7d87f74fbf2290d99b4adaaab211dbdb.ppt
- Количество слайдов: 162
STROKE DEFINITION
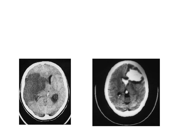
Ischemia with Bleeding 10 -15%
Amyloid Angiopathy
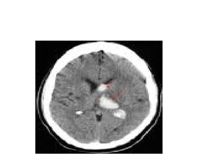
10
Many Causes of Stroke
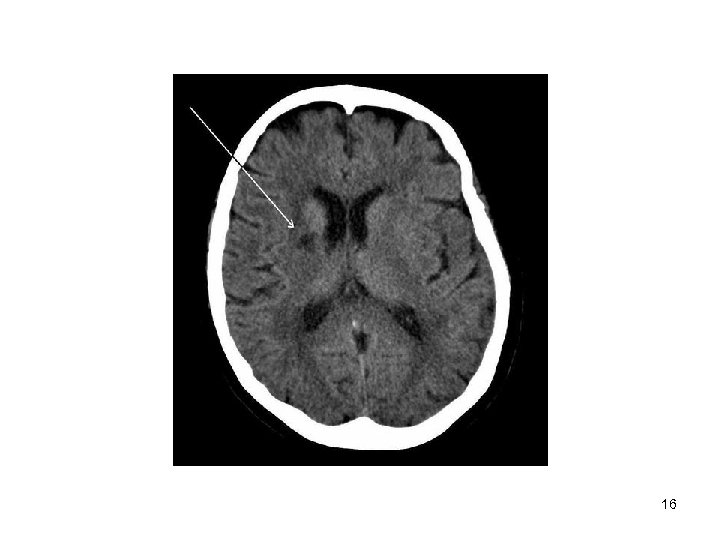
16
Lacunar Strokes
Stroke Mimics
Stroke Differential Diagnosis
DWI Images
STROKE
Perfusion MRI Weighted Image
1: Jansen O et al. Lancet (1999) 353: 2036 -2037 2: Kane I et al. Stroke (2007) 38: 3158 -3164 3: Albers GW et al. Ann Neurol (2006) 60: 508 -517
TPA 3 -4. 5 Hours
Blood Pressure Management
PFO: A LONG STORY
1: Lopez AD et al. Lancet (2006) 367: 1747 -1757 2: Rothwell PM et al. Lancet (2005) 366: 1773 -1783 3: O'Brien JT et al. Lancet Neurol (2003) 2: 89 -98
1: Kwan J et al. Ageing (2004) 33: 116 -121
1: von Kummer R et al. Radiology (2001) 219: 95 -100 2: Wardlaw J et al. Stroke (2004) 35: 2477 -2483
DWI Images
1: Ay H et al. Cerebrovasc Dis (2002) 14: 177 -186
1: Jansen O et al. Lancet (1999) 353: 2036 -2037 2: Kane I et al. Stroke (2007) 38: 3158 -3164 3: Albers GW et al. Ann Neurol (2006) 60: 508 -517
1: Allendörfer J et al. Lancet Neurology (2005) 5: 835 -840 2: Nederkoorn P et al. Stroke (2003) 34: 1324 -1332
1: Rothwell P et al. Lancet Neurol (2005) 5: 323 -331 2: Coutts S et al. Ann Neurol (2005) 57: 848 -854 3: Redgrave J et al. Stroke (2007) 38: 1482 -1488
1: Christensen H et al. Neurol Sci (2005) 234: 99 – 103 2: Gunalp M et al. Adv Ther (2006) 23: 854 -60
1: Lerakis S et al. Am J Med Sci (2005) 329: 310 -6 2: de Bruijn SF et al. Stroke (2006) 37: 2531 -4
Hpercoag Work-Up
1: Neal B et al. Lancet (2000) 356: 1955 -64 2: Dahlof B et al. Lancet (2002) 359: 995 -1003. 3: Mancia G et al. Eur Heart J (2007) 28: 1462 -536
1: Turner RC et al. JAMA (1999) 281: 2005 -12 2: Mancia GJ: Hypertens Suppl (2007) 25: S 7 -12 3: Sever PS et al. Diabetes Care (2005) 28: 1151 -7
1: Amarenco P et al. : Stroke (2004) 35: 2902 -2909 2: HPS Group: Lancet (2002) 360: 7 -22.
1: Shinton R et al. : BMJ (1989) 298: 789 -94. 2: Qureshi A et al. : Stroke (2005) 36: 74 -76 3: Colditz GA et al. : N Engl J Med (1988) 318: 937 -41.
1: Reynolds K et al. : JAMA (2003) 289: 579 -88 2: Mukamal K et al. : Ann Intern Med (2005) 142: 11 -19 3: Bazzano LA et al. : Ann Neurol (2007)
1: Lee C et al. : Stroke (2003) 34: 2475 -2481 2: Deplanque D et al. : Neurology (2006) 67: 1403 -1410)
1: Kurth T et al. : Circulation (2005) 111: 1992 -1998 2: Hu G et al. : Arch Intern Med (2007) 167: 1420 -1427 3: Howard B et al. : JAMA (2006) 295: 655 -666
1: Gabriel S et al. : Cochrane Review (2005) CD 002229
1: Bartolucci A et al. : Am J Cardiol (2006) 98: 746 -750 2: Berger J et al. : JAMA (2006) 295: 306 -313 3: Hobson R, 2 nd et al. : J Vasc Surg (1993) 17: 257 -263
1: Hart RG et al. : Ann Intern Med (2007) 146: 857 -867 2: Connolly S et al. : Lancet (2006) 367: 1903 -1912
1: Rash A et al. : Ageing (2007) 36: 151 -156 2: Mant J et al. : Lancet (2007) 370: 493 -503
1: ACAS: JAMA (1995) 273: 1421 -8. 2: ACST: Lancet (2004) 363: 1491 -1502
1: Chambers BR et al. : Cochrane Review (2005) 2: ECST Group: Lancet (1995) 345: 209 -12 3: Baker WH et al. : Stroke (2000) 31: 2330 -4 4: Engelter S et al. : Cochrane Reviews (2003)
1: Rashid P et al. : Stroke (2003) 34: 2741 -8 2: PROGRESS group: Lancet (2001) 358: 1033 -41
1: Wilcox R et al. : Stroke (2007) 38: 865 -73
1: Amarenco P et al. : N Engl J Med (2006) 355: 549 -559 2: Heart Protection Study: Lancet (2002) 360: 7 -22 3: Blanco M et al. : Neurology (2007) 69: 904 -10
1: Vivekananthan D et al. : Lancet (2003) 361: 2017 -2023 2: Bjelakovic G et al. : JAMA (2007) 297: 842 -857 3: Bonaa K et al. : N Engl J Med (2006) 354: 1578 -1588
1: Viscoli CM et al. : N Engl J Med (2001) 345: 1243 -9.
1: Bassetti CL: Semin Neurol (2005) 25: 19 -32
1: Antithrombotic Trialists' Collaboration: BMJ (2002) 324: 71 -86
1: Diener HC et al. : J Neurol Sci (1996) 143: 1 -13 2: Halkes P et al. : Lancet (2006) 367: 1665 -1673 3: Chang YJ et al. : Cerebrovasc Dis (2006) 22: 258 -62
1: Halkes P et al. : Lancet (2006) 367: 1665 -1673
1: CAPRIE Steering Committee: Lancet
1: Diener H et al. : Lancet (2004) 364: 331 -337 2: Bhatt D et al. : N Engl J Med (2006) 354: 1706 -1717
1: EAFT Study Group: Lancet (1993) 342: 1255 -1262 2: Mohr JP et al. : N Engl J Med (2001) 345: 1444 -1451
1: Flaker GC et al. : Am Heart J (2006) 152: 967 -73 2: Dressler FA et al. : J Am Coll Cardiol (1998) 31: 134 -8 3: Echiverri HC et al. : Stroke (1989) 20: 1741 -7 4: Engelter ST et al. : Stroke (2007) 38: 2605 -11 5: Mas JL et al. : N Engl J Med (2001) 345: 1740 -6
1: NASCET Collaborators: NEJM (1991) 325: 445 -453 2: Warlow C: Lancet (1991) 337: 1235 -1243
1: Rothwell PM et al. : Lancet (2004) 363: 915 -924 2: Rothwell PM et al. : Stroke (2004) 35: 2855 -61
1: Rothwell PM et al. : Stroke (2004) 35: 2855 -61
1: Ringleb PA et al. : Lancet (2006) 368: 1239 -1247 2: Mas JL et al. : NEJM (2006) 355: 1660 -1671
1: Kastrup A et al. : Acta Chir Belg (2007) 107: 119 -28
CREST STUDY
1: The EC/IC Bypass Grp: N Engl J Med (1985) 313: 1191 -200 2: Bose A et al. : Stroke (2007) 38: 1531 -7 3: SSYLVIA Study investigators: Stroke (2004) 35: 1388 -92
1: Gray CS et al. : Lancet Neurol (2007) 6: 397 -406 2: Langhorne P et al. : Ageing (2002) 31: 365 -71.
1: NINDS rt-PA Grp: New Engl J Med (1995) 333: 1581 -1587 2: Hacke W et al. : JAMA (1995) 274: 1017 -1025 3: Hacke W et al. : Lancet (1998) 352: 1245 -1251 4: Clark WM et al. : Jama (1999) 282: 2019 -26.
1: Hacke W et al. : Lancet (2004) 363: 768 -74 2: Wahlgren N et al. : Lancet (2007) 369: 275 -82
1: Lansberg MG et al. : Stroke (2007) 38: 2275 -8
1: Wahlgren N et al. : Lancet (2007) 369: 275 -82
1: Köhrmann M et al. : Lancet Neurol (2006) 5: 661 -7 2: Chalela J et al. : Lancet (2007) 369: 293 -298 3: Kane I et al. : JNNP (2007) 78: 485 -490
1: Furlan A et al. : JAMA (1999) 282: 2003 -11
1: International-Stroke-Trial: Lancet (1997) 349: 1569 -1581 2: CAST-Collaborative-Group: Lancet (1997) 349: 1641 -1649 3: Adams HP, Jr. et al. : Stroke (2007)
1: International-Stroke-Trial: Lancet (1997) 349: 1569 -1581 2: TOAST Investigators: JAMA (1998) 279: 1265 -72.
1: Davalos A et al. : Stroke (2002) 33: 2850 -7
1: Steiner T et al. : Neurology (2001) 57(Suppl 2): S 61 -8.
1: Vahedi K et al. : Lancet Neurol (2007) 6: 215 -22 2: Jüttler E et al. : Stroke (2007) 38: 2518 -25 3: Gupta R et al. : Stroke (2004) 35: 539 -43
1: Vahedi K et al. : Lancet Neurol (2007) 6: 215 -22
1: Weimar C et al. : Eur Neurol (2002) 48: 133 -40 2: Chamorro A et al. : Stroke (2005) 36: 1495 -500
1: Gerberding JL: Ann Intern Med (2002) 137: 665 -70 c
1: Diener HC et al. : Stroke (2006) 37: 139 -44 2: Sherman DG et al. : Lancet (2007) 369: 1347 -55
1: Reddy M et al. : JAMA (2006) 296: 974 -84
1: Aizen E et al. : Arch Gerontol Geriatr (2007) 44: 1 -12 2: Oliver D et al. : BMJ (2007) 334: 82 3: Pang MY et al. : Clin Rehabil (2006) 20: 97 -111 4: Sato Y et al. : Cerebrovasc Dis (2005) 20: 187 -92
1: Martino R et al. : Stroke (2005) 36: 2756 -63 2: Dennis MS et al. : Lancet (2005) 365: 764 -72 3: Callahan CM et al. : J Am Geriatr Soc (2000) 48: 1048 -54
7d87f74fbf2290d99b4adaaab211dbdb.ppt