Презентация1 Туберкулез моя.pptx
- Количество слайдов: 111
Туберкулез органов дыхания МИНИСТЕРСТВО ЗДРАВООХРАНЕНИЯ РОССИЙСКОЙ ФЕДЕРАЦИИ ПРИКАЗ от 21 марта 2003 г. N 109 О СОВЕРШЕНСТВОВАНИИ ПРОТИВОТУБЕРКУЛЕЗНЫХ МЕРОПРИЯТИЙ В РОССИЙСКОЙ ФЕДЕРАЦИИ
Клиническая классификация туберкулеза q q q q q В основу клинической классификации туберкулеза, используемой в Российской Федерации, положено 3 принципа. Это: - клинико-рентгенологические особенности туберкулезного процесса (в том числе локализация и распространенность), - течение (т. е. фазы), - наличие бактериовыделения. Классификация состоит из четырех основных разделов: - клинические формы туберкулеза, - характеристика туберкулезного процесса, - осложнения туберкулеза, - остаточные изменения после излеченного туберкулеза.
Клинические формы туберкулеза 1. 1. 1. Туберкулезная интоксикация у детей и подростков q 1. 1. 2. Туберкулез органов дыхания Первичный туберкулезный комплекс Туберкулез внутригрудных лимфатических узлов Диссеминированный туберкулез легких Милиарный туберкулез Очаговый туберкулез легких Инфильтративный туберкулез легких Казеозная пневмония Туберкулема легких Кавернозный туберкулез легких Фиброзно-кавернозный туберкулез легких Цирротический туберкулез легких Туберкулезный плеврит (в том числе эмпиема) Туберкулез бронхов, трахеи, верхних дыхательных путей Туберкулез органов дыхания, комбинированный с профессиональными пылевыми заболеваниями легких (кониотуберкулез) q 1. 1. 3. Туберкулез других органов и систем Туберкулез мозговых оболочек и центральной нервной системы Туберкулез кишечника, брюшины и брыжеечных лимфатических узлов Туберкулез костей и суставов Туберкулез мочевых, половых органов Туберкулез кожи и подкожной клетчатки Туберкулез периферических лимфатических узлов Туберкулез глаз Туберкулез прочих органов q
Характеристика туберкулезного процесса q q Процесс характеризуется по локализации, по клинико-рентгенологическим признакам и по наличию или отсутствию в диагностическом материале, полученном от больного, микобактерий туберкулеза (МБТ). Локализация и распространенность: в легких по долям, сегментам, а в других органах по локализации поражения.
Фазы процесса а) инфильтрации, распада, обсеменения; б) рассасывания, уплотнения, рубцевания, обызвествления. n Бактериовыделение: а) с выделением микобактерий туберкулеза (МБТ+); б) без выделения микобактерий туберкулеза (МБТ-).
Наиболее доказательными критериями туберкулеза следует признать: q продолжительность заболевания более 1 -2 месяцев, q характерная рентгенологическая картина, q получение МБТ в мокроте и бронхиальном секрете, q эндоскопическая картина (при поражении бронхов).
Осложнения туберкулеза q q Кровохарканье и легочное кровотечение, спонтанный пневмоторакс, легочно-сердечная недостаточность, ателектаз, амилоидоз, свищи и др.
Остаточные изменения после излечения туберкулеза органов дыхания: фиброзные, фиброзно-очаговые, буллезнодистрофические, кальцинаты в легких и лимфатических узлах, плевропневмосклероз, цирроз; q других органов: рубцовые изменения в различных органах и их последствия, обызвествление и др. q
Туберкулезная интоксикация у детей и подростков q q Диагноз туберкулезной интоксикации устанавливают на основании данных туберкулинодиагностики (впервые положительные, усиливающиеся в процессе наблюдения и гиперергические реакции на туберкулин), клинических признаков заболевания при отсутствии локальных проявлений, определяемых рентгенологическими и другими методами исследований. Туберкулезная интоксикация характеризуется активностью туберкулезной инфекции и сопровождается ухудшением общего состояния ребенка (подростка): периодическим повышением температуры тела до субфебрильных цифр, ухудшением аппетита, появлением нейро-вегетативных расстройств (повышенной нервной возбудимостью или ее угнетением, головной боли, тахикардии), наклонностью к интеркуррентным заболеваниям. При осмотре ребенка может определяться небольшое увеличение групп периферических лимфатических узлов (микрополиадения) с явлениями периаденита; незначительное увеличение печени, реже селезенки, остановка физиологической прибавки или дефицит массы тела. У больных с туберкулезной интоксикацией в периферической крови определяется нерезко выраженное ускорение СОЭ, сдвиг нейтрофилов влево, эозинофилия, лимфопения. Изменяется иммунный статус (снижение числа Т-лимфоцитов и их функциональной активности). Специфичность должна быть подтверждена тщательным обследованием ребенка (подростка) для исключения неспецифических заболеваний. При обследовании следует использовать современные лучевые методы диагностики, включая, при возможности, компьютерную томографию, бронхоскопию, комплексную туберкулинодиагностику, а также бактериологическое исследование. Диагноз туберкулезной интоксикации устанавливается только после обследования в условиях специализированного противотуберкулезного учреждения.
Первичный туберкулезный комплекс Характеризуется развитием воспалительных изменений в легочной ткани, поражением регионарных внутригрудных лимфатических узлов и лимфангитом. q Наблюдается чаще в детском возрасте, реже в 18 – 25 лет. q ПТК может протекать малосимптомно, но чаще имеют место признаки туберкулезной интоксикации. q Характеризуется: - очагом воспаления в легком, - реакцией регионарных л/узлов, - воспалительным лимфангитом по ходу бронхо-сосудистого пучка, связывающего очаг в легком с лимфатическими узлами корня. q Различают неосложненное и осложненное ПТК. q При осложненном течении наблюдается обширный инфильтрат с поражением сегмента или доли легкого, распад с образованием первичной каверны, поражение бронхов, развитие ателектаза, лимфогенная и гематогенная диссеминация, а также переход в хронически текущий первичный туберкулез. q
Р-признаки неосложненного первичного туберкулезного комплекса q q q очаг или фокус в паренхиме легкого (малой или средней интенсивности с нечеткими контурами) увеличение лимфоузлов в корне легкого (на томограмме) «дорожка» между очагом и расширенным корнем
КТ - признаки q q q участок снижения пневматизации в легком различной величины и формы (форма мелких инфильтратов обычно округлая, контуры относительно четкие) располагается в толще легочной ткани перибронхиально в центре такого очага виден просвет мелкого бронха (они исчезают при развитии казеозного некроза) небольшие участки деструкции неправильной формы, не содержащие жидкость перифокально могут быть изменения легочного интерстиция обусловленные лимфостазом стенки мелких бронхов резко утолщены, контуры сосудов обычно нечеткие
Р-признаки осложненного первичного туберкулезного комплекса q q q Обширный инфильтрат с поражением сегмента, доли легкого Распад с образованием первичной каверны Поражение бронхов Развитие ателектаза в других участках легкого Лимфо- или гематогенная диссеминация Переход в хронически текущий первичный туберкулез
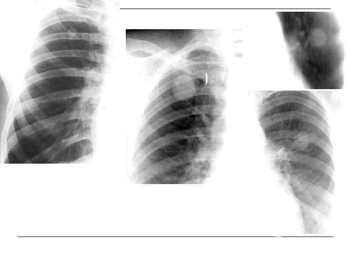
ПТК в верхней доле правого легкого
ПТК в верхней доле правого легкого, ф уплотнения
ПТК. Высокоразрешающая КТ, легочное и мягкотканное окно. В нижней доле левого легкого выявлен округлой формы инфильтрат с относительно четкими контурами, прилежащая легочная ткань не изменена, стенки сегментарного бронха утолщены. Увеличены внутрилегочные лимфоузлы
ПТК. Высокоразрешающая КТ Массивная инфильтрация легочной ткани, занимающая большую часть нижней доли слева, в S 10 полость распада. В S 6 множественные мелкие очаги. Увеличены лимфоузлы корня легкого.
Туберкулез внутригрудных лимфатических узлов Развивается в результате первичного заражения микобактериями туберкулеза детей, подростков (40 -56% от всех остальных форм) и лиц молодого возраста. Реже (у пожилых людей) он возникает в результате реактивации имевшихся туберкулезных изменений во внутригрудных л/узлах.
q. Инфильтративный ТВГЛУ характеризуется увеличением лимфоузлов, развитием инфильтративных изменений в прикорневых отделах. В клинике преобладают симптомы интоксикации. q"Малые" формы ТВГЛУ характеризуются их незначительным увеличением. Рентгенодиагностика "малых" вариантов туберкулеза ВГЛУ в фазе инфильтрации возможна только по косвенным признакам (снижение структуры тени корня, двойной контур срединной тени и обогащение легочного рисунка в прикорневой зоне на ограниченном участке). В клинике - умеренные симптомы интоксикации. Для подтверждения диагноза показана компьютерная томография. q. Опухолевидный ("туморозный") ТВГЛУ – это казеозное поражение лимфатических узлов. Он проявляется увеличением размера отдельных лимфатических узлов или их групп, выраженной клинической симптоматикой и склонностью к осложненному течению (поражение бронхов, бронхолегочные поражения, очаги бронхогенной, лимфогенной и гематогенной диссеминации, плеврит). Контуры лимфатических узлов на рентгенограмме и томограммах четкие.
Рентген - признаки q q Процесс односторонний, чаще слева Тень корня гомогенная, более интенсивная Просвет промежуточного бронха не виден Добавочные дуги на контуре средостения (п/трахеальные л/у, чаще слева)
Рентген-диагностика q Выявление минимальных изменений возможны лишь при безупречном выполнении томограмм и хорошем знании топографии лимфатических узлов (в норме увеличение отдельных л/узлов до 1 см не отображаются на томограммах). q При диагностике с минимальными изменениями можно рекомендовать повторное контрольное исследование через 2 -6 месяцев, когда удается зафиксировать появление обызвествлений или нормализацию р-картины корня. q. Опыт показывает, что именно при «малой форме» допускается наибольшее количество диагностических ошибок.
При туморозной форме q Размеры увеличенных л/узлов с одной стороны (реже с двух) достигают 1, 5 см и больше. q Поражается одна или две группы л/узлов корня или корня и средостения. q Лимфоузлы сливаясь образуют дополнительную тень в области корня или средостения. q Структура тени таких узлов вначале однородная, затем появляются вкрапления кальция. q. При поражении стенки бронха наблюдается стеноз с нарушением вентиляции сегмента, доли и вторичными воспалительными изменениями различного характера. q Если воспалительный стеноз поддерживается длительно, развивается склеротические и цирротические изменения. q При прорыве казеоза в бронх наблюдается лимфогенная диссеминация, развитие деструкций в легких, плеврит, первичнохроническое течение с последовательным поражением нескольких групп л/узлов
Основные КТ признаки q Увеличение л/узлов обычно бронхо-пульмональной группы в корне одного легкого и, как правило, выше расположенные л/узлы средостения. q Расширение корня, полицикличные контуры. q Утолщение междолькового интерстиция в прилежащей к корню легочной ткани. q Двухсторонние изменения корней не типичны для этой формы туберкулеза!
Осложнения ТВЛУ q гематогенная или лимфогенная диссеминация, q плеврит, q сдавление прилежащего бронха с развитием обтурационного ателектаза, вокруг суженного бронха выявляется конгломерат увеличенных л/узлов (чаще у детей и подростков). У пациентов старше 40 лет дифференцируем с центральным раком легкого. q. Верификация природы поражения в корне возможна при гистологическом исследовании после ФБС. q. Однако, протяженность поражения и степень сужения осуществляется при КТ более детально.
ТВГЛУ справа, фаза инфильтрации и обсеменения
ТВГЛУ справа ( бронхо - пульмональной группы) фаза уплотнения и кальцинации
ТВЛУ справа
Диссеминированный туберкулез легких q q q По способу распространения микобактерий туберкулеза различают: - гематогенный, - бронхогенный, - лимфогенный. По течению различают: - острый, - подострый, - хронический. Морфологически различают 3 формы: мелкоочаговый и милиарной ( 0, 2 см) среднеочаговый (0, 4 -0, 6 см) крупноочаговый (0, 6 -1, 2 см)
Милиарный туберкулез q. Острый гематогенный диссеминированный туберкулез. q. Может проявляться генерализованным образованием очагов, преимущественно продуктивного характера в легких, печени, селезенке, кишечнике, мозговых оболочках. q. Реже встречается только как поражение легких. q. Характеризуется наличием множественных специфических очагов, в начале заболевания возникает преимущетсвенно эксудативно-некротическая реакция с последующим развитием продуктивного воспаления. q. Клиника острейшего инфекционного заболевания (варианты) - тифоидный: лихорадка, резко выражена интоксикация - легочный: преобладает дыхательная недостаточность на фоне интоксикации - менингиальный: менингит, менингоэнцефалит
Р- картина милиарного туберкулеза q размер отдельных элементов не более 0, 1 - 0, 2 см, q очаги мономорфные, q располагаются равномерно и зеркально по всем легочным полям, q легочный рисунок среднего и мелкого колибра не прослеживается, q прозрачность легочных полей равномерно снижена, q сосуды легких не расширены, q внутригрудные лимфоузлы не увеличены q. При Р-исследовании изменений не выявляют, т. к. описанная выше картина может быть выявлена на рентгенограмме не ранее чем через 5 -8 недель после обнаружения первых клинических симптомов болезни. q. У лиц с лихорадочным заболеванием не установленной природы нельзя исключить диссеминированный туберкулез и необходимо производить контрольные рентгенограммы с интервалом 1, 5 -2 недели в течение всего этого срока.
Милиарный туберкулез (морфологическая верификация)
Милиарный туберкулез: мономорфные очажки, располагаются равномерно и зеркально, легочный рисунок среднего и мелкого колибра не прослеживается, прозрачность легочных полей равномерно снижена, сосуды легких не расширены, лимфоузлы не увеличены
КТ, срезы на разных уровнях.
Подострые гематогенные диссеминации q асимметрия расположения очагов и зон поражения q преимущественное поражение верхушечно-задних сегментов q очаги множественные однотипные или полиморфные q наличие тонкостенных каверн q усиление легочного рисунка по типу лимфангита q в 5 -6% встречается преимущественно каудальное или базальное расположение очагов, что вызывает значительные трудности в диф. диагностике q нередко наблюдается эксудативный плеврит, который быстро рассасывается, а иногда является первым Рсимптомом заболевания
Диссеминированный туберкулез легких, фаза инфильтрации. Плеврит справа.
Диссеменированный туберкулез легких. Мелкие очаги преимущественно в верхушечно-задних сегментах, расположены ассиметрично
Высокоразрешающая КТ. Острый гематогенно-диссеминиро ванный туберкулез. Мономорфные мелкие очаги, расположены хаотично в обоих легких вне связи с интерстициальными структурами
Крупноочаговая диссеминация Очаги размером 0, 6 -1, 2 см морфологически характеризуется более выраженной экссудативной реакцией по сравнению с предыдущими вариантами. Р-картина: q верхушечно-задние сегменты оказываются наиболее пораженными q ограниченная, субтотальная или тотальная диссеминация q полости распада в виде каверн или очаги с начинающимся некрозом
Диссеминированный туберкулез легких, в фазе инфильтрации (крупно очаговая диссеминация, фаза инфильтрации
Диссеминированный туберкулез, фаза инфильтрации
Диссеминированный туберкулез легких в фазе инфильтрации и распада.
КТ картина подострых гематогенных диссеминаций q Неравномерность и несимметричность поражения отдельных долей и сегментов. q Интерстициальные изменения значительно выражены, однако и они не имеют такого равномерного характера, как при милиарном туберкулезе. q Утолщение междольковых перегородок и стенок мелких бронхов приводит к появлению сетчатой деформации легочного рисунка, наиболее выраженной в зоне скопления очагов. q. Наибольшие диагностические трудности возникают при так называемой «снежной буре» или бронхолобулярной казеозной пневмонии, когда на протяжении всех легочных полей определяются однотипные очаги без четких контуров до 1 -2 см. q При диф. диагностике нужно думать о неспецифической бактериальной пневмонии и метастатическом раке легкого.
Подострый гематогенно-диссеминированный туберкулез легких, высокоразрешающая КТ. Мелкоочаговая двухсторонняя диссеминация, хаотичное расположение очагов. В верхней доле левого легкого более крупные перибронхиальные очаги
Хронический диссеминированный туберкулез q q q Чаще всего гематогенного генеза. Апикокаудальное распространение процесса. Могут последовательно поражаться различные органы и системы. Характеризуется волнообразным течением, которое регистрируется в клинико – рентгенологичнской картине. Рентгенологически - очаги различной величины и плотности, при этом более плотные очаги локализуются в вышележащих отделах, могут присутствовать каверны в одном или обоих легких. Все изменения определяются на фоне деформированного легочного рисунка, признаков пневмосклероза, бронхоэктазов и эмфиземы. Несвоевременно распознанный, а также неэффективное лечение может привести к развитию фибрознокавернозного туберкулеза легких.
Диссеминированный туберкулез легких, фаза инфильтрации и распада. Высокоразрешающая КТ. Полиморфные очаги хаотично располагаются по всем легочным полям, на фоне обогащенного и деформированного легочного рисунка. В верхних долях обеих легких каверны с инфильтрированными стенками.
Хронический гематогенно- диссеминированный туберкулез, высокоразрешающая КТ. Очаговая диссеминация с парасептальной эмфиземой в кортикальных отделах легких
Диссеминированный туберкулез легких, в фазе инфильтрации и распада. Множественные полиморфные очаги расположены преимущественно конгломератами, на фоне грубо деформированного легочного рисунка. Полости распада крупных и средних размеров, в верхних легочных полях. Идет формирование фиброзно – кавернозного туберкулеза легких.
Лимфогенная диссеминация При вовлечении в процесс глубокой лимфатической сети легкого, изменения локализуются преимущественно в глубине легочной ткани вдоль сосудов и бронхов. Р-картина: q преобладание изменений в средних отделах легких на уровне корней и меньшая их выраженность в верхушках и базальных отделах; q наибольшие изменения обнаруживаются в передних и задних сегментах верхних долей, в верхушечных сегментах нижней, в язычковых сегментах и средней доле; q характерна неравномерность поражения легких с чередованием измененных и неизмененных участков; q расположение очагов и интерстициальных изменений соответствует границам определенного лимфатического коллектора (глубокого или поверхностного); q преобладание интерстициальных изменений, в зоне которых располагаются мелкие очаги; q увеличенные лимфоузлы корней легких и средостения, преимущественно бифуркационной и паратрахеальной групп. При вовлечении в процесс поверхностной лимфатической сети изменения локализуются в кортикальных отделах, на границе поверхностной и глубокой лимфатической сети, очаги располагаются в виде широкой полосы вдоль грудной стенки и
Лимфогенный диссеминированный туберкулез, ВРКТ. В обоих легких множественные мелкие очаги на фоне выраженных интерстициальных изменений. Распределение очагов неравномерное, с вовлечением в процесс преимущественно глубокой лимфатической сети
Лимфогенный диссеминированный туберкулез, ВРКТ. Множественные Близко расположенные, местами сливные очаги.
Исходы диссеминированного туберкулеза q наличие обызвествленных очагов различной величины, расположенных преимущественно в верхне-задних сегментах обоих легких q утолщение костальной плевры, иногда с ее обызвествлением q эмфизема легких q деформация и дислокация легочного рисунка q плевро-диафрагмальные сращения и деформация купола диафрагмы, заращение синусов q смещение корней легких вверх q подплевральная буллезная эмфизема
Исход хронического гематогеннодиссеминированного туберкулеза, высокоразрешающая КТ. Сотовое легкое с большим количест вом полиморфных очагов в обоих легких
Дифференциальная диагностика Из всех легочных диссеминаций, от которых необходимо отличать туберкулез, имеются всего 5 -6 наиболее часто встречающихся поражений: q -саркоидоз q -силикотуберкулез q -карциноматоз q неспецифические воспалительные заболевания: q -острая мелкоочаговая пневмония q -бронхиолит Из редких поражений наибольшее значение имеют: q -гемосидероз q -протеинолз q -гистиоцитоз. Х q -микролитиаз q -прогрессирующий интерстициальный легочный фиброз q -лимфоангиоматоз q -диффузный аденоматоз
Дифференциальная диагностика Ведущую роль в дифференциальной диагностике имеет характер диссеминации и вовлечение в патологический процесс внутригрудных лимфатических узлов. При очаговой диссеминации с ирнтерстициальныи изменениями без аденопатии диагностический ряд: q туберкулез q пневмонию q силикотуберкулез q метастатический рак легкого (карциноматоз) q другие заболевания q q q q При интерстициальной диссеминации без увеличения лимфоузлов диагностический ряд: пневмосклероз, саркоидоз, метастатический рак другие заболевания При интерстициальной и смешанной диссеминации в сочетании с увеличенными внутригрудными лимфоузлами диагностический ряд : саркоидоз, пневмокониоз, метастатический рак (раковый лимфангит) более редкие поражения
Очаговый туберкулез q q q q Наличие немногочисленных очагов, преимущественно продуктивного характера, локализующихся в ограниченном участке одного или обоих легких и занимающих 1 - 2 сегмента; Малосимптомное (бессимптомное) течение; Свежие ("мягко-очаговые") процессы с размером очагов менее 10 мм; Давние (фиброзно-очаговые) образования с явно выраженными признаками активности процесса. Свежий очаговый туберкулез характеризуется наличием "мягких" очаговых теней с размытыми краями. При рентгенологическом выявлении фиброзно-очаговых изменений необходимо провести тщательное обследование больных для исключения активности процесса. При отсутствии признаков активности фиброзно-очаговые изменения расцениваются как остаточные изменения излеченного туберкулеза.
КТ - картина очагового туберкулеза q типичная локализация S 1, S 2, реже S 6 q очаги располагаются в глубине легочной ткани, перибронхиально qразмеры их составляют от 0, 1 до 1, 2 см qочаги имеют полиморфный характер, наиболее типичным является сочетание одного, двух крупных с большим количеством средних и мелких q крупные очаги обычно имеют однородную структуру, на фоне которой может быть виден просвет бронха в поперечном сечении qмелкие очаги диаметром 1 -3 мм локализуются преимущественно в стенках вторичных долек и внутридольковых перегородках, развитие лимфостаза приводит к утолщению и уплотнению этих интерстициальных структур
Исход очагового туберкулеза q мелкие рубцы линейной формы в глубине легочной ткани, q единичные альвеолярные очаги с включениями извести, q локальное утолщение реберной плевры, q мелкие воздушные полости в окружающей очаги легочной ткани, обусловленные эмфиземой q мелкие интерстициальные очаги в стенках долек отсутствуют (критерий активности)
Очаговый туберкулез С 1 -2 левого легкого в фазе инфильтрации, левосторонний плеврит.
Очаговый туберкулез С 2 правого легкого в фазе инфильтрации.
То же наблюдение, прицельная рентгенограмма и томограмма Множественные очаговые тени слабой интенсивности с нечеткими контурами
Очаговый туберкулез С 1, С 2 легких в фазе уплотнения
Очаговый туберкулез, высокоразрешающая КТ. В верхней доле левого легкого множественные полиморфные очаги С нечеткими контурами, часть из них сливается друг с другом
Инфильтративный туберкулез q Характеризуется наличием в легких воспалительных изменений, преимущественно экссудативного характера, с казеозным некрозом в центре и относительно быстрой динамикой процесса (прогрессирование с образованием каверны, регресс – рассасывание, переход в очаговую форму). q Для всех клинико-рентгенологических вариантов инфильтративного туберкулеза характерно наличие инфильтративной тени, часто с распадом, возможно бронхогенное обсеменение. Формы инфильтративного туберкулеза: - бронхолобулярный или ограниченный инфильтрат - облаковидный и округлый инфильтрат - сегментарные или долевые поражения (лобит) q
Р-картина q Очагово-фокусная инфильтрация в пределах анатомической зоны; q контуры фокусов и очагов могут быть различными; q неравномерность распределения отдельных более мелких очагов инфильтрации и появление воспалительных лимфангитов в виде сетчатого рисунка по ходу лимфатических сосудов; q появление участков деструкции, с образованием туберкулезной каверны. q просветы бронхов сегментарного и субсегментарного колибра становятся видимыми на фоне инфильтрации легочной паренхимы; q региональные внутригрудные лимфоузлы при этой форме туберкулеза не увеличены; q. Исследование в динамике, при туберкулезном воспалении, не выявляет регрессивных изменений в течение 3 -4 недель, наоборот за этот промежуток времени может увеличиться зона инфильтрации, появиться деструкция, новые очаги и фокусы отсева в другой зоне легких
q. Лобулярный инфильтрат – фокус казеозного некроза, захватывающий дольку легкого, отличается от очагового лишь размерами отдельных фокусов или большим объемом поражения легкого q. Облаковидный и округлый инфильтрат (инфильтрат Ассмана) первый характеризуется малоинтенсивной тенью в заключичном пространтсве, второй имеет более четкие контуры Обе формы – варианты инфильтративного туберкулеза в разные фазах развития Диаметр инфильтратов достигает 3 -5 см, без четких контуров, часто с полостью деструкции, в окружающей легочной ткани – очаговые изменения. Исход: деструкция, отторжение некроза с образованием рубца или очага; если деструкции не наступает – образуется туберкулома q. Сегментарные или долевые поражения характеризуется тотальным поражение зоны или доли легкого, определяются те же особенности специфического процесса – неравномерность распределения и расположения внутри зоны отдельных элементов воспаления. Однако, в данном случае зона казеозного некроза с деструкцией будет более обширной, обсеменение других отделов легких встречается намного чаще q. При туберкулезном перисциссурите инфильтрация верхней зоны ограничена главной междолевой щелью, часть верхушечного и переднего сегментов обычно не поражены, верхняя граница затемнения не четкая. На рентгенограммах в правой боковой проекции нижняя граница перисциссурита в виде треугольника, две стороны которого образованы главной и добавочной междолевыми бороздами.
Инфильтративный туберкулез S 3 правого легкого
Инфильтративный туберкулез в верхней доле правого легкого, фаза распада
Инфильтративный туберкулез в S 6 правого легкого, фаза распада
Инфильтративный туберкулез нижней доли правого легкого, фаза распада
То же наблюдение в динамике через каждый месяц
Инфильтративный туберкулез. С 2 правого легкого, фаза распада
Инфильтративный туберкулез в S 6 справа, фаза распада
Инфильтративный туберкулез верхней доли правого легкого, в фазе, расспада. Высокоразрешающая КТ. Инфильтрат в S 2 справа широким основанием прилежит к грудной клетке, в нем видна крупная полость без уровня жидкости. В зоне перифокальной инфильтрации видны просветы бронхов
Округлый туберкулезный инфильтрат в верхней доле правого легкого, фаза распада. Крупная полость распада без уровня жидкости
Казеозная пневмония q q Характеризуется развитием в легочной ткани воспалительной реакции с преобладанием казеификации, причем казеозно-пневмоническая инфильтрация занимает до доли и более. Клиническая картина характеризуется тяжелым состоянием больного, выраженными симптомами интоксикации. При обследовании больного определяется лейкоцитоз, резкий сдвиг лейкоцитарной формулы влево, бактериовыделение. При быстром расплавлении казеозных масс происходит формирование гигантской полости или множественных небольших каверн.
Казеозная пневмония
Исход Как правило, рассасывание инфильтрации в легочной ткани и земещение участков некроза соединительнотканными рубцами с наличием буллезной эмфиземы и плевролегочных сращений. Реже на месте туберкулезного инфильтрата длительное время сохраняются мелкие полиморфные очаги округлой формы, окруженные эмфизематозными полостями.
Исход инфильтративного туберкулеза. Высокоразрешающая КТ В зоне фиброзных изменений видна небольшая остаточная полость диаметром 2 мм с толстыми стенками
n Туберкулемы Инкапсулированные казеозные фокусы величиной более 1, 0 см в диаметре. n Различают туберкулемы инфильтративно-пневмонического типа, гомогенные, слоистые, конгломератные и так называемые "псевдотуберкулемы" - заполненные каверны. n На рентгенограмме туберкулемы выявляются в виде тени округлой формы с четкими контурами. В фокусе может определяться серповидное просветление за счет распада, иногда перифокальное воспаление и небольшое количество бронхогенных очагов, а также участки обызвествления. n Туберкулемы бывают одиночные и множественные. n Различают мелкие туберкулемы (до 2 см в диаметре), средние (2 - 4 см) и крупные (более 4 см в диаметре). n Выделены три клинических варианта течения туберкулем: - регрессирующее - медленное уменьшение туберкулемы с последующим образованием на ее месте очага или группы очагов, индурационного поля или сочетания этих изменений; - стабильное - отсутствие рентгенологической динамики изменений в процессе наблюдения за больным; - прогрессирующее - распад туберкулемы, перифокальное воспаление и бронхогенное обсеменение.
Рентген и КТ признаки Рентген: тень округлой или овальной формы q q однородной структуры, контуры которой имеют разную степень четкости, очаговое обсеменение в прилежащей легочной ткани. неоднородная по структуре за счет обызвествлений по контуру и в толще, с очагами отсева или без них; контуры тени четкие при стационарном состоянии туберкуломы и размытые при обострении процесса. с обызвествлениями или без них, с распадом у медиальновнутреннего контура, очагами отсева или без них. с обызвествлениями или без них с центральным распадом, очагами отсева или без них. КТ: q q q Патологическое образование в верхних долях легких, чаще в кортикальных отделах. Контуры относительно четкие. В окружающей легочной ткани могут быть мелкие очаги, участки эмфиземы, отдельные тяжи к плевре.
q Реактивация воспалительного процесса приводит к изменению симптоматики: q В окружающей ткани появляются множественные мелкие очаги, расположенные в междольковых перегородках q Контуры образования становятся менее четкие q Характерно появление полости деструкции, обычно расположенную эксцентрично, в области устья дренирующего бронха, имеет щелевидную или неправильную форму, не содержит жидкость q Основным отличительным признаком является наличие очаговых, слоистых иди диффузных обызвествлений (в их выявлении КТ имеет существенные преимущества по сравнению с обычным рентгенологическим исследованием) q Важным дифференциольно-диагностическим признаком туберкулом является отсутствие реакции на болюсное введение КВ. У небольшой части больных КВ накапливается в капсуле и создает эффект краевого усиления q Наличие обызвествлений, отсутствие реакции на введение КВ, у части больных наличие множественных образований, позволяет отличить туберкуломы от других округлых образований в легких.
Р-признаки Туберкулома Локализация Рак В передних сегментах в 2, 7% 47% S 3 Менее 1% 1 -3 см, 4 -5 см Наличие дренирующего бронха Уменьшение образования Увеличение образования размеров Наличие полости распада Наличие туберкулезного фона Лучистость, бугристость при небольших размерах Достоверный признак Наружные контуры 1 -3 см, 4 -5 см и больше Величина 29% Может быть дорожка лимфангита Зафиксированное на серии снимков Не бывает Более характерно Эксцентрично располож. , щелевидная, неправильно округлая форма полости с гладкими четко очерченны ми стенками севестр или глыбки извести в полости, свежие туберк. изменения вокруг, деформация кон туров приводящего бронха + Полость с горизонталь ным уровнем или без него, нечеткость и подрытость внутреннего контура полости, вхождение и обрыв бронхов в патолог. Образовании - +
Туберкулема S 1 правого легкого, фаза распада
Туберкулема S 3 правого легкого
Множественные туберкулемы в/долей легких, в фазе распада.
Туберкулема в S 3 справа
Множественные туберкулемы верхних долей легких
Туберкулема Хондрома Рак
Кавернозный туберкулез q q Характеризуется наличием сформированной каверны с отсутствием выраженных фиброзных изменений в окружающей каверну легочной ткани. Развивается кавернозный туберкулез у больных инфильтративным, диссеминированным, очаговым туберкулезом, при распаде туберкулем; при позднем выявлении заболевания, когда фаза распада завершается формированием каверн, а признаки исходной формы исчезают.
Рентген - признаки q расположены в задних сегментах верхних долей рядом с главной междолевой щелью, q имеют ровные гладкие стенки толщиной 1 -2 мм, жидкость в полости отсутствует, q в окружающей легочной ткани выявляют мелкие очаги, участки эмфиземы, тонкие линейные тяжи к плевре. q просвет дренирующего бронха может быть хорошо виден, если он расположен параллельно плоскости сканирования, стенки его обычно утолщены, просвет несколько расширен.
Кавернозный туберкулез С 6 левого легкого.
Кавернозный туберкулез С 6 левого легкого
То же наблюдение. Динамика рубцевания полости
Кавернозный туберкулез С 1, С 2 правого легкого
Фиброзно-кавернозный туберкулез Характеризуется наличием фиброзной каверны, q развитием фиброзных изменений в окружающей каверну легочной ткани. q Для него характерны очаги бронхогенного отсева различной давности. q Как правило, поражается дренирующий каверну бронх. q Развиваются и другие морфологические изменения в легких: пневмосклероз, эмфизема, бронхоэктазы. q Протяженность изменений в легких может быть различной; процесс бывает односторонним и двусторонним с наличием одной или множества каверн. q Клинические проявления фиброзно-кавернозного туберкулеза многообразны, они обусловлены самим туберкулезным процессом, а также развившимися осложнениями. q Различают два клинических варианта течения фиброзно-кавернозного туберкулеза легких: - ограниченный и относительно стабильный фиброзно-кавернозный туберкулез, когда благодаря химиотерапии наступает определенная стабилизация процесса и обострение может отсутствовать в течение нескольких лет; - прогрессирующий фиброзно-кавернозный туберкулез, со сменой обострений и ремиссий. В период обострения могут появляться новые участки воспаления с образованием новых каверн, вплоть до полного разрушения легкого. Прогрессирующий фиброзно-кавернозный туберкулез сопровождается развитием неспецифической инфекции и различных осложнений, что усугубляет течение заболевания. q
Р-картина ФКТ q q q наличие одной или нескольких неправильной формы полостей с толстыми стенками, с преимущественной локализацией в верхних отделах легкого на фоне фиброзно-склеротических изменений в окружающей легочной ткани, наличие очагов бронхогенного отсева различной давности, распространение воспалительных изменений в каудальном направлении, утолщение плевральных листков, локальная или диффузная тяжистость с участками эмфиземы, фиброзно-склеротические изменения меняют нормальную картину легочного рисунка: уменьшается величина легочного поля, межреберные промежутки сужены, средостение и корень легкого смещены в сторону поражения
ФКТ верхних долей легких, фаза инфильтрации и обсеменения
ФКТ легких, фаза инфильтрации
ФКТ верхних долей легких, фаза инфильтрации и обсеменения.
ФКТ, фаза инфильтрации и обсеменения
ФКТ в верхних долях легких, в фазе инфильтрации и обсеменения, левосторонний плеврит. БК+
Цирротический туберкулез q q q Характеризуется разрастанием грубой соединительной ткани в легких и плевре в результате инволюции фиброзно -кавернозного, хронического диссеминированного, инфильтративного туберкулеза легких, поражений плевры, туберкулеза внутригрудных лимфатических узлов, осложненного бронхолегочными поражениями. К К цирротическому туберкулезу должны быть отнесены процессы, при которых сохраняются туберкулезные изменения в легких с клиническими признаками активности процесса, склонностью к периодическим обострениям и спорадическому скудному бактериовыделению. От цирротического туберкулеза необходимо отличать цирроз легких, который представляет собой посттуберкулезные изменения без признаков активности. В классификации цирроз легких отнесен к остаточным изменениям после клинического излечения.
Цирроз верхней доли справа
Туберкулезный плеврит (в том числе эмпиема) q Диагноз устанавливают по совокупности клинических и рентгенологических признаков, а характер плеврита - по результатам исследования диагностического материала, полученного при пункции плевральной полости или биопсии плевры. Характер выпота при туберкулезных плевритах бывает серозным, серозно-фибринозным, гнойным, реже - геморрагическим. q Туберкулез плевры, сопровождающийся накоплением гнойного экссудата, представляет собой особую форму экссудативного плеврита - эмпиему. Она развивается при распространенном казеозном поражении плевры, а также в результате перфорации каверны или субплеврально расположенных очагов. q Морфологически изменения в плевре проявляются рубцовым перерождением, развитием специфической грануляционной ткани в толще утратившей свою функцию плевры. Эмпиема должна быть обозначена в диагнозе.
Правосторонний экссудативный плеврит туберкулезной этиологии
Полисерозит: плеврит, перикардит туберкулезной этиологии
Инкрустация плевры. Состояние после перенесенного туберкулезного плеврита
Туберкулез бронхов, трахеи, верхних дыхательных путей q Все эти локализации туберкулеза встречаются как самостоятельные формы, так и в сочетании с другими формами туберкулеза органов дыхания. n Различают три основные формы туберкулеза бронхов и трахеи: инфильтративную, язвенную и свищевую (лимфобронхиальные, бронхоплевральные свищи). Из их осложнений следует отметить стенозы разной степени.
Кониотуберкулез q q q Туберкулез органов дыхания, комбинированный с пылевыми профессиональными заболеваниями легких. В эту группу включаются все формы туберкулеза легких при одновременном наличии пылевых профессиональных заболеваний: силикоза, асбестоза и др. При формулировании диагноза следует вначале указать "кониотуберкулез", а затем дать развернутую характеристику кониоза и туберкулезного процесса.
n n n n Формулировка диагноза у больного туберкулезом Характеристика клинической формы, локализация, фаза процесса, бактериовыделение (БК+ или БК-), осложнения, сопутствующие заболевания. Примеры формулировки диагноза: Изменение диагноза в результате лечения. Пересмотр фазы процесса при постановке диагноза может осуществляться на любом этапе наблюдения за больным. Пересмотр в диагнозе клинической формы туберкулеза рекомендуется осуществлять после окончания курса лечения. У больных с распространенными формами, после успешного курса лечения может быть изменен при условии прекращения бактериовыделения и заживления каверны через 6 - 9 месяцев от начала химиотерапии. У больных с малыми формами туберкулеза (без распада и бактериовыделения) изменение диагноза при стабилизации процесса возможно не ранее чем через 6 месяцев от начала химиотерапии. В отношении больных, которым были произведены резекционные, хирургические или другие вмешательства по поводу туберкулеза, рекомендуется: а) лицам, у которых после операции в легких не осталось никаких изменений туберкулезного характера, следует ставить диагноз "Состояние после оперативного вмешательства по поводу той или иной формы туберкулеза"; б) если в оставшейся или коллабированной легочной ткани или в другом органе сохранились те или иные туберкулезные изменения, учитывается данная форма туберкулеза.
Презентация1 Туберкулез моя.pptx