Выполнил студент гр 3403 Серов И. В.
Рак яичников – это злокачественное образование яичников. Эпидемиология Рак яичников занимает 3 е место в структуре онкологических заболеваний. РЯ долгое время протекает бессимптомно. Поэтому у большинства пациенток к моменту диагностики заболевание имеет распространенную стадию. Ежегодная смертность составляет около 50% от всех злокачественных новообразований внутренних гениталий.
Этиология и патогенез Этиология рака яичников, как и многих других онкологических заболеваний, выяснена недостаточно. В 1972 году появилась теория непрерывной овуляции, согласно которой эпителий яичников не выдерживает многолетней постоянной работы без физиологического отдыха, что приводит к травматизации, а затем и к неоплазии. Другой теорией этиопатогенеза рака яичников является дисгормональная, согласно которой постоянная гиперстимуляция клеток яичников гонадотропными гормонами гипофиза приводит к их повреждению и малигнизации. Приблизительно от 5 до 10% случаев рака яичников имеют наследственный характер. Наиболее важным фактором риска является наличие данного заболевания у родственников первой линии мать, дочь или сестра).
Факторы риска рака яичников отсутствие беременностей, родов; применение заместительной гормонотерапии; гормональное медикаментозное лечение бесплодия; наследственные факторы (наличие случаев рака яичников в семье); внешние факторы (порошок талька)
Факторы, снижающие риск развития рака яичников • применение оральных эстроген гестагеновых контрацептивов; • беременности, заканчивающиеся родами; • лактация; • перевязка маточных труб
Классификация: 1. Первичный опухоль возникает непосредственно в ткани яичника, имеет солидное строение и составляет 4% всех злокачественных опухолей яичников; 2. Вторичный развивается в доброкачественных опухолях яичников, в основном в папиллярных цистаденомах; 3. Метастатический из опухолей желудочно кишечного тракта (50%), из новообразований молочных желез (30%), из опухолей внутренних половых органов (20%).
Гистологическая классификация ВОЗ (1996) I. Эпителиальные опухоли: серозные; муцинозные; эндометриоидные; светлоклеточные; опухоли Бреннера; смешанные; недифференцированные опухоли; неклассифицированные эпителиальные опухоли. II. Опухоли стромы полового тяжа: гранулезоклеточные; андробластомы; гинандробластомы; неклассифицированные опухоли. III. Липоидноклеточные опухоли. IV. Герминогенные: дисгерминома; опухоль эндодермального синуса; полиэмбриомы; тератомы; хориокарциномы; эмбриональные карциномы; смешанные опухоли. V. Гонадобластомы. VI. Опухоли мягких тканей, неспецифичные для яичников, VII. Неклассифицированные опухоли. VIII. Метастатические опухоли. IX. Опухоли неясного генеза. X. Опухоли сети яичника. XI. Опухолевидные состояния.
К злокачественным опухолям яичников относятся: недифферцированная карцинома, дисгерминома, опухоль Крукенберга, незрелая тератома.
Тератома опухоль, образующаяся из гоноцитов, наиболее часто в яичниках у женщин, в яичках у мужчин, в крестцово копчиковой области у детей, а также в мозге. Представляет собой ткань или даже орган, нетипичный для локализации опухоли: в тератоме могут присутствовать волосы, мышечная ткань, костная ткань
Дисгерминома яичника — плотная, бугристая опухоль, расположенная в позадиматочном пространстве. Типичная дисгерминома представлена солидной опухолью округлой или овоидной формы с гладкой белесоватой фиброзной капсулой. Опухоль может достигать значительных размеров, полностью замещая ткань яичника. На разрезе ткань опухоли желтоватая, бледно бурая с розовым оттенком.
Опухоль Крукенберга быстро развивающееся злокачественное новообразование, поражающее одно или (чаще) оба яичника. Данная опухоль является вторичным образованием; первичная опухоль обычно развивается в желудке или кишечнике.
Степени дифференцировки опухоли яичника Высокодифференцированные новообразования (G 1 0 – 25%) Умеренно дифференцированные (G 2 26 – 50%) Низкодифференцированные (G 3 51 – 75%) Недифференцированные (G 4 76 – 100%)
Стадии рака яичников TNM FIGO Характеристика Т 1 I Опухоль ограничена яичниками. T 2 II Опухоль поражает один или два яичника с распространением на таз. T 3 и/или N 1 III Опухоль поражает один или оба яичника с микроскопически подтвержденными внутрибрюшинными метастазами за пределами таза и/или метастазами в регионарных лимфатиче ских узлах. Т 3 и/или N 1 M 1 IV Отдаленные метастазы (исключая внутрибрюшинные метастазы).
Клиническая картина На ранних стадиях патогномоничные симптомы отсутствуют. Сочетание этого с широтой возрастных групп, разнородностью морфологического строения опухоли обуславливает выявление заболевания уже в запущенных стадиях.
Субъективные симптомы Симптомы общего характера: слабость, недомогание, повышенная утомляемость, понижение аппетита, сухость во рту, утомляемость, субфебрильная температура, Нарушение функции ЖКТ: чувство быст рого насыщения пищей, тошнота, изжога, вздутие живота, тяжесть в животе, увеличение объе ма, появление запоров Нарушение функции органов мочевыделительной системы: учащенные позывы к мочеиспусканию, уменьшение количества мочи
Субъективные симптомы Боли внизу живота встречаются у 60% пациенток (характер периодически возникающих болей от слабых до «острого живота» ), чаще у женщин молодого возраста (в 22% случаев); Увеличение живота в объеме (за счет опухоли, асцита); Нарушение менструального цикла в виде мено и метроррагий, позднее или раннее наступление менопаузы, появление кровянистых выде лений в менопаузе (что чаще бывает при гормонально активных опухолях яичников, например, при опухолях стромы полового тяжа у 71, 4% больных, что тре бует проведения дифференциальной диагностики между раком матки и опухолью яичника).
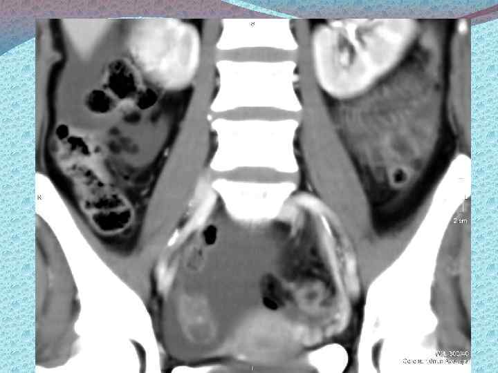
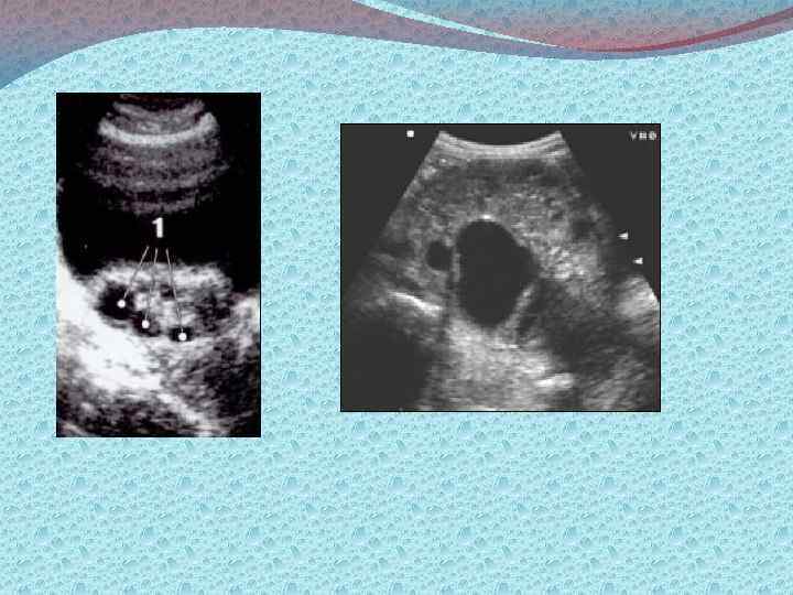
Методы диагностики: Визуализирующие: а)лучевые б)эндоскопические Лучевые: УЗИ, КТ, МРТ. Эндоскопические: лапароскопия, пункция заднего свода, забор материала для гистологического исследования. Лабораторные. Определение типов опухолевых маркеров: 1) онкофетальные и онкоплацентарные а/г (РЭА, АФП ХГЧ, ТБГ) 2) Опухолеассоциированные антигены (СА 125, СА 19 9, СА 72 4) 3) Ферменты (ПЩФ, НСЕ) 4) Гормоны (кальцитонин, эстрадиол, пролактин, ТТГ) 5) Продукты онкогенов 6) Белки острой фазы (ферритин, С реактивный белок, РЭА) 7) Биологически активные пептиды (ПГ, ГАГ, M CSF)
Стадирование злокачественных опухолей яичников: Первый этап: Физикальные методы обследования, в том числе осмотр шейки матки зеркалами; Са 125 в крови и моче; УЗИ органов брюшной полости, таза; Цитологическое исследование пунктата заднего свода влагалища Второй этап (для более точной оценки распространенности процесса, наличия метастазов): Компьютерная и магниторезонансная томография Рентгенография органов грудной клетки Цистоскопия, Внутривенная урография Сцинтография костей скелета
Лечение Хирургическое лечение: Типичная операция; Циторедуктивные операции. Химиотерапия (цисплатин, карбоплатин, циклофосфан, таксол) 6 8 курсов
Пятилетняя выживаемость I стадия 57, 4 70%, II стадия – 37, 5 52, 2%, III стадия – 10, 8%, IV стадия – 4, 6%


