Скачать презентацию Возможности конусно-лучевой компьютерной томографии и мультиспиральной компьютерной томографии Скачать презентацию Возможности конусно-лучевой компьютерной томографии и мультиспиральной компьютерной томографии

КЛКТ пирамиды (97).ppt

  • Количество слайдов: 29

Возможности конусно-лучевой компьютерной томографии и мультиспиральной компьютерной томографии в отображении анатомических структур пирамиды височной Возможности конусно-лучевой компьютерной томографии и мультиспиральной компьютерной томографии в отображении анатомических структур пирамиды височной кости

Материалы и методы • 5 серий изображений МСКТ височных костей у людей без ЛОР-патологии Материалы и методы • 5 серий изображений МСКТ височных костей у людей без ЛОР-патологии • 5 серий изображений КЛКТ исследований височных костей у людей без ЛОРпатологии • Программное обеспечение для 2 Dвизуализации: Radiant DICOM Viewer, Real Scan Viewer, Inobitec DICOM Viewer • Программное обеспечение для 3 Dвизуализации: Point. Nix Real Scan Viewer, Inobitec DICOM Viewer

Задний полукружный канал КЛКТ МСКТ Задний полукружный канал КЛКТ МСКТ

Преддверие Водопровод преддверия КЛКТ МСКТ Преддверие Водопровод преддверия КЛКТ МСКТ

Головка молоточка Тело и короткий отросток наковальни КЛКТ МСКТ Головка молоточка Тело и короткий отросток наковальни КЛКТ МСКТ

Наковально-молоточковый сустав Овальное окно Наковально-молоточковый сустав Овальное окно

Основание головки молоточка Основание головки молоточка

Мышца, напрягающая барабанную перепонку Стремечко Мышца, напрягающая барабанную перепонку Стремечко

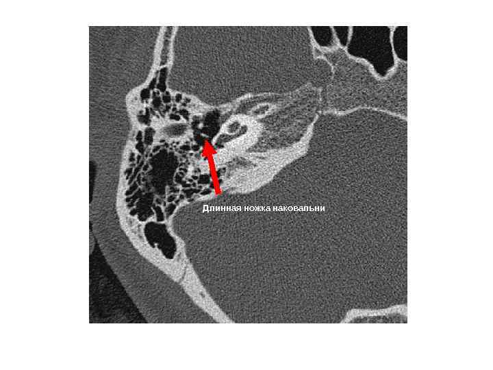
Длинная ножка наковальни Длинная ножка наковальни

Наружная апертура водопровода преддверия Наружная апертура водопровода преддверия

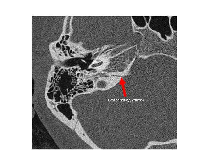
Водопровод улитки Водопровод улитки

Слуховые косточки молоточек наковальня стремечко Слуховые косточки молоточек наковальня стремечко

Метод объемной визуализации Inobitec Dicom Weaver (КЛКТ) Метод объемной визуализации Inobitec Dicom Weaver (КЛКТ)

Метод объемной визуализации Inobitec Dicom Weaver (МСКТ, 1 мм) Метод объемной визуализации Inobitec Dicom Weaver (МСКТ, 1 мм)

Метод объемной визуализации Point. Nix Real. Scan 2. 0 (КЛКТ) Метод объемной визуализации Point. Nix Real. Scan 2. 0 (КЛКТ)

Выводы • Методы МСКТ и КЛКТ обладают одинаковой информативностью в 2 D-визуализации анатомических структур Выводы • Методы МСКТ и КЛКТ обладают одинаковой информативностью в 2 D-визуализации анатомических структур пирамиды височной кости, несмотря на разную разрешающую способность. • Метод КЛКТ позволяет осуществлять 3 Dвизуализацию анатомических структур (слуховых косточек, улитки, каналов) пирамиды височной кости благодаря высокой разрешающей способности. • Метод КЛКТ оказывает в 5 -10 раз меньшую лучевую нагрузку на организм пациента по сравнению с МСКТ. • Для проведения полного исследования височных костей при КЛКТ необходимо 2 серии снимков, по одному на височную кость. Большинство аппаратов КЛКТ технически не приспособлены к проведению исследования височных костей.

Выводы • Inobitec DICOM Weaver обладает возможностью 3 D-визуализации пирамиды височной кости, однако его Выводы • Inobitec DICOM Weaver обладает возможностью 3 D-визуализации пирамиды височной кости, однако его функции ограничены отсутствием необходимых программных инструментов. • Возможности КЛКТ в сочетании с Point. Nix Real. Scan позволяют проводить визуализацию мелких структур пирамиды височной кости.

http: //headneckbrainspine. com/ http: //headneckbrainspine. com/

Спасибо Спасибо