Лек остеохондроз09.ppt
- Количество слайдов: 109
Sublata causa, tollitur morbus. С устранением причины устраняется болезнь.
Структурные и функциональные нарушения позвоночника. Остеохондроз. N. Andre‘ Эмблема ортопедии (1741) Профессор А. Д. Ченский
Боль в спине
Боль в спине
Виды осанки Рис. 3
Структура и функция
Патология стоп.
Влияние черепнонижнечелюстной дисфункции на позу тела.
Рембрант Харменс ван Рейн Урок анатомии доктора Тюльпа (1632)
Позвоночный сегмент Schmorl, Junghanns (1931)
Б А
drome n tensy Facet ндром le. umba чный си L авов) т сни х сус (поя нковы о жпозв ме
e ensy cett м a le F ндро vika си Zer ный вых о шей озвонк ( ежп ов). м в уста с drom n
Точки для опорно-двигательной системы.
Синдром Th 4 позвонка
ВАЗОГРАФИЯ
Причины компрессионного синдрома
Виды межпозвонковых грыж
Protrusion Extrusion
Причины компрессионного синдрома
ый ов шк ре м Ко ро нд си
А. Характер болевого синдрома. Б. Двигательные нарушения. В. Чувствительные расстройства. Г. Выпадение функции мышц.
ПЕРЕРЫВ
Клиническая картина и диагностика стуктурнофункциональных нарушений при остеохондрозе позвоночника. И. Х. Фидлер. Обследование больной Середина XYIII в.
Эдвард Мунк. “Крик”, 1893. Национальная галерея. Осло.
Симптом “Возжей”
Признак (складка) Киблера
Симптом , , Доски, ,
Позвоночная артерия
Проба Де Клейна
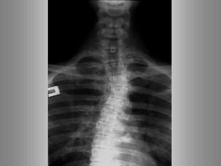
Лучевая диагностика остеохондроза позвоночника. Рентгенография Компьютерная томография (КТ) а) Магнитно-резонансная томография( МРТ) б) МР-миелография Сцинтиграфия Денситометрия В. К. Рентген
Аномалии развития позвоночника
ьная ал и енц фер Диф тика с гно диа Ван Гог. Доктор Поль Гаше (1890)
Спондилолиз Спондилолистез
Спондилолистез
Ос тео хо нд ро п ати я
Болезнь Форестье(1950 г. )
Болезнь Форестье (1950 г. ) Болезнь Бехтерева
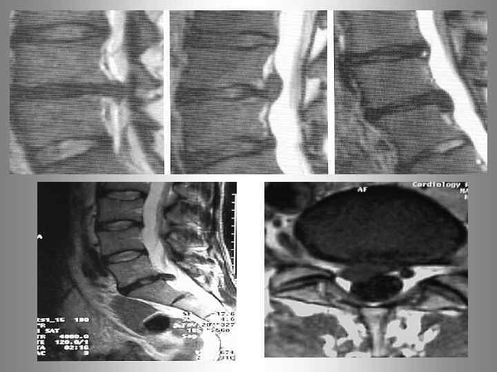
Опухоль. Метастаз. Остеопороз. Спондилит (дисцит)
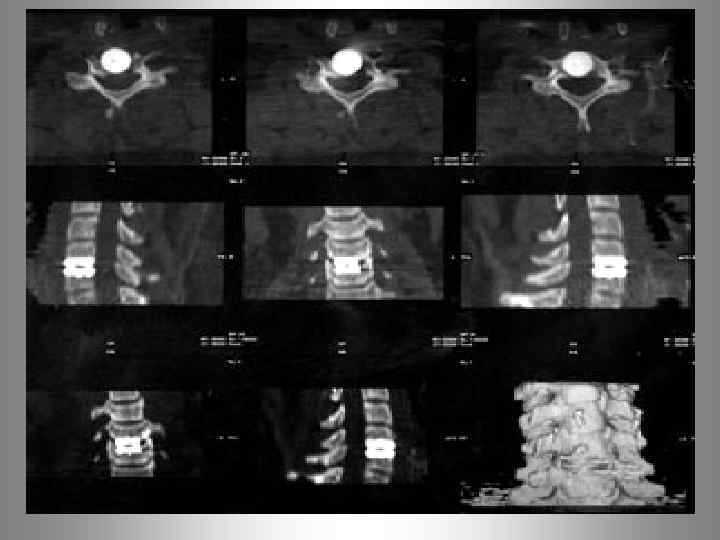
Гемангиома L 3 позвонка
Опу хол ь C 6 п озво нка
Метастаз. Патологический перелом тела Th 10 позвонка.
MRT - позвоночника. Спондилит L 2 - L 3 позвонков.
ЛЕЧЕНИЕ
Медикаментозная терапия. 1. НПВП (Вольтарен, Целебрекс и т. д. ) 2. Релаксирувющие препараты (сирдалуд) 3. Противоотёчные 4. Антигистаминные 5. Витаминотерапия 6. Местное лечение (мази, гели)
Лечение положением.
Поясничные ортезы.
Шейные ортезы
А. Дюрер Руки молящегося (1508) M ual an ed M ine ic
Основатели современной мануальной медицины В. Г. Саттерленд Д. Пальмер 1862 -1957 гг 1845 -1913 гг А. Т. Стилл 1828 -1917 гг Клаус Вебер и Михаэлла Вайс Ида Рольф 1896 – 1979 гг. А. Л. Паулс 1929 – 1997 гг.
Коррекция осанки
Ма сса ж
о нног стве а. е соб рсет дани го ко Соз чно ыше м
Пр ави дви л гат ьный реж ель ны им й
И. Е. Репин Святитель Николай Мирликийский, спасающий трех невинных от казни (1888) ие н Хи ур р ич г ое ск е л че е
Микродискэктомия по Дестандо
Пункционная лазерная вапоризация дегенерированных межпозвонковых дисков
Операция Юмашева - Фурмана
Синдром смежного уровня Развитие патологических изменений в позвоночном сегменте, смежном с уровнем фиксации получило обозначение: “Cиндром смежного уровня”
Синдром смежного уровня 2004 2005 2006 Применение жесткой стабилизации одного или нескольких позвоночных сегментов приводит к серьезным изменениям в биомеханике позвоночника и перераспределению нагрузок
Математическое моделирование Современные технологии позволяют обеспечить высокую точность математического моделирования позвоночника с учетом особенностей его связочного аппарата, плотности костной ткани, алгоритмов движений 3 D-реконструкция по данным КТ Математическая модель
Динамическая система стабилизации
ИМ ПЛ АН ТЫ
Берегите свой позвоночник ! Гербренд ван ден Экхут Четыре члена амстердамской гильдии медиков(1657)
КОНЕЦ Спас ибо з а вни FINIS FIN мани е END !
Лек остеохондроз09.ppt