хронический периодонтитMicrosoft PowerPoint.pptx
- Количество слайдов: 59
Хронический периодонтит (верхушечный) — хроническое воспаление периодонта, возникающее как переход острого процесса в хронической или формирующееся, минуя острую стадию
Хронический периодонтит • гранулирующий • гранулематозный • фиброзный
Гранулирующий периодонтит • Патологическая анатомия. Микроскопически при этой форме хронического периодонтита в верхушечной части корня зуба обнаруживают значительное утолщение и гиперемию корневой оболочки. Поверхность измененного участка периодонта неровная и представляет собой разрастания вялых грануляций. Микроскопическое исследование тканей околоверхушечной области свидетельствует о разрастании грануляционной ткани в области верхушки корня, постепенно увеличивающемся и распространяющемся на прилежащие отделы периодонта и стенку альвеолы. Увеличение такого очага сопровождается рассасыванием костной ткани в окружности воспалительного очага и замещением костного мозга грануляционной тканью. Одновременно наблюдают резорбцию участков цемента и дентина корня.
Гранулирующий периодонтит • В результате обострений воспалительного процесса гранулирующий очаг в периодонте постепенно распространяется на новые участки альвеолы, в основном в сторону преддверия рта, что приводит в некоторых случаях к образованию узур в компактной пластинке альвеолярного отростка. Отток гноя и прорастание грануляций способствуют возникновению свищевого хода. Иногда гранулирующий очаг распространяется в прилежащие мягкие ткани, образуя поднадкостничную, подслизистую или подкожную гранулему. После их вскрытия остаются свищи, в том числе на коже лица.
Клиническая картина. • Гранулирующий периодонтит является наиболее активной формой хронического периодонтита и дает весьма многообразную клиническую картину. Жалобы при гранулирующем периодонтите различны. Чаще больные жалуются на болезненность приеме твердой и горячей пищи, иногда боль усиливается при давлении. При гранулирующем периодонтите часто бывают обострения различной интенсивности. Активность воспалительного процесса проявляется периодическими болями в зубе при надавливании на него или накусывании
• Слизистая оболочка, покрывающая альвеолярный отросток в области верхушки корня зуба с гранулирующим очагом в периодонте, обычно слегка отечна и гиперемирована, при надавливании пинцетом или зондом на десну остается отпечаток инструмента. При вовлечении в патологический процесс прилежащих мягких тканей на слизистой оболочке возникает свищевой ход, который располагается чаще на уровне верхушки пораженного зуба в виде точечного отверстия или маленького участка выбухающих грануляций. Иногда свищевой ход на какое-то время закрывается. Однако при очередном обострении на месте бывшего свища появляются припухание и гиперемия слизистой оболочки, образуется небольшое скопление гноя, изливающегося затем в полость рта. После излечения хронического гранулирующего периодонтита на месте зажившего свища виден небольшой рубец. При прорастании хронического гранулирующего очага из периодонта под надкостницу и в мягкие ткани, окружающие челюсти — подслизистую и подкожную клетчатку, возникает одонтогенная гранулема
Различают 3 типа одонтогенной гранулемы: поднадкостничную, подслизистую и подкожную • При поднадкостничной гранулеме наблюдают выбухание кости альвеолярного отростка, округлой формы, соответственно пораженному зубу. Слизистая оболочка над этим участком чаще не изменена, иногда могут быть небольшие воспалительные явления, которые нарастают при обострении воспалительного процесса.
• Подслизистая гранулема определяется как ограниченный плотный очаг, расположенный в подслизистой ткани переходной складки или щеки в непосредственной близости от зуба, явившегося источником инфекции, и связанный с ним при помощи тяжа. Слизистая оболочка над очагом не спаяна.
• Для подкожной гранулемы характерен округлый инфильтрат в подкожной клетчатке, плотный, безболезненный или малоболезненный. От зубной альвеолы к очагу в мягких тканях идет соединительный тяж.
Серединный свищ шеи
Серединный свищ шеи
Диагностика хронического периодонтита • основывается на клинической картине и рентгенологических данных. На рентгенограмме при гранулирующем периодонтите обнаруживаются типичные изменения — очаг разрежения костной ткани в области верхушки корня. Линия периодонта в этом отделе не видна из -за инфильтрирующего роста грануляционной ткани, приводящего к рассасыванию стенок лунки, а также цемента и дентина корня. Поверхности их становятся неровными. Эту неровность выявляют более отчетливо со стороны костной ткани, в которую из периодонта идут небольшие выросты
Схематическая картинка рентгенограмм хронических периодонтитов
Дифференциальная диагностика. • Гранулирующий периодонтит следует дифференцировать от околокорневой кисты, хронического остеомиелита челюстей, свищей лица и шеи, актиномикоза
Гранулематозный периодонтит • форма околоверхушечного хронического воспалительного процесса часто развивается из гранулирующего периодонтита и протекает менее активно.
Патологическая анатомия. • Микроскопически отмечают разрастание грануляционной ткани в окружности верхушки корня. По периферии грануляционная ткань созревает, образуя фиброзную капсулу, и возникает гранулема. В верхушечной части корня, непосредственно прилегающей к разрастаниям грануляционной ткани, обнаруживают участки рассасывания цемента, иногда и дентина. На участках корня, соприкасающихся с ее капсулой, нередко отмечают новообразование цемента, а иногда и отложение избыточного цемента. В зависимости от строения гранулемы различают: 1) простую гранулему, состоящую из элементов соединительной (грануляционной) ткани; 2) эпителиальную гранулему, в которой между участками грануляционной ткани находятся тяжи эпителия; 3) кистовидную гранулему, содержащую полости, выстланные эпителием.
Клиническая картина • Течение гранулематозного периодонтита бывает различным. Нередко гранулема долго не увеличивается или растет крайне медленно. При этом больные часто не предъявляют жалоб. Лишь случайно при рентгенологическом исследовании обнаруживают гранулематозный очаг. Гранулемы, так же как и очаги хронического гранулирующего периодонтита, нередко располагаются не у самой верхушки корня зуба, а несколько сбоку. При этом на поверхности альвеолярного отростка соответственно проекции верхушки корня в результате происходящей перестройки костной ткани и явлений оссифицируюшего периостита можно выявить небольшое безболезненное выбухание без четких границ.
Диагностика • основывается на клинической картине, но чаще всего на рентгенологических данных. На рентгенограмме при гранулематозном периодонтите в околоверхушечной области виден округлый очаг разрежения костной ткани с четкими ровными границами. При правильно проведенном консервативном лечении на месте гранулематозного очага выявляют изменения, характерные для фиброзного периодонтита, или образование участка склерозированной костной ткани
Дифференциальная диагностика. • Хронический гранулематозный периодонтит следует дифференцировать от околокорневой кисты, особенно при выбухании кортикальной пластинки альвеолярного отростка. На рентгенограмме при гранулематозном периодонтите обнаруживают участок резорбции кости 0, 5— 0, 7 см диаметром, при кисте видна значительная резорбция кости с четкими контурами
Кисты челюстей
Фиброзный периодонтит • Под влиянием лечебных мероприятий, иногда и самопроизвольно может произойти рубцевание гранулирующего или гранулематозного очага в периодонте и восстановление на этом участке костной ткани. При этом в окружности верхушки корня образуется ограниченный воспалительный очаг вследствие разрастания фиброзной ткани — фиброзный периодонтит. Однако имеются данные, на основании которых можно полагать, что он иногда развивается и самостоятельно, т. е. без предшествующего гранулирующего или гранулематозного периодонтита. Нередко причиной фиброзного периодонтита являются окклюзионные перегрузки зуба
Патологическая анатомия • Микроскопически при фиброзном периодонтите участок периодонта удаленного зуба утолщен, плотен. Утолщенные участки корневой оболочки в области локализации патологического процесса, как правило, бледно-розовой окраски. Эти изменения оболочки корня захватывают в некоторых случаях лишь окружность его верхушки, в других — процесс бывает диффузным и распространяется на весь периодонт. Очень часто фиброзный периодонтит сопровождается избыточным образованием цемента — гиперцементозом. При микроскопическом исследовании обнаруживаются бедные клетками пучки грубоволокнистой соединительной ткани, между которыми изредка располагаются очажки круглоклеточной инфильтрации
Клиническая картина. • При фиброзном периодонтите больные обычно жалоб не предъявляют. При жевании или перкуссии не ощущают боли в зубе. При обследовании полости рта можно обнаружить зуб с некротизированной пульпой. Только при редко возникающем обострении процесса появляется болезненность при жевании. Исследование зуба и постукивание по его коронке вдоль продольной оси могут быть слабоболезненными.
Диагностика • основывается на данных рентгенографии. На рентгенограмме выявляют расширение линии периодонта, главным образом у верхушки корня зуба. Иногда в результате гиперцементоза обнаруживают значительное утолщение верхушечного участка корня. Костная пластинка, ограничивающая расширенную линию периодонта, нередко утолщена, склерозирована
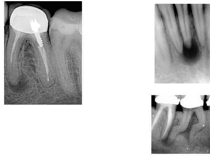
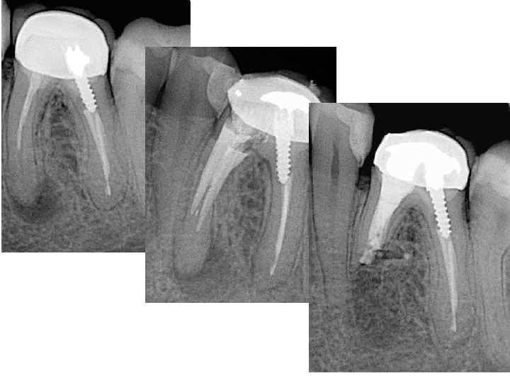
Хирургическое лечение • хронического периодонтита заключается в удалении зуба, реплантации, трансплантации, имплантации, резекции верхушки корня зуба, гемисекции, ампутации корня зуба.
Удаление зуба • проводят по обычным правилам. После удаления зуба при гранулирующем и гранулематозном периодонтите следует тщательно выскоблить грануляционные разрастания или гранулемы. Для профилактики атрофии кости альвеолу заполняют биоматериалом, мобилизуют прилежащие мягкие ткани и рану зашивают наглухо. При наличии свищевого хода на десне необходимы его ревизия и выскабливание грануляции по всей его протяженности. При хроническом гранулирующем периодонтите, осложненном подслизистой, поднадкостничной, подкожной гранулемами, после удаления зуба гранулематозные разрастания выскабливают из-под слизистой оболочки, надкостницы, подкожной клетчатки, кожи. При удалении патологических тканей в подкожной клетчатке и на коже лица предварительно рассекают тяж по переходной складке и образовавшуюся рану длительно в течение 3— 4 нед тампонируют йодоформной марлей. Очаг в мягких тканях выскабливают, иссекают свищевой ход и рану ушивают.
Реплантация зуба Возвращение в лунку удаленного зуба. Операцию проводят при безуспешности или невозможности консервативной терапии, нежелательности удаления зуба. Заключается в удалении зуба, выскабливании патологических тканей из альвеолы и с поверхности корня. После пломбирования каналов и резекции верхушек корней, зуб вводят в лунку и фиксируют там. Производят реплантацию преимущественно многокорневых зубов. Большое значение для успеха реплантации имеет сохранность круговой связки. Зуб удаляют осторожно, стараясь не травмировать тканей зубной альвеолы и прилегающих мягких тканей. Так же осторожно делают кюретаж альвеолы, убирая грануляционные разрастания или гранулему, стараются сохранить волокна периодонта по боковой поверхности альвеолы и круговую связку. Промывают рану теплым изотоническим раствором натрия хлорида с добавлением антибиотиков (грамицидин, линкомицин и др. ) и рыхло тампонируют стерильной марлей. Удаленный зуб временно помещают в какую-либо емкость, содержащую теплый (36, 6 °С) изотонический раствор натрия хлорида с добавлением антибиотиков или раствора хлоргексидина. Пломбируют полость зуба и каналы стеклоиномерным цементом, но лучше МТА цементом , создающим лучший герметизм и не влияющим токсически на костную ткань. Отпиливают верхушки его корней. Иногда корни зубов не резецируют, а только расширяют каналы и осуществляют медикаментозную обработку и их пломбирование. При этих манипуляциях осторожно держат зуб стерильной салфеткой и обязательно помещают его в консервирующий раствор (изотонический раствор натрия хлорида), После туалета кости зуб помещают в альвеолу и фиксируют его при помощи проволочной шины, защитной пластинки из быстротвердеющей пластмассы, проволочно-композитной фиксации, каппы на 2— 3 нед.
Аутотрансплантацию зуба • (пересадку зуба в другую альвеолу) производят редко. Она показана при удалении разрушенного зуба и возможности пересадки на его место сверхкомплектного зуба. Методика операции идентична реплантации зуба, однако ее исходы не всегда благоприятны. Заживление часто осложняется из-за травмы кости при формировании зубной альвеолы для зуба.
Аллотрансплантация зуба • — пересадка зуба от одного человека другому — разработана мало, хотя имеются сведения о единичных успехах. Главными моментами этой операции являются подбор зуба вместо удаленного, правильная предварительная консервация его и преодоление реакции отторжения после пересадки. Методика операции та же, что и при реплантации
Имплантация зуба относится также к аллотрансплантации или эксплантации. Применяются титановые, реже циркониевые имплантаты. Имплантаты бывают пластиночными, винтовые(корневидные), поднадкостничные. Если имлантацию проводят при удалении зуба ее называют немедленной имплантацией.
Гемисекция корня зуба • — это резекция и удаление части коронки вместе с одним из корней, имеющим патологический очаг у верхушки. Операцию производят у первых и вторых больших коренных зубов на нижней челюсти. Гемисекция показана при резорбции кости межкорневой перегородки, перфорации одного из корней или наличия у него глубокого внутрикостного кармана. Не следует проводить эту операцию при деструкции кости у всех корней зуба, выраженном гиперцементозе удаляемого корня, предполагаемой неэффективности консервативного лечения остающихся каналов корней.
• После консервативного лечения и пломбирования остающихся каналов корней и полости коронки зуба отделяют и осторожно удаляют при помощи бора на уровне бифуркации корней часть коронки и корень с патологическим очагом. При удалении части коронки и корня зуба используют чаще щипцы, производя ими ротационные или легкие люксационные движения. При удалении корня элеватором надо правильно определить точку опоры и с большой осторожностью работать на кости, не травмируя межкорневую перегородку и костный сегмент в области оставшегося корня. При работе с помощью боров, дисков при гемисекции обязательно охлаждение операционного поля путем орошения изотоническим раствором хлорида натрия из шприца или через специальную систему
Ампутацию корня зуба производят, предварительно отделив его у места фуркации. Показания и противопоказания к ампутации корня те же, что и при гемисекции. Удаляют чаще всего один из щечных корней верхних больших коренных зубов. Выполняют трапециевидный или углообразный разрез и отделяют слизисто-надкостничный лоскут вестибулярной или небной поверхности альвеолярного отростка верхней челюсти. Лоскут должен быть несколько больше зубочелюстного сегмента, где расположен корень, чтобы потом перекрыть образовавшийся дефект кости. Корень отсекают фиссурным бором, удаляют при помощи щипцов, делая только ротационные движения. В отдельных случаях удаляют переднюю костную стенку альвеолы и отсеченного корня с помощью элеватора.
Коронарорадикулярная сепарация • проводят в области больших коренных зубов при патологическом очаге в области бифуркации или трифуркации корней. Зуб рассекают на две части, проводят некрэктомию. Каждый сегмент зуба покрывают спаянными коронками, восстанавливая его функцию
Резекция верхушки корня зуба • показана, когда невозможно устранить хронический воспалительный процесс в периодонте консервативными методами лечения, а также в тех случаях, когда канал зуба закрыт застрявшим в нем инородным телом (головка бора, отломок пульпэкстрактора и др. ), препятствующим дальнейшему лечению периодонтита. Кроме того, она эффективна при перфорации стенки корня в верхушечном отделе, недостаточном выполнении канала твердеющим пломбировочным материалом, а также чрезмерном выведении его за верхушку, также отсутствие регресса околокорневого патологического очага, наличие свищевого хода после правильно проведенного эндодонтического лечения. В основном выполняют резекцию верхушки корня резцов и клыка, а также малых коренных зубов на нижней челюсти, реже — на верхней. В последние годы показания к этой операции расширены, и ее успешно осуществляют в области малых и больших коренных зубов.
Методика операции • Операцию проводят под проводниковой и инфильтрационной анестезией. В области наружной поверхности альвеолярного отростка делают дугообразный, линейный, углообразный или трапециевидный разрез с таким расчетом, чтобы при зашивании раны линия разреза не проходила на уровне трепанационного отверстия, а лоскут перекрывал его своими краями
Отделив от кости с помощью распатора слизи-стонадкостничный лоскут, его оттягивают по направлению к переходной складке тупым или острым крючком, трепанацию наружной стенки зубной альвеолы производят крупными шаровидными, а также фиссурными борами. Обнажив таким путем окруженную грануляционной тканью верхушку корня, приступают к его удалению. Корневую верхушку следует спиливать фиссурным бором или торцовой фрезой, после удаления верхушки зуба выскабливают из полости грануляции и участки размягченной кости кюретажной ложкой
сошлифовав фрезой несколько наискось культю корня, небольшим шаровидным бором расширяют просвет канала, затем обратно-конусовидным бором или ультразвуковой насадкой формируют в культе полость, выполняют ее серебряной амальгамой, стеклоиномерным цементом, МТА цементом, вводя небольшими порциями и конденсируя инструментом
Ультразвуковые насадки для апикальной хирургии
Инструмент для ретроградного пломбирования
• применения эндодонто-эндооссальных имплантатов пациентам с хроническим периодонтитом


