Введение в пат анатомию.2.ppt
- Количество слайдов: 42
Введение в патологическую анатомию
Патологическая анатомия – фундаментальная медико-биологическая наука, изучающая структурные основы патологических процессов и всех болезней человека
Что изучает ? Патология клетки l Молекулярные основы, этиология, патогенез, морфология и морфогенез патологических процессов и болезней l Танатогенез l Патоморфоз болезней l Патологический эмбриогенез l Разработка классификаций болезней l
Патоморфоз - стойкое и существенное изменение количественных и качественных показателей в заболевании, а также клинико-анатомических форм болезни под влиянием различных факторов (лечения, факторов внешней среды, свойств инфекционного агента, экономического уровня жизни общества)
Морфологическая Современная основа патологическая клинического анатомия диагноза Теория медицины
Место патанатомии в современной медицине
Методы патанатомии биопсия l аутопсия l эксперимент l
Цели аутопсии экспертиза правильности диагноза и лечения l установление причины смерти l проведение научных исследований l обучение студентов и врачей l
Регламентация аутопсий l l Вскрытие проводится обязательно: 1. подозрение на насильственную смерть; 2. досуточная летальность; 3. при проведении хирургических вмешательств, анестезиологических мероприятий; 4. при подозрении на передозировку или непереносимость лекарств; 5. все беременные, роженицы и дети до 1 года. Вскрытие может не проводится по религиозным мотивам в случае наличия: 1. письменного заявления членов семьи; 2. предварительного волеизъявления самого умершего. 9
Ятрогения - (патология лечения) любые нежелательные или неблагоприятные последствия профилактических, диагностических и терапевтических вмешательств, либо процедур, которые приводят к нарушению функции организма, ограничению привычной деятельности, инвалидизации и смерти 10
Виды биопсии l. Диагностическая l. Операционная l Пункционная l Эксцизионная l Инцизионная l Аспирационная
Уровни изучения организменный l органный l тканевой l клеточный l ультраструктурный l молекулярный l
Эволюция представления об амилоидозе в зависимости от уровня исследования «сальная болезнь» – К. Рокитанский l крахмал (амилоид) – Р. Вирхов l белковая природа амилоида – М. М. Руднев l АА-, АL- , FAP-, ASC-белки – современное представление l
Синдром фон Восс-Черствого M. Urioste Azcorra, P. Aparicio Lozano. Sindrome de von Voss-Cherstvoy (DK-Focomelia): Primera descripciуn en Espaсa y revisiуn de la literature // An Esp Pediatr 1997; 46: 299 -302.
Структура патологической анатомии Общая патанатомия l Частная патанатомия l
Задачи общей патанатомии Обобщение фактических данных, полученных с помощью различных медикобиологических методов исследования l Изучение типовых патологических процессов l Разработка проблем этиологии, патогенеза, морфогенеза болезней человека l Развитие филосовско-методологических аспектов биологии и медицины l Формирование теории медицины вообще и учения о болезни в частности l 27
Современные методы в морфологии l l Иммуногистохимические методы (ИГХ) Электронная микроскопия Гибридизация in situ (ГИС) Полимеразная цепная реакция (ПЦР)
Иммуногистохимические методы В основе лежит специфическое взаимодействие тканевых и клеточных антигенов человека со специально полученными антителами, несущими на себе разнообразные метки.
Возможности ИГХ Определение принадлежности клетки к определенной ткани l Идентификация отдельных продуктов (например, аномальных белков), путей передачи клеточных и межклеточных сигналов, синтеза определенных белков, глико- и липопротеинов l
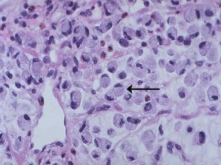
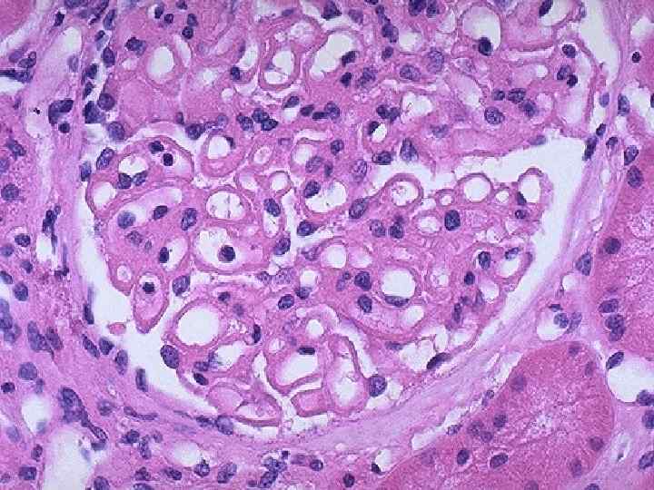
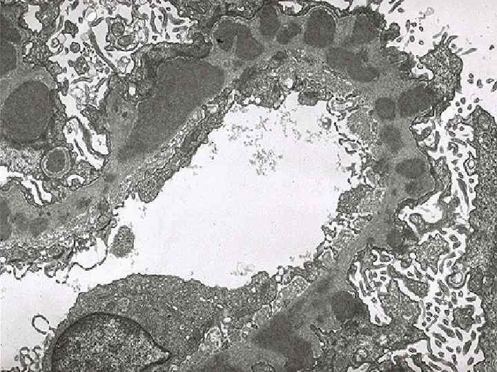
Электронная микроскопия Применяется для изучения деталей строения клеток, выявления вирусов, бактерий, отложений иммунных комплексов Примеры применения: l онкология – гранулы Бирбека при гистиоцитозе Х l онкология – Z-диски в клетках рабдомиосаркомы l нефрология – диагностика гломерулонефритов
Гибридизация in situ Применяется для: 1. Определения вирусных геномов 2. Определения мутантных генов 3. Установления факта активного синтеза белка (в отлтчие от ИГХ, которая позволяет определять лишь наличие белка) 4. Подтверждения данных ИГХ
Гибридизация in situ l l метод определения конкретных последовательностей ДНК или РНК in situ (т. е. прямо на гистологическом препарате) В основе лежит принцип комплементарного взаимодействия ДНК или РНК в исследуемом препарате с внесенной последовательностью нуклеотидов (зондом), соединенной с меткой
Полимеразная цепная реакция метод определения конкретных последовательностей ДНК или РНК в любом биологическом образце l ПЦР – это осуществляемая in vitro амплификация (т. е. увеличение числа копий) нуклеиновых кислот, инициируемая синтетическими олигонуклеотидными праймерами l
Полимеразная цепная реакция Отличия от гибридизации in situ 1. За счет амплификации обладает большей чувствительностью (примерно в 1 млн. раз) 2. Как правило, не совмещается с морфологией
Этапы развития патологической анатомии 1. Анатомический (до начала XIX века) Дж. Морганьи (1685 -1777) К. Рокитанский (1804 -1878) 2. Микроскопический (XIX век – середина ХХ века) Р. Вирхов (1821 -1902) 3. 4. Ультрамикроскопический (с середины ХХ века) Современный – патологическая анатомия живого человека
Московская школа А. И. Полунин (1820 -1888) l М. Н. Никифоров (1858 -1915) l А. И. Абрикосов (1875 -1955) l М. А. Скворцов (1876 -1963) l И. В. Давыдовский (1887 -1968) l В. Т. Талалаев (1886 -1947) l Н. А. Краевский (1905 -1985) l А. И. Струков (1901 -1988) l В. В. Серов l
Белорусская школа Титов Иван Трофимович (1875 -1949) l Гулькевич Юрий Валентинович (1905 -1974) l Лазюк Геннадий Ильич l Кравцова Гарина Ивановна l Недзьведь Михаил Константинович l Черствой Евгений Давыдович l
Литература l Основная – Струков А. И. , Серов В. В. Патологическая анатомия. – Лекции по патологической анатомии. Под ред. Е. Д. Черствого, М. К. Недзьведя l Дополнительная – Пальцев М. А. , Аничков Н. М. Патологическая анатомия в 3 х томах – Пальцев М. А. Атлас по патологической анатомии


