Воздушно-капельные инфекции Микропрепараты.ppt
- Количество слайдов: 41
Воздушно-капельные инфекции
Дифтерия § Этиология: Corynebacterium diphtheriae токсинпродуцирующая, аэробная, палочковидная бактерия
Дифтерия § Входные ворота и локализация первичного аффекта: - Зев и миндалины - Гортань, трахея, бронхи - Конъюнктива - Раны - Наружные половые органы
Дифтерия § Формы: - Дифтерия зева - Дифтерия верхних дыхательных путей
Крупозный трахеит (бронхит)
Крупозный трахеит (бронхит)
Крупозный трахеит (бронхит)
Крупозный трахеит (бронхит)
Скарлатина § Формы: - Токсическая - Септическая - Второй период скарлатины (спустя 35 недель)
Септическая форма скарлатины § В области первичного аффекта гнойнонекротическое воспаление. § Типичные места распространения процесса за пределы миндалин и осложнения: – – Заглоточное пространство (заглоточный абсцесс) Среднее ухо (гнойный отит) Височная кость (гнойный остеомиелит) Клетчатка шеи (гнойно-некротический лимфаденит и флегмона шеи) – Мозговые оболочки (гнойный менингит) – Головной мозг (абсцессы)
Менингококковая инфекция § Этиология: грам-негативный диплококк
Менингококковая инфекция § Формы: - Назофарингит - Гнойный менингит - Мениногококцемия
Менингококцемия – синдром Уотерхаузена-Фридриксена
Гнойный менингит
Гнойный менингит
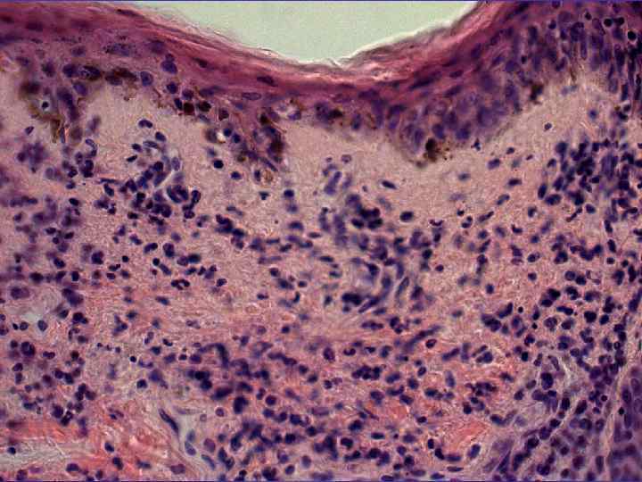
Гнойный лептоменингит
Гнойный лептоменингит
Гнойный лептоменингит
Гнойный лептоменингит
Внутренняя гидроцефалия
Грипп § Возбудитель – РНК-геномный вирус рода Influenzavirus семейства Orthomyxoviridae.
Некротически-геморрагический трахеит при гриппе (гематоксилин и эозин, х 10)
Некротически-геморрагический трахеит при гриппе (гематоксилин и эозин, х 10)
Некротически-геморрагический трахеит при гриппе (гематоксилин и эозин, х 20)
Некротически-геморрагический трахеит при гриппе (гематоксилин и эозин, х 20)
Некротически-геморрагический трахеит при гриппе (гематоксилин и эозин, х 20)
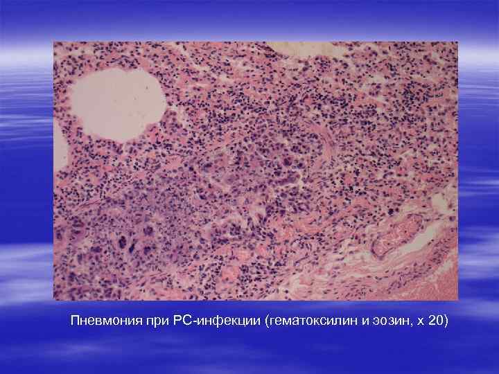
Респираторно-синцитиальная инфекция (РС-инфекция) § Возбудитель – РНК-геномный вирус рода Pneumovirus семейства Paramyxoviridae. § При РС-инфекции развиваются бронхит, бронхиолит, бронхопневмония. § Пролиферация эпителия мелких бронхов в виде сосочков или выпячиваний, состоящих из крупных клеток с вирусными включениями в цитоплазме и светлыми крупными ядрами округлой формы. § Экссудат в альвеолах серозно-десквамативный с эпителиальными симпластами. Сильно выражена интерстициальная реакция альвеолярной ткани.
Пневмония при РС-инфекции (гематоксилин и эозин, х 10)
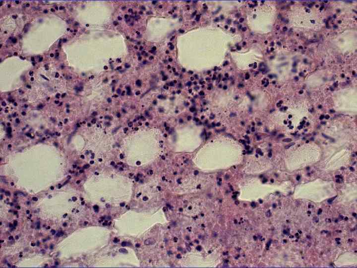
Пневмония при РС-инфекции (гематоксилин и эозин, х 20)
Пневмония при РС-инфекции (гематоксилин и эозин, х 20)
Пневмония при РС-инфекции (гематоксилин и эозин, х 20)
Пневмония при РС-инфекции (гематоксилин и эозин, х 40)
Пневмония при РС-инфекции (гематоксилин и эозин, х 40)
Пневмония при РС-инфекции (гематоксилин и эозин, х 40)
Воздушно-капельные инфекции Микропрепараты.ppt