Восп заб орг дых (пр занятие).ppt
- Количество слайдов: 74
Воспалительные заболевания органов дыхания у детей Заслуженный врач Российской Федерации, доцент Горнаков Иван Сергеевич Река Клязьма (Южский район)
Бронхиты у детей Острый простой бронхит Острый обструктивный бронхит Острый бронхиолит Рецидивирующий бронхит Хронический бронхит Облитерирующий бронхиолит
Острый простой бронхит острое воспалительное заболевание бронхов, протекающее без клинических признаков бронхиальной обструкции.
Хронический бронхит Критерии диагностики: продуктивный кашель, постоянные разнокалиберные влажные хрипы в легких (в течение нескольких месяцев) при наличии двух-трех обострений заболеваний в год на протяжении двух лет. В детском возрасте первичный хронический бронхит - большая редкость. В большинстве случаев он является следствием других причин (пороков развития легких, иммунодефицитных состояний и др. ), т. е. является «вторичным» . Поэтому диагноз «первичный хронический бронхит» может ставиться только после тщательной дифференциальной диагностики.
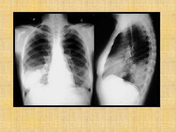
Хронический бронхиолит с облитерацией Заболевание, развивающееся вследствие острого облитерирующего бронхиолита, морфологическим субстратом которого является облитерация бронхиол и артериол одного или нескольких участков легких, приводящая к нарушению легочного кровотока и развитию эмфиземы Синдром одностороннего сверхпрозрачного легкого (синдром Мак Леода) представляет собой частный случай данного заболевания. Клинически проявляется одышкой и другими признаками дыхательной недостаточности разной степени выраженности, локальными физикальными данными в виде стойкой крепитации и мелкопузырчатых хрипов. У детей старшего возраста может сопровождаться бронхообструктивным синдромом, имеющим торпидное, плохо поддающееся лечению бронходилятаторами течение. При наличии клинических данных и рентгенологических признаков сверхпрозрачности сцинтиграфически определяется резкое снижение легочного кровотока в пораженных отделах легких.
Синдром Мак Леода
Пневмонии у детей Острое инфекционное воспаление легочной паренхимы, различной (преимущественно бактериальной) этиологии, сопровождаемое лихорадкой и симптомами поражения нижних дыхательных путей (одышка, кашель и физикальные данные), при наличии инфильтративных изменений на рентгенограмме.
Классификация пневмоний у детей Формы пневмоний по этиологии : Бактериальная, Вирусная, Грибковая, Паразитарная, Хламидийная, Микоплазменная, Смешанная.
Классификация пневмоний у детей Морфологические формы: Очаговая Очагово-сливная (пседолобарный инфильтрат) Крупозная Сегментарная Интерстициальная
Классификация пневмоний у детей По течению: Острое – с длительностью до 6 недель. Затяжное – с длительностью более 6 недель. По тяжести: Средней тяжести. Тяжелая.
Классификация пневмоний у детей Осложнения пневмонии: Плевральные (плеврит). Легочные (полостные образования, абсцесс). Легочно- плевральные (пневмоторакс, пиопневмоторакс). Инфекционно- токсический (бактериальный) шок.
Критерии диагноза пневмонии А. Достоверные Выявление на рентгенограмме грудной клетки инфильтрации легочной ткани плюс наличие двух из нижеперчисленных критериев: Лихорадка быше 38 в течение трех и более суток. Кашель с мокротой. Физикальные симптомы пневмонии. Лейкоцито 3 более 10 г/л или п/я более 10%.
Критерии диагноза пневмонии Б. Вероятные – Наряду с лихорадкой и кашлем имеются локальные физикальные симптомы, но невозможно проведение рентгенограммы грудной клетки. В. Исключают пневмонию – Отсутствие рентгенологических и физикальных симптомов пневмонии.
Факторы риска развития деструкции легких Лобарный инфильтрат. Синпневмонический плеврит. Ранний возраст. Начало АБ терапии спустя 3 суток от начала заболевания. Сохранений лихорадки спустя более 5 суток при адекватной АБТ. Наличие болевого синдрома. Серый цвет кожи. Лейкоцитоз более 15 г/л. «Застывший» инфильтрат на рентгенограмме.
Признаки ИТШ Расстройство периферической гемодинамики (холодные конечности, мраморность, акроцианоз, снижение диуреза). Некорригируемый при назальной или масочной подаче кислорода цианоз слизистых оболочек. Частота дыхания существенно превышающая возрастную норму. Снижение сатурации менее 92%. Нарушение сознания. Лейкоцитоз или лейкопения, тромбоцитопения.
Факторы риска летального исхода от пневмонии у детей Возраст до 5 лет и мужской пол. Неблагоприятный преморбидный фон детей. Низкий социальноэкономический статус семьи. Позднее обращение за медицинской помощью. Позднее поступление в стационар.
Эмпирическая АБТ внебольничной пневмонии у детей в стационаре Соматическое отделение: ИЗП + макролид (в/в) Дети с сопутствующими заболеваниями или принимавшие последние 3 месяца АБП: макролид (в/в). Отделение интенсивной терапии: ИЗП или ЦП-3 + макролид (в/в) или (в/в). ЦП-2: цефуроксим. ЦП-3: цефтриаксон, цефотаксим. ИЗЦП -3 : сульперазон. Макролиды: азитромицин, джозамицин. ИЗП : амоксициллин/клавунат в соотношении 14: 1 в виде суспензии 600/42, 9 мг в 5 мл (аугментин ЕС). ИЗП со стандартным содержанием амоксициллина/ клавуната – 4: 1 в стандартных дозировках 40 -45 мг/кг (по расчету на амоксициллин). Минимальная длительность АБТ – 5 дней. ЦП -2 + ИЗЦП -3 + макролид
Дозы перорально назначаемых аминопенициллинов и цефалоспоринов при внебольничной пневмонии у детей Антибиотик Доза, кратность приема и максимальная суточная доза Формы для перорального приема Комментарии Амоксициллин (флемоксин солютаб) 45 -90 мг/кг/сут. на 2 -3 приема максимальная доза 2 г Таблетки диспергируемые, таблетки, сироп -Терапия первой линии для пациентов в возрасте от 60 дней до 5 лет -Высокие дозы резистентных штаммов S. pneumoniae Ко - амоксиклав (аугментин-2, аугментин ЕС, амоксиклав, флемоклав солютаб) 45 -90 мг/кг/сут. В 2 приема, 40 мг/кг/сут. в 3 приема (по амоксициллину) Суспензия 200 мг/ 400 мг или 600 мг в 5 мл, таблетки диспергируемые, таблетки Препарат выбора у детей с ВП, уже получавших АБ в предшествующие 3 месяца или из групп риска Цефуроксим Аксетин ( зиннат ) 30 мг/кг/сут. в 2 приема Максимальная суточная доза: 500 мг Суспензия ( на 5 мг) 125 или 250 мг, таблетки по 125, 250 мг Цефиксим ( супракс, цефорал солютаб) 8 мг/кг/сут. 1 -2 раза в сутки (старше 6 мес. ) 200 мг-400 мг при Мессе тела >25 кг Капс. 0, 2 и 0, 4 г; Гран. д/сусп 0, 1/5 мл Таблетки диспергируемые Цефтибутен ( цедекс) 9 мг/кг/сут. 1 -2 раза в сутки Капс. 0, 4 г; Пор. д/сусп. 0, 036 г/мл Во флаконах
Антибиотики для парентерального введения при пневмонии Препарат Доза Кратность и способ введения Пенициллины Ампициллин 100 мг/кг/сут. 3 -4 раза в сутки; в/м Цефалоспорины Цефуроксим 50 -100 мг/кг/сут. 3 раза в сут; в/м Цефотаксим 50 -100 мг/кг/сут. 3 раза в сут; в/м Цефтриаксон 50 -75 мг/кг/сут. 1 раз в сут; в/м или в/в Цефтазидим 30 -100 мг/кг/сут. 2 -3 раза в сут; в/м или в/в Цефоперазон 50 -100 мг/кг/сут. 3 раза в сут; в/м или в/в Цефепим 50 -100 мг/кг/сут. 2 -3 раза в сут; в/в Эртапенем У детей до 12 лет: 15 мг/кг/сут. У детей с 13 лет 1, 0 г/сут. Карбпенемы 2 раза в сут; в/в или в/м 1 раз в сут; в/в или в/м Имипенем 15 -20 мг/кг/сут. 4 раза в сут; в/м или в/в Мерепенем 10 -20 мг/кг/сут. ( старше 3 месяцев ) 3 раза в сут; в/в Гентамицин 3 -7 мг/кг/сут. 2 раза в сут; в/м Амикацин 15 -20 мг/кг/сут. 1 -2 раза в сут; в/в или в/м Нетилмицин 4 -7, 5 мг/кг/сут. 1 -2 раза в сут; в/в или в/м Гликопептиды Ванкомецин 40 мг/кг/сут. 4 раза в сут; в/в Линкозамины Линкомицин 10 -20 мг/кг/сут. 2 раза в сут; в/в или в/м Клиндамицин 15 -25 мг/кг/сут. (до 1 месяца) 20 -40 мг/кг/сут. (старше 1 месяца) 3 -4 раза в сут; в/в или в/м Аминогликозиды
Дозы макролидов при внебольничной пневмонии у детей Препарат Суточная доза приеме внутрь Кратность приема внутрь Суточная доза при парентеральном введении 1 мес. -12 лет Путь введения кратность 1 мес. -12 лет >12 лет Азитромицин ( сумамед ) 10 мг/кг/24 ч 10 мг/кг в 1 -ый день затем по 5 мг/кг 0, 5 г/24 ч в 1 -ый день затем по 0, 25 г/24 ч. В 1 -ый прием --- Джозамицин (вильпрафен солютаб) 40 -50 мг/кг/24 ч. 2 г/24 ч. В 2 -3 приема ---- Кларитромицин( клацид, фромилид) 15 мг/кг/24 ч. 0, 5 -1 г/24 ч. В 2 приема ---- Мидекамицин ( макропен ) 30 -50 мг/кг/24 ч. 1, 2 г/24 ч. В 3 приема ---- Рокситромицин ( рулид ) 5 -8 мг/кг/24 ч. 0, 3 г/24 ч. В 2 приема ----- Спирамицин ( ровамицин ) 150 000 ед/кг/24 ч. 1, 5 -3 млн ед/24 ч. В 2 -3 приема ---- Эритромицин 40 -50 мг/кг/24 ч. 1 -2 г/24 ч. В 3 -4 приема натощак 40 -50 мг/кг/24 ч. >12 лет 0, 5 г/24 ч (>16 лет ) ----- 1, 0 г/24 ч. в/в 1 раз в сутки в течении 2 дней ( с последующим переходом на прием внутрь) ---- в/в в 2 введения 4, 5 -9 млн ед/24 ч. в/в в 2 введения 2 -4 г/24 ч. в/в в 3 -4 введения
Этиология пневмоний у детей и эмпирический выбор антибактериальных препаратов Возраст больного Наиболее частые возбудители Препараты выбора Альтернативные препараты новорожденные Стрептококк группы В, Enterobacteriacae (E. coli и др) Ампициллин+гента-мицин (в том числе и при листериозе) Амоксициллин/клавуланат+_ АГ Цефотаксим+_гентамицин+ _ампициллин, имипенем От 1 до 3 месяцев Вирусы (респираторносинтициальные, парагриппа, энтеровирусы) Enterobacteriacae ( E, coli и др), H. influenzae, C. trachomatis, S. aureus Амоксициллин/клавуланат Ампициллин+_макролид ЦС II-III От 3 месяцев до 5 лет Вирусы S. pneumoniae, H. Influenzae Внутрь: Амоксициллин, Амоксициллин/клавуланат, Макролид Внутрь: цефуроксим+_ Макролид, Парентерально: Ампициллин, ЦС II-IV карбапенем Старше 5 лет S. Pneumoniae M. Pneumoniae C. pneumoniae Внутрь: Амоксициллин, макролиды Внутрь: цефуроксим, амоксициллин/клавуланат. Парентерально : ЦС II-IV, Карбапенем, линкозамид Пневмония осложненная плевритом и деструкцией S. Pneumoniae H. Influenzae Enterobacteriacae S. Aureus Парентерально: Амоксициллин/клавуланат Амоксициллин/сульбактам Парентерально: ЦС II-IV, цефазолин + АГ, линкозамид + АГ, карбапенем
Наиболее часто применяемые дозы амоксициллина Амоксициллин - препарат выбора для орального лечения у детей младше 5 лет, так как он эффективен против большинства болезнетворных бактерий. Рекомендуется применять дозы амоксициллина 45 -90 мг/кг/сут. Для лечения внебольничной пневмонии амоксициллин применяется в дозе 45 мг/кг/сут.
Наиболее оптимально применение амоксициллина/клавуланата в соотношении 14 : 1 в виде суспензий 600/42, 9 мг в 5 мл (аугментин EC ) что позволит увеличить дозу амоксициллина 90 мг/кг/сут. Возможно одновременное назначение формы амоксициллина/клавуланата со стандартным содержанием амоксициллина (4: 1) в стандартных дозировках-40 -45 мг/кг ( по расчету на амоксициллин )
Больным при наличии фоновых заболеваний или принимавшим АБ в предшествующие 3 месяца назначается амоксициллин в монотерапии или в сочетании с макролидами ( азитромицин, джозамицин )
Ступенчатая антибактериальная терапия ВП предполагает двухэтапное применение АБ: начало лечения с парентеральных средств с последующим переходом на их пероральный прием сразу после стабилизации клинического состояния пациента. Основная идея ступенчатой антибактериальной терапии заключается в уменьшении длительности парентеральной антибактериальной терапии, что обеспечивает значительное уменьшение стоимости лечения и сокращение срока пребывания в стационаре при сохранении высокой клинической эффективности.
Оптимальным вариантом ступенчатой терапии является последовательное использование двух лекарственных форм ( для парентерального введения и приема внутрь ) одного и того же антибиотика, что обеспечивает преемственность лечения. Возможно последовательное применение препаратов, близких по своим антимикробным свойствам и с одинаковым уровнем приобретенной устойчивости. Переход с парентерального на пероральный антибиотик осуществляют при стабилизации состояния пациента, нормализация температуры и улучшение клинической картины ВП, обычно через 2 -3 дня после начала лечения, как в стационаре, так и в амбулаторных условиях.
Для некоторых антибиотиков, не имеющих лекарственных форм для перорального применения, возможна замена на близкие по антимикробному спектру препараты ( например, ампициллин амоксициллин; цефотаксим, цефтриаксон амоксициллин/клавуланат ). Ступенчатая терапия сопровождается сокращением длительности госпитального пребывания, снижает стоимость лечения и лучше воспринимается больными.
Формулировка диагноза пневмоний При формулировке диагноза пневмоний в ней должны быть обязательно отображены: 1. Нозологическая форма с указанием этиологии ( предполагаемая верификация ) 2. Локализация и распространенность легочного воспаления ( сегмент, доля, одно- или двустороннее поражение ) 3. Степень тяжести пневмонии 4. Наличие осложнений (легочных и внелегочных ) 5. Сопутствующие заболевания
Пример формулировки диагноза Внебольничная пневмония ( пневмококковая ), очаговая, правосторонняя верхнедолевая, среднетяжелая Внебольничная пневмония, неустановленной этиологии, правосторонняя среднетяжелая ( С. 4 -5), тяжелая. Синпневмонический плеврит Внебольничная пневмония, микоплазменная, двусторонняя сегментарная ( С. 2, 3 ) правого легкого и ( С. 4, 5, 6 ) левого легкого, тяжелая
Методика исследования органов дыхания у детей
Подсчет числа дыханий у детей грудного возраста
Непосредственная сравнительная перкуссия грудной клетки по Ауэнбруггеру Непосредственное поколачивание по грудной клетке сдвинутыми вместе тремя или четырьмя пальцами.
Леопольд Ауэнбруггер (1722 - 1809)- изобретатель перкуссии, австрийский терапевт, по совместительству музыкант, написавший даже либретто для Антонио Сальери. Ауэнбруггер был сыном австрийского трактирщика и в детстве помогал отцу разливать вино, простукивая бочки, чтобы узнать насколько они заполнены вином. Начав работать врачом, Ауэнбруггер быстро понял, что при правильном простукивании грудной клетки можно определить ее содержимое не хуже, чем у бочки. В 1761 году он опубликовал небольшой трактат о том, как с помощью перкуссии врач может получить на живом пациенте данные, которые прежде удавалось выявить только при аутопсии. Как часто бывает с научными революциями, метод перкуссии надолго был предан забвению. И лишь через полвека перкуссия была вновь открыта бароном Жан Н. Корвизаром (1755 -1821), личным врачом Наполеона. Благодаря Корвизару перкуссия стала стандартным методом диагностики у постели больного. Корвизар обучил перкуссии Лаэннека, а тот усовершенствовал другой метод – аускультацию.
Непосредственная, осязательная, пальпаторная перкуссия (по Туру А. Ф. , Маслову М. С. ) проводится средним пальцем правой руки дугообразно согнутым в пястно- фаланговом и межфаланговом суставах. Палец при ударе должен пружинить, удар должен быть тихим, совершенно поверхностным, не причиняющим ребенку никаких болевых ощущений. Получаемые при этой перкуссии звуковые явления относительно слабы, но зато отчетливо осязательное ощущение.
Тур Александр Федорович (1896 -1974). Действительный член Академии медицинских наук СССР, Лауреат ленинской премии. Окончил Военно-медицинскую академию (ВМА) в 1919 году. С 1939 года по день смерти - заведовал кафедрой госпитальной педиатрии Ленинградского педиатрического медицинского института. А. Ф. Тура по праву считают одним из основоположников таких разделов отечественной педиатрии как неонатология, детские гематология и эндокринология, диететика. Его «Справочник по диететике» , выдержавший шесть изданий, является настольной книгой всех педиатров. Большим признанием пользуются «Пропедевтика детских болезней» и «Гематология детского возраста» .
Непосредственная сравнительная перкуссия по Яновскому Ф. Г. Яновский Феофил Гаврилович (1860 - 1928). Академик АН УССР, известный Киевский клиницист и общественный деятель. Соредактор Большой медицинской энциклопедии. В медицинских кругах его считали «врачебной совестью» , а в народе называли «святой доктор» за милосердие и сострадание, бескорыстие и безотказность в помощи больным. Непосредственное поколачивание по грудной клетке осуществляется только мякотью концевой фаланги указательного пальца (по Ф. Г. Яновскому).
Непосредственная перкуссия по Образцову В. П. Перкуссия выполняется указательным пальцем правой руки при соскальзывании его со среднего пальца (метод щелчка). Образцов Василий Парменович (1851 - 1920). Выдающийся терапевт. Последователь С. П. Боткина. С 1904 по 1918 го работал профессором факультетской терапевтической клиники Киевского Университета. Разработал метод непосредственной перкуссии одним пальцем органов грудной и брюшной полости. Создал и обосновал оригинальный метод пальпации желудка и кишечника, позволяющий осуществлять топическую диагностику заболеваний брюшной полости.
Опосредованная сравнительная перкуссия у детей младшего возраста Пальцы левой руки располагаются не вдоль ребер, а перпендикулярно к ним.
Опосредованная сравнительная перкуссия у детей старшего возраста в б б Положение пальца плессиметра в ходе сравнительной перкуссии изменяется; а) при перкуссии спереди и сбоку палец располагается параллельно ключице и ребрам; б) при перкуссии сзади надлопаточной и подлопаточной областей палец располагают горизонтально; в) межлопаточную область перкутируют при вертикальном положении пальца- плессиметра.
Определение голосового дрожания Это ощущение (голосовое дрожание), которое получается, когда кладут руки на симметричные участки грудной клетки больного с обеих сторон, а больной в это время произносит слова, которые давали бы большую вибрацию голоса (например слова тридцать три, трактор и т. д. ).
Патологические зоны, выявляемые при перкуссии, характерные для заболеваний органов дыхания Треугольник Раухфуса- Грокко – появляется при массивном выпотном плеврите и объясняется смещением в здоровую сторону сердца и средостения. Определяется на здоровой стороне в виде треугольной формы тупости, вершина которой обращена вверх. РАУХФУС Карл Андреевич (1835 - 1915). Выдающийся отечественный педиатр. Был первым в России детским патологоанатомом самостоятельно выполнил более 1000 аутопсий трупов детей, первым в России отоларингологом -создал гортанное зеркало для лечения ЛОР- заболеваний, первым в России детским кардиологом -докторская диссертация его была посвящена врожденным порокам сердца, описал «треугольник» , названный его именем, вошедший в методику исследования ребенка и имеющий большое значение в диагностике выпотных плевритов.
Патологические зоны, выявляемые при перкуссии, характерные для заболеваний органов дыхания Треугольник Гарланда – зона повышенной звучности перкуторного тона над областью легкого, прижатого эксудатом к позвоночнику.
• Непосредственная аускультация легких (без помощи стетоскопа) известна уже долгое время. Описание дыхательных шумов приводится в египетских папирусах и работах Гиппократа, Леонардо да Винчи, Амбруаза Паре и многих других. Лаэннек Рене Теофил Гиацинт (1781 -1826)-один из основоположников современной клинической медицины и патологической анатомии. Лаэннек изобрёл стетоскоп, что открыло новую эру в диагностике (1819). Лаэннек лечил Наполеона I и всю французскую знать. С помощью своего примитивного стетоскопа Лаэннек установил ряд явлений, наблюдаемых при выслушивании, и дал им названия, многие из которых сохранились до настоящего времени: звон металлический, шум (амфорический, дуновения, пилы, раздувающихся мехов и т. д. ), пуэрильное дыхание, саккадированное дыхание. Кроме того, ему принадлежат следующие термины и описания соответствующих заболеваний: бронхит капиллярный, инфаркт геморрагический, цирроз атрофический.
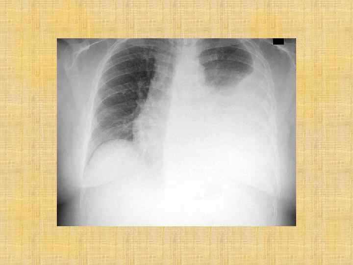
Рентгенография грудной клетки Эксудативный плеврит левосторонний Пневмония, осложненная внутрилегочной деструкцией Буллезная форма деструктивной пневмонии Очаговая пневмония
Пневмония правосторонняя нижнедолевая
Бронхограммы норма
Лобарная эмфизема
Муковисцидоз
Саркоидоз, увеличение ЛУ
Туморозный бронхоаденит
Бронхофонография — исследование дыхательной системы, основанное на объективном компьютерном анализе различных характеристик дыхательных шумов. Широко применяется при обследовании детей с первых дней жизни, так как процедура проводится при спокойном дыхании ребенка через специальный датчик или маску и не требует активных действий пациента. На рисунке бронхофонограмма ребенка 4 -х лет с бронхиальной обструкцией до и после приема аскорила.
Ингаляции с применение различных спейсеров и небулайзера
Синдром первичной цилиарной дискинезии Заболевание проявляется рецидивирующими синуситами и отитами и хроническим поражением легких - это хронический бронхит с образованием бронхоэктазов. Типичное проявление этой болезни - синдром Картагенера, когда у пациента имеет место еще и обратное расположение внутренних органов. В основе синдрома лежит врожденный дефект цилиарного эпителия, приводящий к дисфункции мукоцилиарного транспорта и застою секрета в бронхах. Почти у всех больных могут отмечаться эпизоды приступообразного кашля, одышки. Дифференциальная диагностика основывается на обратном расположении внутренних органов, рентгенологических данных и исследовании функции цилиарного эпителия.
Поврежденный ресничатый эпителий слизистой Синдром первичной цилиарной дискинезии
Синдром Картагенера
Синдром Картагенера Обратное расположение внутренних органов Синусит Поврежденные реснички эпителия
Пикфлуометры
Спирометрический комплекс «СПИРОспектр»
Детская кислородная палатка
Пульсоксиметрия Измерение уровня сатурации кислорода капиллярной крови при помощи пульсоксиметра Применение: оценка функции дыхательной системы, анестезиология, хроническая обструктивная болезнь лёгких, саркоидоз, туберкулёз.
Острая интерстициальная пневмония
Идиопатический фиброзирующий альвеолит
Экзогенный аллергический альвеолит Легкое голубевода.
Бронхограмма больного с недоразвитием хрящей бронхов 3 -8 генерации (синдром Вильямса. Кемпбелла). Хорошо видно чрезмерное расширение бронхов в зоне поражения.
Трахеобронхомегалия Значительное расширение трахеи и главных бронхов врожденного характера или синдром Мунье – Куна (1932). Большинство исследователей объясняют возникновение трахео-бронхомегалии врожденной неполноценностью стенки трахеи и бронхов. Об этом свидетельствует нередкое сочетание синдрома Мунье-Куна с другими пороками развития, существование наследственной предрасположенности к этой аномалии и, наконец, результаты патоморфологических исследований. Другие авторы считают, что трахеобронхомегалия может возникнуть в связи с хроническими воспалительными и нагноительными процессами, пневмосклерозом и нарушениями иннервации гладкой мускулатуры.
Восп заб орг дых (пр занятие).ppt