Скачать презентацию Сердечно-сосудистая система Капилляры артериолы венулы сосуды Скачать презентацию Сердечно-сосудистая система Капилляры артериолы венулы сосуды

сердсос.лаб_стомат.ppt

  • Количество слайдов: 24

Сердечно-сосудистая система Сердечно-сосудистая система

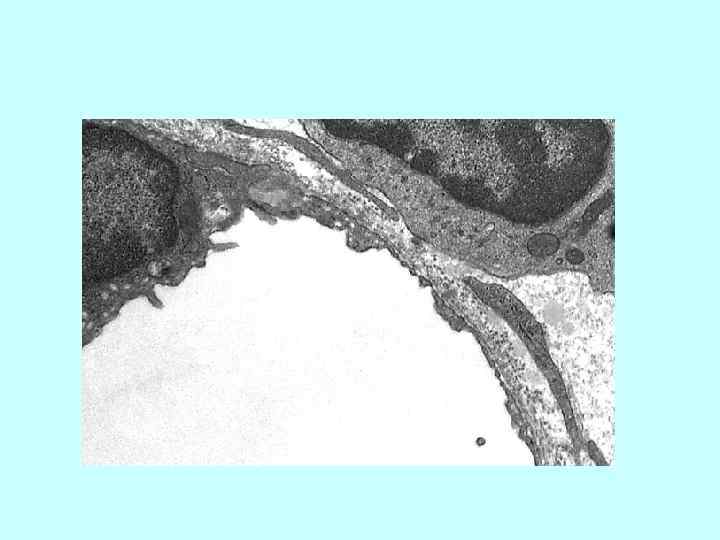
Капилляры, артериолы, венулы – сосуды мягкой мозговой оболочки. Окр. гем. -эозин. Тотальный препарат Капилляры, артериолы, венулы – сосуды мягкой мозговой оболочки. Окр. гем. -эозин. Тотальный препарат

Артерия мышечного типа Артерия мышечного типа

Сосудистый пучок. Мышечная артерия и мышечная вена. Сосудистый пучок. Мышечная артерия и мышечная вена.

Мышечные артерии и вены Мышечные артерии и вены

Бедренная артерия кошки 1. внутренняя оболочка (tunica interna) 1. 1. эндотелий; 1. 2. субэндотелиальный Бедренная артерия кошки 1. внутренняя оболочка (tunica interna) 1. 1. эндотелий; 1. 2. субэндотелиальный слой; 1. 3. внутренняя эластическая мембрана 2. средняя оболочка (tunica media), и в ней: • 2. 1. гладкие миоциты; • 2. 2 эластические волокна 3. наружная оболочка (tunica externa), и в ней; • наружная эластическая мембрана • 3. 2 сосуды сосудов (vasa vasorum)

ВЕНА МЫШЕЧНОГО ТИПА. Поперечный срез бедренной вены кошки. Окр. Г. -Э. • Просвет вены ВЕНА МЫШЕЧНОГО ТИПА. Поперечный срез бедренной вены кошки. Окр. Г. -Э. • Просвет вены обычно спавшийся из-за более слабого развития средней оболочки. Внутренняя оболочка состоит из уплощенного эндотелия и очень тонкого субэндотелиального слоя. Средняя оболочка относительно тонкая и образована 3 -4 слоями гладких миоцитов. Наружная оболочка с сосудами сосудов наиболее развита. ЗАРИСОВАТЬ и ОБОЗНАЧИТЬ: 1. внутренняя оболочка эндотелий; субэндотелиальный слой; 2. средняя оболочка 3. наружная оболочка • сосуды сосудов

АРТЕРИЯ ЭЛАСТИЧЕСКОГО ТИПА – АОРТА. Окр. Г. -Э. 1. внутренняя оболочка и в ней АРТЕРИЯ ЭЛАСТИЧЕСКОГО ТИПА – АОРТА. Окр. Г. -Э. 1. внутренняя оболочка и в ней • 1. 1. эндотелий; • 1. 2. субэндотелиальный слой; 2. средняя оболочка и в ней: • 2. 1. окончатые эластические мембраны (membrana elastica fenestrata) • 2. 2 гладкие мышечные клетки 3. наружная оболочка и в ней: • 3. 2. сосуды сосуда

Аорта Аорта

Нижняя полая вена 1. Внутренняя оболочка: • Эндотелий • Подэндотелиальный слой с отдельными ГМК Нижняя полая вена 1. Внутренняя оболочка: • Эндотелий • Подэндотелиальный слой с отдельными ГМК (продольно); 2. Средняя оболочка – пучки ГМК (циркулярно) 3. Наружная оболочка – мощные пучки ГМК (продольно)

Проводящие миоциты в желудочке сердца Эндокард и в нём: • эндотелий; • субэндотелиальный слой; Проводящие миоциты в желудочке сердца Эндокард и в нём: • эндотелий; • субэндотелиальный слой; • мышечно-эластический слой; • субэндокардиальная основа Миокард: • проводящие миоциты; • рабочие миоциты.

Проводящие кардиомиоциты Проводящие кардиомиоциты

Артерия мышечного типа Артерия мышечного типа