90c3ab6cbcebc5310b40e6ca06ff3820.ppt
- Количество слайдов: 17
Thalamic haemorrhage in a teenager James Giles MB Ph. D Student The University of Manchester, UK
Foundation Specialist Training Medical School Core Training 18 23 25 Undergrad Medical School 27 Residency 33 y
Overview • Case presentation • Operative approaches • Management of cavernomas
Case presentation • 13 yo Asian male, previously well • Presents with: • new sudden-onset global headache • left UE and LE “tingling” • malaise • No significant PMH, non-contributory FH, school student, lives with parents • Neuro: intact except subjective L hemisensory abnormality
Emergent Head CT
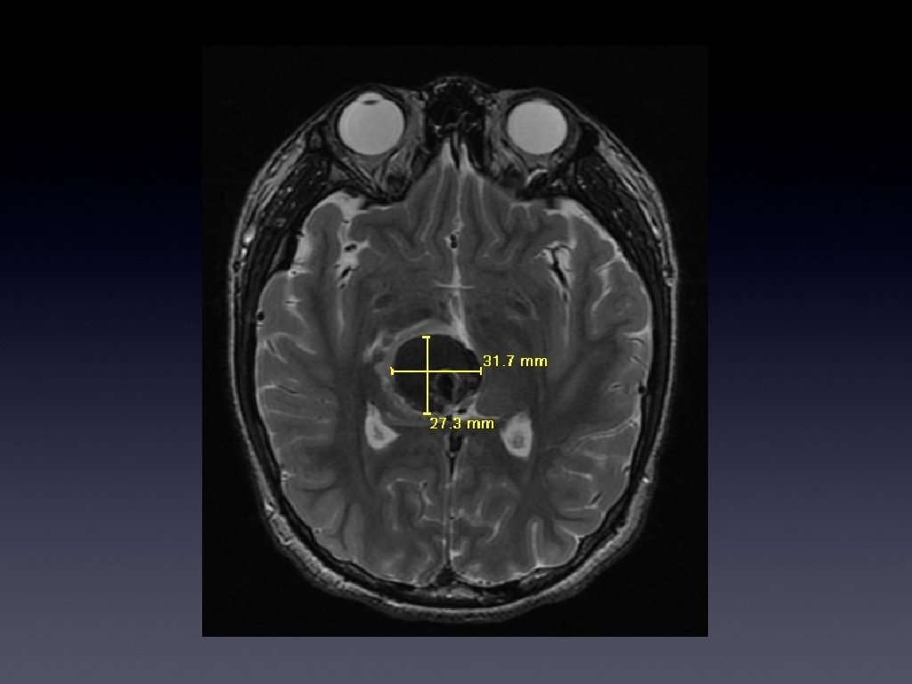
MR No enhancement or feeding/draining vessels
Ozek & Ture. Childs Nerv Syst. 2002.
Benign vascular lesion and clot Consistent with cavernous malformation POD 7 - Mild LUE drift, resolved parasthesiae
Al-Holou et al. J Neurosurg Pediatr. 201
Cortes Vela et al. Radiology.
Cavernous malformation Asymptomatic Symptomatic { Neurological Seizures Haemorrhage Observe Non-resectable Resectable Lifetime Risk = 1 - (1 -P)^Y Resection risk 5% Al-Holou et al. J Neurosurg Pediatr.
16 symptomatic CAs - 15 -55 y. o. - 13. 31 Gy 3. 59% annual haemorrhage rate post-gamma knife cf 8% in Michigan case series Harvard proton beam sig morbidity at 5 y Jay et al. Br J Neurosurg. 2012; Amin-Hajani. Neurosurgery. 1998.
Thanks • Drs Sack & Levy
90c3ab6cbcebc5310b40e6ca06ff3820.ppt