a025a461860e7b7bd1a90149c2ec632f.ppt
- Количество слайдов: 25
The Sixth Intensive Dental Implant Day 20 -21 October 2011
Join us at Jordan German dental implant center in collaboration with Friadent DENTSPLY/Jordan and get the opportunity to be close to Dr. Paul weigel
Dr. Paul Weigl JW Goethe-University Frankfurt am Department of Prosthodontics, Ass. Professor Dr. Paul Weigl graduated from the University of Munich Dental School in 1989. Since 1992 he has worked as an assistant professor and director of preclinical studies for the Department of Prosthodontics of the Johann Wolfgang Goethe. University Frankfurt am. Dr. Weigl has special focus in the field of prosthetics on implants. He is also a senior specialist at the Dept of Oral Surgery and Implant Dentistry, . Additionally he runs an R&D project to develop a fully automatic working CAD/CAM process to manufacture complete crowns and bridges and to develop a new fs-laser based device for diagnosis and minimally invasive therapy of caries.
His main focus of scientific work: Prosthodontics on implants is investigated by four prospective clinic trails. A new method to manufacture removable dentures on implants was developed. Furthermore the integration of residual teeth in suprastructures and concepts of occlusion of fixed dentures on implants are evaluated. Development of new fully-automatic working CAD/CAM-systems. Development of a new manufacturing tool for NC-controlled shaping of ceramics Development of a new telescopic retainer for removable dentures for geriatric patients Two prospective clinical trails evaluating Zr. O 2 based all-ceramic restorations Restoration of edondontically treated teeth
Title s
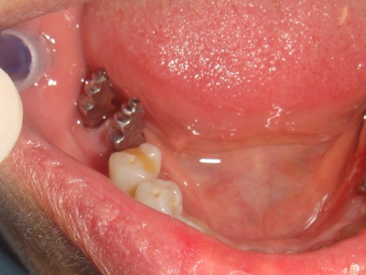
Title No. 1: Brilliant implant aesthetics – innovative soft-tissue shaping and prosthetic socket preservation.
Abstract No. 1: A great challenge in implantology today is a predictable, long lasting red aesthetic result. An innovative treatment concept is based on a non-traumatic and effective shaping of the periimplant soft tissue – including an anatomical shaping from the first second. Especially, too many assembling and removing of abutments can contribute to aesthetic complications by vertical tissue loss. Therefore the “one abutment one time” and the “one crown one time” concepts are preferred. Additionally, platform switched and sealed implant-abutment connection prevent crestal bone loss and an apical shift of mid facial soft tissue.
Abstract No. 1: (cont. . ) In case of a fresh extraction socket the seal with the own tooth or a temporary crown can keep the complete soft tissue shape in a easy and predictable way. This "prosthetic" socket preservation simulates an intentional tooth reimplantation without the root. The same seal and therefore an optimal healing mode of the extraction socket is realized by an immediate implant insertion and restoration.
Abstract No. 1: (cont. . ) The lecture demonstrates a workflow for oral surgeons, prosthodontists and dental technicians to achieve a predictable midfacial soft tissue level by an effective and non traumatic protocol. Primarily results of a prospective clinical trial are promising. Additionally an insight into a scientific based explanatory model is given how a stable conical connection can increase the probability of a periimplant tissue preservation.
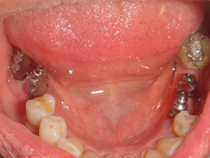
Title No. 2: Innovative Prosthodontics based on a high load capacity of implants
Abstract No. 2: Modern concepts of implant Prosthodontics emphasises an optimal simulation of the lost oral tissues – tooth, bone and soft tissue. The quality of simulation can be defined by several parameters, e. g. the dimension of an occlusal surface, the used dental materials, the type of fastening of the suprastructure, etc.
Abstract No. 2: (cont. . ) Planning implant Prosthodontics is mainly related to the available amount of residual bone and the load capacity of an implant. Especially the bone anchorage and the component strength of an implant limit the construction design of a suprastructure. Therefore to gain a deep insight into biomechanics is a prerequisite for an adequate planning of an appropriate construction design. In case of very high load capacity of an implant the expanded treatment possibilities are: • unsplinted single posterior crowns • physiological occlusal surface • long cantilevers • inclusion of patients with excessive bruxism • short implants • small implant diameter
Abstract No. 2: (cont. . ) The important consequence in the daily work of the last two items - the ability to use short and small implants due to an excellent bone anchorage - is a reduced need of augmentation procedure resulting in a huge increase of patients which accept implant based therapies only with minimal invasive medical intervention. However, an aesthetic result borne on a small implant-diameter requires a creative implementation on the part of the dental technician, taking the surrounding soft tissues (emergence profile) into due account. The submucosal shape of the abutments or the crown should correspond to a natural tooth and should be designed like an ovate-pontic of a bridge.
First day program land mark hotel lectures 6: 00 pm-9: 00 pm Dinner in honor of the audience
Second Day program live surgery every participant will get the opportunity to make implant intraoral for real patient this marathon of live surgery will start on 7: 30 am and will be finished at 1: 00 pm Friday prayers 2: 30 lunch in honor of the audience delivery of certificates


