Д-ка брохиты хобл.pptx
- Количество слайдов: 38
ТЕМА: Диагностика заболеваний органов дыхания. ПМ 01 Диагностическая деятельность МДК. 01. Пропедевтика клинических дисциплин Раздел 4. Диагностика заболеваний внутренних органов Тема: Диагностика бронхитов, ХОБЛ преподаватель Придня Е. А. 2013 год
План лекции Бронхиты, ХОБЛ: v Определение. v Этиология и патогенез. v Классификация. v Клиническая картина. v Диагностика. v Возможные осложнения.
ОСТРЫЙ БРОНХИТ воспалительное заболевание бронхов, преимущественно инфекционного происхождения, проявляющееся кашлем (сухим или с выделением мокроты) и продолжающееся не более 3 недель.
Этиология. Этиологические факторы: Инфекционные: вирусы, бактерии, микоплазмы и др. Физические: сухой, горячий или холодный воздух. Химические: кислоты, щёлочи, окислы азота. Аллергические: органическая пыль, пыльца растений.
Предраспологающие факторы: климат условия труда переохлаждение курение табака алкоголизм хронические заболевания ссс и органов дыхания.
ПАТОГЕНЕЗ Этиологические факторы (чаще вирусы) повреждают эпителиальные клетки слизистой оболочки бронхов и вызывают их гибель. На 2 3 день присоединяется бактериальная флора. Слизистая бронхов гиперемированая, отечная. Имеется слизистый, слизисто гнойный или гнойный экссудат. Возможны кровоизлияния, полная обтурация секретом просвета мелких бронхов и бронхиол.
КЛИНИЧЕСКАЯ КАРТИНА
Основной симптом: Кашель с мокротой или без мокроты
КЛАССИФИКАЦИЯ По этиологии. По патогенезу: первичный, вторичный. По уровню поражения: трахеобронхит, бронхиолит. По течению: остро текущий, затяжной. ПО характеру воспаления: катаральный, отечный, гнойный
Хронический бронхит хроническое воспалительное заболевание бронхов, сопровождающееся постоянным кашлем с отделением мокроты не менее 3 месяцев в году в течение 2 и более лет, при этом указанные симптомы не связаны с какими либо другими заболеваниями бронхопульмональной системы, верхних дыхательных путей или других органов и систем.
Хронический бронхит является широко распространенным заболеванием и встречается у 3— 8 % взрослого населения.
Этиология хронического бронхита Курение Вдыхание загрязненного воздуха Профессиональные вредности Климатические факторы Инфекция Генетические факторы, конституциональная предрасположенность к хроническому бронхиту
По данным седьмого Всемирного конгресса по курению и здоровью, в 1990 г. курение было причиной смерти 3 млн. людей
Согласно данным эпидемиологических исследований, характерные признаки хронического бронхита появляются при стаже табакокурения 15 — 20 лет, а при стаже курения свыше 20 — 25 лет появляются осложнения хронического обструктивного бронхита — легочное сердце и дыхательная недостаточность. Среди курящих хронический бронхит встречается в 2 — 5 раз чаще, чем среди некурящих. Средняя продолжительность жизни курящего человека на 15 лет короче, по сравнению с некуря щими людьми.
поллютанты — агрессивные вещества различной природы и химического строения, вызывающие раздражение и повреждение бронхопульмональной системы.
Профессиональные вредности воздействие различных видов пыли (хлопковой, угольной, цементной, кварцевой, древесной и др. ) — развиваются так называемые пылевые бронхиты; влияние токсических паров и газов (аммиака, хлора, кислот, сернистого ангидрида, окиси углерода, фосгена, озона, паров и газов, образующихся при газо и электросварке); высокая или низкая температура воздуха, сквозняки и другие отрицательные особенности микроклимата в производственных помещениях и цехах.
Факторы, предрасполагающие к развитию хронического бронхита: хронический тонзиллит, ринит, синуситы, фарингит, кариозные зубы; нарушение носового дыхания любой природы (например, наличие полипоза носа и др. ); застойные явления в легких любого генеза; злоупотребление алкоголем (алкоголь, принятый внутрь, выделяется слизистой оболочкой бронхов и оказывает на нее повреждающее действие); хроническая почечная недостаточность (выделяющиеся слизистой оболочкой бронхов продукты азотистого метаболизма вызывают ее повреждение).
Патогенез Длительное раздражение бронхиального дерева Гипертрофия и гиперплазия трахеобронхиальных желез Увеличение бронхиальной слизи(гиперкриния) Изменение состава и вязкости(дискриния) Кашель
Замедление выведения слизи Обструкция(нарушение бронхиальной проводимости) Гипертензия малого круга кровообращения
классификация По характеру воспалительного процесса: простой(катаральный) гнойный, слизисто гнойный По функции: необструктивный
Клиническая картина хронического бронхита Основными субъективными проявлениями хронического бронхита являются кашель с отделением мокроты, общая слабость, потливость (при обострении заболевания и гнойном характере бронхита). Согласно определению ВОЗ, для хронического бронхита характерен кашель с отделением мокроты не менее 3 месяцев в году в течение 2 и более лет.
Диагностика хронического бронхита Диагностические критерии хронического бронхита: 1. Постоянный кашель с выделением мокроты в течение не менее 3 месяцев на про тяжении 2 лет подряд или более (критерии ВОЗ). кашель курильщика; кашель в результате раздражения дыхательных путей производственными вредностями (газами, парами, дымами и т. д. ); кашель вследствие патологии носоглотки; затяжное или рецидивирующее течение острого бронхита; дыхательный дискомфорт и кашель вследствие контакта с летучими раздражающими веществами; сочетание названных факторов.
2. Типичная аускультативная картина — грубое жесткое дыхание с удлиненным выдохом, рассеянные сухие и влажные хрипы. 3. Воспалительные изменения в бронхах по данным бронхоскопии (метод исполь зуется преимущественно для дифференциальной диагностики). 4. Исключение других заболеваний, проявляющихся многолетним продуктивным кашлем. 5. Нарушения бронхиальной проходимости при исследовании функции внешнего дыхания.
Дополнительные методы диагностики ЛАБОРАТОРНЫЕ: ОАК (общий анализ крови) возможны небольшой нейтрофильный лейкоцитоз и умеренное увеличение СОЭ. Анализ мокроты — макроскопическое исследование. Мокрота может быть слизистой (белая или прозрачная) или гнойной (желтая или желто зеленая), обнаруживается большое количество нейтрофильных лейкоцитов, нередко находят клетки бронхиального эпителия, макрофаги, бактериальные клетки. Бактериологическое исследование мокроты выявляет различные виды инфекционных возбудителей и их чувствительность к антибактериальным средствам БАК (биохимический анализ крови). На основании определения биохимических показателей активности воспалительного процесса
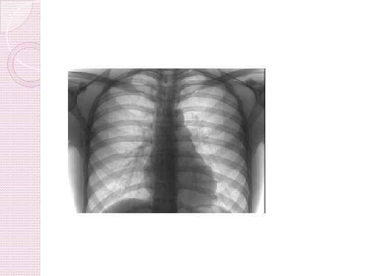
инструментальные Бронхоскопия. Бронхография. Рентгеноскопия и рентгенография легких. Исследование функции внешнего дыхания. Исследование газового состава крови.
ХОБЛ Хроническое медленно прогрессирующее заболевание, характеризующееся необратимой или частично обратимой(при применении бронхолитиков или другого лечения) обструкцией бронхиального дерева.
Группу риска ХОБЛ составляют, как правило, курильщики со стажем, выкуривающие по одной пачке сигарет в день на протяжении 20 лет. Средний возраст начала заболевания 40 лет.
В настоящее время около 600 миллионов человек в мире страдают ХОБЛ. Это второе по распространенности неинфекционное заболевание в мире Основной причиной развития ХОБЛ является табакокурение. В России курит 70% мужчин и 30% женщин. По данным статистики ХОБЛ развивается у 50% курильщиков и характеризуется прогрессирующим ухудшением функции легких. ХОБЛ в России занимает 1 ое место (55%) в структуре распространенности болезней органов дыхания, существенно опережая бронхиальную астму (19%) и пневмонию (14%), число больных ХОБЛ в России может превышать 11 млн. человек.
Основные симптомы ХОБЛ Постепенно нарастающая одышка. ◦ Многим больным ХОБЛ приходится останавливаться при подъеме по лестнице, чтобы перевести дыхание. ◦ Сначала одышка может возникать при значительных усилиях (пробежка к автобусу, работа в огороде, подъем в гору), а со временем ◦ при обычных нагрузках (спокойная ходьба). ◦ Больные ХОБЛ могут ходить медленнее, чем другие люди их возраста; одышка возникает при незначительных повседневных усилиях (наклоны, принятие ванны, одевание). ◦ С годами одышка появляется все чаще, и нагрузка, при которой она возникает, постоянно уменьшается.
Хронический кашель, также называемый "кашлем курильщика". ◦ Кашель и выделение мокроты могут наблюдаться в течение всего дня или только утром после пробуждения. Хрипы и ощущение тяжести в грудной клетке.
Спасибо за внимание 24. 10. 2005
Д-ка брохиты хобл.pptx