Sepsis_4_kurs.ppt
- Количество слайдов: 67
Сепсис в акушерстве и гинекологии.
СЕПСИС – неспецифическое инфекционное заболевание, характеризующееся синдромом системного ответа на воспаление, возникающим в условиях постоянного или периодического поступления из очага инфекции в циркулирующую кровь микроорганизмов и их токсинов, и приводящим к развитию инфекционной ПОН вследствие неспособности иммунных сил организма к локализации инфекции.
Патоморфологическ ое исследование препарата: гнойно-некротический эндометрит – 50%, метротромбофлебит 50%. В сосудах миометрия нижней трети организовавшиеся тромбы
Апостематозный нефрит, карбункул, абсцесс почки.
По частоте встречаемости микроорганизмов при ГВЗ в гинекологии Аэробы Гр-: кишечная палочка, энтеробактерии, клебсиела, протей, псевдомонады. Аэробы Гр+: энтерококк, стрептококк, стафилококки. Анаэробы Гр-: бактероиды, превотеллы, фузобактерии. Анаэробы Гр+: клостридии, пептококки, пептострептококки.
Септический каскад Интерлейкины IL-1, IL-6, IL-8 Фактор некроза опухоли TNF Медиаторы воспаления (цитокины, комплемент, простогландины, тромбоксаны, оксид азота и др. Противовоспалительные медиаторы (IL-4, IL-10, IL-13, трансформирующий Фактор роста) эндотоксин инфекция Полиорганная недостаточность Повреждение Эндотелия, Воспаление в органах-мишенях
Основными точками приложения эндотоксинов в организме являются эндотелий капилляров клетки иммунной системы
При сепсисе происходит генерализованное повреждение эндотелия, приводящее в финале к полиорганной недостаточности.
Повреждающие эффекты PAF (platelet activating factor) ПОН в 80 -90% на фоне РДС. Ian Horkheimer and Daniel P Schuster The Role of Platelet-Activating Factor in Sepsis: A Bench-to-Bedside Review ADVANCES IN SEPSIS Vol 2 No 1 2002
Септический шок кризис микроциркуляции, приводящий к нарушению перфузии оксигенированной кровью, что ведет к нарушению метаболических процессов, энергообразования и выделения продуктов метаболизма и сопровождается нарушением функции органов.
Систолическая дисфункция миокарда и капиллярная утечка при септическом шоке
Кардиомегалия у больного при тяжелом сепсисе
Характеристика показателей кровообращения в различные стадии септического шока Ранняя стадия (гипердинамическая) – «теплый» шок Высокий СВ (тахикардия) Низкое ОПСС (открытие а-в шунтов и вазодилятация вен) • • Поздняя стадия (гиподинамическая) – «холодный» шок Снижен СВ (¯ сократ. способн. миокарда) • Повышено ОПСС (централизация к/о и вазоконстрикция) • Терминальная стадия Синдром малого выброса • Гипопефузия • Артериальная гипотензия • Hess ML, Nastillo A, Greenfield LJ Spectrum of cardiovascular function during gram-negative sepsis. Prog Cardiovasc Dis 1981; 4: 279 -298
Дефиниции ACCP/SCCM Согласительной конференции (Американской коллегии врачей и общества критической медицины) SIRS: Systemic Inflammatory response syndrome Синдром системной воспалительной реакции - системная реакция организма на воздействие различных сильных раздражителей (инфекция, травма, операция) Характеризуется двумя или более из следующих признаков: - температура тела і 38° или Ј 36° - частота сердечных сокращений і 90/мин - частота дыханий > 20/мин или Ра. СО 2 Ј 32 мм рт. ст. - лейкоциты крови >12 000/мм 3 или <4 000/мм 3 или незрелых форм >10%
Дефиниции ACCP/SCCM Согласительной конференции Сепсис – синдром системной воспалительной реакции на инвазию микроорганизмов Наличие очага инфекции и двух или более признаков синдрома системного воспалительного ответа
Дефиниции ACCP/SCCM Согласительной конференции Тяжелый сепсис Сепсис, сочетающийся с органной дисфункцией, гипотензией, нарушением тканевой перфузии Проявлением последнего, в частности, является повышение концентрации лактата, олигурия, острое нарушение сознания
Дефиниции ACCP/SCCM Согласительной конференции Септический шок Сепсис с признаками тканевой и органной гипоперфузии и артериальной гипотонией, не устраняющейся с помощью инфузионной терапии и требующей назначения вазопрессоров
Диагноз «сепсис» не вызывает сомнений при сочетании 3 критериев: Наличия очага инфекционного воспаления, Присутствия синдрома системного воспалительного ответа (критерий выброса медиаторов воспаления в системную циркуляцию), Признаков органно-системной дисфункции или появления отдаленных пиемических очагов (критерий генерализации процесса).
Обобщенные критерии органной дисфункции Дисфункция системы гемостаза Коагулопатия потребления: продукты деградации фибриногена > 140: димеры > 2; протробиновый индекс < 70%; тромбоциты < 100 х 109 л; фибриноген < 2 гл Динамические изменения: снижение тромбоцитов > 50%, увеличение протромбированного времени > 20%; АПТВ > 60 с
Дисфункция Систолическое давление < 90 мм рт. ст. или сердечно-сосудистой среднее давление < 70 рт. ст. , некоррегируемое системы возмещением жидкости в течении как минимум 1 ч (кристаллоиды 20 -30 млкг за 30 мин + допамин > или = 5 мкгкгмин) Необъяснимый иными причинами ацидоз (р. Н < или = 7, 3) или дефицит оснований > или =5, 0 ммольл + более чем полутократное в сравнении с нормой повышение уровня лактата в плазме ( > 1 ммольл; с. ) Почечная дисфункция Креатинин крови > 176 мкмольл или повышение креатинина > 0, 5 мкмоль л (с. ); натрий мочи <40 ммольл; темп диуреза < 0, 5 млкг за 1 ч при адекватном восполнении ОЦК
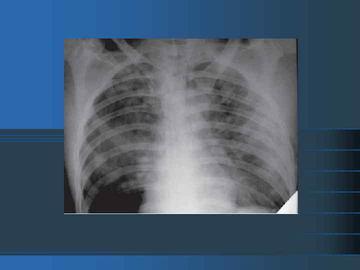
Острый РДСВ острое начало; 2) двусторонняя легочная инфильтрация (билатеральные легочные инфильтраты на рентгенограмме); 3) происхождение отёка: дыхательную недостаточность нельзя объяснить сердечной недостаточностью или перегрузкой жидкостью. 4) гипоксемия, рефрактерная к оксигенотерапии: легкая: Pa. O 2/Fi. O 2 =< 300 при ПДКВ или CPAP >= 5 см водн. ст. средней тяжести: Pa. O 2/Fi. O 2 =< 200 1) тяжелая: Pa. O 2/Fi. O 2 =< 100 Отличие СОПЛ от РДСВ в степени гипоксемии, выраженной в форме отношения Ра. О 2 Fi. O 2; при СОПЛ Ра. О 2 Fi. O 2 < 300, при РДСВ < 200 мм рт. Ст. . 1)
Рентгенологическая картина «шокового легкого» сравнивается со «снежной бурей» - мозаичная структура, состоящая из зон ателектазов и отека.
Гистопатологический препарат – острый респираторный дистресс синдром взрослых: гиалиновые мембраны помечены (Ї ); просвет альвеолы отмечен (*)
Печеночная дисфункция Билирубин крови > 70 мкмольл (с. ), увеличение АСТ, АЛТ или щелочной фосфатазы в 2 раза и более нормы Дисфункция ЦНС < 15 баллов по шкале Глазго
Динамическое наблюдение Физикальное исследование – установление источника инфекции. Стандартные общеклинические и гинекологические методы исследования; При органной дисфункции консультация анестезиологареаниматолога, профильных специалистов. контроль артериального и центрального венозного давления, частоты дыхания каждые 30 минут (особенно при шоке); измерение температуры тела (каждые 3 часа), постоянный мониторный контроль ЭКГ, частоты сердечных сокращений; рентгенологическое исследование органов грудной клетки; УЗИ органов брюшной полости, малого таза;
Посевы крови в момент госпитализации и во время ознобов, определение чувствительности микрофлоры к антибиотикам. Забор крови производится 2 -3 раза из вен верхних конечностей с интервалом 30 мин. Отрицательные результаты посевов крови не исключают сепсис. Бактериемия без клинических проявлений генерализованной инфекции расценивается как транзиторная. По частоте встречаемости микроорганизмов: Аэробы грамотрицательные: E. Coli, энтеробактерии, клебсиела, протей, псевдомонады. Грамположительные кокки: энтерококк, стрептококк, стафилококки (aureus, epidermidis). Анаэробы грамотрицательные: бактероиды, превотеллы, фузобактерии. Грамположительные: клостридии, пептококки, пептострептококки.
Динамическое наблюдение почасовой контроль диуреза, выделение микробной культуры из мочи, определение чувствительности к антибиотикам; определение электролитов сыворотки, азота, мочевины, креатинина, мочевой кислоты, газов артериальной крови, р. Н; проведение общего анализа крови с оценкой лейкоцитарной формулы, определение гематокрита, показателей красной крови (токсическая анемия); биохимические показатели функции печени (АСАТ, АЛАТ, щелочная фосфатаза), острофазовые показатели (СРБ, фибриноген). исследование показателей свёртывающей системы – количества тромбоцитов, фибриногена, растворимых комплексов мономеров фибрина (РКМФ), продуктов деградации фибрина и фибриногена (ПДФФ), антитромбина III, показателей тромбоэластограммы,
Маркёр генерализованной инфекции прокальцитонин ПКТ – предшественник гормона кальцитонина Стимуляторами выработки ПКТ являются белки оболочки бактерий, эндотоксины и TNF-a. Выработка ПКТ при сепсисе происходит в макрофагах и моноцитах, а также в нейроэндокринных клетках легких, печени, кишечника (АПУД-система). l ПКТ играет патогенную роль при сепсисе – он химический аттрактант для лейкоцитов, модулирует образование NO эндотелиальными клетками l Вирусные инфекции, местные инфекции, аллергические нарушения, аутоиммунные заболевания не приводят к заметному повышению концентрации ПКТ
Контрольные диапазоны концентраций ПКТ и интерпретация уровня ПКТ в плазме Нормальное значение: < 0, 05 нг/л Здоровый человек (возраст і 3 дней жизни) ПКТ< 0, 5 нг/л Незначительно повышенная концентрация ПКТ 0, 5 - < 2, 0 нг/л Системная воспалительная реакция достоверная, но умеренной степени. Инфекция возможна, но возможно повышение ПКТ из-за других причин (тяжелая травма, обширная операция, кардиогенный шок) ПКТ 2, 0 < 10 нг/л Тяжелая системная воспалительная реакция вероятнее всего вследствие сепсиса ПКТ выше 10 нг/л Выраженная системная воспалительная реакция практически исключительно вследствие бактериального сепсиса или септического шока Нормальный уровень ПКТ (95 % всех измерений) Отсутствие системной воспалительной реакции Незначительная или недостоверная системная воспалительная реакция. Возможны локальное воспаление или локальная инфекция При доказанной инфекции диагноз сепсиса положительный. Рекомендуется повторное исследование ПКТ через 6 – 24 часа Высокий риск развития полиорганной недостаточности. При сохраняющемся высоком уровне ПКТ провести оценку эффективности проводимой терапии. Неблагоприятное течение. Данный уровень ПКТ связан с полиорганной недостаточностью. Высокий риск летального исхода.
Септический шок может развиться при обострении гнойного процесса, в любое время у больных с сепсисом или в момент хирургического вмешательства, когда появляется возможность массивного проникновения возбудителя и его токсинов в кровоток. С. Ш. - это, прежде всего гемодинамическая катастрофа. 1 фаза — тёплой нормотонии Септический шок проявляется вначале бурной гипертермической реакцией с ознобом, гиперемией кожи, тахикардией и стабильным артериальным давлением. Эта фаза относительного благополучия, когда тёплые кожные покровы сочетаются с нормальными показаниями АД. Может отмечаться умеренная артериальная гипертензия, причина которой – гиперкатехоламинемия, возникающая как компенсаторная реакция в связи с начинающейся гиповолемией. Одним из ранних признаков шока является тахипноэ и респираторный алкалоз (РСО 2 < 30 мм рт. ст. ).
2 фаза – тёплая гипотония Теплая гипотония является первым свидетельством декомпенсации. Периферическое сопротивление сосудов снижено, кожные покровы тёплые, АД снижается. Сердечный выброс снижается в связи с периферической вазодилятацией, уменьшением постнагрузки и развитием относительной гиповолемии (не соответствие ОЦК, сосудистому объёму). ЦВД уменьшается на 85% и может быть отрицательным. Минутный и ударный объем крови, сердечный и ударный индексы снижаются на 20 -25%. ОЦК уменьшается на 15 -
3 фаза – холодная гипотония Периферическая вазоконстрикция проявляется холодной гипотонией, которая, приводит к необратимому шоку. Увеличивается ОПСС и снижается сердечный выброс, ЦВД увеличивается в 2 раза. Минутный объем крови (МОК), ударный объем снижаются на 40 -60%, ОПСС увеличивается до 3000 динсмс-5 и выше или уменьшается до 500 динсмс-5. ОЦК снижается более, чем на 20%, объем внеклеточной жидкости увеличивается до 18 -20 литров и выше. Периферическая вазоконстрикция – это отчаянная попытка ауторегуляции сохранить функцию сердца на приемлемом уровне, но если это удаётся, то на очень короткое время. В итоге развивается: синдром малого выброса, гипоперфузия, артериальная гипотензия.
Клиника септического шока Первые проявления шока: озноб, сопровождающийся гипертермией до 39– 40°С с последующим снижением температуры тела до субнормальной или нормальной. АД – норма. · С первых часов заболевания отмечается частый, ритмичный пульс, одышка до 40 дд/мин, в лёгких выслушиваются влажные хрипы. · Парастезии, сильные мышечные боли. · Изменение психики: возбуждение, чувство беспокойства вскоре сменяется безразличием к окружающему, некритическим отношением к своему состоянию, эйфорией. · В первые часы шока багрово–красный цвет кожи, цианоз губ, ногтевого ложа, затем кожа становится мраморно-цианотичная, холодная, влажная. · К 6– 12 ч. заболевания на коже губ, носа и других участках появляются высыпания геморрагического характера. · Артериальное давление снижается до 60/20 мм рт. ст. и менее. У отдельных больных нормальные и даже повышенные показатели артериального давления.
Септический шок Фазы шока Ранняя «теплая» Поздняя «холодная» Необратимая «финальная» до 5 – 8 ч дни - недели ? Температура тела 39 – 40ᵒС → N N Кожные покровы теплые, озноб, интенсивное потоотделение бледные, холодный липкий пот Сознание дезориентация беспокойство спутанность АД ↓ резко↓ ЦВД N ↑ тахипноэ тахикардия N олигоурия (20 -30 мл/час) Лейкоцитоз ↑СОЭ лейкопения тромбоцитопения анемия, ДВС Длительность Пульс, ЧД Диурез Анализ крови Выраженные нарушения функции органов и систем. Необратимые изменения могут наступить через 10 -12 часов
Лечение больных с тяжёлым сепсисом проводится в специализированных отделениях, располагающих всеми способами диагностики, мониторинга, лечения, в том числе методами экстракорпоральной детоксикации и операционной — это палата или отделение интенсивной терапии, реанимации. методы 1 -й ступени, эффективность которых доказана клинической практикой (инфузионная и антибактериальная терапия, респираторная поддержка, восстановление адекватной тканевой и органной перфузии, нутритивная поддержка, коррекция иммунных нарушений); методы 2 -й ступени, использование которых целесообразно с позиций патогенеза, однако их результативность не является общепризнанной или доказана лишь экспериментально ( глюкокортикоиды, ингибиторы свободных радикалов и другая антимедиаторная терапия, методы селективной деконтаминации кишечника).
Ранняя антибиотикотерапия Принципы антибактериальной терапии: Первоначальный выбор а/б зависит: - от спектра предполагаемых возбудителей в зависимости от локализации инфекции, - уровня резистентности нозокомиальных возбудителей (по данным микробиологическогомониторинга лечебного учреждения), - условия возникновения сепсиса (внебольничный, нозокомиальный), - тяжести состояния больной, учитывая признаки полиорганной недостаточности. После идентификации возбудителя, при необходимости проводят коррекцию антибактериальной терапии; Мониторинг по чуствительности возбудителя к антибиотикам со взятием материала на посев каждые 2 -3 дня; Оценка эффективности проводимой антибактериальной терапии не ранее, чем через 48 -72 часа. Следует отдавать предпочтение препаратам с наименьшей токсичностью (с учетом характера ПОН) и наименьшей способностью к повышению уровня эндотоксина в крови Курс антибиотикотерапии 7 -10 суток, при необходимости несколько курсов со сменой а/б, общая продолжительность 14 -20 дней, заканчивается через 2 -3 дня после нормализации температуры тела и лабораторных показателей. Ступенчатая терапия – постепенное снижение количества и дозы а/б.
Схемы антибактериальной терапии
Антибактериальная терапия сепсиса и септического шока ПРЕПАРАТЫ МОНОТЕРАПИЯ КОМБИНИРОВАННАЯ Карбапенемы Цефалоспорины III - IV пок. + Аминогликозиды + Метронидазол Цефоперазон/сульбактам Аминогликозиды + Метронидазол/Линкозамиды Фторхинолоны IV поколения (Авелокс) Фторхинолоны + Метронидазол/Линкозамиды
Инфузионная терапия направлена на устранение гиповолемии, расстройств сердечной деятельности, нарушений периферической гемодинамики, коррекцию водно-электролитного, кислотно-основного состояния и гемостаза, устранение анемии, гипопротеинемии. Инфузионная терапия проводится под контролем ЦВД и величины почасового диуреза, гематокрита (32 -35%). Состав инфузионной терапии, соотношение коллоидов к кристаллоидам определяется индивидуально. Коллоиды - препараты крахмала. По показаниям переливается альбумин (менее 20 г/л), СЗП (ДВС – синдроме, коагулопатии потребления), эритроцитарная масса (анемия тяжёлой степени, Нв менее 70 г/л). Препараты крови используют с большой осторожностью (с ними вводятся чужеродные белки, что усиливает медиаторный взрыв, эндотоксикоз). По мнению большинства экспертов, минимальная концентрация гемоглобина для больных с тяжелым сепсисом должна быть в пределах 90 – 100 г/л (категория доказательств С)
Алгоритм выбора адренергических средств Сердечный индекс 3, 5 - 4 л/мин/м 2 Sv. O 2 >70% Допамин или норадреналин Сердечный индекс < 3, 5 л/мин/м 2 Sv. O 2 <70% Добутамин (если САД< 70 мм рт. ст. , в комбинации с допамином или норадреналином
Методы экстракорпоральной детоксикации при сепсисе Необходимо удаление веществ с молекулярной массой от 5 ґ 103 Д до 5 ґ 104 Д
Методы детоксикации Гемофильтрация - коррекция азотемии, элиминация медиаторов воспаления, провоспалительных цитокинов (TNFa, IL-1 B, IL-6, IL-8), продуктов цитолиза. Гемодиафильтрация - более мощный метод очищения крови. Предпочтительно раннее применение высокообъемной (скорость фильтрации превышает 3, 0 -4, 0 л/ч, суточный объем достигает 100 л и более) ГФ/ГДФ у больных с септическим шоком, как единственной альтернативы коррекции генерализованного воспаления, профилактики и быстрого восстановления органных повреждений. Плазмообмен (плазмаферез и плазмафильтрация) - хорошо элиминируются С-реактивный протеин, гаптоглобин, С 3 фрагмент комплемента, антитрипсин, а также медиаторы воспаления TNF-a и IL-6, тромбоксан В 2.
Технология PRISMA
Коррекция иммунных нарушений Ig A – основное средство иммунозаместительной терапии, n Ig человека (G+A+M) – ПЕНТАГЛОБИН (3 мг/кг m тела в/в, 2 – 3 инфузии ч/з 1 – 2 дня), интерферон альфа-2 (виферон, генферон). n Применение гидроксиэтилкрахмалов, пентоксифилина оказывает определенное положительное влияние в инактивации медиаторов септического каскада неспецифическая антицитокиновая терапия.
Устранение коагуляционных нарушений проводится в зависимости от лабораторных показателей (фазы ДВС синдрома) сочетание плазмы с антикоагулянтами. Антикоагулянтным, профибринолитическим и противовоспалительным действием обладает Активированный рекомбинантный протеин С (дротрекогин альфа). Снижает летальность на 19, 4% (снижает присоединение селектинов к лейкоцитом, сберегает цельность сосудистого эндотелия; снижает выброс цитокинов из моноцитов, высвобождение ФНО из лейкоцитов; обладает антикоагулянтным действием); 24 мг/кг/ч в/в в течение 96 ч. Ингибиторы протеаз (контрикал – 50 000 -100 000 ЕД. до 5 раз в сут. ),
Нутритивная поддержка Сепсис сопровождается явлениями гиперметаболизма. Покрытие энергетических потребностей происходит за счёт деструкции собственных клеточных структур. Включение энтерального питания в комплекс интенсивной терапии предупреждает транслокацию микрофлоры из кишечника, развитие дисбактериоза, повышает функциональную активность энтероцита и защитные свойства слизистой оболочки. Энергетическая ценность питания: 25 -30 ккал/(кг*сут); Белок 1, 302, 0 г/(кг*сут); Глюкоза: 30 -70% небелковых калорий, уровень гликемии ниже 6, 1 ммоль/л; Липиды: 15 -20% небелковых калорий.
Профилактика образования стресс-язв желудочно-кишечного тракта Летальность при кровотечениях из стресс-язв ЖКТ при сепсисе колеблется от 64 до 87% Частота возникновения стресс-язв без проведения их профилактики у больных в критическом состоянии достигает 52, 8% Профилактическое применение блокаторов Н 2 -рецепторов и ингибиторов протонной помпы в 2 раза и более снижает риск осложнений (категория доказательств В)
Ингибиторы протонной помпы превосходят все другие антисекреторные препараты ИПП блокируют работу непосредственно протонной помпы париетальной клетки вне зависимости от состояния ее рецепторов (Н 2, М 3, ССК-В и др. )
Деконтаминация кишечника используется для избирательного подавления грамотрицательной флоры кишечника, чтобы предотвратить нозокомиальную инфекцию и эндотоксемию. 4 раза в сутки энтерально вводится смесь из 3 препаратов: полимиксин (100 мг), тобрамицин (80 мг) и амфотерицин (500 мг). Энтеросорбцией достигается сокращение кишечного эндотоксина (смекта, воулен, полисорб). Перспективный метод - антимедиаторная терапия - иммунотерапия с использованием антител против эндотоксина и его компонентов; - применение моноклональных антител против различных цитокинов;
Предвидеть течение сепсиса при сохраненном первичном очаге нельзя! Хирургическое лечение после уточнения формы сепсиса и предоперационной подготовки. При септическом шоке выполняется сразу после ликвидации острой гиповолемии, на фоне инотропной поддержки. Операция включает: · Тщательную ревизию малого таза, брюшной полости, забрюшинного пространства (возможны метастатические гнойные очаги), · Нижнесрединную лапаротомию, · Удаление матки «блоком» вместе с инфицированным плодом, плацентой или остатками плацентарной ткани (уменьшает выброс тромбопластина, токсинов), · Тщательный гемостаз (особенно на фоне ДВС), · Адекватное дренирование брюшной полости.
Сепсис: формулировка диагноза Время и условия развития Сепсис новорожденных: ранний • поздний • Внебольничный сепсис Госпитальный сепсис Входные ворота (нейтропения, СПИД, первичные иммунодефициты и т. д. ) Клинические формы Легочный Острый респираторный дистресс синдром ИВЛ-ассоциированный Кишечный Кожный Ринофаренгиальный Отогенный Абдоминальный Катетер-ассоциированный Посткатетеризационный Проявления полиорганной недостаточности Острая дыхательная недостаточность Пупочный Урогенный Сепсис на фоне иммунодефицитных состояний Бактериемия Культуропозитивный Сепсис (указать Тяжелый сепсис выделенного возбудителя и его хар-ки) Септический шок Культуронегативный Рефрактерный септический шок Острая сердечная недостаточность Острая почечная недостаточность Парез кишечника Острая надпочечниковая недостаточность Отек головного мозга Синдром диссеминированного свертывания крови


