de478b6f8a5c0fe9c2582272b9729768.ppt
- Количество слайдов: 57
Внебольничная пневмония: диагностика и лечения. Проф. А. А. Визель Казанский медицинский университет МЗ РФ
ОПРЕДЕЛЕНИЕ ПНЕВМОНИЯ –– • Пневмонии – группа различных по этиологии, патогенезу, морфологической характеристике острых инфекционных (преимущественно бактериальных) заболеваний, характеризующихся очаговым поражением респираторных отделов легких с обязательным наличием внутриальвеолярной экссудации. • Поскольку это острое инфекционное заболевание, то определение «острая» перед диагнозом «пневмония» является излишним, тем более, что диагноз «хроническая пневмония» является патогенетически не обоснованным, а соответствующий термин - устаревшим.
…поражение респираторных отделов легких с обязательным наличием внутриальвеолярной экссудации…
http: //catalog. nucleusinc. com/enlargeexhibit. php? ID=1406&TC=&A=2
КЛАССИФИКАЦИЯ Бронхопневмония / Крупозная пневмония • • • Внебольничная (приобретенная вне лечебного учреждения) пневмония (синонимы: домашняя, амбулаторная). Нозокомиальная (приобретенная в лечебном учреждении) пневмония (синонимы: госпитальная, внутрибольничная). Пневмония, связанная с услугами здравоохранения Аспирационная пневмония Пневмония у лиц с тяжелыми нарушениями иммунитета (врожденный иммунодефицит, ВИЧ -инфекция, ятрогенная иммуносупрессия). Классификация, учитывающая условия, в которых развилось заболевание. Важна для эмпирического подхода к стартовой терапии.
ВНЕБОЛЬНИЧНАЯ ПНЕВМОНИЯ острое заболевание, возникшее во внебольничных условиях, сопровождающееся симптомами инфекции нижних отделов дыхательных путей (лихорадка, кашель, выделение мокроты, возможно гнойной, боль в грудной клетке, одышка) и рентгенологическими признаками «свежих» очагово-инфильтративных изменений в легких при отсутствии очевидной диагностической альтернативы.
ВЫЯВЛЕНИЕ ПНЕВМОНИИ 1. Раннее обращение пациента за медицинской помощью 2. Доступность медицинской помощи (первичная сортировка пациентов) 3. Разумное применение жаропонижающих и противовоспалительных средств 4. Квалифицированные действия медработника
ВЫЯВЛЕНИЕ ПНЕВМОНИИ 1. Наличие одышки 2. Оценка сатурации 3. Аускультация и перкуссия – наличие локальных изменений (крепитация на вдохе, притупление) 4. Доступность лучевого исследования (цифровая техника, без плёнки) 5. Доступность первичных анализов
ЛЕЧЕНИЕ ВНЕ ГОСПИТАЛЯ ДИАГНОСТИКА ДОЛЖНЫ ЛИ ВРАЧИ ПЕРВИЧНОГО ЗВЕНА НАЗНАЧИТЬ И ПРОВЕСТИ МИКРОБИОЛОГИЧЕСКОЕ ИССЛЕДОВАНИЕ ВОЗМОЖНОЙ ПРИЧИНЫ ИНФЕКЦИИ НИЖНИХ ДЫХАТЕЛЬНЫХ ПУТЕЙ? Обычно микробиологические исследования не рекомендованы на уровне врача первичного звена здравоохранения. [C 1 – C 3] GUIDELINES FOR THE MANAGEMENT OF ADULT LOWER RESPIRATORY TRACT INFECTIONS, ERJ 2005
Мокрота, пригодная для исследований
Это не мокрота…
Серологическая диагностика пневмонии • Выявление антигена пневмококка в моче (чувствительность до 94%). • Серодиагностика крови M. pneumoniae: – чувствительность Ig. M в первые 6 дней 7 -23%, а после 16 дня — до 86%. • Выявление антигена легионеллы в моче (чувствительность более 90%)
ДИАГНОСТИКА • Рентгенография органов грудной клетки является обязательным методом исследования при пневмонии, позволяет визуализировать пневмонический инфильтрат, оценить динамику процесса. Распространёность инфильтрации, наличие плевральный выпота, признаков деструкции лёгочной ткани отражают тяжесть заболевания и существенно влияют на характер лечения.
Нет «рентеген-негативной» пневмонии НА КАКОМ ИЗ СНИМКОВ ПНЕВМОНИЯ? Dr Mark Woodhead Manchester Royal Infirmary Manchester UK ERS, 2007
АЛЬВЕОЛИТЫ ЗАСТОЙНЫЕ ЯВЛЕНИЯ В ЛЕГКИХ
ОБЯЗАТЕЛЬНЫЙ МЕТОД В ДИАГНОСТИКЕ ПНЕВМОНИИ: 2 проекции!!!
ПОКАЗАНИЯ К ПРОВЕДЕНИЮ РКТвр БОЛЬНЫМ С ВНЕБОЛЬНИЧНОЙ ПНЕВМОНИЕЙ а) у пациента с очевидной клинической симптоматикой пневмонии изменения в легких на рентгенограмме (флюорограмме) отсутствуют; б) при рентгенологическом исследовании больного с предполагаемой пневмонией выявлены нетипичные для данного заболевания изменения (обтурационный ателектаз, инфаркт легкого на почве тромбоэмболии легочной артерии, абсцесс легкого и др. ); в) рецидивирующая пневмония, при которой инфильтративные изменения возникают в той же доле (сегменте), что и в предыдущем эпизоде заболевания, или затяжная пневмония, при которой длительность существования инфильтративных изменений в легочной ткани превышает 4 нед.
КРИТЕРИЙ ДИАГНОЗА q рентгенологически подтверждённая инфильтрация лёгочной ткани и, по крайней мере, два признака из числа следующих: Ø остролихорадочного начала заболевания (более 38 о. С); Ø кашля с мокротой; Ø выслушивания локальной крепитации, укорочения перкуторного звука; Ø лейкоцитоза более 10 х109/л и/или палочкоядерного сдвига более 10%.
Правосторонняя верхнедолевая пневмония
Правосторонняя нижнедолевая пневмония http: //www. indyrad. iupui. edu/public/stalexan/sol 2000/virthospblack. html
Тяжёлая пневмония в России Термин "крупозная пневмония" встречается только в русской медицинской литературе и ввел его Сергей Петрович Боткин для выделения больных с тяжелым течением долевой пневмонии со стонущим дыханием, крупом.
МАРШРУТИЗАЦИЯ ПАЦИЕНТА Тяжёлое состояние пациента Абсолютные показание к госпитализации – дыхательная недостаточность (Sa 02<90) угроза шока (гипотония, тахикардия) чдд более 30 в минуту поражение более одной доли нарушения сознания лейкопения менее 4 тромбоцитопения менее 100 гипотермия сопутствующие заболевания пожилой возраст
ДИФФЕРЕНЦИАЛЬНАЯ ДИАГНОСТИКА • проводится с туберкулёзом (исследование не менее 3 -х мазков мокроты, окрашенных по Цилю–Нильсену, посев мокроты, ПЦР– диагностика), • инфарктом лёгкого (ТЭЛА), • эозинофильным инфильтратом, • опухолями лёгких и другими состояниями, способными вызывать синдром инфильтрации на рентгенограммах органов грудной клетки (например, системные васкулиты, волчаночный пневмонит, округлый ателектаз и др. ).
ИНФИЛЬТРАТИВНЫЙ ТУБЕРКУЛЁЗ ЛЁГКИХ ДВУХСТОРОННЯЯ ВЕРХНЕДОЛЕВАЯ ИНФИЛЬТРАЦИЯ
ПОЛОСТНЫЕ ОБРАЗОВАНИЯ В S 1 -2 -6 (реже – S 10).
ЛОКАЛИЗАЦИЯ В ВЕРХНЕ-ЗАДНИХ СМЕГМЕНТАХ 1 -2 -6
Туберкулёз лёгких у взрослых: рентгенология • 1 -2 -6, реже 10 -й сегменты • Наличие «очагов отсевов» • Высокая вероятность распада при полисегментарном поражении • Медленная динамика
УЗИ ПЛЕВРАЛЬНОЙ ПОЛОСТИ Декабрь Март Январь ПЛЕВРАЛЬНЫЙ ВЫПОТ ОСОБЕННО – У МОЛОДЫХ. В выпоте преобладание лимфоцитов. Февраль
ВЫЯВЛЕНИЕ ПНЕВМОНИИ Лабораторная диагностика 1. Лейкоцитоз, увеличение СОЭ, палочкоядерный сдвиг – признаки активного воспаление 2. Отсутствие активного воспаления при выраженной клинике – плохой прогностический признак - обсудить госпитализацию.
ЕСЛИ ВРАЧ НЕ УВЕРЕН В ДИАГНОЗЕ ПНЕВМОНИЯ, ЕСЛИ НЕ ИСКЛЮЧАЕТ ТУБЕРКУЛЁЗ, ТО НЕЛЬЗЯ ПРИМЕНЯТЬ РИФАМИЦИНЫ, КАНАМИЦИН, АМИКАЦИН, СТРЕПТОМИЦИН, ФТОРХИНОЛОНЫ…
ЕСЛИ ВРАЧ НЕ УВЕРЕН В ДИАГНОЗЕ ПНЕВМОНИЯ, ЕСЛИ НЕ ИСКЛЮЧАЕТ ТУБЕРКУЛЁЗ, ТО МОЖНО ПРИМЕНЯТЬ БЕТА-ЛАКТАМЫ, МАКРОЛИДЫ, ТЕТРАЦИКЛИНЫ И ИХ СОЧЕТАНИЯ…
ВРЕМЯ ВВЕДЕНИЯ ПЕРВОЙ ДОЗЫ АНТИБИОТИКА Эксперты считают нецелесообразным указывать конкретное «временное окно» как четкий ориентир начала антибактериальной терапии. Вместе с тем, эксперты рекомендуют начинать лечение как можно раньше после установления диагноза пневмонии
Рекомендации РРО и МАКМАХ 2011 года
ЭМПИРИЧЕСКАЯ АБТ ВП у ВЗРОСЛЫХ* * согласительные рекомендации РРО / МАКМАХ, 2010 г. Клинический «сценарий» Антибиотики выбора Лечение в амбулаторных условиях Больные без сопутствующих заболеваний, не принимавшие последние 3 мес. АМП Амоксициллин или Макролид* (внутрь) Больные с сопутствующими заболеваниями или принимавшие последние 3 мес. АМП Амоксициллин/клавуланат± макролид или Новый фторхинолон** (внутрь) * - азитромицин, кларитромицин и др.
ЭМПИРИЧЕСКАЯ АБТ ВП у ВЗРОСЛЫХ* * согласительные рекомендации РРО / МАКМАХ, 2010 г. Клинический «сценарий» Антибиотики выбора Лечение в амбулаторных условиях Больные без сопутствующих заболеваний, не принимавшие последние 3 мес. АМП Амоксициллин или Макролид* (внутрь) Больные с сопутствующими заболеваниями или принимавшие последние 3 мес. АМП Аминопенициллин/ингибитор БЛ± макролид или Новый фторхинолон** (внутрь) *- азитромицин, кларитромицин и др. **- левофлоксацин, моксифлоксацин, гемифлоксацин
ЭМПИРИЧЕСКАЯ АБТ ВП у ВЗРОСЛЫХ* * согласительные рекомендации РРО / МАКМАХ, 2010 г. Клинический «сценарий» Антибиотики выбора Лечение в условиях стационара Отделение общего профиля β-Лактам +макролид (в/в*) или Новый фторхинолон** (в/в*) Отделение интенсивной терапии β-Лактам +макролид (в/в) или Новый фторхинолон** + цефалоспорин III*** *- Предпочтительная ступенчатая терапия. При стабильном состоянии пациента допускается сразу назначением антибиотиков внутрь **- левофлоксацин, моксифлоксацин
ЭМПИРИЧЕСКАЯ АБТ ВП у ВЗРОСЛЫХ* * проект согласительных рекомендаций РРО и МАКМАХ Клинический «сценарий» Антибиотики выбора Лечение в условиях стационара Отделение общего профиля β-Лактам +макролид (в/в*) или Новый фторхинолон** (в/в*) Отделение интенсивной терапии β-Лактам +макролид (в/в) или Новый фторхинолон** + цефалоспорин III*** *- Предпочтительная ступенчатая терапия. При стабильном состоянии пациента допускается сразу назначением антибиотиков внутрь **- левофлоксацин, моксифлоксацин ***- цефтриаксон, цефотаксим
Пациенты без факторов риска инфицирования P. aeruginosa и аспирации p. Цефтриаксон, цефотаксим, амоксициллин/клавуланат, ампициллин/сульбактам, цефепим, цефтаролин, эртапенем в/в + макролид в/в или p. Моксифлоксацин, левофлоксацин в/в + цефтриаксон, цефотаксим в/в
Пациенты с факторами риска инфицирования P. aeruginosa p Пиперациллин/тазобактам, цефепим, меропенем, имипенем/циластатин в/в + ципрофлоксацин или левофлоксацин в/в 1 или p Пиперациллин/тазобактам, цефепим, меропенем, имипенем/циластатин в/в + аминогликозид II-III поколения в/в + макролид в/в или p Пиперациллин/тазобактам, цефепим, меропенем, имипенем/циластатин в/в + аминогликозид II-III поколения в/в + моксифлоксацин или левофлоксацин в/в
Пациенты с подтверждённой/предполагаемой аспирацией p Амоксициллин/клавуланат, ампициллин/сульбактам, пиперациллин/тазобактам, карбапенемы в/в или p Цефтриаксон, цефотаксим в/в + клиндамицин или метронидазол в/в
Примечания p при наличии показаний (грипп) всем пациентам дополнительно к антибактериальной терапии могут назначаться оселтамивир внутрь или занамивир ингаляционно p у пациентов, нуждающихся в ИВЛ, при наличии бронхообструктивных заболеваний предпочтение следует отдавать оселтамивиру p левофлоксацин назначается в дозе 500 мг/2 раза в сутки при синегнойной угрозе, в остальных случаях 750 мг однократно p по мнению экспертов, при тяжелой ВП неуточненной этиологии продолжительность АБТ должна составлять 10 дней.
«Инструменты» оптимизации исходов ВП § Время до определения Sa. O 2 (пульсоксиметрия) < 3 ч § Доступность рентгенографии по cito круглосуточно § Взятие образцов крови для бактериологического исследования (до введения первой дозы антибиотика) § Время до введения первой дозы антибиотика (ов) – 4 -8 ч § Антимикробная терапия в соответствии с существующими рекомендациями и вариантом тяжёлой ВП § Использование доступных шкал оценки прогноза для всех госпитализированных больных ВП § Оценка распространенности вакцинопрофилактики среди пациентов групп риска
Пути оптимизации исходов тяжелой ВП p Применять только рекомендованные для ВП антибиотики p Оперативная доступность антибиотиков в ЛПО p Не применять препараты, которые пациент принимал ранее 3 -6 месяцев p Не применять во всех стационарах одни и те же препараты
Пневмония, связанная с услугами здравоохранения (связанная с контактом с здравоохранением). Под этим термином понимают пневмонию у лиц, недавно выписанных из стационара, находящихся в домах для престарелых или учреждениях длительного ухода объекта, у получавших инфузионную терапию на дому, у находящихся на хроническом диализе или получающих лечение ран на дому. У этих больных выше риск инфекций, вызванных резистентными к антибиотикам возбудителями и, следовательно, выше риск неблагоприятного исхода (препараты резерва – линезолид и др. ).
ОСОБЕННОСТЬ РЕКОМЕНДАЦИЙ ПО ЛЕЧЕНИЮ ВП ОТСУТСТВИЕ ЦЕФАЛОСПОРИНОВ ПЕРВОЙ ГЕНЕРАЦИИ, ЛИНКОМИЦИНА, ГЕНТАМИЦИНА, КО-ТРИМОКСАЗОЛА, ОТХАРКИВАЮЩИХ, БРОНХОЛИТИКОВ, АНТИГИСТАМИННЫХ, НСПВС ИММУНОСТИМУЛЯТОРОВ НАРКОТИЧЕСКИХ АНАЛЬГЕТИКОВ
МАТЕРИНСТВО • При беременности допустимо применение антибиотиков беталактамного ряда, макролидов, метронидазол, – противопоказаны фторхинолоны, тетрациклины, аминогликозиды, линкосамиды, ко-тримоксазол. • При грудном вскармливании допустимы с осторожностью пенициллины, цефалоспорины, • не рекомендуются макролиды, фторхинолоны, карбапенемы, тетрациклины, линкосамиды, котримоксазол.
ПРОДОЛЖИТЕЛЬНОСТЬ АНТИБАКТЕРИАЛЬНОЙ ТЕРАПИИ • При нетяжёлой ВП – 7 -10 дней • При тяжёлой ВП не менее 14 дней • При микоплазменной, легионеллёзной или хламидийной ВП 14 дней • Критерий отмены стойкая нормализация температуры тела в течение 3 -4 дней Чучалин А. Г. , Синопальников А. И. , Козлов Р. С. , Тюрин И. Е. , Рачина С. А. Внебольничная пневмония у взрослых: практические рекомендации по диагностике, лечению и профилактике. Пособие для врачей. — Москва, 2010. — 106 с.
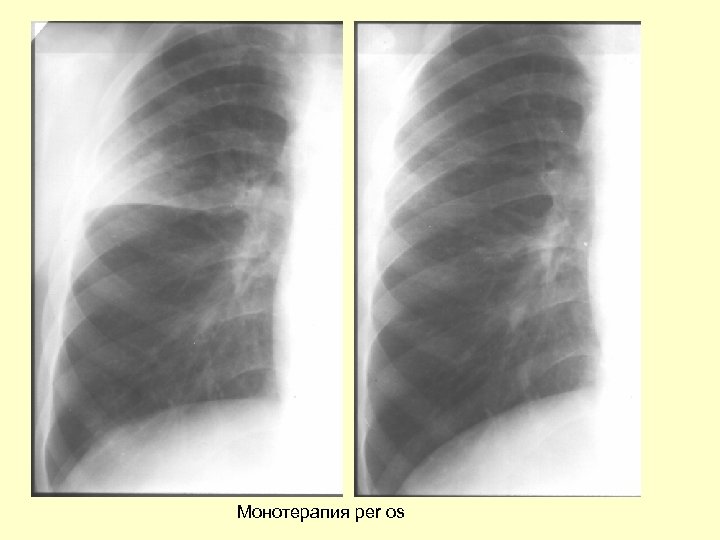
Монотерапия per os
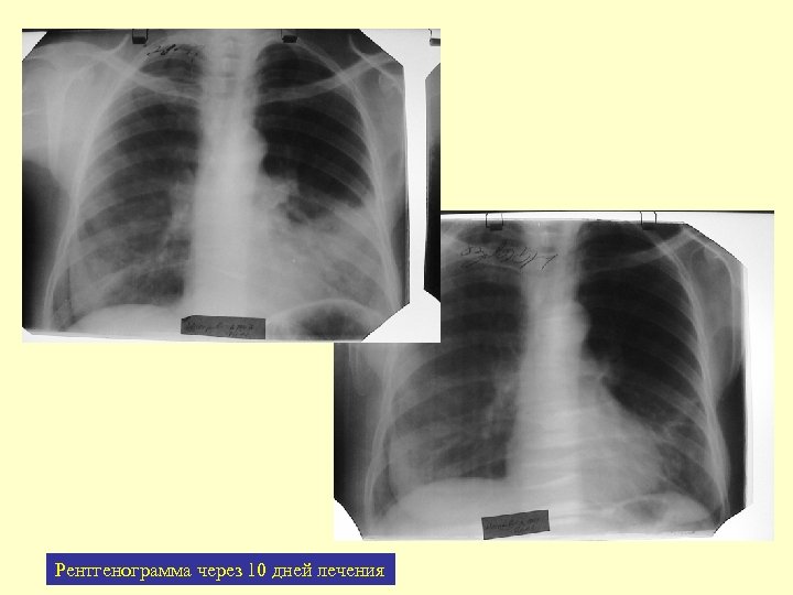
Рентгенограмма через 10 дней лечения макропеном
Рентгенограмма через 10 дней лечения
Б-я Ш. , 17 лет per os 10 дней
Динамика 10 дней
Выявление 3 ВВ + 10 po 20 дн ВВ Контроль 3 месяца
РКТ картина лечения тяжёлой пневмонии
БЛАГОДАРЮ ЗА ВНИМАНИЕ!
de478b6f8a5c0fe9c2582272b9729768.ppt