитивное образование диаметром 2 мм (указано стрелкой). За образованием слабая акустическая тень. Продольное сечение левой почки.
Конкремент лоханки
Эхографическая картина левой почки при нефролитиазе. В проекции всех групп чашечек визуализируются множественные эхопозитивные образования, дающие интенсивную акустическую тень. Различные продольные сечения левой почки.
Эхографическая картина уретеролитиаза. В проекции проксимального отдела мочеточника визуализируется эхопозитивное образование, дающее акустическую тень. 1 - почка, 2 расширенный мочеточник, конкремент указан стрелкой.
Эхографическая картина уретеролитиаза у пациента 10 лет. В просвете дистального отдела расширенного правого мочеточника визуализируется овоидной формы эхопозитивное образование, дающее акустическую тень. Взаимоперпендикулярные сечения через проекцию конкремента.
Конкременты
Эхографическая картина правой почки при нефроптозе. Исследование проведено у пациента в положении стоя. На эхограмме визуализируются средняя и верхняя трети правой почки, нижняя треть прикрыта акустической тенью (1) от гребня правой подвздошной кости (2).
заболевания почек .ppt