ТЕСТЫ ОРДИНАТОРАМ.ppt
- Количество слайдов: 152
ТЕСТЫ ОРДИНАТОРАМ
03. 56. К очаговым симптомам, характерным для эпидуральных гематом, относятся • • • 1. центральный парез лицевого нерва 2. парез в контралатеральной руке 3. гемипарез 4. расширение зрачка 5. афазия _____
Синдром полного перерыва спинного мозга это: А. Разрыв спинного мозга с расхождением концов Б. Функциональный перерыв В. Разрыв аксонов Г. Разрыв корешков Д. Верно все Е. Верно А, В, Г Ж. Верно А. Б. В --------
дыхание Биота А. При вклинении продолговатого мозга Б. При двухстронней пневмонии В. При височно-тенториальном вклинении Г. При повреждении таламуса Д. На финише спринтера -----
Основные принципы хирургического вмешательства при ПСМТ 1. декомпрессия 2. Стабилизация. 3. Восстановление оси позвоночника. в 3 -х плоскостях 4. Электростимуляци 5. Гипотермия 6 Верно все 7 Верно 1, 2, 3 -----
03. 72. Клиника прорыва гематомы в желудочки мозга характеризуется признаками: 1. кома-сопор 2. гипертермия 3. горметония 4. двусторонние патологические знаки 5. расстройства витальных функци _______
• 03. 76. В классификации огнестрельной ПСМТ выделяют повреждения • 1. открытые • 2. закрытые • З. проникающие • 4. слепые • 5. касательные • 6 трансляционнвая • -------
03. 79. Для острого периода огнестрельного ранения головного мозга характерны 1. обильное кровотечение 2. формирование гематомы 3. ликворея 4. нарушения ликвородинамики 5. нарушения гемодинамики ------
Основные виды осложнений ПСМТ 1. Инфекционно-воспалительные осложнения 2. Трофические нарушения 3. Спастика 4. Деформация опорно-двигательного аппарата 5. Болевой синдром 6. Нарушение функции тазовых органов 7. Верно 1, 3, 6 8. Выерно все ------
03. 45. При продольном переломе пирамиды височной кости имеет место • • • 1. ушная ликворея 2. парез лицевого нерва 3. снижение слуха 4. поражение барабанной струны 5. гематотимпанум ---------
Вид перелома
03. 57. Для эпидуральных гематом характерны следующие симптомы вклинения 1. бульбарные расстройства 2. парез взора вверх 3. симптом Гертвиг-Мажанди 4. дискоординированные движения глазных яблок 5. коматозное состояние ________
• 10. 4. Нестабильные повреждения позвоночника сопровождаются нарушением целостности: • А. Суставных отростков. • Б. Остистых отростков. • В. Дуг позвонков. • Г. Одновременно передних и задних опорных структур позвоночного сегмента • Д. Тел позвонков и межпозвонковых дисков • ------
03. 54. Возможны следующие типы течения эпидуральных гематом А) острые Б) подострые В) хронические Г) правильно б) и в) Д) все перечисленное -------
синдром Парино это все, кроме А. паралич вертикальных движений глазных яблок Б. Синдром «заходящего солнца» В. Паралич верхних век Г. Ограничение взора вверх -----
03. 112. Маннитол не рекомендуется вводить больным с черепно- мозговой травмой при осмолярности плазмы крови А) более 270 ммольл; Б) более 280 ммольл; В) менее 300 ммольл; Г) более 320 ммольл; Д) менее 280 ммольл. _____
• 10. К повреждениям спинного мозга без травмы позвоночника относятся: • А. Сотрясение. • Б. Ушиб. • В. Частичный анатомический перерыв. • Г. Повреждение магистральных сосудов спинного мозга • Д. Сдавление. • ------
К сочетанной черепно-мозговой травме относится А. Черепно-мозговая травма и другие заболевания и повреждения Б. Черепно-мозговая травма с одновременным механическим повреждением других органов и систем В. Черепно-мозговая травма и шок Г. Черепно-мозговая травма с одновременным повреждением других органов и систем Д. Черепно-мозговая травма и отравление ------
Вторичное повреждение головного мозга это: А. Повторная травма головы Б. Защитная реакция с развитием ишемии или гиперемии, внутричерепной гипертензии В. Повреждение мозга при операции Г. Повреждение мозга как следствие повреждения внутренних органов _____
9. 2. Под проникающей черепно-мозговой травмой следует понимать: А. Рану с повреждением апоневроза. Б. Перелом костей черепа. В. Перелом костей черепа с повреждением твердой мозговой оболочки. Г. Наличие назальной и ушной ликвореи. Д. Правильно В и Г. ______
Вид повреждения
Атрофия лобных долей в первые 2 -3 недели характерна для: А. Ушиба головного мозга тяжелой степени Б. Последствий перенесенного травматического менингита В. Диффузно-аксонального повреждения Г. Длительного сдавления головы Д. Ушиба лобных долей по контрудару --------
9. 40. Под открытым переломом свода черепа понимают: А. Повреждение мягких тканей в проекции перелома. Б. Назальную и ушную ликворею. В. Сочетание раны с повреждением апоневроза и/или переломом костей черепа. Г. Все перечисленное. Д. Ни то, ни другое. ------------
Синдром встряхивания это • А. эпилептический припадок • Б. Диффузное повреждение мозга при интенсивном укачивании • В. Сдавление головы при взрывах • Г. Верно все -------
• 9. 45. Назальная ликворея может характеризоваться: • А. Кровотечением из носа. • Б. Истечением из носа прозрачной жидкости. • В. Истечением из носа кровянистой жидкости. • Г. Все перечисленное. • Д. Верно- Б и В. • --------
Абсолютными дифференциальными признаками ушиба легкой степени и сотрясения головного мозга является: А. Асимметрия сухожильных рефлексов, Б. Наличие анизокарии В. Наличие перелома костей черепа Г. Время нарушения сознания Д. Субарахноидальное кровоизлияние Е. Верно В и Д Ж. Контузионный очаг на КТ или МРТ З. Верно В, Д и Ж И. Верно все -------
9. 182. Типичное проявление гипертензионного синдрома при черепно-мозговой травме: • А. Сжимающая головная боль. • Б. Уменьшение головной боли в положении с опущенной головой. • В. Уменьшение головной боли при обильном приеме жидкостей. • Г. Распирающая головная боль. • Д. Гипертермия. • -----
К открытой черепно-мозговой травме относится все, кроме А. Перелом черепа, совпадающий с раной покровов черепа Б Наличие раны покровов черепа, совпадающей с повреждением апоневроза, В. Резанная рана кожных покровов Г. Ушибленная рана кожных покровов, не совпадающая с переломом черепа, Д. Верно В и Г Е. Верно А и Б -----
2. КЛИНИЧЕСКИМИ ПРИЗНАКАМИ ВИСОЧНОТЕНТОРИАЛЬНОГО ВКЛИНЕНИЯ ЯВЛЯЮТСЯ А. Прогрессирующие расстройства сознания от оглушения до комы Б. Нарушения статики и походки В. Глазодвигательные расстройства Г. Психомоторное возбуждение Д Верно все Е Верно А и В -------
Кефалогематома это: А. Подапоневротическое скопление крови Б Внутричерепное скопление крови В. Поднадкостничное скопление крови Г. Подапоневротическое скопление ликвора ------
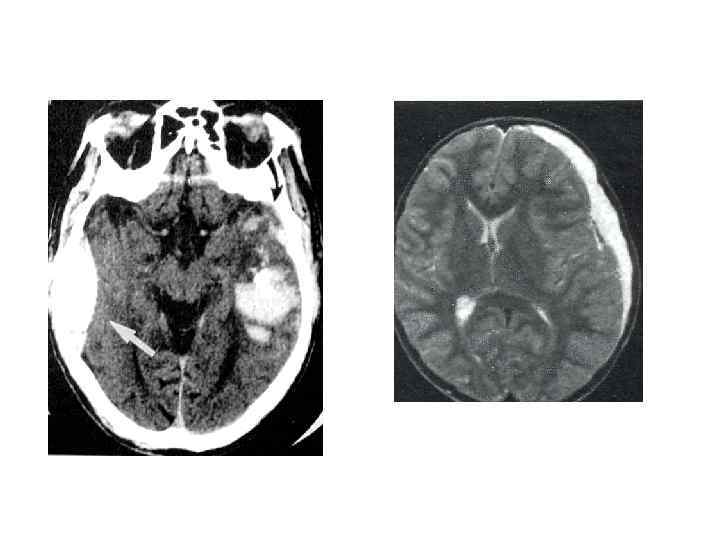
диагноз
• 9. 41. Линейный перелом свода черепа рентгенологически характеризуется: А. Прямолинейностью. Б. Повышенной прозрачностью. В. Зигзагообразностью. ( Симптом "веревочки «). Г. Всем перечисленным. ---------
9. 116. Дифференциальный диагноз травматической назальной ликвореи с аллергическим ринитом наиболее достоверно строится на: • А. Симптоме "мятого платка". • Б. Отоневрологическом осмотре. • В. Анализе выделений из носа на сахар. • Г. Анамнестических данных. • Д. Рентгенологической диагностике • ------
Шкала ком Глазго предназначена для А. Определения уровня нарушения сознания Б. Расчета финансовых затрат на лечение тяжелой черепно-мозговой травмы в США В. Определения степени тяжести пострадавшего Г. Учета тяжелых форм черепно-мозговой травмы Д. Верно А и В -------
Для диффузно-аксонального повреждения характерно все, кроме А. Гипергидроз, Б Гипертермия, В. Гиперсоливация, Г. Артериальная гипертензия, Д. Тахикардия ---------
Умеренная кома это: А. Глубокое угнетение сознания с сохранением координированных защитных реакций, Б. Дезориентировка, глубокая сонливость, выполнение лишь простых команд В. Невозможность разбудить, отсутствие открывания глаз, некоординированные защитные движения без локализации болевых раздражений -------
Запредельная кома это: А. Невозможность разбудить, отсутствие защитных движений при болевом воздействии Б. Атония мышц, двусторонний фиксированный мидриаз В. Апное, афазия, асистолия, анорексия ------
9. 183. Типичные проявления гипотензивного синдрома при черепно-мозговой травме • А. Распирающая головная боль. • Б. Уменьшение головной боли, лежа без подушки. • В. Уменьшение головной боли в вертикальном положении больного. • Г. Менингиальные симптомы. • Д. Тошнота. • -----
9. 234. Декомпрессивная трепанация при контузионных очагах показана в случаях • • : А. Стволовой симптоматики. Б. Гипертензионного синдрома. В. Нарастания синдрома компрессии головного мозга. • Г. Острого вспучивания, отека мозга на операции. • Д. Верно В и Г. • ________
03. 70. При внутримозговых гематомах наблюдаются следующие подкорковые симптомы 1. тонус типа «зубчатки» 2. гипомимия 3. тремор в конечностях 4. пластичный тонус в конечностях 5. автоматизированные движения ______
диагноз
При синдроме неполного перерыва спинного мозга сохранены: А. Чувствительность вокруг ануса и произвольное сокращение ректального сфинктера. Б. Движения в руках при отсутствии в ногах В. Брюшные рефлексы при отсутствии всех видов чувствительности Г Верно все ------
03. 74. Для внутрижелудочковых гематом характерны следующие нарушения • 1. двусторонние патологические знаки • 2. горметония и децеребрационная ригидность • 3. диссоциация тонуса по оси тела • 4. диссоциация сухожильных рефлексов по оси тела • 5. угнетение сознания • ______--
• 10. 11. Наиболее частым механизмом повреждений позвоночника и спинного мозга на шейном уровне является: • А. Флексионная травма. • Б. Экстензионная травма. • В. Компрессионная травма. • Г. Дистракционная травма. • Д. Ротационная травма • -------
03. 113. Гипервентиляция для лечения отёка мозга при черепно-мозговой травме проводится в течение: • • • А) 1 часа; Б) 1 суток; В) 2 -3 часов; Г) 2 -3 суток; Д) 1 недели. ______
• 10. 13. К проникающим ранениям позвоночника относятся: • А. Ножевое ранение с повреждением желтой связки. • Б. Ножевое ранение с повреждением суставного отростка. • В. Слепое огнестрельное ранение, проникающее до дуги позвонка. • Г. Ранение, проникающее до остистого отростка, но сопровождающееся частичным нарушением проводимости спинного мозга. • Д. Правильно Б и В. • --------
• 9. 62. При эпидуральной гематоме бывает: • А. Утрата сознания после травмы без светлого промежутка. • Б. Утрата сознания, светлый промежуток, после чего нарастание симптоматики • В. Утрата сознания через определенное время после травмы. • Г. Утрата сознания отсутствует. • Д. Все варианты • ----------
• 9. 126. Наиболее частыми дислокационными проявлениями конвекситальной острой субдуральной гидромы являются: • А. Парез взора вверх. • Б. Бульбарные расстройства. • В. Нистагм. • Г. Двусторонние стопные знаки. • Д. Анизокория • -------
• 9. 73. Для субдуральных гематом более характерны следующие общемозговые симптомы: • А. Головная боль гипертензионного характера. • Б. Головная боль оболочечного характера. • В. Головокружение. • Г. Психомоторное возбуждение. • Д. Рвота. • ---------
• 14. 56. При смещении головного мозга в большое затылочное отверстие отмечаются: • А. Тонические судороги. • Б. Боли в шейно-затылочной области. • В. Боли в области надбровных дуг и переносья. • Г. Нарушения дыхания. • Д. Верно Б и Г. • ---------
Вид перелома
НАЗОВИТЕ ВКЛИНЕНИЕ • • • А. Церебро-мозжечковое Б. Височно-тенториальное В. Мозжечково-тенториальное Г. Верно-Б и В Д Верно-А и В -------
9. 104. В зависимости от перифокальной зоны контузионного очага возможно выпадение функций по типу: • • • А. Пареза. Б. Паралича. В. Гипестезии. Г. Анестезии. Д. Правильно А и В. ______
• 9. 189. Дислокационный синдром при ушибе головного мозга со сдавлением внутричерепной гематомой характеризуется: • А. Нарастающими общемозговыми расстройствами. • Б. Нарастающей гипертермией. • В. Пирамидной недостаточностью. • Г. Появлением синдрома Парино. • Д. Грубым снижением остроты зрения. • --------
3. 5. Резекционная декомпрессивная трепанация показана при: • А. Переломе основания черепа • Б. Выраженном отеке головного мозга и внутричерепной гематоме • В. Внутримозговой гематоме • Г. Подострой субдуральной гематоме • Д. Подострой эпидуральной гематоме • _______
9. 49. Симптомами поперечных трещин пирамид являются: А. Глухота на одно ухо со стороны травмы. Б. Головокружение. В. Периферический парез лицевого нерва. Г. Ушная ликворея. Д. Все перечисленное, кроме Г. ---------
9. 50. Симптомами продольных трещин пирамид являются: А. Глухота на стороне травмы. Б. Головокружение. В. Периферический парез лицевого нерва. Г. Ушная ликворея. Д. Все перечисленное. --------
К видам отека мозга относится все, кроме: А. Вазогенный отек Б. Ишемический отек, В. Лимфатический отек Г. Обтурационный отек --------
• 9. 12. Под повреждением мягких тканей головы следует понимать: • А. Рану до надкостницы. • Б. Рану с повреждением апоневроза. • В. Рану без повреждения апоневроза. • Г. Поверхностные ссадины. • Д. Правильно В и Г.
• . 13. Лечение повреждений мягких тканей головы заключается в: • А. Наложении повязки с антисептическими и антибактериальными средствами. • Б. Первичной хирургической обработке. • В. Наложении асептической повязки. • Г. Иссечении участков тканей сомнительной жизнеспособности. • ---- • .
3. При МОЗЖЕЧКОВО-ТЕНТОРИАЛЬНОМ СМЕЩЕНИИ БУДЕТ ВСЕ, КРОМЕ А. синдром Парино Б. паралич глазодвигательного и блокового нервов, В. снижение слуха, Г. снижение остроты зрения -----
• • 9. 15. Колотая рана характеризуется: А. Небольшим входным отверстием. Б. Ровными краями. В. Обильным кровотечением. Г. Отсутствием кровотечения. Д. Всем перечисленным. _--------
03. 70. При внутримозговых гематомах наблюдаются следующие подкорковые симптомы • • • 1. тонус типа «зубчатки» 2. гипомимия 3. тремор в конечностях 4. пластичный тонус в конечностях 5. автоматизированные движения ______
03. 53. Для эпидуральной гематомы наиболее часто • А) утрата сознания после травмы без светлого промежутка • Б) утрата сознания, светлый промежуток, после чего повторная утрата сознания • В) утрата сознания через определенное время после травмы • Г) утрата сознания отсутствует • Д) все перечисленное • _______
03. 115, Показанием для контроля внутричерепного давления является: • 1. тяжёлая черепно-мозговая травма; • 2. коматозное состояние больного (менее 8 баллов по ШКГ); • 3. отёк мозга, признаки смещения срединных структур; • 4. контузионные очаги, гематомы; • 5. компрессия базальных цистерн • _______
03. 74. Для внутрижелудочковых гематом характерны следующие нарушения • 1. двусторонние патологические знаки • 2. горметония и децеребрационная ригидность • 3. диссоциация тонуса по оси тела • 4. диссоциация сухожильных рефлексов по оси тела • 5. угнетение сознания • ______
03. 54. Возможны следующие типы течения эпидуральных гематом • • • А) острые Б) подострые В) хронические Г) правильно б) и в) Д) все перечисленное -----
03. 73. Симптомами раздражения дна IV желудочка, наблюдаемыми при гематомах, являются • • • 1. сопор-кома 2. нистагм 3. нарушение ритма дыхания 4. неустойчивость АД 5. бульбарный синдром ______
03. 11 б. Какое ВЧД измерять предпочтительнее • : А) эпидуральное; • Б) субдуральное; • В) внутритканевое; • Г) внутрижелудочковое; • Д) разницы нет. • _______
Вид травмы
• 10. 16. Диагноз сотрясения спинного мозга ставится при наличии перечисленных симптомов, кроме: • А. Преходящего пареза. • Б. Преходящих расстройств чувствительности. • В. Легкого стойкого пареза ног • Г. Временных расстройств функции тазовых органов. • Д. Все не верно • ----------
• 03. 73. Симптомами раздражения дна IV желудочка, наблюдаемыми при гематомах, являются • 1. сопор-кома • 2. нистагм • 3. нарушение ритма дыхания • 4. неустойчивость АД • 5. бульбарный синдром • ____
• 10. 18. При гематомиелии могут наблюдаться в отдаленном периоде травмы: • А. Диссоциированные расстройства чувствительности. • Б. Сегментарный характер расстройств чувствительности. • В. Утрата сухожильных рефлексов на уровне поврежденных сегментов • Г. Парезы или параличи на уровне поврежденных сегментов мозга. • Д. Все перечисленное. • --------
03. 41. Основными методами диагностики переломов черепа являются • A) диагностика по краниограммам • Б) диагностика по рентгенограммам основания черепа • В)Диагостика по КТ и. МРТ • B) диагностика по клиническим данным • Г) все перечисленное • Д) только б) и в) • Е) только а, б, в • ________
03. 46. К клиническим проявлениям перелома задней черепной ямки относятся • 1. локальная боль, кровоподтек в области сосцевидного отростка • 2. головная боль оболочечного характера • 3. атаксические расстройства • 4. координаторные расстройства • 5. бульбарный синдром • _______
• 10. 20. Причиной травматического сдавления корешка может быть все перечисленное, кроме: • А. Гематома при ранении корешка или окружающих тканей. • Б. Костные отломки при переломе позвоночника. • В. Фораминальной гематомой • Г. Сломанным остистым отростком • Д. Фрагментами разорванного межпозвонкового • диска. • -------
03. 48. Бульбарные симптомы при переломе костей ЗЧЯ: • • • 1. дисфагия 2. дизартрия 3. дисфония 4. отсутствие глоточного рефлекса 5. ограничение движений мягкого неба ______
03. 60. Для субдуральных гематом характерны следующие симптомы раздражения коры • 1. локальные эпилептические припадки • 2. первично централизованные эпилептические припадки • 3. вторично централизованные эпиприпадки • 4. эпилептический статус • 5. абсансы • _______
Какой нерв поврежден r
Какой нерв поврежден u
• 10. 24. Выраженные расстройства дыхания возникают при поражении спинного мозга на уровне: • А. С 4. • Б. С 5. • В. С 8. • Г. Д 1. • -------
03. 71. Для внутримозговых гематом характерно наличие следующих стволовых симптомов • А) двусторонних патологических стопных знаков • Б) пареза взора вверх • В) симптома Гертвиг-Мажанди • Г) бульбарных симптомов • Д) тахипноэ • ______
• 10. 53. Стабильность позвоночника обеспечивает: • А. Надостистые и межкостные связки. • Б. Тела позвонков и межпозвонковые диски. • В. Желтые связки. • Г. Сочленения суставных отростков. • Д. Все перечисленное. • -------
В классификации огнестрельной травмы черепа выделяют повреждения • • . 1. открытые 2. закрытые З. проникающие 4. слепые 5. касательные ______
03. 115, Показанием для контроля внутричерепного давления является: • 1. тяжёлая черепно-мозговая травма; • 2. коматозное состояние больного (менее 8 баллов по ШКГ); • 3. отёк мозга, признаки смещения срединных структур; • 4. контузионные очаги, гематомы; • 5. компрессия базальных цистерн • ______
• 10. 55. К особенностям неотложной помощи при травме шейного отдела позвоночника относятся перечисленные мероприятия, кроме: • А. Адекватная вентиляция легких. • Б. Положение на спине при транспортировке. • В. Транспортная иммобилизация шеи. • Г. Противошоковые мероприятия • Д. Положение сидя для облегчения дыхания • -------
• 10. 58. Расстройства мочеиспускания при острой травме спинного мозга выражаются: • А. Задержкой мочи. • Б. Недержанием мочи. • В. Задержкой мочи, которая сменяется недержанием. • Г. Недержанием мочи, которое сменяется задержкой. • Д. Парадоксальным дыханием • -------
Скальпированная рана покровов черепа характеризуется • • • № 1. Кожно-апоневрический лоскут № 2. Края раны ровные № 3. Края раны неровные № 4. Обильное кровотечение № 5. Умеренное кровотечение --------
К стволовым нарушениям, наблюдаемым при ушибе головного мозга, относятся • № 1. Анизокория • № 2. Парез взора вверх • № 3. Двухсторонние патологические знаки • № 4. Множественный нистагм • № 5. Все перечисленное • ---------
Типы повреждений позвоночника
При эпидуральных гематомах характерны следующие общемозговые симптомы: • № 1. Головная боль гипертензионного характера • № 2. Приступообразные головные боли • № 3. Головокружение • № 4. Психомоторное возбуждение • № 5. Рвота • --------
• 10. 78. Показания к оперативному вмешательству при повреждении спинного мозга: • А. Сотрясение спинного мозга. • Б. Ушиб спинного мозга. • В. Сдавление спинного мозга. • Г. Частичный анатомический перерыв спинного мозга • Д. Правильно В и Г. • --------
Мезенцефальная симптоматика при тяжелом ушибе головного мозга проявляется • № 1. Симптомом Гертвига-Мажанди • № 2. Парезом взора вверх • № 3. Спонтанным вертикальным нистагмом • № 4. Двусторонними патологическими знаками • № 5. Всем перечисленным • -------- •
Под открытым переломом свода черепа понимают • № 1. Повреждение апоневроза в проекции перелома • № 2. Назальную и ушную ликворею • № 3. Сочетание раны с повреждением апоневроза и переломом костей черепа • № 4. Все перечисленное • № 5. Ни то, ни другое • ---------
Под антероградной амнезией следует понимать • № 1. Амнезию на короткий период времени после травмы • № 2. Амнезию на короткий период времени до травмы • № 3. Амнезию на короткий период времени до и после травмы • ------- •
Назальная ликворея может характеризоватья: с • № 1. Кровотечением из носа • № 2. Истечением из носа прозрачной жидкости • № 3. Истечением из носа кровянистой жидкости • № 4. Все перечисленное • № 5. Только № 2, № 3 • ---------
К внешним проявлениям перелома основания передней черепной ямки относятся: • № 1. Кровоподтеки в области верхних век • № 2. Кровоподтеки в области нижних век • № 3. И то, и другое • № 4. Ни то, ни другое • № 5. Назорея • ------- • #
При кольцевидном переломе основания черепа наблюдается поражение: • • • № 1. Языкоглоточного нерва № 2. Подъязычного нерва № 3. Блуждающего нерва № 4. Добавочного нерва № 5. Языкоглоточного и подъязычного нервов • № 6 Верно все • -------- • #
К клиническим проявлениям перелома костей задней черепной ямки относятся: • № 1. Ушная ликворея • № 2. Локальная боль в области сосцевидного отростка • № 3. Головная боль оболочечного характера • № 4. Атаксические расстройства • № 5. Координаторные расстройства • ----------
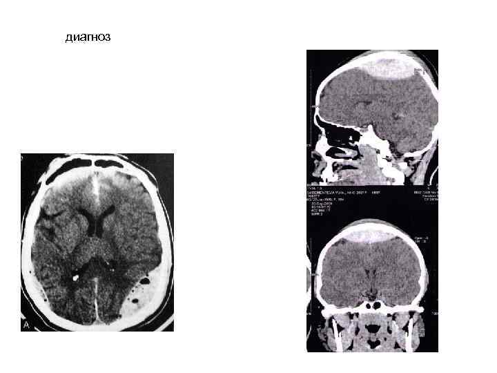
Сформулируйте диагноз
Тяжелая изолированная черепно-мозговая травма, открытое проникающее ножевое повреждение правой височной доли, колотая рана правой височной области, кома II-III, интракраниальная гематома правой височной обл. (? ), дислокация на уровне БЗО
• Для определения стратегической программы лечения пострадавших с позвоночноспинномозговой травмой необходимо использовать 1. Число поврежденных колон (столбов) позвоночника, 2. Степень смещения позвонков относительно друга, 3. Степень кифотической деформации позвоночника. 4. Верно все 5. Верно 2 и 3 -------
• 10. 80. Какой способ внутренней иммобилизации считается предпочтительнее при переломо-вывихах грудного и поясничного отдела позвоночника? • А. Костными алотрансплантатами. • Б. Металлическими конструкциями. • В. Транспедункулярный спондилодез. • Г. Быстро твердеющей пластмассой. • Д. Все правильно. • -------
При переломах основания черепа наблюдаются следующие симптомы поражения стриопаллидарной системы • • • № 1. Гиподинамия № 2. Гипомимия № 3. Тремор в конечностях № 4. Изменение тонуса № 5. Все перечисленное ---------
• 10. 102. Сотрясение спинного мозга характеризуется: • А. Обратимостью неврологических расстройств. • Б. Синдромом полного нарушения проводимости. • В. Отсутствием неврологических расстройств. • Г. Не грубыми остаточными парезами • Д. Легкими чувствительными расстройствами в отдаленном периоде • ---------
Оптимальное время операции при острой ПСМТ А. должна производиться в первые 46 часов Б должна производиться в первые 5 -7 часов В. не имеет практического значения Г. . должна производиться в первые сутки ------
Клинические проявления при субарахноидальных кровоизлияниях выражаются: • № 1. Головной болью гипертензионного характера • № 2. Головной болью оболочечного характера • № 3. Головокружением • № 4. Снижением зрения • № 5. Болями в конечностях • ------ • #
При неполном перерыве в 1 -е сутки можно определить следующую триаду • а — сохранена перианальная чувствительность; • б — сохранен тонус анального сфинктера; • в — сохранено активное сгибание I пальца стопы
• • Лечение при субарахноидальных кровоизлияниях при легких ушибах мозга включает № 1. Однократную люмбальную пункцию № 2. Люмбальные пункции до полной санации ликвора № 3. Консервативная терапия № 4. Люмбальные пункции с введениеми кислорода до полной санации ликвора № 5 Люмбальные пункции с введением антибиотиков № 6. Все перечисленное --------
Вид травмы
Повреждение на уровне Th 3 -Th 5 сегментов А. нарушением потоотделения Б. нарушением дыхания В. нарушением сердечной деятельности, Г. нарушением печеночной функции Д. верно все Е все неверно -----
Внутричерепная гипотензия характеризуется всем перечисленным, кроме: • № 1. Головной боли распирающего характера • № 2. Головной боли сжимающего характера • № 3. Тенденцией больного к удержанию головы ниже уровня кровати • № 4. Вынужденного положения головы • -------
Дифференциальный диагноз травматической назальной ликвореи с аллергическим ринитом наиболее достоверно строится на: • № 1. Симптоме "мятого платка" • № 2. Отоневрологическом осмотре • № 3. Анализе выделений из носа на сахар • № 4. Анамнестических данных • № 5. Рентгенологической диагностике • № 6. КТ данных • ------ • #
03. 53. Для эпидуральной гематомы характерна • А) утрата сознания после травмы без светлого промежутка • Б) утрата сознания, светлый промежуток, после чего повторная утрата сознания • В) утрата сознания через определенное время после травмы • Г) утрата сознания отсутствует • Д) все перечисленное • ________
1. Клиническими признаками внутричерепной гипертензии являются А. Головная боль, тошнота, рвота Б. Прогрессирующие угнетение сознания В. Застойные изменения на глазном дне Г. Вторичные изменения костей черепа Д. Верно –все -------------
Головная боль при внутричерепной гипертензии А. Сжимающая Б. Давящая В. Распирающая Г. Колющая Д. Стреляющая --------
Синдром неполного перерыва спинного мозга А. центральномедуллярный синдром: Б. синдром Броун-Секара В. переднемедуллярный синдром Г. заднемедуллярный синдром Д. все верно -------
Вторичные изменения костей черепа при внутричерепной гипертензии у детей это: А. Увеличение числа костей черепа, Б. Наличие «пальцевых вдавлений» , В. Наличие наростов на черепе, Г. Расхождение швов Д-Верно Б и Г Е-Верно все -----
Дыхание. Чейн-Стокса А. При поражении мозжечка Б. При ранении трахеи В. При травме продолговатого мозга Г. При височно-тенториальном вклинении ----
Вид повреждения
• 9. 160. Перелом типа "фетровой шляпы" на площади 5 х5 см давностью сутки у ребенка 4 -х месяцев. Какова ваша тактика? • А. Лечение консервативное. • Б. Резекционная трепанация черепа. • В. Репозиция вдавления из фрезевого отверстия. • Г. Костно-пластическая трепанация • ---------
Причины внутричерепной гипертензии все, кроме А. Дополнительное объемное внутричерепное образование (опухоль, гематома, абсцесс) Б. Прогрессирующий отек головного мозга В. Тахикардия Г. Окклюзионная гидроцефалия Д. Гиперемия мозга Е. Гиперсекреция СМЖ ------
приступообразная сильная икота бывает при А. Верхнем тенториальном вклинении Б. Нижнем тенториальном вклинении В. Вклинении мозжечка в затылочношейную воронку Г. Цингулярном вклинении -----
3. 6. Костно-пластическая трепанация показана при: • А. Эпидуральных гематомах, сочетающихся со стволовым ушибом головного мозга и выраженным отеком • Б. Эпидуральных гематомах, не сочетающихся с выраженным отеком головного мозга • В. Внутримозговых гематомах и витальными нарушениями • Г. Обширных переломах свода и основания черепа с контузионными очагами • Д. Все верно • ________
Анизокария развивается в результате А. Вклинения мозжечка в большую затылочную цистерну Б. сдавления n. opticus В. сдавления n. occulomatorius Г. опущения верхнего века Д. сдавления n. trochlearis -----
• 9. 14. Резаная рана покровов головы характеризуется: • А. Ровными краями. • Б. Ушибленными краями. • В. Размозженными краями. • Г. Повреждением апоневроза. • Д. Без повреждения апоневроза. • ------
4. При смещении мозжечка в затылочно-шейную дуральную воронку верно все, кроме А. приступообразная сильная головная боль в области затылка, Б. икота, В. рвота, Г. дизартрия, Д. брадикардия, Е. апное. Ж. артериальная гипертензия -----
• 14. 57. Смещение мозга в тенториальное отверстие вследствие опухоли верхней половины мозжечка у детей сопровождается: • А. Нарушением глотания • Б. Расстройствами дыхания и сердечной деятельности. • В. Грубым парезом взора вверх. • Г. Двигательными и чувствительными расстройствами. • --------
Сдавление глазодвигательного нерва происходит А. При давлении на него гематомой Б. При верхнем тенториальном вклинении ствола мозга В. При нижнем тенториальном вклинении ствола мозга Г. При повышенном внутриглазном давлении -----
Признаки ВЧГ
• 14. 4. Признаки внутричерепной гипертензии у ребенка раннего возраста можно выявить с помощью: • А. Осмотра головки ребенка. • Б. R-графии черепа. • В. Ангиографии сосудов мозга. • Г. Осмотра глазного дна. • Д. Всех вышеперечисленных признаков • ------
• 14. 6. Показанием для пункции желудочков головного мозга у детей является: • А. Опухоль больших полушарий головного мозга. • Б. Эпилептический статус. • В. Отек мозга. • Г. Гипертензионно-гидроцефальный криз. • -------
• 14. 25. При окклюзионном кризе у ребенка в первую очередь следует применить : • А. Дыхательные аналептики. • Б. Противосудорожные средства. • В. Дегидратирующие средства. • Г. Глюкокортикоиды. • Д. Вентрикулярную пункцию • -------
Нарушение сознания при дислокации мозга вызвано • А. Поражением клеток коры • Б. Нарушением функции ретикулярной формации • В. Нарушением корково-подкорковых связей • Г. Сдавлением лобной доли • ------
Вид гематом
Размеры гематом
По времени образования 1 1 3 2
Вид травмы
Вид травмы
Вид травмы
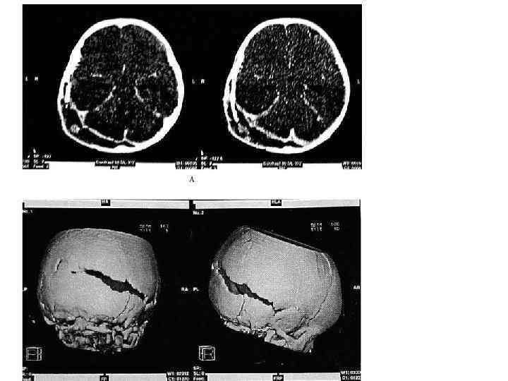
Вид перелома
Вид исследования
Вид травмы
Виды переломов
Вид дислокации мозга
Вид дислокации мозга
Вид дислокации мозга


