Заболевания почек.ppt
- Количество слайдов: 36
Заболевания почек. Классификация. Патанатомия. Осложнения. Причины смерти. Особенности патологии почек у детей Лектор – зав. кафедрой патологической анатомии и судебной медицины им. проф. Пругло Ю. В. д. м. н. Шабдарбаева Д. М.
• Почки – парный орган, постоянно образующий мочу. • Выводят метаболические шлаки, регулируют водносолевой обмен, артериальное давление и кислотно-основное равновесие крови, выполняют эндокринные функции.
КЛАССИФИКАЦИЯ Тубулопатии Гломерулопатии приобретенные наследственные пиелонефрит Почечнокаменная болезнь нефросклероз
Гломерулопатии приобретенные гломерулонефрит Идиопатический нефротический синдром
Гломерулопатии наследственные Наследственный нефрит с глухотой Наследственный нефротический синдром Семейный нефропатический амилоидоз
Тубулопатии приобретенные Некротический нефроз Острая почечная недостаточность Миеломная почка Подагрическая почка
Тубулопатии наследственные Канальцевые ферментопатии
Нефротический синдром • характеризуется высокой протеинурией, диспротеинемией, гипопротеинемией. гиперлипидемией (гиперхолестеринемией) и отеками. • Различают: первичный или идиопатический нефротический синдром, который является самостоятельным заболеванием, и вторичный нефротический синдром, как выражение почечного заболевания, например гломерулонефрита, амилоидоза.
• Идиопатический нефротический синдром у детей называют липоидным нефрозом или идиопатическим нефротическим синдромом детей, а у взрослых — мембранозным гломерулонефритом (мембранозной нефропатией).
• Для липоидного нефроза характерны так называемые минимальные изменения гломерулярного фильтра, которые при электронномикроскопическом исследовании выражаются потерей п о д о ц и т а м и их малых отростков ( «болезнь малых отростков подоцитов» )
липоидный нефроз
Липоидный нефроз. Появление капель жира, окрашенных в кирпично-красный цвет, отмечается в эпителии извитых канальцев (он увеличивается в размерах) и в строме почки, где жир фагоцитируется стромальными макрофагами ( «ксантомные» клетки). Липоидный нефроз - проявление нефротического синдрома (протеинурия, гипопротеинемия, гиперлипидемия, отеки).
• Почки при липоидном нефрозе резко увеличены, дряблые, капсула снимается легко, обнажая желтоватую гладкую поверхность. Корковый слой на разрезе широкий, желто-белый или бледно-серый, пирамиды- серокрасные (большие белые почки).
идиопатический нефротический синдром взрослых • рассматривают не только как один из видов гломерулонефрита (мембранозный гломерулонефрит), но и как самостоятельное заболевание — мембранозную нефропатию. • Заболевание характеризуется хроническим течением, клинически проявляется нефротическим синдромом или только протеинурией • имеет типичную гистологическую картину диффузного утолщения базальной мембраны капилляров клубочков в связи с отложением на ее эпителиальной стороне гранулярных иммунных комплексов; • В финале развиваются сморщивание почек и хроническая почечная недостаточность.
Амилоидоз почек • Одно из проявлений общего амилоидоза • Стадии – латентная, протеинурическа, нефротическая, азотемическая • Осложнения – инфекция (пневмония, рожа, паротит), нефрогенная артериальная гипертензия (инфаркты, кровоизлияния, сердечная недостаточность), острая почечная недостаточность • Смерть – ХПН и уремия или ОПН
Миеломная почка • В основе – парапротеинемический нефроз (развивается в связи с засорением стромы почек и канальцев парапротеином) • Исход – вторичное сморщивание почек, амилоидоз • Смерть - ХПН Нефробиоптат больного П. с множественной миеломой. Световая микроскопия, окраска Г. -Э. : а склерозированный клубочек; б - зернистая дистрофия эпителия канальцев, легкий тубулоинтерстициальный склероз с неспецифической инфильтрацией, кальцинат; в - то же, что и на рис. 2, б, но при большем увеличении
Подагрическая почка • Повышенное выделение почками мочевой кислоты приводит к засорению стромы и канальцев • В результате часто развивается пиелонефрит ураты
• Классификация • По количеству пораженных • наиболее частое заболевание почек во всех возрастных группах. • Двусторонний Заболевание выявляется в 8— 20 % вскрытий. Девочки и женщины • Односторонний • По условиям возникновения молодого и среднего возраста болеют в 6 раз чаще мальчиков и • Первичный мужчин. У детей пиелонефрит • Вторичный занимает второе место после • По характеру течения заболеваний органов дыхания. • Острый • Хронический острый • По пути проникновения инфекционного агента • Гематогенный • нисходящий чаще • восходящий реже • Лимфогенный • По состоянию проходимости мочевыводящих путей хронический • Необструктивный • Обструктивный • Гестационный (пиелонефрит беременных) Пиелонефрит
Формы острого пиелонефрита • Серозный • Деструктивный • Апостематозный пиелонефрит • Карбункул почки • Абсцесс почки Варианты течения хронического пиелонефрита • латентная • гипертензивная • ремиссия • анемичная • азотэмичная • бессимптомная Гематогенный пиелонефрит Острый пиелонефрит у детей
По морфологическим показателям (пиелонефрит детского возраста) Классификация составлена с учётом разработок В. В. Серова и Т. Н. Ганзен с незначительными терминологическими изменениями • • I. Острый (фазы): серозный; гнойный: очаговый инфильтративный; диффузный инфильтративный; Диффузный с абсцессами; с мезенхимальной реакцией.
• • • II. Хронический (формы): минимальные изменения; интерстициально-клеточный: инфильтративный; склерозирующий; интерстициально-тубулярный (крупноочаговый склероз, дистрофия и атрофия эпителия канальцев); • интерстициально-васкулярный; • смешанный (интерстициально-тубулярноваскулярный); • склерозирующий со сморщиванием почки. • III. Хронический с обострением (черты I и II).
Острый пиелонефрит • Орган увеличен, ткань набухшая, полнокровная, капсула снимается легко. Полости лоханок и чашечек расширены, заполнены мутной мочой или гноем, их слизистая тусклая, с очагами кровоизлияний. На разрезе почечная ткань пестрая, желто-серые участки окружены зоной полнокровия и геморрагии, встречаются абсцессы.
В зависимости от степени выраженности воспалительных изменений в почке выделяют: Острый серозный пиелонефрит – по сути дела это начальный этап формирования острого пиелонефрита, характеризующийся отечностью ткани почки и паранефральной клетчатки. На микроскопическом уровне вокруг сосудов определяются множественные воспалительные очаги. При своевременном лечении данный этап воспалительного процесса может завершиться выздоровлением. В противном случае, заболевание приобретает деструктивный гнойный характер (см. ниже).
• Острый гнойный пиелонефрит: • Апостематозный нефрит – характеризуется формированием в ткани почки множественных гнойных очагов. • Карбункул почки – обширный инфекционный очаг в почке, который может быть как одиночным, так и множественным. • Абсцесс почки – ограниченный крупный очаг гнойного расплавления.
осложнения • Карбункул почки (при слиянии крупных абсцессов) • Пионефроз (сообщение гнойных полостей с лоханкой) • Перинефрит (переход гнойного процесса на фиброзную капсулу) • Паранефрит (в околопочечную клетчатку) • Папиллонекроз (некроз сосочков пирамид, чаще у больных СД)
Острый интерстициальный нефрит
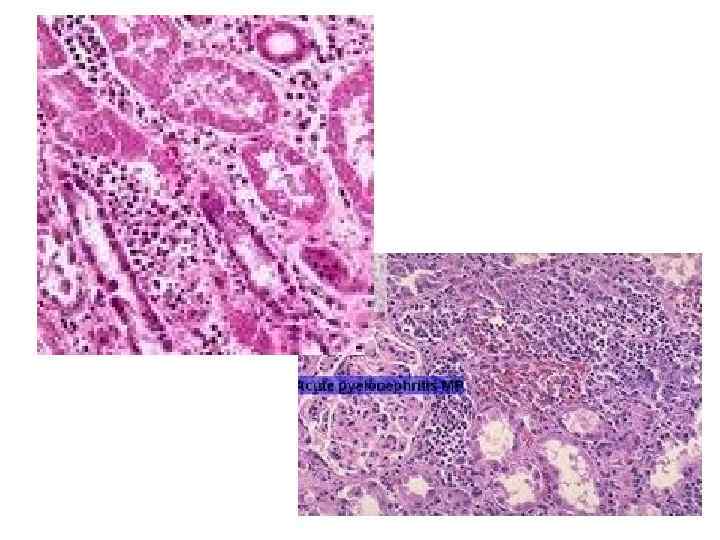
Острый пиелонефрит
Хронический пиелонефрит • Склеротические процессы сочетаются с экссудативнонекротическими • Наблюдается хроническое межуточное воспаление с разрастанием соединительной ткани, инкапсуляцией абсцессов и резорбцией гнойно-некротических масс • «щитовидная почка»
Исходы острого пиелонефрита • Выздоровление • Хронизация процесса Исходы хронического пиелонефрита • Вторичное сморщивание почки • Пионефроз Осложнения • Острая почечная недостаточность (ОПН) • Хроническая почечная недостаточность (ХПН) • Некротический папиллит • Паранефрит • Уросепсис Редкие формы пиелонефрита • Эмфизематозный пиелонефрит • Ксантогранулематозный пиелонефрит Хрон. пиелонефрит
Поликистоз почек • Наследственное заболевание почек • Напоминают виноградные гроздья • Кисты выстланы кубическим уплощенным эпителием • Осложнения – пиелонефрит, нагноение кисты, реже опухоль • Исход – неблагоприятный (ХПН и уремия)
Нефросклероз - уплотнение и деформация (сморщивание) почек вследствие разрастания соединительной ткани • При нефросклерозе почки плотные, поверхность их неровная, крупно- или мелкобугристая; • Отмечается структурная перестройка почечной ткани. • мелкозернистое - при гипертонической болезни и гломерулонефрите, крупнобугристое - при атеросклерозе, пиелонефрите, амилоидозе
Почечнокаменная болезнь (нефролитиаз) - болезнь, при котором в мочевыводящих путях образуются камни различного размера, структуры и состава. Болезнь имеет хроническое течение. • Морфологические изменения при нефролитиазе зависят от места локализации камней, их величины, инфекции и давности процесса. • Конкременты находящиеся в лоханке почки приводит к развитию пиелэктазии и в дальнейшем к гидронефрозу, что связано с атрофией почечной паренхимы и превращение почки в тонкостенный, заполненный мочой мешочек.
• При нахождении камня в чашечке, то нарушение оттока приводит к расширению только этой чашечки – гидрокаликозу, и атрофии подвергается только часть почечной паренхимы. • Камни, обтурирующие мочеточник, вызывают расширение его просвета выше обтурации и расширение лоханки почки. • Осложнения -пионефроз и гнойное расплавление почки, которые могут приводит к развитию сепсиса. При длительном течении болезни развивается хроническая почечная недостаточность. • Смерть – от уремии или осложнений связанных с гнойным расплавлением почки.
Обратная связь - осложнения хронического пиелонефрита: • • • Острая почечная недостаточность Кровотечение Пенетрация Пионефроз Первичное сморщивание почки
Благодарю за внимание!!! До следующей встречи!!!
Заболевания почек.ppt