Использование имплантационных материалов для профилактики атрофии альвеолярных отростков.pptx
- Количество слайдов: 22
СРС «Использование имплантационных материалов для профилактики атрофии альвеолярных отростков. » Выполнил: Утепбергенов Н. . Группа: СТР-532 Проверил: Темуров. Ф. Т
План: Введение Из истории Гингиво-остеопластика по методу Ю. И. Вернадского и Е. Л. Ковалевой Гингиво – остеопластика по методике Г. П. Вернадской и Л. Ф. Корчак (1998) • Профилактика атрофии альвеолярного отростка с помощью материала Easy-graft ® во фронтальном участке верхней челюсти (клинический случай). Заключение Список использованной литературы
Введение Среди актуальных проблем современной стоматологии изучение причин возникновения и механизмов атрофии альвеолярных отростков челюстных костей человека занимает особое место. Полиэтиологичность данного феномена тесно связана с осложнениями самых распространенных стоматологических заболеваний (кариес, заболевания пародонта, воспалительные процессы). По данным ВОЗ (1981) распространенность кариеса зубов составляет 95 -100%. Этот же показатель для заболеваний пародонта колеблется от 75 -80%. Согласно литературным данным к 50 годам у пациентов число потерянных зубов растет за счет осложненных форм кариеса, а в более старшем возрасте утрата зубов происходит в результате развития болезней пародонта. При этом, в области удаленных зубов отмечаются явления атрофии альвеолярного отростка. По данным H. H. Бажанова, Т, В. Никитиной, Т. Ф. Виноградовой, А. Г. Шаргородского, Г. Д. Овруцкого и В. К. Лёотъе-ва погрешности в диагностике, неудовлетворительное качество лечения зубов и болезней пародонта приводят к развитию осложненных форм заболеваний и впоследствии к преждевременной потере зубов и возникновению атрофии альвеолярного отростка.
Из истории Хирургическая профилактика атрофии альвеолярных отростков разрабатывается с 1923 г. , когда Hegedus сообщил об операции по поводу пародонтита с применением аутотрансплантата для замещения утраченной кости альвеолярного отростка; отдаленные результаты им не были описаны. Затем были опубликованы материалы о применении в качестве стимулятора остеогенеза или заместителя атрофированной кости порошка из кипяченой бычьей кости (Beube, Siilvers, 1934); препарата os purum и аутогенной костной стружки (Forsberg, 1956); аутогенной либо бычьей кости, обработанной раствором мертиолата 1: 1000 при глубоком замораживании (Kremer, 1956, 1960). Losee (1956) и Cross (1964) использовали кусочки неорганической части бычьей кости, из которой органическая часть экстрагировалась при помощи этилендиамида. В. А. Киселев (1968), высоко оценив достоинства и выявив недостатки этих материалов, а также усилий многих авторов по профилактике атрофии альвеолярных отростков, применил муку из лиофилизированной кости у 77 больных; он установил, что в итоге не наблюдается значительная ретракция десны и обнажение шеек зубов. Г. П. Вернадская и соавт. (1992) отметили положительное влияние на кость (при пародонтите) новых препаратов - «Ильмапланта-Р-1» , гидроксилапатита и «Биопланта» . Ø
Гингиво-остеопластика по методу Ю. И. Вернадского и Е. Л. Ковалевой Ø производят разрез слизистой оболочки и надкостницы по десневому краю и вершинам десневых сосочков; Ø отслаивают слизисто-надкостничный лоскут, который по величине немного (на 1 -2 мм) больше глубины костных патологических карманов; набором острых инструментов (кюретки, фиссурные боры, фрезы) удаляют из костных карманов конкременты, эпителий их внутренней поверхности, патологические грануляции;
Ø из краев костных полостей (бухт) экскаватором берут мелкие кусочки костной ткани, которые используют для изготовления пластического материала; производят тщательный гемостаз; костные бухтыдефекты заполняют особым пластическим материалом-пастой, разработанным нами для этих целей; он представляет собой смесь из мелких кусочков аутокости и стерильного ксенопластического материала. Последний приготавливают до операции следующим путем: яичную скорлупу кипятят в изотоническом растворе натрия хлорида при температуре 100°С в течение 30 мин, отделяют от нее белковую оболочку, скорлупу тщательно измельчают вместе со связующим веществом - гипсом (в соотношении около 2: 1) и обрабатывают в стерилизаторе в огнеупорной пробирке;
Ø смешивают кусочки аутокости с ксеногенным порошком, соблюдая следующее соотношение: аутокость - 16 -20%, связующее вещество (гипс или медицинский клей) - 24 -36%, яичная скорлупа - остальное; Ø вводимую в бухты и узуры альвеолярного отростка смесь из аутокости, гипса и порошка из яичной скорлупы смешивают с кровью больного, превращая ее в пастообразную массу; Ø слизисто-надкостничный лоскут возвращают на прежнее место и фиксируют к слизистой оболочке десны с язычной стороны полиамидным швом в каждом межзубном промежутке;
Øна оперированный участок накладывают лечебную пасту-повязку, состоящую из окиси цинка, дентина (1: 1) и оксикорта. После операции применяют ирригацию полости рта, аппликацию десен эктерицидом, соком каланхоэ, УВЧтерапию, повторное наложение лечебной пасты. После полного рубцевания в области десневого края назначают ионофорез 2. 5% р-ра кальция глицерофосфата (15 сеансов).
Плюсы и минусы данного метода… Проведение гингивоостеопластики таким способом дает положительный результат у 90% больных, а при аналогичных операциях, но без применения аутоксенопластической смеси - только у 50%.
Гингиво – остеопластика по методике Г. П. Вернадской и Л. Ф. Корчак (1998) Ø в качестве пластического материала используют порошок кергапа - а-теотропного препарата из керамического гидро-ксилапатита и трикальцийфосфата. Кергап является нетоксичным, биологически совместимым материалом, состав и структура которого идентичны составу и структуре минеральной составляющей кости, поэтому он благотворно влияет на репаративный остеогенез, способствует возрастанию скорости заживления костных ран.
Методика: после проведения хирургического вмешательства на десне по общепринятой схеме лоскутных операций, узуры в кости и межзубные промежутки заполняют пастообразной массой, приготовленной из кергапа (стерильный порошок кергапа на стерильной стеклянной пластинке замешивают шпателем на крови пациента до образования густой пастообразной смеси). Слизисто-надкостничный лоскут укладывают на прежнее место и тщательно ушивают синтетической нитью в каждом межзубном промежутке. Швы снимают на 8 -10 -е сутки. Во всех случаях авторы отмечали заживление послеоперационных ран первичным натяжением, стабилизацию процесса на протяжении всего срока наблюдения (1 -2 года).
Профилактика атрофии альвеолярного отростка с помощью материала Easy-graft ® во фронтальном участке верхней челюсти (клинический случай). В клинику обратился пациент – мужчина в возрасте 38 лет, с жалобами на отлом коронковой части 23 зуба, подвижность 22 зуба и болезненность при надкусывании в этой области верхней челюсти. 22 зуб, пролеченный эндодонтически, имел 2 степень подвижности. И в проекции верхушки корня на слизистой оболочке был расположен свищ, из которого поступало гнойное выделение. 23 зуб был сломан на 3 мм ниже уровня десны и демонстрировал открытый канал корня зуба (Фото 1). При рентгенологическом обследовании были диагностированы две кисты в апикальных участках 22 и 23 зубов каждая размером около 10 мм в диаметре. Резорбция костной ткани начиналась в районе средней трети корней зубов (Фото 2).
После диагностики при определении плана лечения было установлено, что 22 зуб и корень 23 не подлежат восстановлению. Эти зубы должны быть удалены и одновременно должно быть проведено удаление обеих кист. Соседние зубы абсолютно здоровы, следовательно реабилитацию больного необходимо завершить изготовлением двух металокерамических коронок, опирающихся на имплантаты. 22 зуб и оставшийся корень 23 зуба были атравматично удалены с применением периотомов и элеваторов. Был произведен глубокий кюретаж лунок оставшихся корней и удалены все грануляционные ткани и оболочки кист (Фото 3). Для профилактики атрофии альвеолярного отростка после удаления корней зубов и цистэктомии костный дефект был заполнен материалом Easy Graft® 400 (3 шприца, общее количество материала составило 1. 2 мл). (Фото 4). Материал имеет очень большое преимущество по сравнению с другими материалами. Попадая в контакт с жидкостью раны, он начинает твердеть и хорошо стабилизирует костные стенки дефекта. После хорошего уплотнения материала в лунках удаленных корней с расположением его на 0. 5 мм ниже уровня кости, края ран были адаптированы и был установлен временный протез. В данной методике, благодаря свойству материала твердеть в присутствии жидкости, защитная мембрана не используется и нет необходимости плотного закрывания дефекта мягкими тканями.
Процесс заживления. Заживление протекало без осложнений. Область раны промывалась 3% раствором перекиси водорода через 2 и 9 дней после операции. В эти же посещения накладывалась повязка селкосериловой мази. Наблюдавшийся до операции свищевой ход к этому периоду уже не отмечался. Через шесть недель в мягких тканях, в области 23 зуба был виден кратер глубиной около 5 мм. Полная картина заживления отмечалась через 4 месяца. На контрольной рентгенограмме в области дефекта был виден рентгеноконтрастный костный материал.
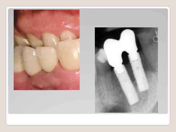
Установка имплантатов и реабилитация. Через семь месяцев после заполнения дефекта остекондуктивным материалом Easy Graft® 400, наступила регенерация костной ткани. В некоторых местах еще наблюдались отдельные гранулы материала, но в большинстве объема костного дефекта отмечалась вновь регенерированная костная ткань. Удалось полностью предотвратить атрофию альвеолярного отростка в области удаления корней зубов. Были установлены имплантаты, на которых были зафиксированы две, металокерамические коронки. У данного пациента отмечается глубокий прикус и наличие бруксизма, поэтому небная поверхность коронок керамикой не покрывалась. Контрольные наблюдения, проведенные через 3. 5 месяцев после фиксации коронок продемонстрировали хорошие клинические результаты (Фото 5 и 6). Отмечается стабильное состояние мягких тканей. На рентгенограмме видна хорошая остеинтеграция между имплантатом и вновь сформированной костной тканью.
Одним из применений остеокондуктивного материала Easy Graft® является профилактика атрофии альвеолярного отростка челюстей после удаления зубов или корней зубов. Этот материал также хорошо зарекомендовал себя при заполнении костных дефектов, образующихся после операции цистэктомии. Поэтому в клинических случаях, когда необходимо провести удаление в сочетании с цистэктомией, в результате чего образуется большой костный дефект - заполнение такого дефекта материалом Easy Graft®, является святой обязанностью любого врача-стоматолога. Прочностные характеристики материала обеспечивают надежную стабильность костных стенок, а его неподвижность в дефекте обеспечивает хорошую регенерацию костной ткани.
Заключение Таким образом проблема атрофии альвеолярного отростка является очень актуальной на сегодняшний день. Существует много методик по устранению данной проблемы, а также есть методики на стадии разработки. Данную проблему необходимо предвидеть и устранять в ранние сроки во избежание дальнейших осложнений на стадии протезирования.
Список использованной литературы: q http: //stamil. ua/page_36. html q http: //disszakaz. com/catalog/profilaktika_atrofii_alveolyarnogo_otrostka_ chelyusti_posle_udaleniya_zuba. html q http: //ilive. com. ua/health/chrezmernaya-atrofiya-alveolyarnyh-otrostkovprichiny-simptomy-diagnostika-lechenie_79017 i 15958. html http: //medical-diss. com/medicina/eksperimentalno-klinicheskoeobosnovanie-metodov-profilaktiki-atrofii-alveolyarnogo-otrostka-pridefektah-zubnyh-ryadov q


