987cb9ce0308e482617ba2db295cd13a.ppt
- Количество слайдов: 26
Vor hundert Jahren: Tuberkulöse Patienten aus Russland in Davos Prof. Dr. med. Rolf A. Streuli MACP, FRCP Honorary President, International Society of Internal Medicine Bern, Schweiz 2010
Vor hundert Jahren: Tuberkulöse Patienten aus Russland in Davos Dieser Vortrag wurde am 3. 12. 2009 in Moskau am Kongress „ 100 Jahre Russische Internisten. Gesellschaft“ durch Prof. Dr. med. Rolf A. Streuli in russischer Sprache gehalten. Prof. Streuli war 23 Jahre ärztlicher Direktor der Spitalgruppe Oberaargau in Langenthal
Behandlung in Sanatorien • 1865 Behandlung der ersten TB Patienten in Davos. • Zunehmende Zahl von Patienten aus Deutschland und Grossbritannien. • 1878 Gründung einer Schule für tuberkulöse Kinder. • Dr. med. Karl Turban gründet 1889 das Sanatorium Turban.
Liegekur (1) • • • Dr. Turban begründet die Liegekur. Disziplinierte Überwachung der Patienten. Genaue Beachtung der Hygiene. Jeder Patient hat eigenen Spucknapf. Das Sanatorium besitzt nach Süden gerichtete grosse Balkone. • Patienten liegen von morgens bis abends 21: 30 Uhr an der frischen Luft
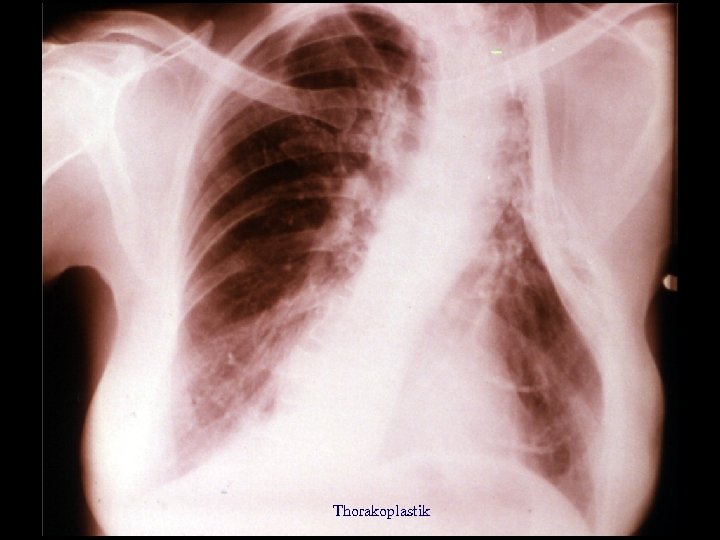
Liegekur (2) • Messung der Temperatur sechs mal am Tag. • Genaue Ernährungsvorschriften. • Der Sanatoriumsaufenthalt dauerte zwischen wenigen Monaten bis mehrere Jahre. • Nach 1910 Einführung der Pneumothoraxbehandlung. • Später Thorakoplastik und Paraffinplombe.
Operationsraum mit Pneumothoraxapparat
Thorakoplastik
Sanatorien in Davos (1) • Vor und nach dem 1. Weltkrieg befanden sich stets 12 000 bis 15 000 Patienten in Davos. • Mehr als 75% von ihnen stammten aus dem Ausland. • Es gab damals 38 Volkssanatorien und daneben zahlreiche Luxussanatorien.
Sanatorien in Davos (2) • Für die Patienten wurden zahlreiche kulturelle Veranstaltungen, wie Theater, Konzerte und Dichterlesungen durch TBkranke Künstler durchgeführt. • 1928 – 1931 fanden internationale Universitätskurse für TB-kranke Studenten statt. Die Vorlesungen hielten TB-kranke Professoren
Albert Einstein (Mitte) mit Gattin und dem franz. Ethnologen Lucien Lévy-Bruhl. Einstein eröffnete die ersten Davoser Hochschulkurse 1928
Russische Patienten in Davos (1) • Nach 1890 rasch zunehmende Zahl von russischen Patienten in Davos. • 1884 besucht Pjotr I. Tschaikovsky einen kranken Freund in Davos. • 1912 weilten 3422 Patienten aus Russland in Davos ( entspricht 11% aller Patienten, damit zweitgrösste Gruppe nach den Deutschen!)
Russische Patienten in Davos (2) • Ein Teil der russischen Patienten waren Adelige und ein Teil politische Flüchtlinge. • Von 1908 bis 1916 erschien dreimal im Monat die russische Zeitschrift „Давосский Вестник“ (Davosskij Westnik; Der Davoser Bote) • 1899 Eröffnung einer russischen Bibliothek • 1902 Gründung des Russischen Vereins (Русское Общество)
Russische Patienten in Davos (3) • Ziele des Russischen Vereins waren: 1. Pflege des russischen Gesellschaftslebens 2. Finanzielle Unterstützung armer Patienten • Die russischen Wohltätigkeitsfeste und Konzerte waren in Davos berühmt für ihre Eleganz und Perfektion. • Der Glanz des Zarenreiches schwebte über diesen Abenden.
Russische Patienten in Davos (4) • Der „Davosskij Westnik“ wurde an 1000 Ärzte in Russland versandt, was Davos in diesem Lande bekannt machte. • Der Verlag des „Davosskij Westnik“ hat 1911 auch einen «Путеводитель по Давосу» (Russischer Führer durch Davos) herausgegeben. • Er enthielt alle Angaben über russische Einrichtungen in Davos.
Russische Patienten in Davos (5) • 1909 Gründung des Русский дом для недостаточных туберкулёзных больных. (Russisches Haus für arme TB-Kranke) • Ab 1913 standen 35 Betten zur Verfügung. • Patienten erhielten russische Mahlzeiten und die russischen Festtage wurden gefeiert. • Daneben gab es mehrere russische Privatsanatorien.
Russische Patienten in Davos (6) • Russische Patienten bezeichneten Davos oft als den Kaukasus der Schweiz. • 1914 wurde in Georgien ein Sanatorium mit dem Namen „Russisches Davos“ eröffnet. • Viele russische Patienten hatten aber Heimweh nach ihrer Heimat. • Nach der Oktoberrevolution kamen keine russischen Patienten mehr nach Davos.
Tuberkulose in der Literatur • • • Thomas Mann: Der Zauberberg Alexandre Dumas: La dame aux camélias Leo Nikolaievitsch Tolstoi: Anna Karenina Fjodor Dostojewskij: Der Idiot Arthur Schnitzler: Sterben
Januar 1921: Thomas Mann in Davos, rechts Tänzerin Niddy Impekoven.
„Waldsanatorium“; diente als eine der Vorlagen für die inneren Räume des „Berghofes“ im Zauberberg
Tuberkulöse Künstler • Friedrich Schiller (starb 46 jährig) • Friedrich Freiherr von Hardenberg, genannt Novalis (starb 29 jährig) • Carl Maria von Weber (starb 39 jährig) • Frédéric Chopin (starb 39 jährig) • Franz Kafka (starb 41 jährig) • Anton Pawlowitsch Tschechow (starb 44 jährig)
987cb9ce0308e482617ba2db295cd13a.ppt