ac557fc37733133aa293adfb90f5e024.ppt
- Количество слайдов: 31
Стандарты диагностики и лечения гриппа А/Н 1 N 1/ и пневмонических осложнений И. В. Лещенко 27 января 2016 год
Благодаря этому мальчику мы узнали, что о коварстве вируса гриппа А/Н 1 N 1
Грипп A/H 1 N 1/КАЛИФОРНИЯ/04/2009 Вспышка гриппа повторилась в 2016 году
Клиническая картина гриппа • Острое начало, > T тела до 39 С, • Поражение дыхательных путей (кашель, ангина, фарингит, насморк), • Головная и мышечная боль. • В некоторых случаях отмечаются рвота и диарея. Инфекционный период для подтвержденного случая гриппа А(H 1 N 1) от 1 -го дня до проявления заболевания до 7 дней после начала заболевания. • Дети, особенно младшей возрастной группы, могут быть потенциально контагиозными на протяжении более длительного периода. Rello et al. Critical Care 2009, 13: R 148
ОСОБЕННОСТИ КЛИНИЧЕСКОГО ТЕЧЕНИЯ ТЯЖЕЛОЙ ФОРМЫ ГРИППА С ОСТРЫМ ПОВРЕЖДЕНИЕМ ЛЕГКИХ: Быстрое развитие (первые 72 часа) ОДН - Выраженная гипоксемия (Рa. O 2 < 50 мм рт. ст. ) и гиперкапния (Рa. CO 2 > 50 мм рт. ст. ) при развитии пневмонии - Рефрактерность к проводимой терапии - Высокий риск баротравмы (пневмоторакса) при проведении ИВЛ Факторы риска тяжелого течения: - Дети < 2 лет - Беременность - Возраст > 65 лет - Избыточная масса тела (BMI ≥ 30 кг/м 2) - Сопутствующая патология легких (бронхиальная астма, ХОБЛ) - Сопутствующие соматические заболевания тяжелого течения (сахарный диабет, хроническая сердечная, почечная, печеночная недостаточность, прием аспирина, иммуносупрессантов, хроническая алкогольная интоксикация) Rello et al. Critical Care 2009, 13: R 148
МКБ X пересмотра, 1992 г. Из рубрики «Пневмония» (J 13 – J 18) исключены… Поражения легких, вы. Аллергические Поражения Сосудистые зываемые заболевания легких поражения физическилегких (острая при высококонлегких (инфаркт ми или химиили хроничестагиозных легкого, гранулеческими фак- кая «эозинофильзаболеваниях матоз торами ( «бен- ная пневмония» (грипп, Вегенера и др. ) зиновая пневи др. ) чума и др. ) мония» и др. ) 6
Поражения легких при пандемическом гриппе А /H 1 N 1/ • Ранние • СОПЛ (Синдром острого повреждения лёгких) • ОРДС (Острый респираторный дистресс-синдром) Поздние Пневмония (бактериальная) Без сепсиса SIRS (-) Тяжелая пневмония, осложненная Сепсисом (SIRS +), СПОН, септическим шоком
Синдром системной воспалительной реакции (systemic inflammatory response syndrome -SIRS) • Лихорадка свыше 38 ° C или меньше 36 ° C • ЧСС более 90 ударов в минуту Наличие 2 -х и 20 вдохов в минуту или • Частота дыхания более показателей Pa. CO 2 уровне менее 32 мм рт. ст. указывает на наличие синдрома • системной воспалительной реакции Количество лейкоцитов в крови (> 12000 / мкл или <4000 / мкл, или > 10% юных форм). Dellinger RP et al. Intensive Care Med 2008 Jan; 34(1): 17 -60
Клиническая классификация сепсиса Согласительная Конференция ACCP/SCCM, Чикаго 1991 г. (Стадии единого инфекционного процесса) • Инфекция • Тяжелый сепсис • Септический шок (Пневмония без SIRS) • Сепсис – Пневмония + – 2 SIRS критерия – Сепсис – Гипоперфузия – Органная дисфункция – Сепсис – Гипотензия, не смотря на адекватное восполнение ОЦК + гипоперфузия Bone R. C. et al. 1992
Терминология и критерии диагноза АЕСС (1992) ОРДС • Острое начало • Билатеральные инфильтраты на рентгенограмме • Ра. О 2Fi. O 2 < 200 • ДЗКЛА < 18 мм рт ст или отсутствие клинических признаков ОСН СОПЛ Синдром острого повреждения лёгких • 200 < Pa. O 2Fi. O 2 < 300 ОСТРАЯ ДЫХАТЕЛЬНАЯ НЕДОСТАТОЧНОСТЬ
ОРДС: современное понимание Патологический синдром, имеющий острое течение и характеризующийся • развитием воспаления и повышенной сосудистой проницаемостью в ткани лёгких, сопровождающийся • снижением оксигенирующей функции лёгких и изменениями на рентгенограмме, которые не могут быть первично связаны с сердечной недостаточностью, но могут с ними сосуществовать Ware LB et al. N Engl J Med 342: 1334, 2000
Классификация ОДН по степени тяжести Цианоз Sp. O 2, % Pa. О 2, мм рт. ст. Норма нет 95 80 -100 Легкая нет 80 > 50 + 60 -80 30 -50 +++ < 60 < 30 Умеренная Тяжелая Ware LB et al. N Engl J Med 342: 1334, 2000
Признаки и симптомы прогрессирующего заболевания А/H 1 N 1 • Признаки и симптомы ухудшения снабжения организма кислородом или сердечно-лёгочной недостаточности: - Одышка (при движении или в состоянии покоя) Затрудненное дыхание Цианоз Кровохарканье Боль в груди Снижение АД Гипоксемия по показаниям пульсоксиметра. • Признаки и симптомы осложнений ЦНС • Тяжелое обезвоживание Rello et al. Critical Care 2009, 13: R 148
Схема ведения больных с тяжелой формой пандемического гриппа А/Н 1 N 1/, осложненный пневмонией Обязательное обследование при поступлении в ЛПУ и во время лечения Дополнительное обследование Ан. крови в т. ч. эр-ты, трты ч/з 3 дня до норм. показателей Пульсоксиметрия (при Sp. O 2 < 92%, мониторинг Sp. O 2 ч/з 6 час. до Sp. O 2 95%) Р-графия ОГК в 2 -х проекциях Повторить ч/з 3 дня при нестабильном состоянии, Опр-ние А/Н 1 N 1/09 Консультация реаниматолога АСТ, АЛТ, Об. билирубин Креатинин, Мочевина СРБ ЭКГ Лечение гриппа А/Н 1 N 1/09 Ингаляции увлажненным кислородом 3 -5 л/мин 15 -18 часов в сутки при Sp. O 2 < 92% Оселтамивир, капс. (Тамифлю) 75 мг 2 раза в день внутрь № 5 -10 Порядок оказания медицинской помощи при гриппе А /Н 1 N 1/ МЗ Свердловской области, 2016
Интенсивная терапия взрослых пациентов с тяжелой дыхательной недостаточностью, вызванной гриппом А/H 1 N 1 • Пациентам с пневмонией и высокой клинической вероятностью гриппа А/H 1 N 1 следует проводить постоянное мониторование насыщения кислородом и немедленно начать терапию оселтамивиром или занавимиром. • Отрицательный результат ПЦР А/H 1 N 1 не исключает гриппа А/H 1 N 1, так как 10% исследований назофарингеальных мазков дают ложно-отрицательный результат Rello et al. Critical Care 2009, 13: R 148
Показания для перевода в ОРИТ: • Клиническая картина быстро прогрессирующей острой дыхательной недостаточности: • Выраженная одышка • ЧД > 30 в минуту • Sp. O 2 < 90% • - АДсист. < 90 мм рт. ст. • -АД диаст. < 60 мм рт. ст. • - Другая органная недостаточность (ОПН, энцефалопатия, коагулопатия и др. ) Порядок оказания медицинской помощи при гриппе А /Н 1 N 1/ МЗ Свердловской области, 2016
Лечение А (H 1 N 1) Oseltamivir (Тамифлю®), капс. , внутрь Лечение 5 дней Дозировка, в зависимости от возраста и веса больного: Дозировка Возраст, годы Вес, кг 30 mg 2 раза в день 1 -6 15 кг 45 mg 2 раза в день 7 -9 >15 -23 кг 60 mg 2 раза в день 10 -12 > 23 -40 кг 75 mg 2 раза в день 13 лет и старше > 40 кг WHO Guidelines for Pharmacological Management of Pandemic (H 1 N 1) 2009 Influenza and other Influenza Viruses
Руководство по пандемическому гриппу А/H 1 N 1/09 ВОЗ 2010 Противовирусная терапия: • Терапию озельтамивиром необходимо начать сразу при поступлении. Продолжительность терапии должна быть как минимум 10 суток или до тех пор пока по клиническим и вирусологическим данным репликация вируса прекратится. • Данные о безопасности подтверждают целесообразность приема высоких доз озельтамивира до 150 мг 2 раза в сутки
Лечение пневмонии Ингаляции увлажненным кислородом 3 -5 л/мин 15 -18 часов в сутки при Sp. O 2 < 92% Антибактериальная терапия: 1 -й вариант: 1). Цефтриаксон 2, 0 в/в+Азитро- 500, 0 мг в/в или внутрь № 35* затем (при показаниях ступенчатая терапия) 2). Ам/клав. 1000 мг 2 р. в день внутрь № 5 -7 2 -й вариант: 1) Левофлоксацин 500 мг 2 раза в день в/в № 3 -5 ± ЦФ III Левофлоксацин 500 мг 1 раз в день внутрь № 4 -5 или 2) Моксифлоксацин 400 мг в/в один раз в день № 2 -3 ± ЦФ III Моксифлоксацин 400 мг внутрь один раз № 4 -5 Клинико-организационный алгоритм ведения больных с внебольничной пневмонией/Методические рекомендаци Под ред. А. Г. Чучалина. Екатеринбург, 2012. – 70 с.
Критерии перевода больных с пневмонией из ОРИТ в терапевтическое отделение в период эпидемической вспышки гриппа А (H 1 N 1) При всех ниже перечисленных признаках: • отсутствие потребности в «протезировании» респираторной системы в течение 24 часов (спонтанное дыхание); • уровень Sp. O 2 90% при дыхании комнатным воздухом в течение 24 часов и /или ЧД 20 в мин. ; • ЧСС 90 уд. в мин. ; • отсутствие отрицательной динамики P-картины органов дыхания при повторном обследовании за последние 72 часа; • T 37, 5 С 24 часов без применения жаропонижающих препаратов; • компенсация функциональных показателей внутренних органов; • деканулирование центральной и периферической вен.
Критерии выписки больного из стационара ЛПУ в период эпидемической вспышки гриппа А (H 1 N 1) Отсутствие инфильтрации в легочной ткани или положительная динамика рентгенологической картины органов дыхания • окончание курса противовирусной терапии, • окончание курса антибактериальной терапии При ниже перечисленных признаках: • • Отсутствие ДН (ЧД < 20 в мин, Sp. O 2 95% при дыхании комнатным воздухом ); • Нормализация или субфебрильная (до 37, 4 С) температура тела в течение 3 -х суток без применения жаропонижающих препаратов; • Отсутствие гнойной мокроты; • Число лейкоцитов в периферической крови < 109/л и/или палочкоядерных нейтрофилов < 10%. • При КТВР-признаках «матового» стекла, «сотового» легкого консультация пульмонолога в городском центре хронических заболеваний легких (МО «Новая больница, Екатеринбург).
Больной Х, 31 год Тяжелая пневмония, осложненная ОРДС и септическим шоком (4 день бол. )
Больной Х, 31 год (29 день бол. )
Больной Х, 31 год (29 день бол. )
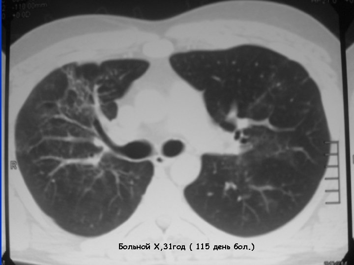
Больной Х, 31 год ( 115 день бол. )
Больной Х, 31 год ( 115 день бол. )
АЛГОРИТМ ОКАЗАНИЯ МЕДИЦИНСКОЙ ПОМОЩИ ВЗРОСЛЫМ ПАЦИЕНТАМ С ОСТРОЙ РЕСПИРАТОРНОЙ ИНФЕКЦИЕЙ И ГРИППОМ А/Н 1 N 1/ Больной Оценка признаков болезни Нетяжелая ОРВИ Тяжелая, крайне-тяжелая форма ОРВИ Вызов « 03» , госпитализация Амбулаторное лечения гриппа/ОРВИ 1. Осельтамивир: 75 мг 2 раза в день № 5 -10 или занамивир: 10 мг 2 раза в день № 5 или ингавирин 90 мг 1 раз в день № 7 2. Симптоматическое лечение: жаропонижающие (при температуре более 38, 3 С) 3. Бронхолитические, муколитические, отхаркивающие препараты (по показаниям) 4. Лист нетрудоспособности на 7 -10 дней Контактный Есть признаки болезни Нет признаков болезни: профилактические мероприятия, средства личной гигиены
АЛГОРИТМ ОКАЗАНИЯ МЕДИЦИНСКОЙ ПОМОЩИ ВЗРОСЛЫМ ПАЦИЕНТАМ С ОСТРОЙ РЕСПИРАТОРНОЙ ИНФЕКЦИЕЙ И ГРИППОМ А/Н 1 N 1/ (продолжение) • Через 1 день-телефонный контакт с пациентом, • Актив на дому или амбулаторный прием через 3 -5 дней, Оценка состояния Сохраняются признаки болезни: • Без ухудшения: лечение продолжить • Ухудшение: температура ≥ 38, 0 С, ЧД ≥ 20, ЧСС ≥ 90 в мин. (один из признаков) Экстренная госпитализация Нет признаков болезни: Выздоровление, Выписка к труду
Критерии нетяжелой формы острой респираторной инфекции, в том числе вызванной вирусом гриппа A/H 1 N 1/: Клинические, лабораторно-инструментальные признаки Сатурация кислорода крови (Sp. O 2) Показатели > 95% Частота дыхания < 20/мин Температура тела < 38, 0ºС Частота сердечных сокращений Число лейкоцитов Отсутствие сопутствующей патологии до 90/мин < 12 x 109/л или > 4 х109/л имеется
Критерии тяжелой формы острой респираторной инфекции, в том числе вызванной вирусом гриппа A/H 1 N 1/: Клинические, лабораторноинструментальные признаки Сатурация кислорода крови (Sp. O 2) Показатели < 92% Частота дыхания > 20/мин Температура тела > 38, 0ºС Частота сердечных сокращений > 90/мин Число лейкоцитов Cопутствующая патология > 12 x 109/л или < 4 х109/л Ожирение (ИМТ>30 кг/м 2) Сахарный диабет, ССЗ, ХОБЛ, заб-я почек, печени и др. Клинические симптомы пневмонии: локальные хрипы, притупление перкуторного звука Цианоз Рентгенологические признаки Полисегментарная инфильтрация, инфекции нижних дыхательных путей полости распада, плевральный выпот, прогрессирование инфильтрации
Спасибо за внимание!


