Хирургическая патология легких у детей.ppt
- Количество слайдов: 98
Хирургическая патология легких у детей. лекция Доцент кафедры детской хирургии СГМУ, к. м. н. Голованов Е. С.
Цель лекции 1. Иметь представление о врожденных пороках развития легких. 2. Иметь представление о врачебной тактике при инородных телах трахеобронхиального дерева и бронхоэктазиях.
Проблема хирургической патологии легких у детей – одна из наиболее актуальных проблем современной пульмонологии. По мере уменьшения заболеваемости и летальности детей от острой пневмонии удельный вес хронической бронхо-легочной патологии, пороков развития легких несомненно возрастает
Большинство пневмоний острые и излечиваются консервативно. Плохие результаты лечения острой пневмонии или их безуспешность часто обусловлены хирургической патологией легких у детей, требующей оперативного лечения.
Выявление хирургической патологии легких у детей требует правильного лечения и обследования с острым легочным процессом: рентгенография (а не скопия) легких в вертикальном положении для диагностики процесса и контроля излечения. Наличие рентгенологических изменений в легких после 1 месяца от начала острого заболевания дает основания ставить диагноз затяжной пневмонии.
Затяжная пневмония n Клинически она проявляется: - длительным кашлем - стойко держащимися локальными физикальными изменениями в легких. Задача. педиатра – пульмонолога выяснить причину затягивания пневмонии. А среди причин наиболее часты хирургические заболевания легких
n Таким образом изучение затяжных пневмоний – один из путей выявления хирургических заболеваний легких у детей
n Другой контингент детей, полозрительных на наличие хирургической патологии легких – это дети, имеющие признаки дыхательной недостаточности с первых дней жизни без явных признаков пневмонии
n Третий путь выявления хирургических заболеваний легких – флюрография и другие профилактические или диагностические рентгенологические исследования грудной клетки
Методы исследования больных с хирургическими заболеваниями легких n Останавливаться на клиническом исследовании, функциональных, микробиологических, иммунологических и биохимических методах исследования дыхания мы не будем, так как эти методы подробно излагаются в курсе педиатрии.
Рентгенологическое исследование n Наряду с «обычными» рентгенологическими методами (рентгенография и томография органов грудной клетки), при обследовании пульмонологических больных применяются также более сложные методики, часть из них носит инструментальный характер (бронхоскопия, бронхография, кинобронхография, АПГ, сканирование легких и др).
Рентгенография грудной клетки n Является основным и совершенно обязательным исследованием всех больных пульмонологического профиля. Лишь после анализа рентгенограмм можно наметить рациональный план дальнейшего рентгенологического и инструментального исследования. n Рентгенография легких выявляет : изменение прозрачности легочной ткани, деформацию легочного рисунка, перибронхиальный склероз, инфильтративные изменения и др.
Томография n Оказывает существенную диагностическую помощь при выявлении бронхоэктазов, полостей легких, ателектазов. n Метод имеет особое значение в дифференциальной диагностике опухолевых и не опухолевых поражений легких и средостения.
Бронхологические методы исследования: бронхография и бронхоскопия Для проведения этих методов необходима специальная эндоскопическая аппаратура, возможность провести детям обезболивание.
Бронхоскопия Цель: диагностическая и лечебная. Диагностическая: определяет наличие, и характер распространенность эндобронхита, строение бронхов, наличие или отсутствие опухолей или инородных тел и др. Возможности метода – не глубже сегментарных бронхов. Лечебная: лечение эндобронхита, удаление инородных тел, биопсия и др.
Бронхография Определяет анатомию бронхов, калибр которых меньше сегментарных. Контрастирование бронхов производится с помощью различных контрастных веществ (в нашей больнице с помощью желеотраста (желатин + кардиотраст) или желеографина (желатин + верографин). На 3 гр желатина 20 мл контраста. Метод позволяет получить данные о состоянии просвета бронхиального дерева, о полостных образованиях, сообщающихся с бронхами.
n Бронхография может быть эффективной лишь при условии подготовки бронхиального дерева для исследования. При этом количество выделяемой в сутки мокроты не должно превышать 25 – 50 мл. В противном случае контрастное вещество не сможет равномерно заполнить бронхиальное дерево, что приводит к неправильной интерпретации имеющихся изменений. Поэтому перед бронхографией проводится санационная бронхоскопия. n Дозировка контрастного вещества: количество в мл на одну сторону = количество лет (мл) + 4 мл.
n Бронхологические методы исследования у детей проводят под эндотрахеальным наркозом с применением миорелаксантов. n При наличии ЭОПа и кинокамеры можно провести кинобронхографию.
Рассмотрим наиболее частые пороки развития легких
Эмбриогенез n Закладка дыхательной трубки происходит на 3 – 4 неделе внутриутробной жизни. n Сосуды легкого закладываются на 5 – 6 неделе. n Альвеолярная ткань появляется лишь на 6 – 8 месяце внутриутробного развития. n Окончательно легкое формируется к 6 – 7 летнему возрасту ребенка.
Пороки развития легких (Сазонов А. М. , Цуман В. Г. ) Классификация Группы аномалий Виды аномалий I. Аномалии, обусловленные 1) Агенезия (аплазия) комбинированным нарушениемлегкого или доли развития нескольких структур Гипоплазия легкого или 2) доли, в том числе поликистоз и микрокистозное легкое 3) Добавочное легкое
II. Аномалии, 1. Трахеобронхомегалия обусловленные 2. Стенозы трахеи и бронхов (в преимущественно т. ч. «врожденная эмфизема нарушением легких» ) развития 3. Дивертикулы трахеи и бронхов бронхоэпителиаль ных ветвлений 4. Бронхопищеводный свищ 5. Сепарация и транспозиция бронхов 6. Варианты числа бронхов (добавочные бронхи или аплазия отдельных ветвей) 7. Бронхолегочные кисты 8. Дизонтогенетические бронхоэктазы
III. Аномалии, обусловленные нарушением развития сосудов А. Сосудов малого круга 1. Изолированная аплазия сосудов 2. Изолированная гипоплазия сосудов 3. Аневризмы, артериовенозные свищи, ангиомы 4. Аномальное впадение легочных вен 5. Варианты отхождения и числа сосудов
Б. Сосудов большого 1. Легочные секвестрации круга кровообращения А) внелегочная; б) внутрилегочная 2. Аномалии бронхиальных сосудов: аплазия, гипоплазия, аневризмы, ангиомы, варианты отхождения и числа сосудов 3. Аберрантные сосуды 4. Доля непарной вены В. Лимфатических 1. Аномалии лимфатических сосудов
IV. Аномалии других 1. Дермоидные кисты органов и тканей, 2. Тератомы возникающие в 3. Муковисцедоз эмбриональном периоде, но поражающие легкое.
I. Агенезия и аплазия легкого или его долей n В 50 – 60% случаев сочетается с пороками развития других органов и систем (особенно сердечно- сосудистой системы) n Двусторонняя агенезия – новорожденный не жизнеспособен n При агенезии нет ничего, при аплазии имеется рудиментарный бронх (слепой главный бронх) n Агенезия и аплазия долей легкого встречается реже чем всего легкого n В мировой литературе описано около 200 наблюдений
Клиника n При односторонней агенезии и аплазии существенную роль играет инфекция в единственном легком, а также скопление мокроты в дивертикуле рудиментарного бронха.
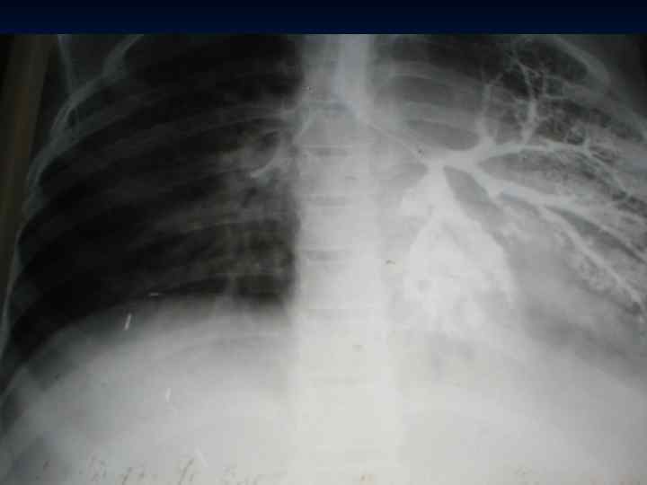
Рентгенология 1. Сужение межреберных промежутков на стороне поражения, расширение на здоровой 2. Гомогенное затемнение на стороне поражения с возможным просветлением в верхнем отделе – пролабирование здорового легкого через переднее средостение – легочная грыжа (медиастинальная) 3. Сколиоз 4. Отсутствие дыхательной экскурсии 5. Отсутствие наружного контура сердца на фоне интенсивного затемнения 6. Приподнятый и не дифференцированный контур диафрагмы 7. Смещение средостения в сторону порока 8. Решающее значение имеет бронхография и АПГ.
Агенезия легкого
II. Гипоплазия легкого или доли - недоразвитие всех структур в процессе онтогенеза 1. Простая гипоплазия – равномерное поражение объема легкого или доли, сужение бронхов. На бронхограмме нет субсегментарных бронхов «сгоревшее дерево» , нет дистальных ветвлений бронхов. 2. Кистозная гипоплазия – составляет до 60% всех аномалий. Кистозные расширения субсегментарных бронхов и отсутствие в этих участках легочных альвеол. (некоторые авторы относят сюда же мешотчатые бронхоэктазы, поликистоз, сотовое легкое и т. д. , поэтому статистически частота от 5 до 60%).
Клиника n Пневмония, бронхит, гнойная интоксикация и жалобы, характерные для бронхоэктазов и нагноение в бронхах. n Кашель со скудной мокротой. n Течение отличается обманчивой доброкачественностью (не меняется внешний вид больного, нет «барабанных палочек» , цианоза)
Рентгенология n Затемнение и смещение средостения в больную сторону, иногда медиастинальная грыжа. n Бронхограмма – бронхоэктазы и АПГ.
Лечение n оперативное
III. Врожденные кисты легких n Истинные или бронхогенные кисты легких. Порок эмбрионального развития одного из выстланных эпителием мелких субсегментарных бронхов. n Наряду с истинными врожденными кистами существуют, ложные кисты или кистоподобные полости (буллы, которые никогда не содержат жидкости и не склонны к нагноению). n Возможны приобретенные кисты, после СДЛ. Даже морфологически их трудно дифференцировать.
А. Открытая киста - сообщается с просветом бронха, закрытая киста не сообщается. Рентгенологически: открытая киста – шаровидная полость с четкой тонкой стенкой. Закрытая киста – круглая с четкими контурами тень в легком без перифокальных изменений.
Б. Одиночные и множественные кисты В. Не осложненные и осложненные кисты (нагноение кисты, напряжение кисты, разрыв кисты).
n Нагноившиеся кисты могут прорваться в бронх (кашель с гноем и состояние улучшается), в плевральную полость (не сообщается с бронхом – пиоторакс; сообщается с бронхом – пиопневмоторакс); может давать внутрилегочное напряжение. n При напряженной врожденной кисте – дренаж по Мональди (катетер через толстую иглу) и далее операция. После стихания острых явлений.
n Не осложненная киста. Операция в плановом порядке, операция выбора цистэктомия. n Бывают огромные кисты всей половины грудной полости – тут путают с пневмотораксом – но при пневмотораксе дренаж помогает, а при огромной кисте дренаж не помогает. Здесь необходима радикальная операция – лоб или билобэктомия. n Пневмоторакс и огромную кисту нужно дифференцировать с лобарной эмфиземой легкого.
Множественные кисты легкого - поликистоз n Бронхиальное дерево сформировано правильно, но кисты расположены в субсегментарных бронхах на уровне легочной ткани (сотовое или ячеистое легкое. n Осложненные, дренирующиеся через бронх кисты (инфицированные) протекают как бронхоэктазы.
Дифференциальный диагноз. 1. С буллами при СДЛ – буллы меняют конфигурацию, проходят; поликистоз не проходит 2. При лобарной эмфиземе – нет четких границ полостей 3. Абсцессы легкого – нет инфильтрации окружающих тканей. 4. Диафрагмальная грыжа – ирригография. Поликистоз доли – лобэктомия. 2 -й сторонний поликистоз – лечение консервативное (санационные бронхоскопии).
Кисты легкого
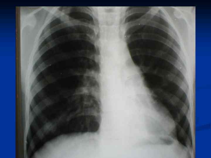
IV. Врожденная лобарная эмфизема - обструктивная или гигантская эмфизема, сверхпрозрачное легкое. n В основе заболевания указывают: 1. Дефект развития хрящевых колец сегментарного бронха 2. При неизмененных воздухопроводящих путях число альвеол в 5 раз больше нормы 3. Перегибы и стенозирование бронха. При выходе воздуха, выходит меньше, чем на вдохе входит, клапанный механизм, перераздувается часть легкого.
3 формы врожденной лобарной эмфиземы n Основные признаки: - Дыхательная недостаточность и сердечно- сосудистые расстройства из-за смещения средостения и поджатия здорового легкого + сам порок развития.
Декомпенсированная форма n Представляет наиболее серьезную опасность для жизни ребенка. Уже в период новорожденности эта форма проявляется резкой одышкой, цианозом, частыми приступами асфиксии, в следствии гипоксии мозга присоединяются судороги. На стороне поражения грудная клетка выбухает, межреберные промежутки расширены, дыхание отсутствует или резко ослаблено, сердце смещено в здоровую сторону. n Лечение срочная операция.
Субкомпенсированная форма n Одышка при физической нагрузке или присоединении воспаления. Физикально над пораженным легким коробочный оттенок и ослабление дыхания. n Чаще встречается у детей после года.
Компенсированная форма n Признаки ОДН менее выражены, чем в предыдущей форме. Однако даже у взрослых при нагрузке может определятся ОДН и бывает напряженный пневмоторакс. n В компенсированной форме по данным Э. А. Степанова (1963) возможно самоизлечение за счет постепенной нормализации хрящевого каркаса бронхов. n С другой стороны Holzel и др. (1965) указывали на возможность рецидива процесса после операции. Эти обстоятельства заставляют сдержанно относиться к операции у больных с отсутствием клинических симптомов порока. Хотя А. М. Сазонов и соавт. (1981) единственно радикальным методом при всех формах считают резекцию пораженных сегментов легкого. n В детской практике чаще всего поражается верхняя доля левого легкого. Могут быть поражения и других долей и даже всего легкого
n Бронхография при декомпенсированной форме противопоказана.
Рентгенология n Вздутие пораженных отделов легкого с медиастинальной грыжей, органы средостения смещены в здоровую сторону. n Бронхография выявляет (суб и компенсированные формы) – сужение и деформация долевого бронха и обрыв мелких бронхов со смещением ветвей сдавленных отделов легкого. Бронхи коллабированных долей легкого сближены и собраны в «метелку»
Лобарная эмфизема
Дифференциальный диагноз 1. Пневмотораксом 2. Эмфиземой при инородном теле бронха 3. Напряженными легочными кистами 4. Ателектазом доли. (снимки)
V. Легочные секвестрации n Своеобразный порок развития, характеризующийся наличием участка легочной ткани, располагающегося внутри легкого или вне его, имеющего изолированную бронхиальную систему и питающегося за счет аномальной артерии, отходящей от аорты или ее ветвей. (другое название: врожденная бронхопульмональная киста с аномальным сосудом, бронхопульмональная диссоциация, нижнее добавочное легкое, экстралобарное добавочное легкое и др, В. И. Стручков – кистозная гипоплазия с аортальным кровоснабжением)
1. Внутрилегочная секвестрация n Наиболее частая локализация заднебазальный сегмент, чаще слева (за тенью сердца) гомогенное затенение с несколькими округлыми полостями)
2. Внелегочная секвестрация (аберрантное легкое) n Полная эктопия легкого, которая может располагаться как внутри плевральной полости, так и вне ее. n Приток крови от артерий идущих от грудного или брюшного отдела аорты. Венозный отток при внутрилегочной секвестрации в легочную артерию или систему парных и полунепарных вен, а при внелегочной в систему верхней или нижней полой вены. n Клинически проявления определяются присоединившимся вторичным нагноительным процессом.
Бронхография n Зависит от наличия или отсутствия сообщения пораженного участка с основным бронхиальным деревом (кисты могут вскрываться в просвет бронхов). Нет сообщения – бронхограмма ничего не дает. Есть сообщение – кистозные расширения бронхов. n При аортографии общей, а лучше селективной получают четкое изображение аномальных сосудов.
Лечение секвестрации легкого, осложненного вторичным нагноительным процессом – только оперативное n Удаление доли (легочная связка разделяется под контролем зрения, рассекая более массивные ее участки только после наложения зажимов или лигирования. n Кровотечение артериальное!!!)
n Остальные пороки развития легких встречаются реже, поэтому лечение их, как и точная диагностика являются предметом узких специалистов (бронхологов, сосудистых хирургов и др. )
Бронхоэктазия - хроническое воспалительное заболевание бронхолегочной системы, которое характеризуется патологическим расширением бронхов с гнойно- воспалительным процессом в них и пневмосклеротическими изменениями.
n Бронхоэктазии встречаются у 10 до 20% больных страдающих ХНЗЛ (Ю. Н. Гольдина, А. Г. Пугачев 1970). n Большинство авторов считают бронхоэктазию, болезнью в основном детского возраста (П. А. Куприянов, 1955, А. П. Колесов 1959)
Этиопатогенез n До настоящего времени не существует общепризнанной теории происхождения бронхоэктазии. Среди факторов, способствующих формированию бронхоэктазий выделяют следующие: - Врожденные пороки развития бронхиального дерева - Рецидивирующие воспалительные заболевания легких - Детские инфекционные заболевания - Инородные тела трахеобронхиального дерева - Туберкулез - Некоторые наследственные заболевания и системные поражения.
n Независимо от этиологических моментов, основное значение в патогенезе бронхоэктазии у детей имеет взаимодействие двух факторов: воспалительного процесса и нарушения дренажной функции бронхов. n При врожденных пороках развития первичным является нарушение дренажной функции бронхов, что приводит к застою секрета, инфекция присоединяется вторично. n При бронхоэктазии, развивающейся в постнатальном периоде, основное значение имеет воспалительный процесс. Рецидивирующие бронхиты и затяжные пневмонии могут привести к формированию бронхоэктазий.
n В генезе бронхоэктазов особое место придают обтурации бронхов и возникновению ателектазов. n Куприянов ввел термин «ателектатические бронхопневмонии» , причем он подчеркивал, что ателектазы инфицируются и ведут к бронхоэктазии. n Обтурация бронхов может быть наружной (лимфоузлы, опухоли и др), но чаще всего это закупорка слизью, гноем, инородными телами, у новорожденных околоплодными водами.
n Необходимо подчеркнуть, что анатомо- физиологические особенности дыхательный путей у детей (узость хоан, голосовой щели, трахеи и бронхов, обильная секреция слизи, небольшие дыхательные экскурсии грудной клетки) способствуют легкому возникновению обтурации дыхательных путей, особенно в условиях воспаления.
n В патогенезе бронхоэктазий ряд авторов подчеркивает значение расстройства моторики бронхиальной стенки (Климанский В. А). n Некоторые авторы полагают, что возникновение бронхоэктазии происходит на фоне неполноценного бронха, дизонтогенетические бронхоэктазии.
Классификация n Вопросы классификации представляют большую сложность, поскольку существуют различные патогенетические концепции бронхоэктазии. Нами принята следующая классификация бронхоэктазии: 1. По генезу: приобретенные и врожденные 2. По форме: цилиндрические, мешотчатые, кистозные, смешанные 3. По распространенности: одно- и двухсторонние. Двусторонние – симметричные и ассиметричные. 4. По течению: с обострениями (частыми, редкими) 5. Рецидивные бронхоэктазы: А) истинные там где их не было до операции (причины – – деформирующий бронхит) Б) резидуальные – там где была операция. (причины – неполноценная дооперационная бронхография, тактические и технические ошибки при операции, послеоперационный ателектаз)
Клиника, диагностика n По клиническому течению различаем 4 формы предложенные В. Р. Ермолоевой: 1. Легкая 2. Выраженная 3. Тяжелая 4. Осложненная (амилоидоз, легочная гипертензия, сердечно-сосудистая недостаточность) У детей преобладают 1 и 2 формы, «малые формы» .
n В анамнезе у этих детей частые простудные заболевания, пневмонии, часто затяжные. В ряде случаев имеются прямые указания на аспирацию инородных тел n Общее состояние детей с ограниченными небольшими поражениями нарушено мало n При более обширных поражениях отмечается слабость, утомляемость, отставание в физическом развитии. n Основной жалобой является кашель с большим или меньшим количеством слизистой или слизисто-гнойной мокроты.
n Дети редко откашливают мокроту «полным ртом» n Кровохарканье у детей в отличие от взрослых встречается редко и более характерно для бронхоэктазии на почве инородных тел. n Обычно кровохарканье умеренное, очень редко приводит к анемии. n Периодические повышения температуры тела. n Симптом «барабанных палочек» в основном у больных зависит от патологического шунтирования крови, т. к. бывает и при пороках сердца и исчезает после радикальной операции (удаление бронхоэктазов). Этот симптом не наблюдается при внелегочных гнойных хронических очагах.
Рентгенологически n Грубая тяжестость, сходящаяся к корню. n Сердечная тень смещается в больную сторону, отмечается симптом «оголенных позвонков» , высокое стояние соответствующего купола диафрагмы. Нижние доли в передней проекции представляются в виде треугольной тени, прилежащей к нижнему отделу средостения и сливающийся с диафрагмой ( «базальный треугольник» )
Бронхологически: n Бронхоскопия – выявляется локализованный или диффузный, катаральный, гнойный или фиброзно- гнойный эндобронхит.
Бронхография n Основной метод, важнейшее требование это полное и последовательное контрастирование бронхиального дерева обоих легких. (рентгенограммы). n Наиболее частая локализация бронхоэктазов (75%): в нижней доле и язычковых сегментах слева; справа нижняя доля реже чем левая, но очень часто средняя доля справа. Двусторонние поражения у детей встречаются в 25 – 30% случаев.
Лечение n Если раньше считалось, что основным методом является консервативное лечение, то в настоящее время хирургический метод стал ведущим. n Как самостоятельный метод консервативное лечение применяется при наличии противопоказаний к операции, преимущественно у детей с обширными поражениями превышающими 11 сегментов. n Наряду с мероприятиями общего характера, направленными на уменьшение интоксикации и повышении реактивности организма, основное значение имеет санация трахеобронхиального дерева, включающая ЛФК, постуральный дренаж, вибрационный массаж, ингаляции со щелочными и муколитическими препаратами, повторные лечебные бронхоскопии.
Показания к оперативному лечению: 1. односторонние, строго локализованные или «очерченные» бронхоэктазы 2. Ателектатические ( после аспирации инородных тел) бронхоэктазы 3. Двусторонние симметричные и ассиметричные строго локализованные бронхоэктазы. Объем резекции не более 11 сегментов. Производится резекция легких с двух сторон с интервалом 6 – 12 месяцев.
Противопоказания к операции: 1. Множественные двусторонние рассеянные бронхоэктазы 2. Невозможность сохранить 3 сегмента 3. Легочная гипертензия 4. Бронхоэктазы с одной стороны, в другом легком распространенный деформирующий бронхит 5. Сердечно-легочная недостаточность 6. Амилоидоз почек 7. Бронхиальная астма (можно оперировать только в случае симптоматической астмы) Оптимальный возраст для оперативного лечения после 7 – 10 лет.
Характер операции: n Это резекция пораженных сегментов и долей легкого. В клинике, руководимой проф. Ю. Ф. Исаковым, применяют новый метод лечения бронхоэктазии у детей – операция изолированной субтотальной экстирпации бронхов (без легочной паренхимы) и операция сегментарной резекции проксимальных участков бронха с ушиванием его концов.
n Клиника считает, что данные операции отличаются следующими преимуществами: 1. Нет травмы оставляемых участков легкого 2. Не перевязываются сосуды легкого 3. Нет осложнений связанных с негерметичностью легочной паренхимы 4. Предупреждается пространственное перемещение бронхов 5. Сохраняется разгрузочное шунтирование при повышении давления в малом круге кровообращения.
n После операции по поводу бронхоэктазии дети подлежат диспансерному наблюдению у пульмонолога не менее 5 лет, с бронхологическим контролем перед снятием с учета. n Дети подлежат переводу на инвалидность. n Отдаленные результаты показывают, что полное излечение наблюдается у 50% оперированных детей. В 25% случаев отмечается значительное улучшение, которое не может быть достигнуто без операции. n У 25% больных результаты неудовлетворительные. Последние связаны: 1) рецидивными бронхоэктазами; 2) деформирующим бронхитом; 3) прогрессированием двустороннего процесса; 4) бронхиальной астмой; 5) легочно-сердечной
Врожденные бронхоэктазии: 1. Синдром Зиверта-Картагенера – триада: обратное расположение внутренних органов, бронхоэктазы, хронический пансинусит или полипоз. Наиболее частая локализация бронхоэктазов: средняя доля и нижняя доля слева и язычковые сегменты справа – обратное расположение внутренних органов.
Лечение n При выраженных очерченных бронхоэктазах – оперативное, которое проводится после санации придаточных пазух и верхних дыхательных путей.
2. Синдром Вильямса-Кемпбелла n своеобразные врожденные генерализованные бронхоэктазы, обусловленные врожденным недоразвитием хрящей.
клиника n Стойкий кашель n Мокроты мало n Свистящее дыхание n Одышка n Легочно-сердечная недостаточность
бронхография n Генерализованные веретенообразные расширения субсегментарных и более мелких бронхов.
Лечение n консервативное
Инородные тела дыхательных путей и их осложнения n Аспирация инородных тел у детей встречается в 4 -5 раз чаще, чем у взрослых. n Причем 60% падает на детей ясельного возраста, на дошкольный возраст приходится 25% и школьный 15%. n Органически инородные тела аспирируются чаще до 80% случаев. n Просвет правого бронха шире левого и правый бронх отходит от трахей под углом 25 градусов, левый – 45 градусов, поэтому инородные тела чаще (до 70%) попадают в правое легкое.
n Осложнения, возникающие при аспирации инородных тел заключаются в блокировании бронха и приводит к ателектазу, что в свою очередь ведет к инфицированию и в дальнейшем формируются бронхоэктазы. Как правило пребывание инородного тела 3 – 4 недели ведет к возникновению бронхоэктазов. n Из других осложнений отмечают абсцедирование легкого, кровотечение, а в отдельных случаях возможен смертельный исход если вовремя не оказать помощь.
Клиника, диагностика n Клиническая картина зависит от уровня расположения инородного тела, его подвижности и времени, прошедшего с момента аспирации. n Момент аспирации, как правило, сопровождается приступообразным кашлем. Приступ асфиксии развивается при аспирации крупных инородных тел, застревающих в гортани, трахее или главном бронхе. При баллотирующих инородных телах возможны повторные приступы асфиксии.
n Выраженность дыхательных расстройств определяется уровнем блокирования бронхов. При закупорке главного бронха быстро развиваются одышка, цианоз. Выключение из дыхания одной доли легкого сопровождается меньшими респираторными нарушениями. В дальнейшем в клинике становятся определяющими воспалительные изменения в легком, они более выражены при органических инородных телах, которые осложняются бронхоэктазами, нередко абсцедированием, а в ряде случаев кровотечением.
Рентгенологически: n Выявляется синдром Гольцкнехта-Якобсона: толчкообразное смещение тени средостения в сторону инородного тела. Выявляются 3 формы нарушения проходимости дыхательных путей: 1 форма – обтурационная гиповентиляция (инородное тело ограничивает поступление воздуха в легкое на вдохе и выдохе). 2 форма – обурационная эмфизема ( на вдохе воздух проникает в легкое, выдох ограничен). 3 форма – обтурационный ателектаз (полная непроходимость на вдохе и выдохе)
Лечение: n Дети, особенно с баллотирующими инородными телами дыхательных путей нетранспортабельны и необходимо вызывать специалиста «на себя» . n Удаление инородных тел целесообразно начинать с ларингоскопии, при которой может быть обнаружено и удалено инородное тело гортани и подсвязочного пространства. n Удаление большинства инородных тел трахеобронхиального дерева производится при бронхоскопии. n Если инородное тело удаляют в ближайшие дни после аспирации и еще не развились воспалительные явления дальнейшего обследования и лечения ребенок не требует.
n При наличии пневмонии, ателектаза, вызванных инородным телом, состояние больных после удаления инородного тела улучшается, однако необходима интенсивная терапия. n Если длительность пребывания инородного тела превышает 3 – 4 недели и после его удаления клинически и бронхоскопически остаются признаки воспаления, показано бронхографическое исследование.
Показания к хирургическому лечению 1. Инородные тела проникающие в паренхиму легкого 2. Вклинившиеся не удалимые инородные тела 3. Неудавшиеся попытки удалить инородное тело с помощью бронхоскопа. При хирургическом лечении инородных тел и их осложнений применяют операции: пневмотомию, бронхотомию и резекцию легких.
Диспансеризация n Дети, страдающие хирургической патологией легких подлежат обязательному диспансерному учету в поликлинике у пульмонолога и детского хирурга. n Правильная организация диспансерной службы предусматривает своевременное выявление, направление на обследование и лечение в специализированные стационары с последующей реабилитацией и санаторно-курортным лечением детей.
n При проведении занятий по трудовому воспитанию, выборе профессии – врач должен учитывать будующий род деятельности больного ребенка и давать соответствующие рекомендации n Последовательно и настойчиво проводимое лечение на всех этапах наблюдения (детская поликлиника – стационар – специализированный санаторий – поликлиника), преемственность лечения в этих учреждениях могут предотвратить прогрессирование болезни, сохранить работоспособность ребенка и в значительном числе случаев добиться клинического выздоровления.
Благодарю за внимание


