2011 Васкулиты 128 сл.ppt
- Количество слайдов: 124
СИСТЕМНЫЕ ВАСКУЛИТЫ С ПОРАЖЕНИЕМ ПОЧЕК С. Боровой, 2011
ВАСКУЛИТЫ p Васкулиты – гетерогенная группа заболеваний, характеризуемых воспалением и некрозом стенки кровеносных сосудов. p Клиническая картина васкулитов во многом определяется калибром и локализацией пораженных сосудов, а также тяжестью иммуновоспалительных изменений.
КЛАССИФИКАЦИИ ВАСКУЛИТОВ p Широко распространена классификация Американской Коллегии Ревматологии (АКР), которая выделяет семь синдромов, позволяющих проводить дифференциальный диагноз васкулитов p Очень популярны итоги Согласительной Конференции (Chapell Hill, 1993) разработавшей определения и номенклатуру наиболее часто встречающихся форм системных васкулитов
СОСУДЫ, ПОВРЕЖДАЕМЫЕ ПРИ СИСТЕМНЫХ ВАСКУЛИТАХ (по классификации Chappel Hill consensus, 1993) Капилляры Артерии большого и среднего калибра Артериолы Артерии малого калибра Венулы Вены Кожный лейкоцитокластический васкулит Аорта Геморрагический васкулит и эссенциальный криоглобулинемический васкулит Микроскопический полиангиит (полиартериит) Гранулематоз Вегенера Узелковый полиартериит и синдром Чарга-Строс и болезнь Кавасаки Гигантоклеточный (височный) артериит и артериит Такаясу J. Charles Jennette et al. , 1994
Группы васкулитов различного патогенеза (по B. F. Haynes, 1992) Ассоциированные с иммунными комплексами Геморрагический васкулит Васкулит при СКВ и РА Криоглобулинемический васкулит Инфекционные васкулиты Болезнь Бехчета Сывороточная болезнь Паранеопластический васкулит Ассоциированные Болезнь Гудпасчера с органоспецифическими Болезнь Кавасаки антителами Ассоциированные с ANCA Клеточноопосредованные Гранулематоз Вегенера Микроскопический полиартериит Синдром Чарга-Строс Узелковый периартериит Лекарственные васкулиты Болезнь Хортона Болезнь Такаясу Гранулематоз Вегенера
ВАСКУЛИТЫ СОСУДОВ КРУПНОГО И СРЕДНЕГО РАЗМЕРОВ Боровой С. Г. , 2011
ВАСКУЛИТЫ КРУПНЫХ СОСУДОВ 1) Гигантоклеточный (височный) артериит (болезнь Хортона) Гранулематозный артериит аорты и ее основных ветвей. Часто поражает височные артерии. Обычно развивается у больных старше 50 лет и часто сочетается с ревматической полимиалгией. 2) Артериит Такаясу Гранулематозное воспаление аорты и ее основных ветвей. Развивается у больных до 50 лет.
ВАСКУЛИТЫ КРУПНЫХ СОСУДОВ, которые встречаются редко Тропический аортит Саркоидоз Синдром Когана Синдром Вискотт-Олдриш
ГИГАНТОКЛЕТОЧНЫЙ АРТЕРИИТ (болезнь Хортона)
ДИАГНОСТИЧЕСКИЕ КРИТЕРИИ ГИГАНТОКЛЕТОЧНОГО АРТЕРИИТА (ACR, 1990) q Возраст в начале болезни старше 50 лет q Вдруг появившиеся головные боли q Утолщение (расширение) или пульсация височных артерий (не связанные с атеросклерозом), часто чувствительных при пальпации q Ускорение СОЭ > 50 мм/час q Морфологические изменения (биопсия) артерий: преобладание инфильтрации мононуклеарными клетками или гранулематозное воспаление с многоядерными гигантскими клетками Наличие 3 критериев из 5 свидетельствует о гигантоклеточном артериите Hunder et al. , Arthritis Rheum. , 1990, 33, 1122
The tortuous, prominent temporal artery is seen over the forehead, and microscopically there is a giant cell arteritis. The typical pattern of involvement with temporal arteritis includes the temporal artery and branches of external carotid arteries. A sixth of cases may have involvement of aorta and its major branches. Involvement of the ophthalmic branch of the external carotid can lead to blindness. The prevalence of giant cell arteritis increases with age. Signs and symptoms can include headache and a painful, palpably enlarged and tender temporal artery. Some persons will also have polymyalgia rheumatica. There are no specific laboratory findings, though the sedimentation rate is often quite elevated (as high as 100 mm/hr or more). A trial of corticosteroid therapy, if succesful, may provide a presumptive diagnosis in lieu of biopsy.
Гигантоклеточный (височный) артериит А. Грануломатоз и лимфоцитарная инфильтрация адвентиции и медии височной артерии. Б. Разрыв эластического слоя вследствие иммунологической деструкции.
Biopsy Specimen of the Temporal Artery. Jonathan Kay, M. D. , David S. Finn, M. D. , and James R. Stone, M. D. , Ph. D. Case 4 -2006: A 79 -Year-Old Woman with Myalgias, Fatigue, and Shortness of Breath N Engl J Med february 9, 2006 354; 6 - 623 Panel A shows fragmentation of the internal elastic lamina and intimal hyperplasia (elastic tissue stain). In Panel B, lymphocytic infiltration of the adventitia is shown (hematoxylin and eosin). Panel C shows a histiocytic giant cell located at the internal elastic lamina (hematoxylin and eosin). In Panel D, immunoperoxidase stain for the macrophage marker CD 68 shows macrophages at the internal elastic lamina.
F H Khattak UNUSUAL AND MEMORABLE Case Number 24: Scalp necrosis in giant cell arteritis Annals of the Rheumatic Diseases 2002; 61: 590 Sandwell NHS Trust, Lyndon, West Bromwich, West Midlands B 71 4 HJ, UK
ЛЕЧЕНИЕ ГИГАНТОКЛЕТОЧНОГО АРТЕРИИТА q ОСНОВНОЙ МЕТОД ЛЕЧЕНИЯ – ГЛЮКОКОРТИКОИДЫ q Подавляющая доза преднизолона: q при умеренной активности (4 – 8 недель) 20 – 40 мг/сут q при высокой активности (нарушения зрения, клинические признаки поражения крупных артерий) – 60 – 80 – 100 мг/сут (1, 0 – 1, 5 мг/кг) q При быстрой потере зрения или рефрактерности к базисной терапии пульс-терапия метилпреднизолоном 1000 мг в/в № 3 q Поддерживающая доза преднизолона 5 – 10 мг/сут применяется неопределенно долго q При тяжелом прогрессирующем течении дополнительно азатиоприн или циклофосфамид. Целесообразно применение низкомолекулярных гепаринов.
АРТЕРИИТ ТАКАЯСУ Mikito Takayasu (1859 -1938), профессор офтальмологии университета в г. Каназава Коронарные артерио-венозные анастомозы, окружающие сосочек, у 21 -летней больной (1908)
Исторические аспекты p 1908 – M. Takayasu, японский офтальмолог p 1922 – Harbitz описал клинику и морфологию болезни p 1944 – F. Martorell & Fabre описали заболевание под названием “синдром дуги аорты” p 1952 – Caccamise and Whitman предложили назвать болезнь в честь Такаясу p 1955 – Н. В. Антелава впервые в СССР описал заболевание под названием «облитерирующий артериит сосудов, исходящих из дуги аорты»
Артериит Такаясу p Системный гигантоклеточный васкулит с преимущественным вовлечением аорты и ее основных ветвей, коронарных и легочных артерий с развитием ишемии в соответствующих органах p Синонимы: p неспецифический аортоартериит болезнь отсутствия пульса артериит молодых женщин болезнь или синдром Такаясу синдром дуги аорты артериит дуги аорты панартериит p p p
Эпидемиология p Заболеваемость в различных регионах p p p Швеция 0, 12: 100 000 Кувейт 0, 22: 100 000 США 0, 26: 100 000
ЭПИДЕМИОЛОГИЯ АРТЕРИИТА ТАКАЯСУ В РАЗЛИЧНЫХ РЕГИОНАХ Страна Число случаев Женщин (%) Возраст при постановке диагноза Sen et al, 1963 Индия 16 75 <30(3 -30) Ishikawa, 1978 Япония 54 93 30 Wearn & Hemmingsson, 1983 Швеция 15 100 >40 (? -66) Di Giacomo et al, 1985 Италия 10 100 41 (29 -? ) Hall et al, 1985 США 32 81 31 (15 -48) Shelhamer et al, 1985 США 20 100 26 (7 -57) Индия 30 73 27 США 60 97 Ishikawa & Maetani, 1994 Япония 120 93 29 (8 -64) 21 (8 -41) Vanoli et al, 1995 Италия 27 89 31(13 -64) 28 (13 -63) Авторы Kumar et al, 1990 Kerr et al, 1994 Возраст в начале заболевания 25 (7 -64) Vanoli et al. JNEPHROL 2001; 14: 497 -505 Milan Italy
Этиология p остается неясной p есть предположения о значении перенесенных риккетсиозных инфекций
Болезни, ассоциированные с артериитом Такаясу n Артериит Такаясу чаще является «первичной» болезнью n Однако наблюдается и в сочетании с различными иммуновоспалительными и/или грануломатозными болезнями, такими как: p p p p грануломатозный гипофизит болезнь Крона язвенный колит системная красная волчанка болезнь Бехтерева ревматоидный артрит болезнь Стилла у взрослых
Поражение почек при болезни Такаясу p p p Неспецифические ишемические гломерулярные изменения вследствие сужения артерий Реноваскулярная гипертензия Первичные гломерулопатии встречаются редко n n Ig. A нефропатия мембрано-пролиферативный гломерулонефрит с полулуниями амилоидоз с нефротическим синдромом
ISHIKAWA'S КРИТЕРИИ ДИАГНОСТИКИ АРТЕРИИТА ТАКАЯСУ ОБЯЗАТЕЛЬНЫЙ КРИТЕРИЙ – ВОЗРАСТ МОЛОЖЕ 40 ЛЕТ ДВА ГЛАВНЫХ КРИТЕРИЯ (1) Изменение средней части левой подключичной артерии (2) Изменение средней части правой подключичной артерии МАЛЫЕ СИМПТОМЫ (1) Ускорение СОЭ (2) Уплотнение сонных артерий (3) Артериальная гипертензия (4) Аортальная регургитация (5) Изменения легочной артерии (6) Изменения левой общей сонной артерии (7) Изменения дистального брахиоцефального ствола (8) Изменения нисходящего отдела грудной аорты (9) Изменения абдоминальной аорты Для диагноза: обязательный симптом + 2 главных или 1 главный + 2 малых или 4
Патологическая анатомия p p p Фаза острого воспаления и хроническая фаза Морфологические стадии: острая, подострая, склеротическая Три анатомических варианта поражения аорты: n 1) стенозирующий, n 2) аневризматический , n 3) деформирующий – стенка аорты изменена, сужены устья отходящих артерий, но просвет аорты не изменен. n Аневризматический вариант встречается редко
Клинические проявления артериита Такаясу p Артериит Такаясу проявляется различными клиническими признаками - слабость в руке, снижение или отсутствие пульса, потеря зрения, инсульт, аортальная регургитация, артериальная гипертензия, застойная сердечная недостаточность. p Клинические проявления могут быть стертыми и поэтому диагноз всегда ставится поздно.
Диагностические критерии артериита Такаясу (ACR, 1990) Arned et al. , Arthritis Rheum. , 1990, 33, 1129 Начало заболевания в возрасте до 40 лет Перемежающаяся хромота (мышечные жалобы при движении, как минимум, в одной конечности, особенно в руке) Ослабленная пульсация лучевой и/или локтевой артерии Разница систолического давления на руках > 10 мм рт. ст. Определяемые аускультацией сосудистые шумы над подключичной артерией (с одной или обеих сторон) или над брюшной аортой Ангиографическое обнаружение типичных сосудистых изменений аорты, ее ветвей или больших артерий в проксимальных отделах верхних или нижних конечностей (чаще фокальносегментарные, стенозирующие или окклюзирующие), которые нельзя объяснить артериосклерозом, фибромускулярной дисплазией или подобными причинами Наличие не менее 3 критериев из 6 ПРИ ДИФФЕРЕНЦИАЛЬНОМ ДИАГНОЗЕ ВНУТРИ ГРУППЫ ВАСКУЛИТОВ свидетельствует о вероятном артериите Такаясу
Окклюзия левой подключичной артерии вскоре после её отхождения от аорты. Результат – отсутствие пульса на левой руке. В процесс чаще вовлекается дуга аорты и отходящие от нее коронарные артерии, подключичные и почечные артерии. В артериях – гранулематозное воспаление, аневризмы и расслаивание стенки. В поздних стадиях – фиброз. Иногда поражаются легочные артерии.
Figure 1 Branches of the aortic arc. Figure 2 Magnetic resonance angiogram. Figure 3 Vascular stent in the right carotid artery.
ВАСКУЛИТЫ СОСУДОВ СРЕДНЕГО КАЛИБРА Узелковый полиартериит Некротизирующее воспаление артерий среднего и малого калибра без гломерулонефрита или васкулит артериол, капилляров или венул. Болезнь Кавасаки – генерализованный васкулит неизвестного происхождения (предполагают инфекционное начало), ведущая причина приобретенной кардиальной патологии у детей во многих странах. Большинство детей – в возрасте до 2 лет, 80% моложе 5 лет. От 20 до 25% имеют коронарные нарушения, которые могут разрешаться, так и персистировать – тромбозы, сегментарные стенозы. Основная причина смерти – инфаркт миокарда.
ВАСКУЛИТЫ СОСУДОВ СРЕДНЕГО КАЛИБРА Ассоциированный с вирусом гепатита В Семейная средиземноморская лихорадка Кожный узелковый полиартериит Лепроматозный артериит - редко встречается
УЗЕЛКОВЫЙ ПОЛИАРТЕРИИТ
Карл Рокитанский Karl Freiherr von Rokitansky (19. 02. 1804 – 23. 07. 1878) Коллегия профессоров Венского университета. Справа от Рокитанского – Joseph Skoda. p Первым привел макроскопическую картину болезни, позже названной узелковым периартериитом p На рис. : Мезентериальные артерии с макроскопическими артериальными узелкамианевризмами. Аневризмы в месте разветвления мелких артерий. Rokitansky K. Ueber einige der wichtigsten Erkrankungen der Arterien. Denkschriften der kaiserlichern Akademie der Wissenschften (mathematisch-natur wissenschaftliche Classe). Vienna: kaiserlich-koeniglich Hof-und Staatscruckerei, 1852; 4: 1 -72.
СИСТЕМНЫЙ ВАСКУЛИТ С ПОРАЖЕНИЕМ ПОЧЕК ИСТОРИЧЕСКИЕ АСПЕКТЫ Adolf Kussmaul 22. 02. 1822 – 28. 05. 1902 1866 – Kussmaul и Maier описали больного с некротизирующим артериитом – узелковым поражением артерий среднего и малого калибра во всем теле, болезнью Брайта и прогрессирующим поражением мышц (лихорадка, анорексия, мышечная слабость, парестезии, миалгии, боль в животе, олигурия) и назвали его узелковым периартериитом. В течение многих лет любой некротизирующий артериит называли узелковым периартериитом/полиартериитом. Kussmaul A, Maier R. Ьber eine bisher nicht beschriebene eigentьmliche Arterienerkrankung (Periarteritis nodosa), die mit Morbus Brightii und rapid fortschreitender allgemeiner Muskellahmung einhergeht. Dtsch Arch Klein Med 1866; 1: 484 -518
Mikroskop von Prof. Rudolf Maier A. Kussmaul († 1902), R. Maier († 1888);
Polyarteriitis nodosa: Makroskopisches Präparat des Herzens mit knotig verdickten koronararteriellen Gefäßen
Эволюция представлений об узелковом полиартериите p 1950 -е годы – описание больных с артериитом, при котором в большей степени наблюдалось воспаление сосудов меньшего калибра – кожных венул, артериол слизистых, гломерулярных капилляров, легочных альвеолярных капилляров p p p гиперчувствительный ангиит (Zeek et al. , 1948, 1952) микроскопическая форма полиартериита (Davson et al. , 1948; Godman, Churg, 1954) 1994 – микроскопический полиангиит – термин, принятый международной согласительной комиссией по номенклатуре васкулитов (Chapel Hill Consensus Conference)
Диагностические критерии классического узелкового периартериита (ACR, 1990) A A A Потеря массы тела более чем на 4 кг, общие симптомы A A A Артериальная гипертензия (АДдиаст. > 90 мм рт. ст. ) A A Артериографические данные: аневризмы, окклюзии Сетчатое ливедо Болезненность и припухание яичек Миалгия, мышечная слабость, боль при пальпации мышц ног Моно- или полинейропатия или мононеврит multiplex, симптомы поражения ЦНС Сывороточный креатинин > 1, 5 мг% или мочевина > 60 мг% Носительство вируса гепатита В (HBs-антиген или анти. HB-Ig. G антитела) Биопсионные данные – инфильтрация мелких или средних артерий полиморфноядерными нейтрофильными гранулоцитами Наличие 3 критериев из 10 свидетельствует о вероятном узелковом полиартериите Lighfoot et al. , Arthritis Rheum. , 1990, 33, 1088
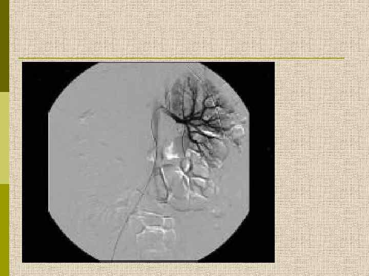
Артериограмма почки при узелковом полиартериите. Микроаневризмы мелких артерий, окклюзия больших артерий. Rose BD, 1987
Почечные аневризмы при узелковом полиартериите, ассоциированном с гепатитом В Chauveau D. , Christophe J-L. N Engl J Med 1995; 332: 1070
Malaise, anorexia, progressive limb paresis and multiple defects in the kidneys W. Smit, J. Reekers, M. J. Schultz January 2005, vol. 63, no. 1, 32 Academic Medical Centre, Amsterdam, the Netherlands
Почечная небольшая артерия мышечного типа. Диффузное воспаление адвентиции и выраженное утолщение внутреннего слоя замещением соединительной тканью. Просвет сужен. Поражение сосуда такого уровня нехарактерно для микроскопического полиартериита или гранулематоза Вегенера.
Узелковый полиартериит, васкулит ветви почечной артерии. Лимфоциты внутри и вокруг сосуда. р-ANCA обычно положительны.
Узелковый полиартериит (сосуды кожи). А. Небольшая подкожная артерия - некротизирующий васкулит с инфильтрацией лейкоцитами и мононуклеарами. Б. Воспалительный инфильтрат в адвентиции с выраженным некрозом и отложениями фибрина в стенке сосуда.
АРТЕРИИТ КАВАСАКИ Боровой С. Г. , 2007
ДИАГНОСТИЧЕСКИЕ КРИТЕРИИ СИНДРОМА КАВАСАКИ (слизисто-кожный синдром с лимфоаденопатией) § § § Резистентная к антибиотикам лихорадка в течение 5 дней (100%) § Изменения кистей и стоп (70%): эритема на ладонной и подошвенной поверхностях, отечность кистей и стоп, шелушение пальцев кистей и стоп в периоде реконвалесценции § § Полиморфная сыпь, преимущественно на туловище (80%) Двусторонний конъюнктивит (85%) Типичные изменения губ и полости рта (90%): губы сухие, отечные, гиперемированы, с трещинами, малиновый язык, диффузное покраснение слизистой полости рта, фарингит Острое негнойное припухание шейных лимфоузлов Наличие 5 критериев из 6 (при обязательной лихорадке) свидетельствует о синдроме Кавасаки Sekiguchi et al. , 1984
Пальмарная эритема, потрескавшиеся красные губы у девочки с болезнью Кавасаки (Robert Sundel)
Jonathan D. K. Trage Kawasaki's Disease N Engl J Med 1995; 333: 1391
Девочка 14 лет, у которой болезнь Кавасаки была диагностирована в возрасте 2 лет. В три года – инфаркт миокарда задней стенки левого желудочка. При обследовании – митральная регургитация умеренной степени. Трансторакальная эхокардиография выявила гигантскую аневризму левой основной коронарной артерии. При нагрузке – депрессия в отведениях I, II, V 4 и V 5. Случай болезни Кавасаки При рентгенографии – кальцификация в области левого желудочка. При селективной ангиографии – большая аневризма левой главной артерии со стенозом до 80% ее просвета в месте отхождения нисходящей коронарной артерии. Коллатерали от правой коронарной артерии. Выполнена хирургическая реваскуляризация. Через три года – практически здорова, признаков ишемии при нагрузке нет.
ВАСКУЛИТЫ СРЕДНИХ И МЕЛКИХ СОСУДОВ
ВАСКУЛИТЫ СОСУДОВ СРЕДНЕГО И МАЛОГО КАЛИБРА Гранулематоз Вегенера Микроскопический полиангиит (полиартериит) Синдром Чарга-Строс Васкулиты при заболеваниях соединительной ткани Синдром Бехчета Первичный ангиит ЦНС Облитерирующий тромбоангиит
ANCA-ассоциированные васкулиты ANCA - антитела к антигенам цитоплазмы, содержащихся в гранулах нейтрофилов и лизосомах моноцитов. ANCA - гетеpогенная группа аутоантител, которые выявляют непрямым иммунофлюоpесцентным или энзим-связанным иммуносоpбентным методами Иммунофлюоресцентный метод проявляет один из двух вариантов свечения: классический цитоплазматический – c. ANCA и пеpинуклеаpный – p. ANCA
1982 – Davies и соавт. обнаружили антитела, которые реагировали с цитоплазмой нейтрофилов у 8 больных с pauci-immune некротизирующим гломерулонефритом и васкулитом малых сосудов. Davies DJ, Moran JE, Niall JF, Ryan GB. Segmental necrotising glomerulonephritis with antineutrophil antibody: possible arbovirus aetiology? BMJ 1982; 285: 606. 1984 – Hall et al. нашли такие же антитела у 4 больных с васкулитом малых сосудов Hall JB, Wadham BM, Wood CJ, Ashton V, Adam WR. Vasculitis and glomerulonephritis: a subgroup with an antineutrophil cytoplasmic antibody. Aust N Z J Med 1984; 14: 277 -8. 1985 – Статья van der Woude с соавт. подняла интерес к ANCA предположением, что обнаружение ANCA является полезным в диагностике и погнозировании грануломатоза Вегенера. van der Woude FJ, Rasmussen N, Lobatto S, et al. Autoantibodies against neutrophils and monocytes: tool for diagnosis and marker of disease activity in Wegener’s granulomatosis. Lancet 1985; 1: 425 -9.
1993 – 1994 Последующие исследования показали, что ANCA тесно коррелируют с наличием тех основных васкулитов мелких сосудов – гранулематозом Вегенера, микроскопическим полиангиитом и синдромом Чарга-Строс Gross WL, Schmitt WH, Csernok E. ANCA and associated diseases: immunodiagnostic and pathogenetic aspects. Clin Exp Immunol 1993; 91: 1 -12. Kallenberg CGM, Brouwer E, Weening JJ, Cohen Tervaert JW. Antineutrophil cytoplasmic antibodies: current diagnostic and pathophysiologic potential. Kidney Int 1994; 46: 1 -15. Jennette JC, Falk RJ. Anti-neutrophil cytoplasmic autoantibodies: discovery, specificity, disease associations and pathogenic potential. Adv Pathol Lab Med 1995; 8: 363 -78. 1954 – эти же три болезни были клинически объединены Godman и Churg Godman GC, Churg J. Wegener’s granulomatosis: pathology and review of the literature. Arch Pathol 1954; 58: 533 -53.
ANCA специфичны для антигенов гранул нейтрофилов и лизосом моноцитов. Они могут быть обнаружены непрямой иммунофлуоресцентной микроскопией с использованием в качестве субстрата алкоголь-фиксированных нейтрофилов. Этим методом выявляют два вида окраски – цитоплазматические ANCA и перинуклеарные ANCA. Специфическими иммунохимическими методами обнаруживают два основных антигена, специфичных для больных васкулитами – антимиелопероксидазные (MPO-ANCA) Falk RJ, Jennette JC. Anti-neutrophil cytoplasmic autoantibodies with specificity for myeloperoxidase in patients with systemic vasculitis and idiopathic necrotizing and crescentic glomerulonephritis. N Engl J Med 1988; 318: 1651 -7 и антипротеиназные 3 (PR 3 -ANCA). Goldschmeding R, van der Schoot CE, ten Bokkel Huinink D, et al. Wegener’s granulomatosis autoantibodies identify a novel diisopropylfluorophosphate-binding protein in the lysosomes of normal human neutrophils. J Clin Invest 1989; 84: 1577 -87. Niles JL, Mc. Cluskey RT, Ahmad MF, Arnaout MA. Wegener’s granulomatosis autoantigen is a novel neutrophil serine proteinase. Blood 1989; 74: 1888 -93. Ludemann J, Utecht B, Gross WL. Anti-neutrophil cytoplasm antibodies in Wegener’s granulomatosis recognize an elastinolytic enzyme. J Exp Med 1990; 171: 357 -62. Jennette JC, Hoidal JR, Falk RJ. Specificity of anti-neutrophil cytoplasmic autoantibodies for proteinase 3. Blood 1990; 75: 2263 -4.
У больных васкулитами около 90% цитоплазматических ANCA являются ANCA к протеиназе-3, а 90% перинуклеарных ANCA - антителами к миелопероксидазе. При любом типе васкулитов мелких сосудов могут обнаруживаться ANCA любого типа, однако большинство больных гранулематозом Вегенера имеют PR 3 -ANCA (цитоплазматические ANCA), тогда как у большинства больных микроскопическим полиангиитом и при синдроме Чарга-Строс обнаруживаются MPO-ANCA (перинуклеарные ANCA).
АНТИТЕЛА К БЕЛКАМ ЦИТОПЛАЗМЫ НЕЙТРОФИЛОВ (ANCA) с-ANCA (к протеиназе-3) р-ANCA (к миелопероксидазе)
«СОДЕРЖИМОЕ» ГРАНУЛОЦИТА Азурофильные гранулы эластаза, миелопероксидаза, протеиназа 3, катепсин G, САР 57 Специфические гранулы лизоцим, лактоферрин Протеиназа 3 молекулярный вес 29 k. D, находится в первичных гранулах гранулоцитов и моноцитов, гомологична эластазе и катепсину G, вызывает эмфизему у хомячков, бактериостатик, маркер HL 60 миелобластов, нейтрализуется альфа-1 - антитрипсином Миелопероксидаза молекулярный вес 140 k. D, образует гипохлорит из Н 2 О 2 и хлорида, бактериостатик, естественный ингибитор – церулоплазмин
ANCA находят не только у больных васкулитами с. ANCA - высокоспецифичны для гранулематоза Вегенера p. ANCA - характерны для микроскопического полиангиита, но могут обнаруживаться и при других заболеваниях - аутоиммунных (СКВ, ревматоидный артрит, геморрагический васкулит, синдром Фелти, рецидивирующий полихондрит), хронических воспалительных заболеваниях кишечника (язвенный колит, болезнь Крона), инфекционных болезнях (ВИЧ, эндокардит, пневмония, гепатиты, амебиаз) и онкологических заболеваниях (гипернефрома, неходжкинская лимфома, миелодисплазия); - иногда ANCA находят у здоровых родственников больных - образование ANCA могут инициировать пропилтиоурацил, гидралазин, пеницилламин, аллопуринол, сульфасалазин, антибиотики, антиконвульсанты, наркотики; - ANCA обнаруживали при холестериновой эмболии, постстрептококковом гломерулонефрите, тромбоэмболии легочной артерии.
АНТИТЕЛА К БЕЛКАМ ЦИТОПЛАЗМЫ НЕЙТРОФИЛОВ
Гипотезы о роли ANCA в развитии васкулитов А. Освобождение мишеней ANCA – PR-3 и MPO из гранул нейтрофилов или лизосом моноцитов ведет к связыванию этих антигенов с эндотелием сосудов и образованию иммунных комплексов in situ (ANCA + PR-3 или MPO). В пользу этой гипотезы - малое количество депозитов иммуноглобулинов и комплемента в сосудистой стенке. Б. ANCA могут усиливать апоптоз нейтрофилов, вызывая их вторичный некроз, что в итоге ведет к повреждению эндотелиоцитов. Кроме того, циркулирующие ANCA способны активировать эндотелиальные клетки, что сопровождается экспрессией хемоаттрактанта нейтрофилов интерлейкина-8, а также селектина-Е и интерлейкина-6.
ANCA-ассоциированные васкулиты Для уменьшения случаев ложноположительных результатов в определении ANCA следует использовать одновременно иммунофлуоресцентный и иммуноферментный методы. Иммуноферментный метод применяется для подтверждения специфичности антигенов мишеней ANCA - пpотеиназы 3 (PR-3), миелопеpоксидазы (MPO) и некоторых других (катепсин, лактофеppин, лизоцим, эластаза лейкоцитов человека и бактерицидный, повышающий проницаемость протеин). Обнаружение ANCA необходимо, но отнюдь не всегда достаточно для диагноза ANCA-ассоциированного васкулита. В большинстве случаев наряду с клиническими данными в постановке диагноза любого из известных васкулитов необходимыми являются дальнейшие исследования, в том числе серологические и гистологические.
ВАСКУЛИТЫ СОСУДОВ СРЕДНЕГО И МЕЛКОГО КАЛИБРА, АССОЦИИРОВАННЫЕ С ANCA Гранулематоз Вегенера Гранулематозное воспаление, включающее респираторный тракт и некротизирующий васкулит сосудов мелкого и среднего калибра (капилляры, венулы, артериолы, артерии). У многих больных – некротизирующий гломерулонефрит. Микроскопический полиангиит Некротизирующий васкулит мелких сосудов (капилляры, венулы, артериолы) без иммунных депозитов. Может быть и некротизирующий артериит артерий малого и среднего калибра. Некротизирующий гломерулонефрит у большинства больных. Часто повреждаются Синдром легочные капилляры. Churg- Strauss Гранулематозное с инфильтрацией эозинофилами воспаление респираторного тракта, некротизирующий васкулит сосудов мелкого и
С-ANCA ВЫСОКОСПЕЦИФИЧНЫ ДЛЯ ГРАНУЛЕМАТОЗА ВЕГЕНЕРА (>95%)
ЭКЗОГЕННЫЕ ФАКТОРЫ, КОТОРЫЕ ЗАМЕЧЕНЫ В ВОЗНИКНОВЕНИИ ВАСКУЛИТА МЕЛКИХ СОСУДОВ силикон хлорированные углеводороды лекарства инфекции
ГРАНУЛЕМАТОЗ ВЕГЕНЕРА
Гранулематоз Вегенера p 1931 – Klinger H. описал больного узелковым периартериитом с клиникой гранулематоза Вегенера p 1939 – Friedrich Wegener – скурупулезное описание больного с риногенным гранулематозом, системным поражением артерий и почек p 1954 – Godman и Churg выделили в отдельный синдром триаду гранулематоза Вегенера: n n некротизирующее воспаление респираторного тракта n p системный некротизирующий ангиит некротизирующий гломерулонефрит Позже были распознаны случаи с локальными проявлениями болезни, в частности, без гломерулонефрита (Carrington, Liebow, 1966)
Wegener Friedrich German pathologist, 19071990.
Этиология и патогенез гранулематоза Вегенера неизвестны p Роль генетических факторов не установлена. p Среди факторов внешней среды, замеченных в связи с гранулематозом Вегенера - ингалянты (особенно дым и кремниевая пыль), лекарства и инфекционные агенты. Предполагают, что патологические агенты проникают через респираторный тракт и вызывают воспалительный ответ, распространяющийся на другие органы. p Один из факторов риска развития гранулематоза Вегенера - хроническая стафилококковая инфекция Вегенера. Суперантигены золотистого стафилококка способны активировать аутореактивные клоны Т-клеток, а его кислой фосфатазе приписывают роль антигена, имплантируемого на гломерулярные капилляры. p Косвенный признак инфекционной этиологии заболевания - образование гранулем, а также нередкий эффект лечения триметопримом/сульфаметоксазолом. p В механизмах развития болезни важную роль придают нарушениям иммунного ответа, механизмам гиперчувствительности. Имеется тесная связь между ГВ и PR-3 ANCA.
Морфология и механизмы повреждения сосудов при гранулематозе Вегенера p Васкулит при ГВ проявляется очаговым фибриноидным некрозом сосудистой стенки, нейтрофильной и моноцитарной инфильтрацией и лейкоцитоклазией. Иммунные депозиты не обнаруживаются. p При воспалении лейкоциты мигрируют через сосудистую стенку к очагу воспаления. Этот процесс не сопровождается некрозом. ANCA, причины образования которых неясны, приписывают роль активации микроваскулярной адгезии лейкоцитов и высвобождению повреждающих факторов (цитокинов и хемокинов). p Обсуждается роль апоптоза в патогенезе заболевания - антигены-мишени ANCA находят на поверхности подвергающихся апоптозу полиморфноядерных нейтрофилов. Фагоцитоз их макрофагами ведет к нарушению продукции провоспалительных медиаторов.
ДИАГНОСТИЧЕСКИЕ КРИТЕРИИ ГРАНУЛЕМАТОЗА ВЕГЕНЕРА q Воспаление полости носа или рта: гнойные или кровянистые выделения из носа, болезненные или безболезненные изъязвления в полости рта q Изменения в легких на рентгенограмме: узелковые изменения или постоянные легочные инфильтраты с образованием полостей q Нефритический осадок мочи: > 5 эритроцитов в поле зрения, эритроцитарные цилиндры q Биоптат: гранулематозно-воспалительные изменения стенки артерий, пери- или экстраваскулярных тканей Наличие минимум 2 из 4 критериев свидетельствует о вероятном гранулематозе Вегенера The American College of Rheumatology
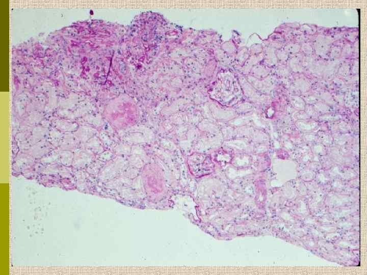
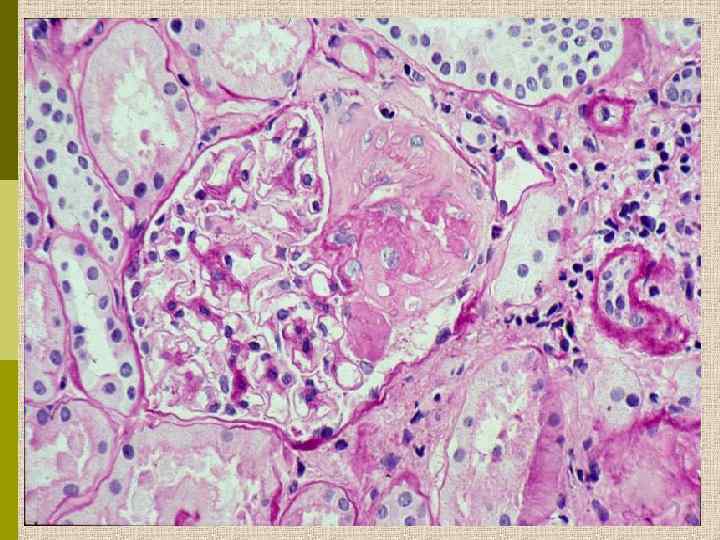
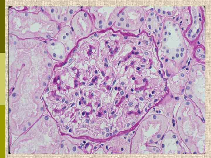
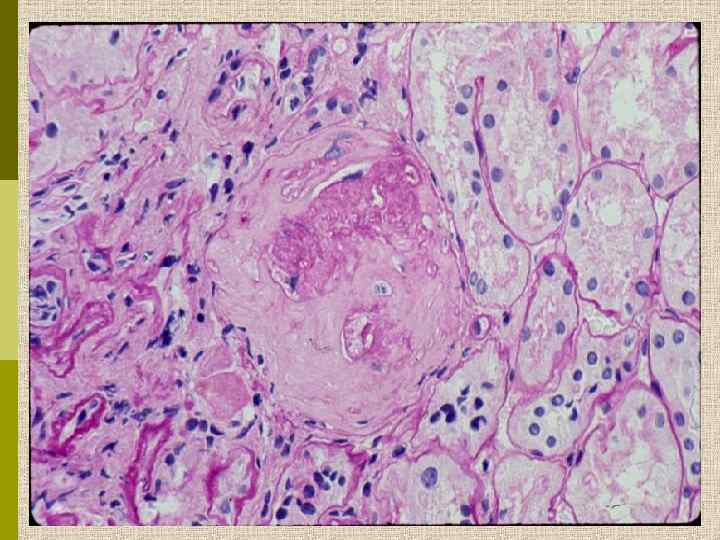
Некротизирующий гломерулонефрит
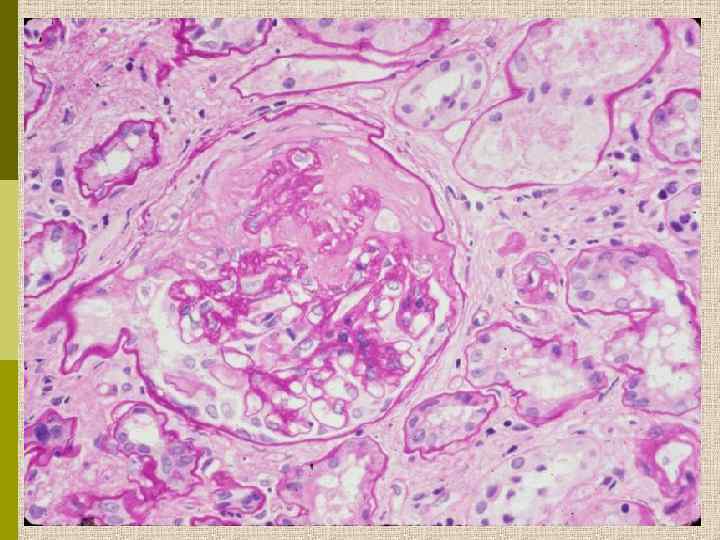
Клинический случай ГРАНУЛЕМАТОЗ ВЕГЕНЕРА Некротизирующий грануломатозный васкулит ветви почечной артерии. C-
МИКРОСКОПИЧЕСКИЙ ПОЛИАНГИИТ Боровой С. Г. , 2009
Исторические аспекты микроскопического полиангиита 1920 - первые описания больных с клинической картиной болезни, которую сегодня называют микроскопическим полиангиитом конец 1940 -х гг. - отделение микроскопического полиангиита из группы узелкового полиартериита. Употреблялись термины "микроскопический узелковый полиартериит", "гиперчувствительный васкулит". И сегодня нередко применяют термин "микроскопический полиартериит". 1994 - Сhapel Hill Consensus Conference определила микроскопический полиангиит как отдельное состояние, отделив от узелкового полиартериита, гранулематоза Вегенера, болезни Чарга. Строс, кожного лейкоцитокластического васкулита и др. Основная трудность определения микроскопического полиангиита (как и других васкулитов) как нозологической единицы - наличие перекрестных синдромов
Морфология микроскопического васкулита Фибриноидный некроз Воспалительный инфильтрат с разрушением сосуда в мышечной ткани
Клинические проявления микроскопического полиангиита Спектр повреждения при микроскопическом полиангиите необычайно широк - почки, нервная система, кожа, легкие и др. Многие больные жалуются на миалгии и артралгии. Встречаются и артриты, увеиты/эписклериты и пр. Пять основных клинических проявлений: Гломерулонефрит (80% больных) Похудание (>70%) Кожные изменения (>60%) Неврологические нарушения - периферические, реже церебральные (60%) Лихорадка (55%)
Клинический случай микроскопического полиангиита с поражением почек Больная 56 лет с трехлетним анамнезом артралгий, пальпируемой кожной пурпуры и биопсией доказанным лейкоцитокластическим васкулитом, железодефицитной анемией, персистирующей микрогематурией и почечной недостаточностью. Креатинин крови 0, 145 ммоль/л; CКФ 47 мл/мин. В анализе мочи: эритроцитов 15 -20 в п. зр. , эритроцитарные цилиндры. Потеря белка с мочой - 2, 3 г/сут. Серологические тесты в отношении СКВ, ревматоидного артрита, а также криоглобулинов отрицательны, р. ANCA (+++).
Эритроцитарный цилиндр в осадке мочи больной микроскопическим полиангиитом
Заключительный морфологический диагноз Фокальный сегментарный гломерулосклероз как исход ANCA-ассоциированного неиммунного очагового пролиферативного/ некротизирующего гломерулонефрита с полулуниями
Кожные симптомы у больной микроскопическим полиангиитом
Неврологические симптомы у больной микроскопическим полиангиитом Атрофия мышц левой кисти
Легочные симптомы при микроскопическом полиангиите Атрофия мышц правой кисти Альвеолярная геморрагия правого легкого
Глазные симптомы при микроскопическом полиангиите
Лечение больных микроскопическим полиангиитом А. Индукция ремиссии Преднизолон + циклофосфамид (4 -6 мес. ) Б. Поддержание ремиссии Азатиоприн (? ) Метотрексат. . . Как долго? В. Профилактика инфекций Пневмония, вызванная Pneumocystis carinii Бисептол (? ), диафенилсульфон - Дапсон-100 (? ) Г. Профилактика остеопороза, симптоматическая терапия. . .
СИНДРОМ ЧАРГА-СТРОС Боровой С. Г. , 2009
Dr. Churg spent more than 50 years at Mount Sinai and completed more than 300 publications during his career. He is best known for his collaborative work with Dr. Lotte Strauss in studying allergic granulomatosis (Churg-Strauss syndrome). Dr. Churg also made significant discoveries in the field of renal pathology. He introduced thin sectioning of renal specimens and special stains to study the intricate alterations of the diseased glomerulus and applied new techniques for the preparation and examination of renal biopsy tissue in electron microscopy. Collaborating with Dr. Irving Selikoff and Dr. E. Cuyler Hammond, he performed the pathologic studies on asbestos-related diseases that linked asbestos exposure and smoking to lung neoplasia and the development of mesothelioma. In 1941 she came to The Mount Sinai Hospital, where Paul Klemperer was Pathologist-in-Chief. He was a major influence on her life and encouraged her to concentrate on pediatric pathology. Dr. Strauss is generally regarded as the founder of the specialty. In 1953 a pediatric pathology service was established specially for her at The Mount Sinai Hospital. She was one of the pioneers in pediatric and perinatal pathology and one of the founders of the Society for Pediatric Pathology. She collaborated with Dr. Churg in studying allergic granulomatosis (Churg-Strauss syndrome). Her particular field of interest was the ultra structure of the placenta in different fetal disease conditions, as well as intrauterine infections, and vascular diseases. She published almost 100 scientific articles and introduced a large number of young pathologists to the discipline.
p 1951 – Churg и Strauss описали 13 больных с астмой, эозинофилией, гранулематозным воспалением, системным некротизирующим васкулитом и некротизирующим гломерулонефритом – редкий вариант васкулита с часто предшествующей бронхиальной астмой. Jacob Churg – американский патолог, родился 16. 07. 1910 в Dolhinow (сейчас это в Польше). Lotte Strauss (1913 – 1985) – американский патолог (родилась в Нюрнберге 15. 04. 1913 – 04. 07. 1985).
Диагностические критерии синдрома Чарга-Строс (Churg-Strauss) (ACR, 1990) q Астматические жалобы в анамнезе или диффузные мелкопузырчатые экспираторные хрипы над легкими q Эозинофилия более 10% при подсчете лейкоцитов крови q Мононевропатия, мононеврит множественный или полиневропатия, ассоциированная с системным васкулитом q Выявляемые при рентгенологическом иследовании мигрирующие или преходящие легочные инфильтраты, ассоциированные с системным васкулитом q Острый или хронический рецидивирующий синусит придаточных полостей носа, рентгенологические признаки хронического синусита q Признаки васкулита в биоптате с выявлением эозинофильной инфильтрации во внесосудистой ткани Наличие 4 критериев из 6 – вероятный синдром Чарга-Строс Masi et al. , Arthritis Rheum. , 1990, 33, 1094
Васкулит и эозинофильная инфильтрация при синдроме Churg-Strauss. Фибриноидный некроз интимы небольшой артерии и mural инфильтрация гистиоцитами с некротизирующим гранулематозным васкулитом. Выраженная внесосудистая эозинофилия.
ЦЕЛЕВЫЕ УСТАНОВКИ В ЛЕЧЕНИИ ВАСКУЛИТОВ p Индукция ремиссии p Поддержание ремиссии p Профилактика обострений
ЛЕЧЕНИЕ ВАСКУЛИТОВ p Без лечения первичные системные васкулиты (гранулематоз Вегенера, синдром Чарга-Стросс, микроскопический полиангиит и узелковый полиартериит) быстро прогрессируют, 5 -летняя выживаемость составляет около 10%. Frohnert PP, Sheps SG. Long term follow up of periarteritis nodosa. Am J Med 1967; 43: 8– 14. p Введение в 1970 -х гг. в практику преднизолона и циклофосфамида кардинально изменило течение васкулитов. p Кортикостероиды увеличили 5 -летнюю выживаемость больных васкулитами до 55%, а комбинированная терапия с циклофосфамидом – до 82%. Fauci AS, Haynes BF, Katz P et al. Wegener's granulomatosis: prospective clinical and therapeutic experience with 85 patients for 21 years. Ann Intern Med 1983; 98: 76– 85.
ЛЕЧЕНИЕ ВАСКУЛИТОВ p p Сегодня более 80% больных гранулематозом Вегенера и классическим узелковым живут более 5 лет, а 75% больных гранулематозом Вегенера живут более 10 лет. При микроскопическим полиангиите выживаемость 5 -летняя выживаемость составляет 50– 80%. Обострения возникают у большинства больных, и не только после отмены терапии, но и на фоне снижения ее интенсивности. Клиника обострения нередко отличается от первоначальной картины! Лечение больных васкулитами увеличивает их выживаемость, но не снижает частоту обострений. Летальность снижается после 4 лет активного течения васкулита. Gordon M, Luqmani RA, Adu D et al. Relapses in patients with systemic vasculitis. Q J Med 1993; 86: 779– 89.
ЛЕЧЕНИЕ ВАСКУЛИТОВ p Отдаленная летальность больных определяется не только васкулитом. Прибавляются болезни возраста и побочные эффекты терапии. p Основное направление современных исследований: какие схемы применения лекарственных средств в дозах, меньших по сравнению с традиционными, эффективны в части вызывания ремиссии болезни и ее поддержания.
ЛЕЧЕНИЕ ANCA-АССОЦИИРОВАННЫХ ВАСКУЛИТОВ Стандартная терапия ANCA-ассоциированных гломерулонефрита и васкулита состоит в длительном пероральном приеме циклофосфамиде и кортикостероидах При отсутствии жизненноопасной болезни и при хорошей функцией почек могут применяться метотрексат и оральные кортикостероиды Из-за токсичности применяемой терапии и высокой частоты обострений нужно изучать новые протоколы
ЛЕЧЕНИЕ ANCA-АССОЦИИРОВАННЫХ ВАСКУЛИТОВ С ПОРАЖЕНИЕМ ПОЧЕК p Без лечения лишь отдельные больные живут более одного года. p Современные методы лечения обеспечивают более чем 80% выживаемость к концу первого года болезни. Наибольшую летальность обеспечивают легочные геморрагии. p Лечение различно в зависимости от стадии болезни: n n n индукция ремиссии поддержание ремиссии лечение обострения
ЛЕЧЕНИЕ ANCA-АССОЦИИРОВАННЫХ ВАСКУЛИТОВ С ПОРАЖЕНИЕМ ПОЧЕК ИНДУКЦИЯ РЕМИССИИ: комбинированная терапия большими дозами кортикостероидов и циклофосфамида вызывает ремиссию более чем у 90% больных q преднизолон 1 мг/кг/сут (не более 80 мг) со снижением до 10 мг/сут к 3 мес. q циклофосфамид per os 2 мг/кг/сут в течение 3 мес. , L>4000 мм 3 q циклофосфамид эффективнее азатиоприна (данные CYCAZAREM, 1997) q в/в пульсы ЦФ имеют меньшую кумулятивную дозу и меньше побочных эффектов, но неясно, выше ли их эффективность q если креатинин плазмы >0, 5 ммоль/л, дополнительно применяют пульсы метилпреднизолона 15 мг/кг (max 1 г) № 3 или плазмообмен по 3 л № 7 q эффективность в/в иммуноглобулина пока неясна
ЛЕЧЕНИЕ ANCA-АССОЦИИРОВАННЫХ ВАСКУЛИТОВ С ПОРАЖЕНИЕМ ПОЧЕК ПОДДЕРЖАНИЕ РЕМИССИИ n баланс между риском обострения (от 25% до 50% в первые 3 - 5 лет) и токсичностью медикаментозной терапии n один из подходов: через 3 -6 мес. заменить ЦФ на азатиоприн, дозу преднизолона снизить до малой или отменить (Savage et al. , 1997) n альтернатива азатиоприну - метотрексат 7, 5 -15 мг/нед. (при креатинине плазмы <2 мг%, Snelleret al. , 1995) или микофенолат мофетил (Nowacket al. , 1999) n неясно, снижает ли риск обострения прием азатиоприна в течение 18 - 24 мес. n возможен положительный эффект триметопримасульфаметоксазола
ЛЕЧЕНИЕ ANCA-АССОЦИИРОВАННЫХ ВАСКУЛИТОВ С ПОРАЖЕНИЕМ ПОЧЕК ЛЕЧЕНИЕ ОБОСТРЕНИЯ n n n более подвержены обострению больные с появлением или постоянным нарастанием ANCA в циркуляции эффект от терапии наблюдается только в том случае, если симптомы болезни обусловлены действительно обострением болезни тактика и объем лечения зависят от тяжести обострения и времени его развития относительно начала болезни и ранее проводимой терапии p При терминальной ХПН возможна трансплантация почки даже при наличии ANCA в циркуляции. Обострения редки и хорошо купируются циклофосфамидом.
ЧАСТОТА СЕРЬЕЗНЫХ ПОБОЧНЫХ ЭФФЕКТОВ ПРИ ЦИТОСТАТИЧЕСКОЙ ТЕРАПИИ ANCA-АССОЦИИРОВАННЫХ ВАСКУЛИТОВ FIG. 1. Frequency of severe and life-threatening adverse effects in the CYCAZAREM trial [34].
ДИНАМИКА ТИТРА ANCA У БОЛЬНОГО МИКРОСКОПИЧЕСКИМ ПОЛИАНГИИТОМ Обострение Дни болезни (C. Savage, KI, 60, 614, 2001)
ВАРИАНТЫ НЕИНФЕКЦИОННОГО ВАСКУЛИТА p ВАСКУЛИТЫ КРУПНЫХ СОСУДОВ n n p p ВАСКУЛИТЫ МЕЛКИХ СОСУДОВ n n Гигантоклеточный артериит Артериит Такаясу ВАСКУЛИТЫ СОСУДОВ СРЕДНЕГО РАЗМЕРА n n n Узелковый полиартериит Болезнь Кавасаки Первичный гранулематозный васкулит ЦНС n n АССОЦИИРОВАННЫЙ С ANCA p Микроскопический полиангиит p Гранулематоз Вегенера p Синдром Чарга-Строс p Лекарственный ИММУНОКОМПЛЕКСНЫЙ p Пурпура Шенлейна-Геноха p Криоглобулинемический p Волчаночный васкулит p Ревматоидный васкулит p При синдроме Шегрена p Гипокомплементемический уртикарный p Болезнь Бехчета p Синдром Гудпасчера p При сывороточной болезни p Лекарственный p Индуцированный инфекцией ПАРАНЕОПЛАСТИЧЕСКИЙ p при миело- и лимфопролиферативных болезнях При воспалительных заболеваниях кишечника
2011 Васкулиты 128 сл.ppt