Скачать презентацию Ткань возникшая в эволюции частная система организма состоящая Скачать презентацию Ткань возникшая в эволюции частная система организма состоящая

Epithel.ppt

  • Количество слайдов: 22

Ткань возникшая в эволюции частная система организма, состоящая из одного или нескольких дифферонов клеток Ткань возникшая в эволюции частная система организма, состоящая из одного или нескольких дифферонов клеток и их производных, обладающая специфическими функциями, которые реализуются благодаря кооперативной деятельности всех ее элементов

Классификации тканей Тканевые группы Тканевые типы Разновидности тканей Классификации тканей Тканевые группы Тканевые типы Разновидности тканей

Тканевая группа (морфофункиональная тканевая группа) совокупность тканей, имеющих сходные морфофункциональные свойства, независимо от источника Тканевая группа (морфофункиональная тканевая группа) совокупность тканей, имеющих сходные морфофункциональные свойства, независимо от источника их развития Функция Барьерная, внешнего обмена Морфофункциональные группы тканей Разновидности Эпителиальные ткани Покровные и железистые эпителии Поддержание гомеостаза, опорно-трофическая Ткани внутренней среды Кровь, лимфа, соединительные ткани Обеспечение движения Мышечные ткани Поперечнополосатые и гладкие мышечные ткани Нервная ткань Тканевые элементы центрального и периферического отделов нервной системы Интегративная, координирующая Тканевая группа может состоять из различных гистогенетических типов, объединяющих несколько разновидностей тканей

Тканевый тип (гистогенетический тип тканей) совокупность тканей, развивающихся из одинаково детерминированных эмбриональных зачатков, в Тканевый тип (гистогенетический тип тканей) совокупность тканей, развивающихся из одинаково детерминированных эмбриональных зачатков, в пределах которой возможны метаплазии Метаплазия Ø появление ткани, отличающейся по морфологии и функции от первоначально существовавшей в органе Ø происходит в рамках одного гистогенетического типа тканей Ø представляет собой проявление пластичности тканей, их адаптации к условиям существования

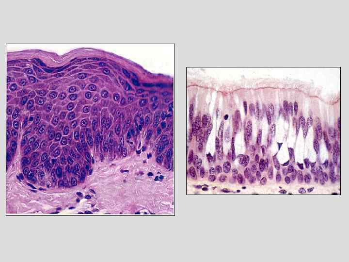
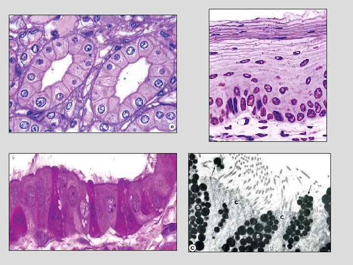
ЭПИТЕЛИАЛЬНЫЕ ТКАНИ ЭПИТЕЛИАЛЬНЫЕ ТКАНИ

Покровный эпителий Железистый эпителий Покровный эпителий Железистый эпителий

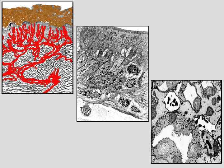
Функции эпителиев Защитная (барьер между внутренней и внешней средой) Внешнего обмена (между внутренней и Функции эпителиев Защитная (барьер между внутренней и внешней средой) Внешнего обмена (между внутренней и внешней средой) Секреторная Рецепторная

Гистогенетическая классификация эпителиев Тип Источник Эпителии Эпидермальный Кожная эктодерма Прехордальная пластинка кожи, ротовой полости, Гистогенетическая классификация эпителиев Тип Источник Эпителии Эпидермальный Кожная эктодерма Прехордальная пластинка кожи, ротовой полости, глотки, пищевода, дыхательной системы Энтеродермальный Кишечная энтодерма желудка, кишки, печени, поджелудочной железы Целонефродермальный Спланхнотом Нефрогонадотом брюшины, плевры, выделительной системы Глионейральный Нервная трубка (нейроэктодермальный) глазного яблока, желудочков мозга Ангиодермальный сосудов Ангиобласт ? ? ?

Дифферонный принцип организации тканей Дифферон - совокупность потомков одинаково детерминированных стволовых клеток, составляющих в Дифферонный принцип организации тканей Дифферон - совокупность потомков одинаково детерминированных стволовых клеток, составляющих в ткани линию дифференцировки По количеству дифферонов различают ткани: - монодифферонные - мультидифферонные