Пищ.Л (2).ppt
- Количество слайдов: 66
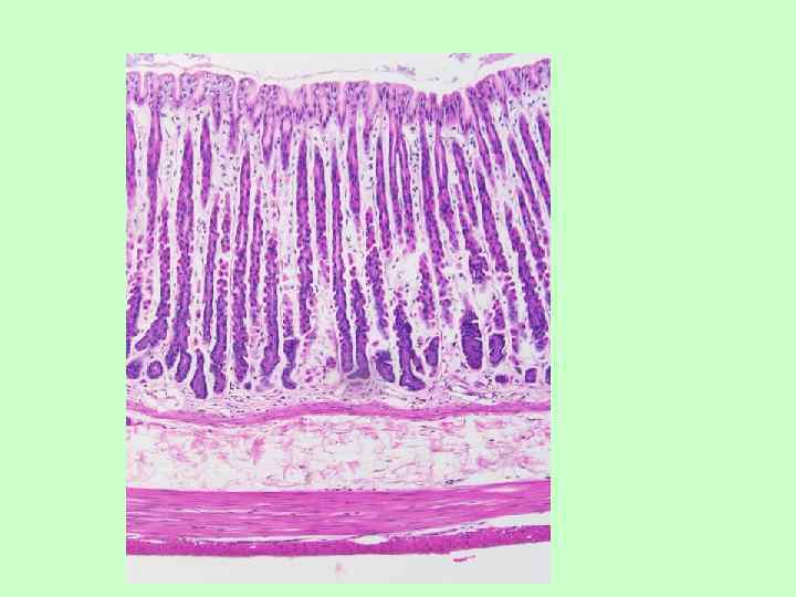
СРЕДНИЙ ОТДЕЛ ПТ
ЖЕЛУДОК • Анатомически состоит из 4 -х частей: кардиальной, тела, дна и пилорической; гистологически в нем выделяют только 3 отдела, так как дно и тело имеют сходное строение.
Стенка желудка • I. Слизистая – 1. эпителий – 2. собственная пластинка – 3. мышечная пластинка II. Подслизистая III. Мышечная IY. Серозная
I. Слизистая оболочка • Сложный рельеф: крупные продольные желудочные складки (расправляются при наполнении); • желудочные поля (участки полигональной формы, отграниченные друг от друга бороздками (прослойки соединительной ткани с поверхностно лежащими венами, просвечивающие в виде красноватых линий, и соответствующие группам желез) • многочисленные (3, 5 млн) желудочные ямки (foveolae) – вдавления покровного эпителия в собственную пластинку, глубиной на ¼ толщины на дне и в кардиальной части; на ½ - в пилорической части, на дно которых открываются железы.
1. Эпителий • однослойный призматический железистый, образует покров и выстилает ямки, и одинаковый во всех отделах желудка • все клетки синтезируют, накапливают в виде крупных гранул в апикальной части и выделяют на поверхность особый слизистый секрет, покрывает поверхность непрерывным слоем в 0, 5 мм • образует защитный барьер • бикарбонат, диффундирующий в слизь, нейтрализует НСl – слизисто-бикарбонатный барьер
Слизисто-бикарбонатный барьер • Предотвращает механические повреждения слизистой оболочки и её переваривание желудочным соком. • При неблагоприятных условиях барьер разрушается в течение нескольких минут → гибель эпителиоцитов, отёк, кровоизлияния. • Факторы, разрушающие барьер: • стресс, психосоматические расстройства, аспирин, этанол, соли желчных кислот, Helicobacter pylori • Эпителий полностью обновляется за 1 -3 сутки.
2. Собственная пластинка слизистой • РВСТ с большим кол-вом кровеносных и лимфатических сосудов; в виде тонких прослоек проходит между железами, занимающими основную часть объема этого слоя. • Содержит также диффузные скопления лимфоидной ткани, отдельные лимфоидные узелки.
Железы желудка (ок. 15 млн. ) – простые трубчатые разветвленные; подразделяются на: • собственные (фундальные), • кардиальные и • пилорические.
СОБСТВЕННЫЕ ЖЕЛЕЗЫ (дно и тело) • По 3 -7 впадают в неглубокие желудочные ямки. Имеют вид узких трубок, слабо разветвленные у основания (простые, трубчатые, слабо разветвленные). Выделяют короткий перешеек (истмус), суженную шейку, удлиненное тело и дно. Просвет очень узкий.
Клетки собственных желез • недифференцированные • шеечные слизистые (А) • париетальные (В) • главные экзокриноциты (Б) • эндокринные (Г)
Недифференцированные • Локализация: перешеек; • узкие, низкопризматические, овальное ядро, СГ обычно отсутствуют; • высокая митотическая активность. Дифференцируясь, часть клеток движется вверх, заменяя покровный эпителий, часть клеток мигрирует вглубь, заменяя прочие типы (меньшая скорость обновления).
Мукоцит • шейка; • неправильной формы, узкие, • умеренно развитый гр. ЭР, крупный надъядерный комплекс Гольджи, слизистые гранулы в апикальной части клетки • морфологически и гистохимически отличаются от покровных слизистых.
Главный экзокриноцит • наиболее многочисленны в нижней части; • пирамидная или цилиндрическая форма; • базофильная цитоплазма – гр. ЭР, к. Г, крупные СГ (зимогенные) в апикальной части (содержат пепсиноген и др. проферменты)
Париетальные экзокриноциты • преобладают в верхней половине железы; • крупные, пирамидные, с узкой вершиной обращенной в просвет железы; • вклиниваются между шеечными или главными клетками располагаясь снаружи от них.
Париетальный экзокриноцит • Цитоплазма резко оксифильна. • Особые внутриклеточные секреторные канальцы в виде узких щелей, в которые обращены множественные микроворсинки. • По периферии канальцев располагается тубуло-везикулярный комплекс – система мембранных пузырьков и трубочек, они наиболее выражены в покоящейся клетке, а при активной секреции – сливаются с канальцами – резерв мембраны, содержащей ионные насосы.
Париетальные клетки в слизистой оболочке дня желудка, окрашенные иммунофлюоресцирующим методом
Функции париетальных клеток 1. Через апикальный полюс секретируют ионы водорода и хлора, которые, соединяясь, образуют НСl, создающую в просвете желудка кислую (р. Н<2. 0) среду. → а) разрушение белков; б) оптимум р. Н для пепсина; в) угнетение роста патогенных микроорганизмов. 2. Угольная ангидраза → угольная кислота диссоциирует на Н+ и ионы гидрокарбоната – поступают в капиллярную сеть – через покровные клетки – в слизь, где они нейтрализуют НСl. 3. Синтезируют и выделяют антианемический фактор (Кастла), образующий в желудке комплекс с витамином В 12 , который всасывается в подвздошной кишке. При недостаточности этого фактора (в результате аутоиммунного поражения париетальных клеток или после удаления желудка) развивается злокачественная анемия.
Эндокриноциты • на дне • не всегда достигают просвета (закрытый тип секреции) • СГ преимущественно в базальной части - окрашиваются солями серебра и хрома (аргентафинные, аргирофильные, хромаффинные) и содержат пептидные гормоны и/или амины. В фундальных железах: • ЕС-(серотонин, мотилин, в-во Р – стимуляция моторики кишки); • ЕСL- (гистамин – стимуляция секреции НСl); • D (соматостатин) • при опухолях – карциноидах – симптомы гиперпродукции серотонина.
КАРДИАЛЬНЫЕ ЖЕЛЕЗЫ • Трубчатые, сильно разветвленные концевые отделы, часто имеют широкий просвет. • Слизистые клетки (мукоидный секрет, выделяет бикарбонаты, КСl, Na. Cl). • Встречаются отдельные главные, париетальные, эндокринные.
Пилорические железы • трубчатые, с сильно разветвленными и извитыми КО. • широкие просветы. • впадают в очень глубокие ямочки (половина от толщины собственной пластинки) • Расположены более редко, более короткие. • Слизистые клетки – щелочной секрет (слизь, дипептидазы) • Эндокриноциты: • G-кл. (гастрин – секреция НСl и пепсиногена) • ЕС-, D, • L (энтероглюкагон – усиление гликогенолиза в печени).
3. мышечная пластинка слизистой 3 слоя ГМК: • циркулярный • продольный • циркулярный
II. Подслизистая
III. Мышечная оболочка 3 толстых слоя гладкомышечной ткани; • внутренний- косой; • средний - циркулярный (наиболее выражен); • наружный- продольный. • В пилорической части средний циркулярный слой сильно утолщен – сфинктер.
ТОНКАЯ КИШКА Функции: • окончательное переваривание: расщепление питательных веществ до конечных продуктов (мономеров) ферментами в просвете кишки и на поверхности его эпителия; • всасывание продуктов расщепления в кровь и лимфу; • механическая – проталкивание содержимого кишки в дистальном направлении; • эндокринная (ГЭП), которые обладают локальным и системным действием; • иммунная (КАЛТ).
Тонкая кишка • двенадцатиперстная; • тощая; • подвздошная • I. Слизистая: – 1. однослойный призматический эпителий; – 2. собственная пластинка – 3. мышечная пластинка • II. Подслизистая • III. Мышечная • IY. Серозная
Слизистая оболочка Имеет сложный рельеф: • Циркулярные складки (Керкринга) – имеют постоянный характер, образованы слизистой + подслизистой; охватывают 1/2 - 2/3 окружности стенки – увеличение S в 2 -3 раза. • Ворсинки - в дистальном направлении число ворсинок уменьшается, они становятся выше и уже. Общее кол-во: около 4 млн. – 10 кратное увеличение S.
Ворсинки и крипты • Ворсинки –выпячивания слизистой в просвет кишки, образованные собственной пластинкой (содержащей кровеносные и лимфатические сосуды, гмк) и покрытые эпителием • Крипты трубчатые углубления эпителия в собственной пластинки, доходят до мышечной пластинки и открываются в пространства между ворсинками • Эпителий ворсинки и крипты – единый комплекс.
Эпителий – однослойный цилиндрический каёмчатый • содержит клетки 6 типов: • энтероциты (каёмчатые) • бокаловидные (мукоциты) • малодифференцированные • клетки с ацидофильной цитоплазмой (Панета) • эндокриноциты • М-клетки (микроскладчатые)
Каёмчатые клетки (энтероциты) • основная масса эпителия ворсинки, встречаются также в верхней части крипты; • высокопризматические, полярные, хорошо развитые органеллы в оксифильной цитоплазме
Щёточная каёмка • На апикальной поверхности – микроворсинки (до 3 тыс. ) • Увеличение поверхности клетки - в 20 -30 раз. • Микроворсинки покрыты слоем гликокаликса (липопротеиды, гликопротеины). Вместе образуют щёточную каемку.
Межклеточные контакты • Латеральные поверхности связаны классическим комплексом соединений.
• Щёточная каемка адсорбирует ферменты, участвующие в расщеплении и транспорте всасывающихся веществ– очень высокое содержание ферментов, обеспечивающих пристеночное и примембранное пищеварение. Уровень фосфатаз в 700 раз выше, чем в печени. • Полостное пищеварение (в просвете кишки) расщепление до олигомеров • Пристеночное пищеварение– образование мономеров, всасываемых клеткой.
• Углеводы и белки перевариваются в просвете до олигомеров, которые расщепляются ферментами ЩК до моносахаров и аминокислот, активно транспортируемых клеткой и попадающими в кровь. • Жиры в просвете расщепляются до свободных жирных кислот и моноглицеридов, диффундирующих через плазмолемму микроворсинок. В агр. ЭР из них ресинтезируются жиры, переносятся в гр. ЭР (присоединяются белковые компоненты), КГ (присоединяются углеводные компоненты). • Гликолипопротеины в виде капелек, окруженных мембраной – хиломикронов, перемещаются к латеральной поверхности; выделяются в межклеточное пространство → лимфатический капилляр ворсинки
• Каемчатые клетки осуществляют свои функции, перемещаясь из крипты к верхушке ворсинки, где в зоне выталкивания слущиваются. Жизненный цикл – 1. 5 -3 дня.
Бокаловидная клетка • одноклеточные слизистые железы, в ворсинках и в криптах; • число увеличивается в каудальном направлении.
Бокаловидные клетки • ядро в базальной части (ножке); • крупные слизистые гранулы, содержащие гликопротеины и ГАГ в расширенной апикальной части • 2 -3 секреторных цикла в течение жизни (2 -4 суток).
Клетки с ацидофильной зернистостью (Панета) • на дне крипт; • пирамидная форма: широкое основание и узкая апикальная часть, заполненная крупными ацидофильными гранулами (белковополисахаридный комплекс, цинк и лизоцим) • Обновляются медленно (3 -4 недели).
Стволовые клетки • (недифференцированные (стволовые), малодифференцированные (бескаемчатые) • в глубине крипт, • источник обновления эпителия; • узкие, призматические, со слабо развитыми органеллами; • под влиянием облучения или цитотоксических веществ обновление подавляется с образованием язв.
Эндокринные клетки • особенно многочисленны в криптах. • Наиболее распространены ЕС, G, D-кл. • I-клетки: холецистокинин, панкреозимин: ↑ секреции ферментов поджелудочной железы и желчеотделения); • S-клетки: секретин: ↑ секреции бикарбоната поджелудочной железой); • K-клетки: желудочноингибирующий пептид – подавляет секрецию и моторику желудка, секрецию инсулина
М-клетки (микроскладчатые) Купол – участок кишки над лимфатическими узелками: • ворсинки отсутствуют ; • бокаловидных клеток нет; • содержит до 10% особых Мклеток; Уплощенные, лишены микроворсинок и имеют глубокие карманы (ниши), заполненные лимфоцитами и макрофагами. • активно захватывают АГ из просвета кишки и быстро переносят их через цитоплазму без лизосомного переваривания и представляют их иммунокомпетентным клеткам – АПК.
Некоторые патогены прикрепляются к М-клеткам и разрушают их, освобождая для себя проход в соединительную ткань (сальмонеллы, холерный вибрион и др. )
СОБСТВЕННАЯ ПЛАСТИНКА СЛИЗИСТОЙ • РВСТ с высоким содержанием лимфоцитов (Тх ), плазматических клеток (продуценты Ig. A), эозинофилы, макрофаги, тучные клетки. • Ретикулярные волокна образуют сеть - строму ворсинки.
СОБСТВЕННАЯ ПЛАСТИНКА СЛИЗИСТОЙ • система кровеносных сосудов (артериолы, венулы, подэпителиальная сеть капилляров); • в центре – широкий лимфатический капилляр – млечный сосуд ворсинки. • ГМК проходят вдоль оси; • их ритмические сокращения укорачивают ворсинку, способствуя продвижению лимфы в подслизистое сплетение лимфатических сосудов.
Лимфоидный аппарат • Интраэпителиальные лимфоциты; • Солитарные лимфофолликулы (> 10 тыс. ) • Сгруппированные лимфоидные узелки: в подвздошной кишке до 250 агрегатов (до 200 -400 вторичных узелков (Взависимая зона) и межузелковые скопления лимфоидной ткани (Т-зона).
Пейеровы бляшки • Крипты неглубокие или отсутствуют; • ворсинки короткие и неправильной формы. • Лимфатические узелки выпячивают слизистую между ворсинками в виде купола, покрытого эпителием с М-клетками.
мышечная пластинка слизистой 2 слоя ГМК: • внутренний циркулярный; • наружный продольный
Подслизистая основа • РВСТ с большим количеством эластических волокон, местами – жировая ткань. • В 12 -перстной кишке – дуоденальные железы • сложные трубчатые; • концевые отделы из кубических или призматических клеток с уплощенным базальным ядром, СГ, содержащие гликопротеины; одиночные клетки Панета, париетальные, бокаловидные, эндокринноциты; • выводные протоки открываются в крипты; • секрет с щелочной реакций (р. Н 89) (нейтрализует желудочный сок и оптимум для действия ферментов п/ж) содержит: • слизь • лизоцим, • ферменты: дипептидазу, амилазу, энтерокиназу.
• МЫШЕЧНАЯ ОБОЛОЧКА • внутренний слой циркулярный (более развит), • наружный продольный • СЕРОЗНАЯ ОБОЛОЧКА • за исключением некоторых участков 12 перстной кишки
ТОЛСТАЯ КИШКА Функции: • всасывание воды и электролитов; • всасывание соединений, образующихся в результате активности микрофлоры кишки: витамины групп В и К, продуктов гидролиза клетчатки; • механическая – проталкивание каловых масс в дистальном направлении и их удаление; • эндокринная • иммунная
Толстая кишка • Состоит из слепой с червеобразным отростком, ободочной (восходящая, поперечная и нисходящая), сигмовидной и прямой.
Толстая кишка I. СЛИЗИСТАЯ • Рельеф: постоянные полулунные складки; • ворсинки отсутствуют; • крипты – глубже, чем в тонкой кишке, имеют более широкий просвет.
Эпителий: однослойный призматический, содержит 4 типа клеток • (А) – призматические, каёмчатые (щёточная каёмка развита слабее); обеспечивают процессы всасывания • (Б) – бокаловидные клетки очень многочисленны; • вырабатывают слизь: защита слизистой и облегчает перемещение и удаление фекалий. • (В) – недифференцированные; • в глубине крипт, по мере миграции – дифференцируются; обновление медленнее (6 суток); слущивание посредине между криптами. • (Г) – эндокринные клетки: EC-, ECL-, D, D 1 (ВИП – расслабление ГМК, расширение сосудов), Lкл. (энтероглюкагон – усиление гликогенолиза в печени).
Толстая кишка Многочисленные бокаловидные клетки в криптах толстой кишки
Лимфоидный аппарат • Большое количество интраэпителиальных лимфоцитов • Очень крупные лимфоидные узелки в собственной пластинке и подслизистой • Защитная функция по отношению к резко увеличенному количеству бактерий (до 75% каловых масс состоят из погибших и живых бактерий)
III. МЫШЕЧНАЯ ОБОЛОЧКА • 2 сл. ГМК: внутренний циркулярный и наружный – продольный; Продольный слой имеет вид трех лент. • Они короче кишки, и поэтому она собрана в «гармошку» (гаустры)
IY. Серозная оболочка • в некоторых участках частично замещается адвентицией; • образует выпячивания в виде отростков, содержащих жировую ткань – жировые привески
• Вырост слепой кишки с узким звездчатым или неправильной формы просветом, который содержит клеточный детрит и может облитерироваться. Стенка толстая вследствие высокого содержания в ней лимфоидной ткани. • I. СЛИЗИСТАЯ • 1. Эпителий – включает призматический бокаловид. кл. , а в криптах также малодифференцированные, отдельные клетки Панета и многочисленные эндокриноциты. Купола покрыты эпителием, содержащим М-клетки. • 2. Собственная пластинка – короткие крипты, многочисленные вторичные лимфатические узлы и межфолликулярные скопления лимфоидной ткани. • 3. Мышечная пластинка развита слабо, местами прерывается. • II. ПОДСЛИЗИСТАЯ – РВСТ, лимфатические узлы. • III. МЫШЕЧНАЯ ОБОЛОЧКА: • внутренний – циркулярный; • наружный - продольный (сплошной). • IY. СЕРОЗНАЯ Аппендикс
• Аппендикс является инкубатором для кишечной палочки, препятствующей развитию патогенных микробов и участвующей в выработке витамина В. • В эпителии содержится 75 -80% эндокринных ЕС-клеток всего ПТ, вырабатывающих серотонин и мелатонин.


