Занятие 1.ppt
- Количество слайдов: 77
СЕМИОТИКА УРОЛОГИЧЕСКИХ ЗАБОЛЕВАНИЙ И МЕТОДЫ ОБСЛЕДОВАНИЯ
Синдромы Болевой Интоксикации Мочевой Дизурический Анемии Вторичного иммунодефицита
Болевой синдром: Сроки появления Повторяемость Наличие иррадиации болей Возможная причина (травма, ишемия органа, нарушение оттока мочи, воспаление) Боль самостоятельная или только при пальпации Выраженность боли Сопутствующие проявления (тошнота, рвота, коллапс, изменения мочи)
Синдром интоксикации: Выраженность Длительность Сопутствующие проявления (дизурический синдром, мочевой синдром, боль)
Мочевой синдром: Изменения физико-химических показателей мочи Синдром интоксикации Синдром дизурии Повторяемость в динамике
Нарушений мочеиспускания (дизурия): Изменения накопления Изменения удержания (недержание) Изменения выделения мочи Изменения цвета мочи Сопутствующие проявления (боль, интоксикация)
Нарушения накопления Изменения емкости мочевого пузыря Увеличение Редкие мочеиспускания большим объемом Уменьшение Частые мочеиспускания малым объемом Суточный диурез нормальный.
Патология удержания Недержание постоянное С пустым мочевым пузырем С переполненным мочевым пузырем С нормальной функцией мочевого пузыря Недержание периодическое Дневное Ночное Смешанное Связано или нет с напряжением передней бюрюшной стенки
Постоянное недержание с пустым мочевым пузырем Эписпадия Урогенитальный синус Пузырно-вагинальный свищ
Эписпадия у девочек:
Урогенитальный синус
Пузырно-вагинальный свищ
Недержание мочи при переполненном мочевом пузыре Недержание переполнения (парадоксальная ишурия) Следствие инфравезикальной обструкции Клапан уретры Стриктура уретры Опухоль простаты Фимоз, меатальный стеноз, мегалопрепуций Спазм наружного сфинктера уретры
Постоянное недержание с нормальной функцией мочевого пузыря Внепузырная эктопия устья добавочного мочеточника удвоенной почки
Нарушения опорожнения Затрудненное мочеиспускание Прерывистое мочеиспускание Симптом «закладывания» – наличие подвижного образования в мочевом пузыре
Терминология Поллакиурия Олигокиурия Альгурия Странгурия, ишурия Никтурия Полиурия Олигоурия, анурия Пиурия, гематурия, ксантурия, хилурия Уратурия, фосфатурия, оксалатурия Бактериурия, глюкозурия, протеинурия Лейкоцитурия, циллиндрурия Изогипостенурия, гиперстенурия
Синдром анемии: Железодефицитная Снижен гемоглобин Снижено количество эритроцитов Наиболее выражена у детей с нарушением функции почек Недостаточная выработка эритропоэтина почками Нарушения деятельности нефрона – электролитные расстройства макроорганизма
Вторичный иммунодефицит Снижение способности к сопротивлению инфекциям Затяжное течение ОРВИ Частые ОРВИ Вся активность иммунной системы уходит на снижение активности пиелонефрита Обострение мочевой инфекции во время прививок, ОРВИ, акклиматизации
Методы обследования: Анамнестический Физикальное обследование Клинико-лабораторный Лучевые методы (УЗИ, допплер, рентгеноконтрастные методы, радиоизотопные методы, КТ, МРТ) Уродинамические методы исследования Эндоскопические методы Прочие
Анамнез: Позволяет синдромально установить диагноз, определить вид и срочность лечебно-диагностических мероприятий. Максимально полное уточнение характера клинических проявлений, исходы предыдущих жалоб, изучение данных предыдущих исследований. При недержании мочи, уточняя состояние мочевого пузыря, объем, определить тип недержания.
Пример: Частое болезненное мочеиспускание у ребенка 17 лет, боль в области мочевого пузыря и поясницы, лихорадку, изменения мочи, мать указывает на эпизод переохлаждения сутки назад. Вопросы: Выраженность интоксикации – температура до 37, 3 Частота мочеиспусканий 20 раз в сутки, днем и ночью Боль в области мочевого пузыря постоянная незначительная, резко усиливается в конце акта мочеиспускания, незначительная самостоятельная болезненность в поясничных областях. Моча мутная, в конце акта мочеиспускания – с примесью крови.
Диагноз: Острый геморрагический цистит, с риском восходящего пиелонефрита Возможно амбулаторное лечение Курс антибактериальной терапии, спазмолитики, тепло Контроль анализа мочи после лечения До начала лечения анализ мочи не особенно обязателен
Пример 2: Частое болезненное мочеиспускание у ребенка 17 лет, боль в области мочевого пузыря и поясницы, лихорадку, изменения мочи, мать указывает на эпизод переохлаждения сутки назад. Вопросы: Выраженность интоксикации – температура до 38, 9, рвота многократно, тошнота, слабость. Частота мочеиспусканий 20 раз в сутки, днем и ночью Боль в области мочевого пузыря постоянная, значительная, иррадиирует в поясницу слева, левую половину живота, левое бедро по внутренней поверхности. Моча мутная, окрашена кровью.
Диагноз: МКБ, отхождение камня левой почки, острый вторичный пиелонефрит, почечная колика Амбулаторное лечение невозможно Экстренная госпитализация Тактика лечения зависит от размеров и позиции камня (консервативное, эндоскопическое, хирургическое)
Физикальное обследование: Тщательный осмотр пациента Пальпация почек Пальпация мочевого пузыря Поколачивание по пояснице Осмотр наружных половых органов у девочек, особенно при постоянном недержании мочи Осмотр органов мошонки и полового члена
Пролапс уретероцеле
Уретероцеле
Синехии половых губ
Эписпадия мужская Головчатая Субтотальная Тотальная
Перекрут яичка
Экстрофия мочевого пузыря
Ректоуретральный свищ, неперфорированный анус
Гипоспадия
Мегаломеатус
Фимоз
Рубцовый фимоз
Парафимоз
Мегалопрепуций
Изолированная водянка оболочек яичка
Сообщающаяся водянка оболочек яичка
Схема нарушений
Ущемленная паховомошоночная грыжа
Варикоцеле
Синдром prune-belly
Лабораторное обследование Анализ мочи общий Анализ по Нечипоренко Анализ крови клинический Биохимия крови Функциональные почечные пробы – определение суммарной почечной функции – проба Реберга, проба Зимницкого Посевы мочи Кислотно-основное состояние крови
Лучевые методы - рентген Обзорный снимок Цистография Внутривенная урография Ретроградная пиелография Уретрография (ретроградная, антеградная) Флебография Артериография
Обзорный снимок
Цистография
Парауретеральный дивертикул
Уретрография нисходящая
Внутривенная урография
Уретрография ретроградная
Ретроградная пиелография
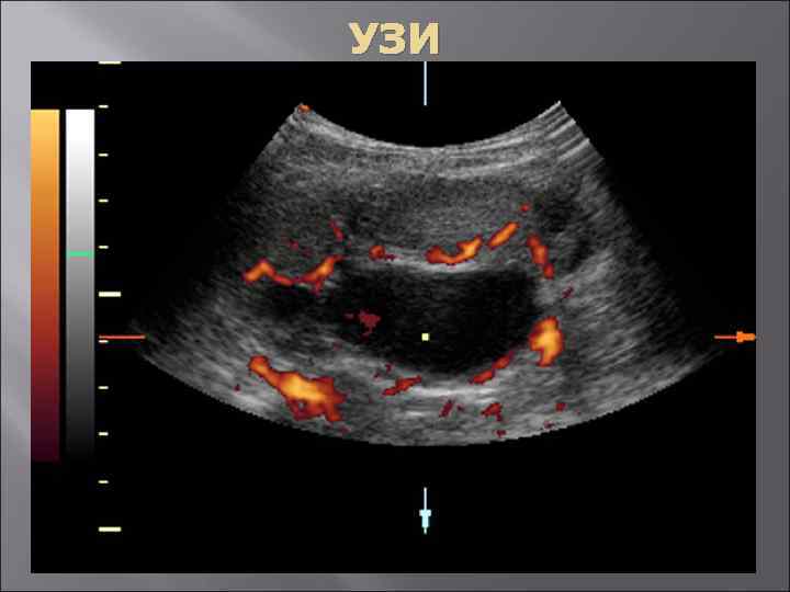
Лучевые методы - УЗИ Осмотр органов мочевой системы Органы мошонки Допплерография сосудов почки, яичка Определение размеров лоханки, мочеточника, состояния паренхимы почки
УЗИ
Сперматоцеле
Тестикулярный микролитиаз
Поликистоз почки
Пренатальная диагностика мегалоцистиса
Изотопные методы Ренография Реносцинтиграфия, статическая и динамическая
Ренография
МРТ
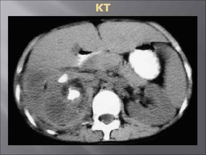
КТ
Спиральная КТ
Уродинамические методы обследования: Ретроградная цистометрия Профилометрия уретры Урофлоуметрия Фармакоцистометрия Исследование «давление поток»
Цистометрия
Цистометрия
Цистометрия
Профилометрия уретры
Урофлоуметрия
Давление-поток
Эндоскопия
Агенезия правой почки
Удвоение почки
Уретероцеле
Дивертикулы
Свищи Вагинальный Ректальный
Занятие 1.ppt