Lec 5 Травна + Vicova.ppt
- Количество слайдов: 150
Тема лекції: Вікові особливості травлення та раціональне харчування
План лекції: 1. Біологічне значення травлення. Ферменти. 2. Вікові особливості травної системи. 3. Фізіологічні основи раціонального харчування.
1. Біологічне значення травлення. Ферменти
Травлення – це біохімічні процеси перетворення речовин у травній системі за допомогою ферментів.
1
2
3
4
5
Травлення - це біохімічні процеси перетворення речовин у травній системі за допомогою ферментів. це біологічні каталізатори, які синтезуються секреторними (залозистими) клітинами, діють на кисневі зв′язки молекул білків, жирів і вуглеводів і забезпечують їхнє гідролітичне розщеплення.
Гідролітичне розщепленняпроцес подрібнення великих молекул органічних сполук на дрібніші складові частини.
• протеолітичні - діють на пептидні зв′язки і розщеплюють білки (пепсин, трипсин); • гліколітичні - діють на глюкоїдні зв′язки і розщеплюють вуглеводи - крохмаль, глікоген, лактозу, сахарозу (амілаза, мальтаза); • ліполітичні - діють на ефірні зв′язки і розщеплюють ліпіди, ДНК (ліпаза).
1) специфічність - діють лише на певну речовину; 2) чутливість - діють лише в певному середовищі ([Н], [ОН]); від t ° С; 4) не вступають самі в реакції. 3) залежність
2. Вікові особливості травної системи
Травна система - канал, що складається з окремих відділів, у кожному з яких відбуваються характерні процеси травлення.
Травна система • 8 -10 м.
Травний канал 1. Ротова порожнина. 2. Глотка. 3. Стравохід. 4. Шлунок. 5 -6. Тонкий кишечник. 5. 12 -пала кишка. 7. Товстий кишечник. 8. Пряма кишка.
Оболонки травного каналу 1) слизова; 2) підслизова; 3) м′язова; 4) підсерозна; 5) серозна.
Оболонки 1. Слизова 2. Підслизова Функції виробляє: • травний сік; • слиз, що захищає від самоперетравлення ферментами, а також полегшує проходження їжі утворює складки, в яких проходять кровоносні та лімфатичні судини, містяться нервові сплетіння
3. М′язова забезпечує перистальтику - ритмічні хвилеподібні скорочення травного тракту 4. Підсерозна 5. Серозна • містять кровоносні судини і нервові волокна; • забезпечують збереження певної форми; • захисна функція.
Травні залози слинні шлункові печінка підшлункова кишкові
Взаємозв′язок будови і функцій травної системи 1 переддвер’я рота власне зів обмежене: ротова • спереду і боків губами і щоками; порожнина Отвір: • ззаду яснами і • обмежований передніми зубами утворена піднебінними дугами; твердим і м’яким • сполучає ротову порожнину піднебінням з глоткою.
У ротовій порожнині є 4 мигдалики, які утворюють навколо зіва лімфоїдне кільце. У мигдаликах розвиваються лімфоцити.
Слинні залози 1 2 3
Секрет слинних залоз слина (0, 5 - 2 л) [ОН] Амілаза Мальтаза Муцин Лізоцим Крохмаль → Дисахариди → Моносахариди (Глюкоза) Робить харчову грудку слизькою, що полегшує її ковтання та просування Забезпечує бактерицидна властивості
Типи зубів
У дорослої людини 32 зуби (по 16 у кожній щелепі)
Зубна формула (для молочних зубів):
1. Коронки молочних зубів формуються та вкриваються емаллю - до 6 -го місяцю ембріогенезу.
2. Пізніше з'являються зачатки постійних зубів. 3. Корені зубів розвиваються після народження.
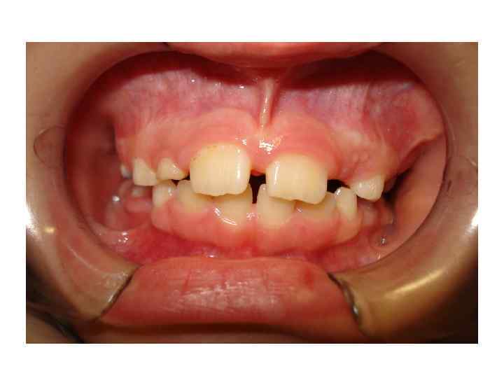
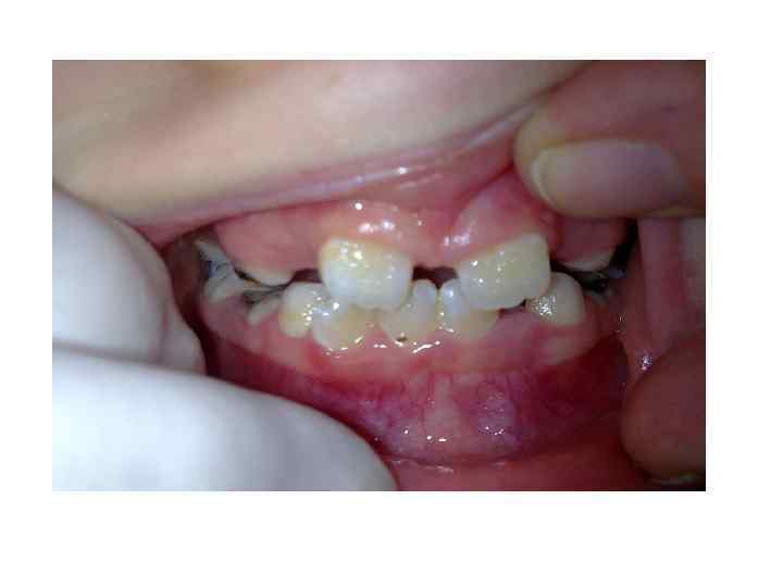
4. Строки прорізування зубів Зуби Різці центральні Різці бічні Ікла Премоляри 1 -і Премоляри 2 -і Моляри 1 -і Моляри 2 -і Моляри 3 -і Молочні Постійні 6 -8 міс. 7 -10 міс. 14 -18 міс. 12 -14 міс. 20 -30 міс. - 7 -7, 5 р. 8 -9 р. 10 -12 р. 10 -11 р. 6 -7 р. 12 -13 р. 17 -25 р.
Послідовність прорізування зубів
5. Розрахунок кількості зубів у віці 6 -24 місяців життя: Кількість місяців життя – 4 6. Починають випадати молочні зуби у 5 -7 років: • корені розсмоктуються; • коронку виштовхує постійний зуб, який росте.
7. Середня стертість зубів (поява ділянок відкритого дентину) – від 20 -22 до 30 -35 років. 8. Сильна стертість коронки приблизно до половини її висоти – від 50 - 55 років. 9. Повна стертість коронки зубів до шийки – від 60 - 70 років.
• Наші пращури знали про гігієну порожнини рота і засоби для догляду за зубами: зубочистки, дерев’яні палички, шкрябачки для язика. • Римляни застосовували зубочистки з маслинового дерева, пташиного пір’я, а також чистили товченими перлинами. • Індіанці Південної Америки, мексиканці використовували зерна какао. • Сибіряки здавна застосовували смолу з хвойних дерев.
• В Європі зубна щітка з’явилась у 50 -х роках 16 століття. • У 17 столітті була вже зубна щітка зі свинячої щетини. • Зуби починали чистити крейдою, але вона дуже здирала емаль зубів. • Зараз є надзвичайно багато засобів для гігієни порожнини рота.
Взаємозв′язок будови і функцій травної системи забезпечує: 1 • перемішування харчової грудки; • смакові відчуття; • проштовхування та ковтання харчової грудки; • формування звуків мови. Язик (lingua)
КОВТАННЯ
Взаємозв′язок будови і функцій травної системи 2. Глотка 3. Стравохід М′язова трубка
• у новонароджених 10 см • до 1 року 12 см • 5 років 16 см • 10 років 18 см • 15 років 25 см • дорослі 25 см
Шлунок • має вигляд зігнутого мішка; • розташований у лівому підребер’ї під діафрагмою; • складається з 3 -х відділів: 1) вхідна (кардіальна) частина, в яку відкривається стравохід; 2) тіло (середня частина); 3) пілорична частина, , яка сполучається з 12 -палою кишкою.
Шлунок складається з трьох шарів непосмугованих м’язових волокон, завдяки яких шлунок може виконувати складні рухи: 1) внутрішнього – 2) середнього - колового; 3) зовнішньогопоздовжнього; косого
Шлункові залози Шлунковий сік 2 - 2, 5 л [Н] Ферменти: 1) Пепсиноген → Пепсин→ Білки 1. Головні ↓ НСl Амінокислоти 2) Желатиназа → гідроліз білків сполучної тканини 3) Хімозин (у дітей) → зсідання молока
4. • Розширений 1. Виділення шлункового відділ (місткість соку. 3 л); Хімус - це харчові маси, змішані з шлунковим соком. • має численні 2. Хімічна обробка їжі. 3. Механічна обробка їжі. залози 4. Перистальтика.
1. У немовлят: • шлунок має горизонтальне положення, а коли починає стояти і ходити набуває вертикального положення; • м'язова стінка шлунку недорозвинена; • вхід до шлунку широкий часте блювання, аерофагія 2. Повністю формується слизова оболонка шлунку з 7 до 14 років. 3. Становлення виділення НСl - 2, 5 - 4 роки.
4. Загальна кислотність шлункового соку обумовлена наявністю молочної кислоти. 5. Ефективність ферментів шлункового соку немовлят (пепсин, катепсин, хімозин, ліпаза) недостатня, тому вони розщеплюють такі білки - фібрин і казеїн, які входять до складу молока.
6. Форма шлунку: • до 1, 5 року округла 2 - 3 роки грушоподібна 7 років як у дорослих
7. Ємність шлунку: у новонароджених 30 - 35 мл 3 місяці 100 мл 1 рік 350 мл 3 роки 600 мл 10 - 12 років 1, 5 л дорослі 3 л
8. У немовляти шлунок звільнюється від залишків їжі через: • 2, 5 - 3 год. , якщо згодовується грудним материнським молоком; • 3 - 4 год. , якщо коров'ячим молоком.
5. 4 -4, 5 м 1 -1, 5 м
Будова тонкої кишки
Будова тонкої кишки 1. Має мільйони кишкових ворсинок. 2. Збільшують площу поверхні.
Всмоктують Утворюють слиз поживні речовини
Тонкий кишечник
5. 1. Тонкий: а) 12 -пала; порожня; клубова; 1. Остаточне перетравлення їжі: розщеплення всіх біополімерів до мономерів. 2. Всмоктування мономерів у кров. б) залози; в) складки і 3. Перистальтика. ворсинки (S=500 м²)
Печінка ТРАВНІ залози Підшлункова залоза
ТРАВЛЕННЯ в тонкій кишці
1 Жовчні кислоти Холестерин Печінка ЖОВЧ 0, 5 - 1 л Жовчні пігменти: • білірубін Hb • білівердин 1. Активує ферменти підшлункового та кишкового соку. 2. Емульгує 3. Нейтралізує [Н] середовище шлунку.
• у новонароджених - 4, 3% маси тіла; • подвоюється до 8 - 10 місяців; • потроюється до 2 -3 років; • інтенсивно росте в 14 - 15 років (1300 - 1400 г). • Жовчовиділення - у 3 міс. плоду.
Травні залози Підшлункова залоза
Підшлункова залоза Підшлунковий сік (панкреатичний) [ОН] 1, 5 - 2 л
[ОН] Ферменти підшлункового соку: 1) Трипсиноген → Трипсин → Білки ↓ ентерокіназа Амінокислоти 2) Амілаза → Крохмаль → Дисахариди 3) Мальтаза → Дисахариди → Глюкоза 4) Лактаза → Цукор молока → Глюкоза 5) Ліпаза → → Гліцерин + Жирні кислоти 6) Нуклеаза → НК → нуклеотиди
Кишкові залози Кишковий сік (1, 5 - 2 л) Фермент: ентерокіназа Діє на ферменти підшлункового соку: Трипсиноген → Трипсин Комплекс Закінчують гідроліз Білків, ферментів (≈ 20) Жирів, Вуглеводів
Ерепсин Ліпаза спричиняє розпад пептонів і альбумоз на амінокислоти розщеплює жири до гліцерину і жирних кислот закінчують розщеплення решток складних вуглеводів до глюкози Амілаза, мальтаза, інвертаза, лактаза Нуклеаза розщеплює складні білки нуклеопротеїни
5. 1 -1, 5 м
1. Формування калових мас з неперетравлених залишків їжі. 5. 2. Всмоктування води. 2. Товстий 3. Симбіоз з бактеріями, ферменти яких: • розщеплюють целюлозу; • • синтезують вітаміни - К, В; виробляють отруйні речовини індол, скатол, фенол.
Рухи ободової кишки 1. Кільцеподібні скорочення, що виникають 1. Це потужні перистальтичні хвилі, 1. М’язи спереду калових мас на певній віддалі один від одного. розслаблюються, позаду - скорочуються. що двічі або тричі на добу 2. Завдяки цьому калові маси 2. Перистальтичні хвилі просувають калові маси на великі перемішуються. маси. відстані
1. Кишечник у дітей відносно довший, ніж у дорослих: • у немовлят довжина кишок більша довжини тіла у 6 разів; • у дорослих довжина кишок більша довжини тіла у 4 рази. 2. Кишечник інтенсивно росте від 1 до 3 років, з 10 до 15 років.
3. У дітей підвищена проникність стінки кишечнику ↓ недостатня її бар'єрна функція ↓ чужорідні речовини легко потрапляють у кров ↓ ТОКСИКОЗИ
4. Склад флори кишечнику: • під час ембріогенезу - стерильний тракт; • через декілька годин після народження поява м/орг: - посилюють гідроліз білків; - викликають бродіння і розкладання вуглеводів; - синтезують вітаміни.
5. Випорожнення (дефекація) кишечнику: • у перші тижні життя - 4 - 5 разів на добу; • пізніше - 2 - 3 рази на добу; • з 1 року - 1 -2 рази на добу; • у дорослих - 1 раз на добу.
3. Фізіологічні основи раціонального харчування
Раціональне харчування таке харчування, яке забезпечує організм людини всіма необхідними для активного життя речовинами і сприятиме доброму стану її здоров′я.
Раціональне білкове харчування: 1 Це підтримання азотистого балансу
Раціональне білкове харчування: 2 Надходження з їжею незамінних амінокислот
Раціональне білкове харчування: 3 Надходження з їжею повноцінних білків м′ясо тварин, яйця, риба, ікра, молоко
Раціональне білкове харчування: 4 Добова потреба дорослої людини у білках - 100 - 120 г.
Нераціональне білкове харчування: Білкове голодування Дистрофія, виснаження, погіршується фізичний і розумовий розвиток. Надмірне надходження білків • Подагра - захворювання суглобів пальців рук і ніг. • Сечокам′яна хвороба.
Рівень потреби органів у глюкозі: ГОЛОВНИЙ СЕЛЕЗІНКА МОЗОК КИШКИ ЛЕГЕНІ М′ЯЗИ НИРКИ
1 Раціональне вуглеводне харчування: Добова потреба дорослої людини у вуглеводах - 350 - 500 г.
Нераціональне вуглеводне харчування: Зловживання вуглеводами (особливо при гіподинамії) Запалення підшлункової залози Порушення вироблення гормону - інсуліну
Раціональне жирове харчування: 1 Добова потреба дорослої людини у жирах - 100 г.
Нераціональне жирове харчування: Ожиріння Гіпертонія Зловживання жирами (особливо при гіподинамії) Атеросклероз Цукровий діабет
"ВОДА. . . У тебе немає ні смаку, ні кольору, ані запаху, тебе неможливо описати, тобою насолоджуються, не знаючи, що ти таке. Не можна сказати, що ти необхідна для життя: ти - саме життя. Ти наповнюєш нас радістю, яку не пояснити нашими почуттями. З тобою повертаються до нас сили, з якими ми вже розпрощались. З твоєї милості у нас знову починають вирувати висохлі джерела нашого серця. Ти найбільше багатство на світі. . . " Антуан де Сент-Екзюпері
Формування кванту води
Емото Масару – японський вчений, що проводив дослідження з інформаційного впливу на квант води
Пастораль Бетховена
Музика Баха
Важкий рок
Вода до молитви
Вода після молитви
“Мати Тереза”
“Адольф Гітлер”
“Любов”
ВМІСТ У ТКАНИНАХ ОРГАНІЗМУ
ВМІСТ У ТКАНИНАХ ОРГАНІЗМУ
ВМІСТ У ТКАНИНАХ ОРГАНІЗМУ М‘язи - 76%
ВМІСТ У ТКАНИНАХ ОРГАНІЗМУ
Надходження води до організму РІДКА ЇЖА ІНШІ ПРОДУКТИ ВИПИТА ВОДА Окиснення Б, Ж, В
Виведення води з організму СЕЧА ПІТ ДИХАННЯ Кишечник
Втрата води організмом СПРАГА важкі порушення в процесах життєдіяльності СМЕРТЬ
Са - 3, 5% S - 1, 6% P - 1, 6% Na - 0, 05% K - 0, 55% Cl - 0, 55% Mg - 0, 1% Fe Cu Mn Br Al I
Са - 99 % Р - 47 % Mg - 57% К - 47 %
Мінеральні речовини Na К Дорослі - 6 г, школярі - 4 -5 г 2 -3 г Са 1 г Кухонна сіль - Na. Cl Картопля, абрикоси, сливи М‘ясо, риба, молочні продукти, яйця, капуста, щавель, петрушка, помідори.
Mg Р Fe І 0, 1 г Злаки, щавель, петрушка, родзинки, абрикоси. 1 г Молоко та молочні продукти, риба, м‘ясо, яйця. 15 -20 Печінка, яйця, яблука, абрикоси, мкг зелень петрушки. 150 Морські водорості (морська мкг капуста), риб‘ячий жир, зернові та овочі (найбільше - в картоплі), фрукти, молоко.
Основи раціонального харчування Наявність у раціоні: • білків; • вуглеводів; • жирів; • води і мінеральних речовин; • вітамінів; • баластних речовин - пектинів, клітковини Фізіологічні норми потреб залежно від віку Енергетичний баланс Правильне співвідношення між поживними речовинами Режим харчування • кількість прийомів їжі; • інтервали між ними • розподіл калорійності між окремими прийомами їжі
перша літера в СУЧАСНА ЇЖА – слові "Europe"- Європа ЗАГРОЗА ЛЮДСТВУ сполуки, що утворилися в процесі технологічної та кулінарної обробки це такі речовини, які окремо в їжу не вживаються, але додаються у продукти з технологічних міркувань, щоб вони • не попсувалися, • не змінили колір і консистенцію
• Е 100 до 199 - барвники (підсилюють чи відновлюють колір продукту); • Е 200 до 299 – консерванти (підвищують термін збереження продуктів, захищають їх від бактерій, грибів, вірусів); • Е 300 до 399 – антиокислювачі (захищають від окиснення, наприклад, від згіркнення жирів і зміни кольору, продовжуючи тим самим термін зберігання); • Е 400 до 499 – стабілізатори (зберігають задану консистенцію продукту) і загущувачі (підвищують в'язкість); • Е 500 до 599 – емульгатори (створюють однорідну суміш продуктів, що не змішуються, наприклад води й олії); • Е 600 до 699 – підсилювачі смаку та аромату; • Е 900 до 999 – піногасники (запобігають утворенню піни чи знижують його рівень, наприклад, під час розливання соку).
• E 330 — лимонна кислота (є у всіх цитрусових); • E 160 а — каротин, E 101 — вітамін В 2 рибофлавін (у томатах); • E 400 — альгінат натрію (у морських водоростей).
Шкідливі харчові добавки • Е 210, Е 214, Е 217, Е 230, Е 231, Е 232, Е 239, Е 311 -331 - викликають діатез у дітей або стають причиною серйозної алергії у дорослого населення; • Е 211 - 214, Е 217, Е 221, Е 227 – завдають істотної шкоди здоров‘ю астматиків; • Е 214, Е 217 - протипоказані тим, хто чутливий до аспірину; • Е 250 -251 - викликають розлади тиску; • Е 171 -173, Е 220, Е 320 -322 - руйнують печінку і нирки; • Е 230, Е 233, Е 238 - викликають шкірні захворювання; • Е 221 -226, Е 320 -322, Е 338 -341, Е 407, Е 450, Е 461 – 466 - спричиняють захворювання шлунково-кишкового тракту; • Е 233 - шкідливий вагітним, оскільки стає причиною неправильного розвитку плоду; • Е 249, Е 262 - категорично протипоказані немовлятам (для старших дітей вони також являють небезпеку); • Е 220 - руйнує вітамін В 1 в нашому організмі; • Е 222 – 227 – руйнують вітамін В 12; • Е 103, Е 105, Е 121, E 123, Е 125, Е 126, Е 130, Е 131, Е 142, Е 152, Е 210, Е 211, Е 212 -217, Е 240, Е 447 - потенційні канцерогени.
В Україні заборонені харчові добавки • Е – 103, 105, 111, 125, 126, 130, 152 через їх винятково токсичний вплив на організм людини
Мінеральні добрива, пестициди Антибіотики, гормони росту
Гормони росту: естроген і його синтетичні аналоги (стильбени) - в птахівництві: • абсолютні канцерогени: викликають у жінок розвиток пухлин молочних залоз; • для чоловіків небезпечні: гальмують їхню статеву функцію; • хлопчики стають жінкоподібними, все частіше останнім часом аж до зміни сексуальної орієнтації.
Гормони росту: естроген + прогестерон – в скотарстві: • має контрацептивний ефект, а значить, неминуче призводить до гормональних форм безпліддя.
Гормони росту: прогестерон – у свинарстві: • у жінок починають рости вуса, борода; • у чоловіків – вірогідна пухлина передміхурової залози (простати).
У тваринництві часто незаконно застосовують тиреостатики – інгібітори гормону щитоподібної залози • У дорослої людини – порушення щитоподібної залози (людина товстішає, стає сонливою, млявою, загальмованою, в неї погіршується пам'ять і знижується працездатність). • У дитини - уповільнення її фізичного і розумового розвитку.
“БЛАКИТНИЙ ЯНГОЛ” • Один з перших знаків, що вказував на екологічно чисту продукцію (таку, що на кожному етапі виробництва не забруднює довкілля), ведений у ФРН у 1978 році. Знак запозичений з емблеми Програми ООН з проблем навколишнього середовища.
“МАРГАРИТКА” • Єдиний спільний знак маркування екологічно чистих товарів виробників з держав – членів Європейського Співтовариства
ЗНАКИ екологічної чистоти продукції • “Екознак” Японії • “Білий лебідь” Норвегії
ЗНАКИ екологічної чистоти продукції • “Екознак” Японії • “Білий лебідь” Норвегії
ЗНАКИ екологічної чистоти продукції • “Екознак” США • “Екознак” Австралії
ЗНАКИ екологічної чистоти продукції • “Екознак” Канади • “Екознак” Росії
БЕРЕЖІТЬ СЕБЕ!
Дієтичне харчування - це раціон і режим харчування хворої людини. Основний принцип дієти - її відповідність фізіологічним і хворобливим процесам конкретної людини.
Гостра, пряна, багата на клітковину їжа Вуглеводи (особливо солодощі) Знежирена їжа, збільшена кількість овочів і фруктів
Вегетаріанство - система харчування, за якої людина повністю або майже повністю уникає вживання продуктів тваринного походження.
ПЕРЕКОНАННЯ прихильників вегетаріанства: • М′ясо сприяє утворенню в організмі отруйних речовин, які скорочують життя та погіршують розумові процеси. • Джерелом білків мають бути тільки різні рослинні продукти, особливо у сирому вигляді.
ВЕГЕТАРІАНСТВО 1. Овочі та фрукти - цінні джерела вітамінів, органічних і мінеральних речовин. 1. Білки рослин важко піддаються дії травних ферментів, а тому гірше або зовсім не засвоюються. 2. Багаті на баластні 2. Білки рослин не є речовини повноцінними (клітковина, пектин). білками.
Висновок: 1. Харчування людини повинно бути мішаним. 2. Короткочасну рослинну дієту можна застосовувати при лікуванні подагри (перевантаженні організму тваринними білками), деяких хвороб серцевосудинної системи та нирок.
Модні тенденції сучасної дієтології • Кожний рік виходять сотні наукових і популярних книг з новими дієтами: французькою, японською, китайською, кремлівською, президентською, середземноморською і навіть дієта Леонардо да Вінчі. • ВООЗ визнала середземноморську дієту як таку, що забезпечує зниження захворюваності на серцево – судинні хвороби і навіть знижує артеріальний тиск.
Lec 5 Травна + Vicova.ppt