пищеварительные железы.ppt
- Количество слайдов: 33
СЛЮННЫЕ ЖЕЛЕЗЫ ОКОЛОУШНАЯ ДОБАВОЧНАЯ ОКОЛОУШНАЯ ЯЗЫЧНАЯ ПОДНИЖНЕЧЕЛЮСТНАЯ ЯЗЫЧНАЯ ПЕРЕДНЯЯ ПОДЪЯЗЫЧНАЯ
СХЕМА РАЗВИТИЯ СЛЮННЫХ ЖЕЛЕЗ ЭПИТЕЛИЙ РОТОВОЙ ПОЛОСТИ ЭПИТЕЛИАЛЬНЫЕ ТЯЖИ, РАСТУЩИЕ ПО НАПРАВЛЕНИЮ К УШНЫМ ОТВЕРСТИЯМ ЭПИТЕЛИАЛЬНЫЕ ТЯЖИ, РАСТУЩИЕ В НАПРАВЛЕНИИ НИЖНЕЙ ЧЕЛЮСТИ ЗАЧАТКИ ПОДЧЕЛЮСНОЙ ЖЕЛЕЗЫ ОТРОСТКИ ОТ ЗАЧАТКОВ ПОДЧЕЛЮСТНОЙ ЖЕЛЕЗЫ ОКОЛОУШНЫЕ ЖЕЛЕЗЫ СО СЛИЗИСТЫМИ АЦИНУСАМИ ОКОЛОУШНЫЕ ЖЕЛЕЗЫ С БЕЛКОВЫМИ АЦИНУСАМИ ПОДЪЯЗЫЧНЫЕ ЖЕЛЕЗЫ СО СЛИЗИСТЫМИ, СМЕШАННЫМИ И БЕЛКОВЫМИ АЦИСУСАМИ ПОДЧЕЛЮСТНЫЕ ЖЕЛЕЗЫ С БЕЛКОВЫМИ АЦИНУСАМИ ПОДЧЕЛЮСТНЫЕ ЖЕЛЕЗЫ С БЕЛКОВЫМИ И СМЕШАННЫМИ АЦИНУСАМИ
ФУНКЦИИ СЛЮНЫ: ЗАЩИТНАЯ- РАЗМАЧИВАЯ И РАЗМЯГЧАЯ ПИЩУ, ПОКРЫВАЯ ЕЕ СЛИЗИСТОЙ ПЛЕНКОЙ; - АНТИМИКРОБНЫЕ СВОЙСТВА; - БУФЕРНЫЕ СВОЙСТВА; - МИНЕРАЛИЗУЮЩАЯ ФУНКЦИЯ; - СЕКРЕЦИЯ ЭПИДЕРМАЛЬНОГО ФАКТОРА РОСТА ПИЩЕВАРИТЕЛЬНАЯ – СЕКРЕЦИЯ АМИЛАЗЫ, ЛИПАЗЫ, ПЕПТИДАЗЫ, МАЛЬТАЗЫ, НУКЛЕАЗЫ. ВЫДЕЛИТЕЛЬНАЯ. РЕГУЛЯЦИЯ ВОДНО-СОЛЕВОГО ГОМЕОСТАЗА. ЭНДОКРИННАЯ – ИНСУЛИНОПОДОБНЫЙ ФАКТОР; - ФАКТОР СТИМУЛИРУЮЩИЙ ЛИМФОПОЭЗ, - ФАКТОР РОСТА НЕРВОВ И ЭПИТЕЛИЯ; - КАЛЛИКРЕИН; - РЕНИН; - ПАРОТИН.
КАПИЛЛЯРЫ ОБЛАСТИ АЦИНАРНЫХ КЛЕТОК ВЕНОЗНАЯ КРОВЬ ПЕРВИЧНАЯ СЕКРЕЦИЯ АЦИНАРНЫХ КЛЕТОК АМИНОКИСЛОТЫ КАПИЛЛЯРЫ ОБЛАСТИ ПРОТОКА ВТОРИЧНАЯ МОДИФИКАЦИЯ СЕКРЕТА В ПРОТОКАХ ГЛЮКОЗА АРТЕРИАЛЬНАЯ КРОВЬ СХЕМА КРОВОТОКА И СОСТАВА ЭЛЕКТРОЛИТОВ В СЛЮНЕ
МЕХАНИЗМЫ ТРАНСПОРТА ВЕЩЕСТВ ГЛАНДУЛОЦИТАМИ ПОЛОСТЬ КРОВЕНОСНОГО ЭКЗОСЕКРЕЦИЯ ЭКСКРЕЦИЯ КАПИЛЛЯРА РЕКРЕЦИЯ ПАРАЦЕЛЛЮЛЯРНЫЙ ТРАНСПОРТ ПОЛОСТИ РТА И ВСАСЫВАНИЕ ЭНДОСЕКРЕЦИЯ ПРОТОКОВ ТРАНСЦЕЛЛЮЛЯРНЫЙ ТРАНСПОРТ ГЕМАТОСАЛИВАРНЫЙ БАРЬЕР
ПОДНИЖНЕЧЕЛЮСТНАЯ ОКОЛОУШНАЯ ПОДЪЯЗЫЧНАЯ
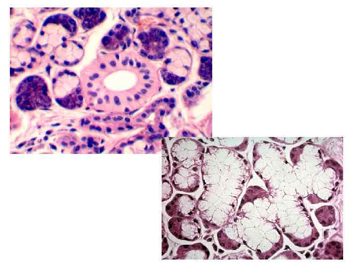
КОНЦЕВЫЕ ОТДЕЛЫ СЛЮННЫХ ЖЕЛЕЗ СЕРОЗНЫЕ СМЕШАННЫЕ СЛИЗИСТЫЕ
околоушная Концевые отделы Поднижне челюстная подъязычная серозные + + (80%) + слизистые + (добавочная) + + смешанные + (преобладают) вставочный длинные, разветвленные короткие развиты слабо исчерченный развиты длинные, ветвящиеся с расширяниями очень короткие выводной Протоки Стенонов (35 -40 мм) Вартонов, имеет лейомиоциты и дивертикулы (40 -60 мм) Бартолиниев, имеет лейомиоциты и дивертикулы (10 -20 мм) Таблица используется с лекций проф. Должикова А. А.
ПРОДОЛЖЕНИЕ ПЕЧЕНОЧНЫЕ ПРОТОКИ ПЕЧЕНОЧНЫЕ БАЛКИ ЖЕЛУДОК ЖЕЛЧНЫЙ ПУЗЫРЬ ВЕНТРАЛЬНАЯ ЗАКЛАДКА ПОДЖЕЛУДОЧНОЙ ЖЕЛЕЗЫ ДОРЗАЛЬНАЯ ЗАКЛАДКА ПОДЖЕЛУДОЧНОЙ ЖЕЛЕЗЫ
ПОДЖЕЛУДОЧНАЯ ЖЕЛЕЗА
ЭКЗОКРИННЫЕ АЦИНУСЫ ПОДЖЕЛУДОЧНОЙ ЖЕЛЕЗЫ
Внутридольковый проток поджелудочной железы
ФУНКЦИИ ПОДЖЕЛУДОЧНОЙ ЖЕЛЕЗЫ ЭКЗОКРИННАЯ (ПАНКРЕАТИЧЕСКИЙ СОК): ТРИПСИН – РАСЩЕПЛЕНИЕ БЕЛКОВ, КАРБОПЕПТИДАЗЫ – ПЕПТИДЫ, АМИЛАЗА – УГЛЕВОДЫ, САХАРАЗА, МАЛЬТАЗА, ЛАКТАЗА – ДИСАХАРА ДО МОНОСАХАРОВ, ФОСФОЛИПАЗА – ЛИПИДЫ ДО ГЛИЦЕРИНА И ЖИРНЫХ КИСЛОТ, ЭНДОКРИННАЯ: ИНСУЛИН –СНИЖЕНИЕ САХАРА В КРОВИ; ГЛЮКАГОН – ПОВЫШЕНИЕ САХАРА В КРОВИ; СОМАТОСТАТИН – ПОВЫШЕНИЕ ДЕЛЕНИЯ КЛЕТОК И СЕКРЕЦИИ ЖЕЛЕЗ ЖКТ; ВИП – СНИЖЕНИЕ АД И СТИМУЛЯЦИЯ ЭКЗОКРИННОЙ СЕКРЕЦИИ; ПАНКРЕАТИЧЕСКИЙ ПОЛИПЕПТИД – УГНЕТЕНИЕ ЭКЗОКРИННОЙ СЕКРЕЦИИ
РЕГУЛЯЦИЯ ФУНКЦИИ АЦИНОЦИТОВ СТИМУЛЯТОРЫ: ХОЛЕЦИСТОКИНИН/ПАНКРЕОЗИМИН (I –КЛЕТКИ) ВИП (ОСТРОВКИ ЛАНГЕРГАНСА)) ИНГИБИТОРЫ: ПАНКРЕАТИЧЕСКИЙ ПОЛИПЕПТИД (РР КЛЕТКИ ОСТРОВКОВ) СОМАТОСТАТИН (D КЛЕТКИ ОСТРОВКОВ)
КЛАПАНЫ ПРОТОКОВОЙ СИСТЕМЫ ПОДЖЕЛУДОЧНОЙ ЖЕЛЕЗЫ ПОЛИПООБРАЗНЫЙ СТВОРЧАТЫЙ ЗАПИРАТЕЛЬНАЯ МЫШЕЧНОЭЛАСТИЧЕСКАЯ ПОДУШКА УГЛОВОЙ
ОСТРОВОК ЛАНГЕРГАНСА
ГОРМОНЫ ОСТРОВКОВ ЛАНГЕРГАНСА КЛЕТКИ ГОРМОНЫ ДЕЙСТВИЕ A-клетки глюкагон - мобилизует из тканей углеводы и жиры. Повышает концентрацию глюкозы в крови. B-клетки инсулин - обеспечивает усвоение тканями питательных веществ. Концентрация глюкозы в крови понижается. D-клетки соматостатин - подавление эндо- и экзокринной функции поджелудочной железы, угнетая выработку инсулина, глюкагона и секретина. D 1 -клетки ВИП (вазоинтестинальный полипептид) - антогонист соматостатина. Паракринное влияние на сосуды: расширяет сосуды, снижая артериальное давление. PP-клетки панкреатический полипептид - стимулирует выделение панкреатического и желудочного сока.
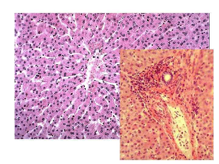
ПЕЧЕНЬ – ПАРЕНХИМАТОЗНЫЙ ДОЛЬЧАТЫЙ ОРГАН
ПЕЧЕНОЧНЫЕ БАЛКИ ЦЕНТРАЛЬНАЯ ВЕНА ЖЕЛЧНЫЙ КАПИЛЛЯР ПОГРАНИЧНАЯ ПЛАСТИНКА СИНУСОИДНЫЙ КАПИЛЛЯР МЕЖДОЛЬКОВАЯ ВЕНА КЛЕТКА КУПФЕРА ЭНДОТЕЛИОЦИТ ПОГРАНИЧНАЯ ПЛАСТИНКА
Региональные особенности гепатоцитов Гепатоциты периферии – депонирование жиров, детоксикация и биосинтез желчи; Гепатоциты центра – депонирование гликогена.
Печеночный ацинус Печеночная долька При острой гипоксии – страдают промежуточная и периферические зоны. При повреждении токсическими веществами – центральная. Центральная вена триада
ПЕЧЕНОЧНАЯ ДОЛЬКА, ПОРТАЛЬНАЯ СВ СВ МВ АЦИНУС А
СИНУСОИДНЫЙ КАПИЛЛЯР
СОБИРАТЕЛЬНЫЕ ВЕНЫ ПОДДОЛЬКОВЫЕ ВЕНЫ КРОВОСНАБЖЕНИЕ ПЕЧЕНИ СВ ДОЛЬКА СИНУСЫ МЕЖДОЛЬКОВЫЕ ВЕНЫ И АРТЕРИИ ВОКРУГДОЛЬКОВЫЕ ВЕНУЛЫ МЕЖДОЛЕВАЯ АРТЕРИЯ ЖЕЛЧНЫЕ ПРОТОКИ МЕЖДОЛЕВАЯ ВЕНА Инъекция сосудов печени
Особенности кровоснабжения печени 1. КРОВЬ ПОСТУПАЕТ ПО ДВУМ СОСУДАМ. 2. ГЕМОКАПИЛЛЯРЫ ЯВЛЯЮТСЯ СИНУСОИДНЫМИ, А В ЭНДОТЕЛИИ ЕСТЬ ИСТИННЫЕ ПОРЫ. 3. В КАПИЛЛЯРАХ ТЕЧЕТ СМЕШАННАЯ КРОВЬ, СОСТАВ РЕГУЛИРУЕТСЯ СФИНКТЕРАМИ ВОКРУГДОЛЬКОВОЙ АРТЕРИИ. 4. КАПИЛЛЯРЫ ЛЕЖАТ МЕЖДУ ДВУМЯ ВЕНАМИ ( «ЧУДЕСНАЯ» СЕТЬ). 5. ПРЕОБЛАДАЮТ ВЕНЫ БЕЗМЫШЕЧНОГО ТИПА
А- ВНУТРИПЕЧЕНОЧНЫЕ: I – ВНУТРИДОЛЬКОВЫЕ: 1 – ЖЕЛЧНЫЕ КАПИЛЛЯРЫ, 2 - КАНАЛЬЦЫ ГЕРИНГА; II – МЕЖДОЛЬКОВЫЕ: 3 - ХОЛАНГИОЛЫ, 4 – МЕЖДОЛЬКОВЫЕ ВЫВОДНЫЕ ПРОТОКИ. В – ВНЕПЕЧЕНОЧНЫЕ: 5 – ЛЕВЫЙ И ПРАВЫЙ ДОЛЕВЫЕ, 6 - ОБЩИЙ ПЕЧЕНОЧНЫЙ ПРОТОК, 7 - ПУЗЫРНЫЙ ПРОТОК, 8 –ОБЩИЙ ЖЕЛЧНЫЙ ПРОТОК ЖЕЛЧЕВЫВОДЯЩИЕ ПУТИ КИШКА
Процесс образования желчи – желчеотделение или холерез ЖЕЛЧНЫЙ КАПИЛЛЯР Желчевыделение - холикинез КАНАЛЬЦЫ ГЕРИНГА ХОЛАНГИОЛЫ ХОЛАНГИОЛА ЖЕЛЧНЫЙ ПРОТОК
Стенка желчного пузыря
пищеварительные железы.ppt