Черпанова Ф.Г..pptx
- Количество слайдов: 23
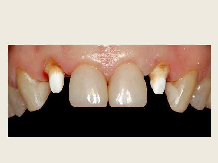
Штифт или вкладка: что лучше выбрать под зубную коронку?
В настоящее время в зубоврачебной практике используются разные виды для восстановления целостности зубного ряда. Если ткани зуба сильно разрушены, во многих случаях отсутствуют условия для того, чтобы полноценно зафиксировать протезы. Именно для этого применяются различные армирующие конструкции. Такие приспособления одной частью фиксируются в корневой системе разрушенного элемента, вторая часть является опорой для коронок. К таким устройствам относят анкерные и стекловолоконные штифты, а также культевые вкладки. Выбирая, что лучше под коронку штифт или вкладка, следует разобраться с особенностями и преимуществами каждого изделия.
В стоматологической практике применяется большое количество различных штифтов, они отличаются по таким параметрам: • материал, из которого изготавливаются. В производстве устройств применяются изделия из титана, стали, латуни, стекловолокна; • метод крепления: устройства с активной острой резьбой, наподобие саморезов, пассивные — гладкая или ступенчатая поверхность, средние — тупая гладкая резьба; • форма — цилиндрические и конусные.
Положительные и отрицательные стороны применения штифта
Внутрикорневые армирующие средства в зубоврачебной практике используются давно. Чаще всего применяются титановые конструкции, которые внедряются в корневую часть зуба, их главной задачей является укрепление разрушенной единицы и пломбы. Но по мнению многих специалистов такой штифт под коронку приносит и вред, поскольку под такое изделие необходимо сильное расширения корневого канала, при этом приходится жертвовать механической прочностью корневой системы.
Нередко лечение с помощью такой конструкции влечет за собой перелом корневой части элемента, в таком случае понадобится полное удаление элемента. А удаление таких единиц является сложным и проблемным для многих специалистов.
Намного лучше зарекомендовала себя зубная конструкция на штифте из стекловолокна. Такое изделие обладает повышенной пластичностью, по своим характеристикам напоминают естественный дентин. Также такой материал, как стекловолокноа, намного лучше может соединяться с пломбировочными веществами. Стекловолоконная коронка штифт чаще всего используется для реставрации сильно разрушенных передних единиц, на которые не оказывается повышенная нагрузка во время выполнения жевательной функции.
К положительным сторонам применения штифта относят: • Отсутствие необходимости препарирования большого количества дентина. • Низкая стоимость по сравнению с вкладками. • Лечение может быть проведено за одно посещение стоматолога.
К недостаткам таких приспособлений относят: • Отсутствие химической связки между корнем и коронкой, поэтому эти элементы легко разъединяются. • Если изделие установлено некачественно, либо осуществляется слишком высокая жевательная нагрузка на стержень, может деформироваться корневая система, а окружающие ткани омертвляются. • В процессе вворачивания стержня имеется повышенный риск повреждения костных тканей.
Что являют собой культевые вкладки? Что являют собой культевые вкладки
Культевая вставка состоит из штифта и недостающей части зуба, которые изготавливаются в каждом конкретном случае индивидуально, их отливают из металла. Как делают такие модели? Участок, в который ставят вкладки, подготавливается таким же способом, как и для штифта. После чего специалист заполняет с помощью специальных веществ (чаще всего это беззольная пластмасса) полость, имитируя недостающие ткани. После того как масса затвердевает, ее снимают и передают в зуботехническую лабораторию.
Далее проводится отливка по пластмассовому шаблону изделия из металла. В производстве устройств применяют хромокобальтовые и хромоникелевые сплавы, а также сплавы из драгметаллов. После изготовления вкладки, ее передают в кабинет стоматолога, после чего устанавливают выбранную и изготовленную коронку на зуб.
Классификация вкладок Коронка на зуб может быть поставлена на такие разновидности вставок: • неразборные изделия. Их можно сделать на однокорневую единицу, состоят из одной части; • разборные устройства. Можно изготовить на двух и трехкорневые единицы. Состоят из основной части и нескольких запирающих штифтов; • приспособление на основе диоксида циркония. Чтобы ставить коронку на фронтальную группу, применяется безметалловая керамика. Такой материал обладает повышенной прозрачностью, которая аналогична натуральному дентину.
Что лучше? Что лучше использовать для реставрации зубного ряда — вкладку или штифт? Выбирать среди таких приспособлений бессмысленно, поскольку каждое из них имеет определенные преимущества и недостатки. Поэтому выбор за стоматологом. Но существуют определенные условия, которые являются общими и для вкладок, и для штифтов.
• Оба устройства вставляют только в предварительно депульпированную единицу (проводится удаление нерва и пломбируются каналы). • Очень важно хорошо вылечить каналы, чтобы специалист поставил устройство качественно (такая процедура позволит минимизировать опасность рецидива хронического периодонтита, при котором можно потерять зуб). • Для подготовки ложа под оба изделия применяются одинаковые инструменты и техники.
Если сравнивать зуб со штифтом или со вкладкой, последний вариант имеет больше положительных сторон использования. Изготовление их выполняется непрямым методом, в зуботехнической лаборатории по предварительно изготовленному шаблону. Результатом становится прочное изделие, с помощью которого можно отреставрировать и фронтальную, и жевательную группу. Такое устройство проигрывает штифту только в длительном сроке изготовления и в сложной установке.
К положительным свойствам использования культевых вкладок относят: • Прочность используемых материалов позволяет предупредить поломку или сколы в дальнейшем (чтобы коронка не вылетела при повышенных жевательных нагрузках). • Равномерное распределение нагрузки во время выполнения жевательной функции. • Отсутствует компрессия на корневую систему.
К отрицательным свойствам устройств относят: • Отсутствие возможности лечения за одно посещение специалиста. • Требуется препарировать больше тканей. • Высокая стоимость, которая доступна не для каждого пациента.
Что делать, в каждом конкретном случае решает специалист. Можно подытожить, что культевая вкладка является более надежным, прочным, долговечным и эстетичным устройством, которое устанавливается для дальнейшего протезирования. Даже несмотря на высокую стоимость, можно рассчитывать на длительный срок службы такого приспособления, в то время, как штифты нуждаются в коррекции.
Спасибо за внимание, коллеги
Черпанова Ф.Г..pptx