Пломбировочные Сагитов.ppt
- Количество слайдов: 49
Современные пломбировочные материалы, применяемые в стоматологии детского возраста Выполнил Сагитов И. И.
Основные свойства пломбировочного материала (W. D. Miller): 1. Достаточная твердость (устойчивость к истиранию); 2. Стабильность (химическая и физическая); 3. Плохая теплопроводность; 4. Непроницаемость; 5. Эстетичность; 6. Индифферентность окружающим тканям; 7. Легкость введения; 8. Малая чувствительность к влаге; 9. Прилипаемость к стенке полости зуба; 10. Легкое антисептическое действие; 11. Легкая удаляемость в случае надобности.
Классификация По срокам применения: v. Постоянные v. Временные
Классификация По клиническому назначению: v Для реставрации твердых тканей зуба (собственно пломбировочные материалы) v Для изолирующих прокладок v Для лечебных прокладок v Для фиксации несъемных конструкций v Для пломбирования корневых каналов
Классификация По способу изготовления реставраций: v. Прямые (реставрации, виниры) v. Непрямые (вкладки, накладки, виниры)
Классификация По химическому составу: v Металлические материалы v Цементы (минеральные и полимерные) v Полимерные материалы (ненаполненные пластмассы и наполненные композиты, компомеры, ормокеры) v Материалы на основе гидроокиси кальция v Прочие материалы (адгезивы, изолирующие и защитные лаки).
Амальгама (сплав ртути с одним или несколькими металлами) Классификация амальгам: - простые (медь и ртуть), - сложные (серебро, олово, медь, цинк, ртуть). Показания: - I, II, V класс по Блэку, - кариес временных зубов, - пломбирование поддесневых полостей, - ретроградное пломбирование канала при резекции корня. Противопоказания: - аллергия, - хроническая ртутная интоксикация, - наличие конструкций из золота в полости рта. Пермит С (SDI, Австралия) СИЦ, усиленные серебром (керметы)
Цементы стоматологические (классификация) По химическому составу: 1. Минеральные: - цинк-фосфатные, силикофосфатные, цинк-оксид-эвгенольные. 2. Полимерные: - поликарбоксилатные, стеклоиономерные.
Цементы стоматологические (классификация) По составу компонентов: Жидкость фосфорная кислота Порошок окись цинка стекло полиакриловая кислота фосфатные карбоксилатные силикатные СИЦ
Цинк-фосфатные цементы Положительные свойства Отрицательные свойства Небольшая усадка КТР приближен к тканям зуба Низкая механическая прочность на излом, истирание Растворимость Пластичность Слабая адгезия Рентгеноконтрастность Раздражение пульпы Термоизоляция Низкая эстетика
Цинк-фосфатные цементы • Висцин (Радуга Р, Россия) • Уницем (Влад. Ми. Ва, Россия) • Фосцем, Фосцем бактерицидный (Радуга Р, Россия) • Цеодент М (Радуга Р, Россия) • Эвгедент (Радуга Р, Россия)
Силикатные цементы Положительные свойства Отрицательные свойства Кариесстатический эффект Прочнее, чем ЦФЦ Раздражающее действие на пульпу Растворимость Пластичность Усадка КРТ близкий к тканям зуба Низкая адгезия к тканям зуба Удовлетворительная эстетика Недостаточная механическая прочность Нерентгеноконтрастны Простота приготовления Низкая стоимость
Силикофосфатные цементы Положительные свойства Отрицательные свойства Менее хрупкие, чем ЦФЦ и СЦ Недостаточная прочность Меньше раздражают пульпу, чем СЦ Максимальная близость КТР к тканям зуба Простота в применении Недостаточная устойчивость в среде полости рта Низкая эстетика Рентгеноконтрастность Плохая полируемость Низкая стоимость
Цинк-оксид-эвгенольные цементы Положительные свойства Отрицательные свойства Бактерицидное и анестезирующее действие Недостаточная механическая прочность Пластичность Нарушают полимеризацию композитов Ренгеноконтрастность Аллергия на эвгенол Простота и удобство в применении Длительное отверждение
Цинк-оксидные и цинк-оксид-эвгенольные цементы • • • Rely. X™ (3 M ESPE, Германия) Canason (VOCO, Германия) Caviton (GC, Япония) Freegenol (GC, Япония) Тиэдент (Влад. Ми. Ва, Россия)
Поликарбоксилатные цементы Положительные свойства Отрицательные свойства Химическая адгезия Недостаточная прочность Биосовместимость Плохая эстетика Рентгеноконтрастность Недостаточная устойчивость в полости рта Усадка Химическая адгезия к металлам Сложность в приготовлении и в работе
Стеклоиономерные цементы Положительные свойства Отрицательные свойства Химическая адгезия Низкая устойчивость к истиранию Кариесстатический эффект Окончательная полимеризация через 24 -48 ч Антибактериальные свойства Сложны в работе Биосовместимость Вязкие, непластичные КТР приближен к твердым тканям зуба Чувствительны к преждевременному попаданию влаги и к пересушиванию Компрессионная прочность Короткое время работы, быстрое схватывание Низкий модуль эластичности Недостаточная химическая стойкость Меньшая растворимость, чем у других цементов Плохая полируемость Хорошая эстетика
Показания к применению СИЦ у детей: 1. 2. 3. 4. 5. 6. 7. 8. Кариес временных зубов (в особенности, при суб- и декомпенсированном кариесе) Некариозные поражения без оперативной обработки полости ART-технология лечения зубов Временное восстановление при травме Герметизация фиссур Применение туннельной техники и техники «открытого сэндвича» Отсроченное пломбирование постоянных зубов В качестве изолирующих прокладок
СИЦ • Chem. Fil Superior (Dent. Sply) • Fuji II LC (GC, Япония) • Ionofil Color AC (VOCO, Германия) • Ketak Molar ART Easy Mix (3 M ESPE, Германия) • • Vitrebond (3 M ESPE, ) Aqua Ionofil (VOCO, ) Ionoseal (VOCO, ) Time. Line (Dent. Sply)
СИЦ отечественного производства • • • Кемфил (Стома. Дент) Стион (Радуга Р) Дентис, Дентис АРТ (Стома. Дент) Цемион (Влад. Ми. Ва) Ортофикс С (Влад. Ми. Ва) Стиодент (Влад. Ми. Ва) Цемилайт (Влад. Ми. Ва) Бейзлайн (Стома. Дент) Аквион (Влад. Ми. Ва)
СИЦ с серебром (керметы) • Argion (VOCO, Германия) • Argion Molar • Аргецем (Влад. Ми. Ва)
Механизм действия ионов фтора
Пломбирование боковой группы зубов СИЦ
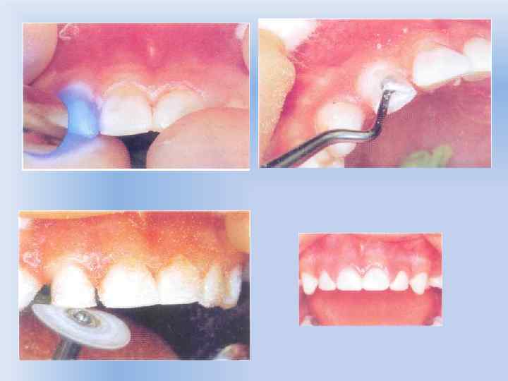
Пломбирование фронтальной группы зубов СИЦ
ART-технология при лечении кариеса зубов с последующим применением СИЦ
Этапы пломбирования СИЦ на примере Ketac™ Molar EM (3 M ESPE)
Герметизация фиссур СИЦ
Композиты Показания к применению у детей: 1. Кариес и некариозные поражения любой локализации (кроме поддесневой) постоянных зубов после полной минерализации эмали. 2. Кариес депульпированного зуба, 3. Кариес зуба с незрелой эмалью (с использованием изолирующей прокладки), 4. Герметизация фиссур сформированных постоянных зубов.
Компомеры Свойства композитов Однокомпонентность Эстетика Пластичность Прочность Светоотверждаемость Послойность внесения Рентгеноконтрастность Необходимость бондинга Свойства СИЦ Химическая адгезия к тканям зуба Выделение фтора Устойчивость во влажной среде Возможность применения собственно адгезива без протравливания
Компомеры • Dyract AP (Dent. Sply) • Compoglass Flow (Ivoclar VIVADENT) • Ionosit (DMG, Германия) • Компофикс (Влад. Ми. Ва)
Ормокеры (органическая модифицированная керамика) Свойства: - Биологическая совместимость, - Низкая полимеризационная усадка, - Высокая прочность, - Низкая истираемость, - Простота применения, - Эстетичность.
Ормокеры • Admira (VOCO, Германия) • Admira Flow • Admira Seal
Стальные коронки без красителей Показания: Ø Восстановление сильно разрушенных зубов, Ø Восстановление молочных моляров, подвергавшихся терапии пульпы, Ø Гипоплазированные молочные или постоянные зубы, Ø Реставрация у детей с высоким риском кариеса, особенно при лечении под наркозом.
Этапы применения стальных коронок
Снимающиеся целлулоидные колпачки для реставрации молочных резцов Показания: • Глубокий кариес одной или нескольких поверхностей молочных резцов • Врожденные пороки развития молочных резцов • Изменение окраски молочных резцов после травмы • Травматические переломы молочных резцов • Молочные резцы с врожденным изменением цвета (например, вследствие врожденной эритропоэтической порфирии) • Нарушения амелогенеза
Этапы применения целлулоидных колпачков
Пломбировочные материалы на основе кальция Классификация: Твердеющие Нетвердеющие Химического отверждения (монокомпонентные, двухкомпонентные) Светового отверждения (однокомпонентные) Действие: противовоспалительное, реминерализующее, одонтотропное.
Для прямого покрытия пульпы (однокомпонентные, медленнотвердеющие, рассасывающиеся) Calasept (Nordica Dental) Calcipulp (Septodont) Кальцетат (Влад. Ми. Ва) Кальсепт (Омега Дент)
Для непрямого покрытия пульпы (двухкомпонентные, быстротвердеющие, не рассасывающиеся) Calcimol, Calcimol LC (VOCO) Contrasil (Septodont) Кальцелайт (Влад. Ми. Ва)
Универсальные лечебные прокладки Life (Kerr) Dycal (Dentsply) Кальципульпин (Омега Дент) Кальцевит (Влад. Ми. Ва)
Адгезивные системы 1. Кондиционер 2. Праймер 3. Собственно адгезив (бонд)
Адгезивные системы
Пломбировочные Сагитов.ppt