2b6b3486b4b02651e7be208a7f3b23a0.ppt
- Количество слайдов: 67
SARS: An Emerging Infectious Disease June 11, 2003 Edward L. Goodman, MD
Emerging Infectious Diseases: Institute of Medicine Definition New, reemerging or drug-resistant infections whose incidence in humans has increased within the past two decades….
Major Factors Contributing to EID • • • Human demographics and behavior Technology and industry Economic development and land use International travel and commerce Microbial adaptation and change Breakdown of public health measures
Emerging Infectious Diseases USA 1996 - 2003 • • Ebola in non human primates, Texas Racoon rabies, Ohio Cyclospora gastroenteritis, multiple states Non imported Malaria, Georgia and Florida E coli 0157: H 7 in apple juice, multiple states West Nile Virus 1999, NY and now nationwide Anthrax 2001; Fla. , NYC, DC, NJ Monkeypox: Prairie Dogs to Humans 2003; Wisc
Goals of today’s presentation • Show the power of epidemiology – – – Case definition/revisions Descriptive epidemiology Geographic Variation Clinical findings Infection Control Recommendations • Even before knowing an etiology • Show the extent of modern microbiology – Virology – Gene detection technology – Serology
Epidemiology • The science of studying diseases in populations • Examples – – Cholesterol and CAD Smoking and lung cancer Tampons and TSS before Staph identified Defined risk groups for AIDS before HIV identified • Draws conclusions on transmission and control even when etiology not known
Epidemiologic Investigation of an Apparent Outbreak • • Preliminary Case Definition Compare Features of Cases to Non-cases Refine Case Definition Case-control studies Refine Case Definition multiple times Investigate Etiology in refined definition group Define Clinical Features – comparing proven to unproven cases
Case Report
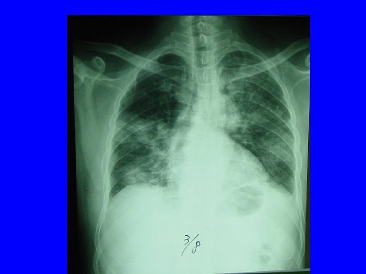
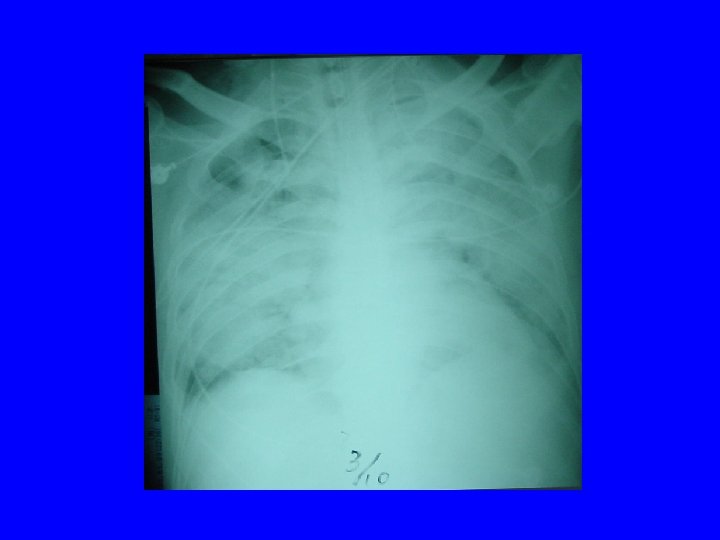
Radiology of typical case Lee NEJM 4/7/04
Initial signs of a worldwide outbreak • February 11, 2003 – Respiratory illness in Guangdong province, China – 305 cases, 5 deaths since November 16, 2002 • February 26—March 12, 2003 – Disease spreads to large number of health care workers in Hong Kong and Vietnam • March 12, 2003 – Global alert for Severe Acute Respiratory Syndrome (SARS) – CDC offers assistance to the WHO
Preliminary Case Definition March 19, 2003
Epidemics Within Epidemics • HIV – Predominantly MSM/IVDU in US and Europe – Predominantly heterosexual in Africa • Lyme Borreliosis – Predominantly joint disease in US – Disproportionately CNS disease in Europe
Epidemics within Epidemics • SARS – Asia and Canada • Healthcare Workers and families – USA • Mostly imported from Asia • Little transmission
The Hong Kong connection: Hotel M February March A B C D E F G H I J K L M Onset of symptoms Stayed at Hotel M
The Hong Kong connection: Hotel M February March A B C D E F G H I J K L M Onset of symptoms Stayed at Hotel M
The Hong Kong connection: Hotel M February March A B C D E F G H I J K L M Onset of symptoms Stayed at Hotel M
Spread from Hotel M Reported as of March 28, 2003 Canada Guangdong Province, China F, G A F, G 18 HCW 11 close contacts A Hong Kong SAR 95 HCW Hotel M Hong Kong A H, J B >100 close contacts B K Ireland K 0 HCW I, L, M C, D, E Vietnam Singapore 37 HCW 34 HCW 21 close contacts 37 close contacts I, L, M United States 1 HCW
SARS in Canada Poutenan et al. NEJM May 15, 2003
Timeline linked Candadian cases
SARS in Greater Toronto Area JAMA June 4, 2003
Epidemic Curve USA May 30 363 cases
CDC Update June 4, 2003 • WHO reports 8402 cases from 29 countries – November 1, 2002 – June 4, 2003 – 772 deaths (9. 2% CFR) • US and PR Cases 373, no deaths – 67 probable, 306 suspect – 65/67 attributed to international travel – One each HCW and household contact
Finding the Pathogen • • • Pathology Virology Gene detection Classification Diagnostics
What are Coronaviruses? • Taxonomy – Order Nidovirales • Family Coronaviridiae – Genus Coronavirus • Structure: large, enveloped, positivestranded RNA • Genome: 30, 000 nucleotides, the largest of any RNA virus
Structure
More than you want to know! • Group 1 and 2 are mammalian • Group 3 are avian • Major veterinarian pathogens – Infectious bronchitis virus – Feline infectious peritonitis virus – Transmissible gastroenteritis virus
Enough already! • Human coronavirus infections – Group 1 and 2 – 30% of common cold viruses • SARS human coronavirus (SARS-Co. V) – Urbani strain, named after Italian physician who succumbed to this virus – Distinct from other Co. V
Relatedness to other Coronaviruses
Clinical Aspects of Severe Acute Respiratory Syndrome (SARS) • Incubation period 2 -10 days • Onset of fever, chills/rigors, headache, myalgias, malaise • Respiratory symptoms often begin 3 -7 days after symptom onset
Symptoms Commonly Reported By Patients with SARS 1 -5 Symptom Fever Cough Dyspnea Chills/Rigor Myalgias Headache Diarrhea Range (%) 100 57 -100 20 -100 73 -90 20 -83 20 -70 10 -67 1. Unpublished data, CDC. 2. Poutanen SM, et al. NEJM 3/31/03. 3. Tsang KW, et al. NEJM. 3/31/03 4. Peiris JSM, et al. Lancet 4/8/03 5. Lee N. et al NEJM 4/7/03
Symptoms Reported by Patients With Diagnostic SARS-Co. V Laboratory Testing, United States, 2003 Symptom Coronavirus Positive (n=6) % Coronavirus Negative (n=28) % Fever 100 96 Cough 100 93 Dyspnea 100 61* Myalgias 83 75 Chills/Rigor 83 68 Headache 67 68 Diarrhea 67 25* Coryza 17 43 Sore Throat 17 43 *p=. 07
Common Clinical Findings in Patients with SARS 1 -5 Finding Range (%) Examination Rales/Rhonci Hypoxia 38 -90 60 -83 Laboratory Leukopenia Lymphopenia Low platelet Increased ALT Increased LDH Increased CPK 17 -34 54 -89 17 -45 23 -78 70 -94 26 -56 1. Unpublished data, CDC. 2. Booth CM, et al. JAMA 5/6/03. 3. Tsang KW, et al. NEJM. 3/31/03 4. Peiris JSM, et al. Lancet 4/8/03 5. Lee N. et al NEJM 4/7/03
Clinical Findings in Patients With Diagnostic SARS-Co. V Laboratory Testing, United States, 2003 Symptom Coronavirus Positive (n=6) % Coronavirus Negative (n=28) % 83 23* Hypoxia 83 29* Infiltrates 100 30* Laboratory Leukopenia 17 5 Lymphopenia 83 53 Low platelets 17 5 Increased ALT 60 17 Examination Rales/rhonci *p<. 05
Radiographic Features of SARS • Infiltrates present on chest radiographs in > 80% of cases • Infiltrates – initially focal in 50 -75% – interstitial – Most progress to involve multiple lobes, bilateral involvement
Lee N. et al NEJM 4/7/03
Lee N. et al NEJM 4/7/03
Clinical Outcome of Patients with SARS, 2003 U. S. 1 Canada 2 Hong Kong 3 Hong Kong 4 Hong Kong 5 Singapore 1 n 6 144 10 50 138 178 Progression to Resp. Failure (%) 17 14 20 38 14 12 1. Unpublished data, CDC. 2. Booth CM SM, et al. JAMA 5/6/03. 3. Tsang KW, et al. NEJM. 3/31/03 4. Peiris JSM, et al. Lancet 4/8/03 5. Lee N. et al NEJM 4/7/03
Clinical Outcome of Probable SARS Cases*, 2003 U. S. Canada Hong Kong Singapore Case Fatality Proportion( n %) 65 0 146 15 1654 12 178 13 * http: //www. who. int/csr/sarscountry/2003_05_07/en/
Clinical Features Associated with Severe Disease • Older Age • Underlying illness • ? Lactate dehydrogenase levels • ? Severe lymphopenia
Transmission • Probable major modes of transmission – Large droplet aerosolization – Contact • Direct • Fomite • Airborne transmission cannot be ruled out – ? Role of aerosol-generating procedures • ? Fecal-oral • Transmission efficiency may vary among individuals
SARS Virus Survival • Survive on plastic surfaces: up to 48 hours • Survival in feces: 2 days (solid) – 4 days (loose) • Survival in urine: at least 24 hours • Source: WHO May 5, 2003
Diagnostic Approach to Patients with Possible SARS • Consider other etiologies – Diagnostic workup • • Chest radiograph Blood and sputum cultures Pulse oximetry Testing for other viral pathogens (e. g. influenza) • Consider urinary antigen testing for Legionella spp. and Streptococcus pneumoniae
Diagnostic Approach to Patients with Possible SARS – Diagnostic workup (continued) • Save clinical specimens for possible additional testing – Respiratory – Blood – Serum • Acute and convalescent sera (>21 days from symptom onset) should be collected • Contact Local and State Health Departments for SARS-Co. V testing
Treatment of Patients with SARS • Most effective therapy remains unknown – Optimize supportive care • Treat for other potential causes of community-acquired pneumonia of unknown etiology
Treatment of Patients with SARS • Potential Therapies Requiring Further Investigation – Ribavirin – ? other antiviral agents – Immunomodulatory agents • Corticosteroids • Interferons • Others?
Infection Control • Early recognition and isolation is key – Heightened suspicion – Triage procedures • Transmission may occur during the early symptomatic phase – Potentially before both fever and respiratory symptoms develop
Infection Control • Isolation – Hand hygiene – Contact Precautions (gloves, gown) – Eye protection – Environmental cleaning – Airborne Precautions (N-95 respirator, negative pressure)
Why Such Variation in Epidemiology and Outcome? • • Viral variation? Genetic host susceptibility? Prevalence of smoking? In adequate Infection Control Measures?
A Word About Quarantine • • Complex legal process Poorly understood by lay public Rarely invoked Hard to enforce
Every medication has 2 effects. . . 1. The one you want 2. The one you don’t wan
Quarantine/Isolation Limit transmission Individual liberties Economic loss Social isolation Social Stigma…
Quarantine/Isolation …unintended consequences? Limiting transmission Maintaining transmission e. g. , HIV, leprosy
EXECUTIVE ORDER 13295: REVISED LIST OF QUARANTINABLE COMMUNICABLE DISEASES (a) Cholera; Diphtheria; infectious Tuberculosis; Plague; Smallpox; Yellow Fever; and Viral Hemorrhagic Fevers (b) (Lassa, Marburg, Ebola, Crimean-Congo, South American, (c) and others not yet isolated or named). (b) Severe Acute Respiratory Syndrome (SARS), which is a disease associated with fever and signs and symptoms of pneumonia or other respiratory illness, is transmitted from person to person predominantly by the aerosolized or droplet route, and, if spread in the population, would have severe public health consequences. President George W. Bush April 4, 2003
What Next • Rapid Diagnostic Tests (at present only at CDC) – Antigen detection – Gene detection: PCR – Serology (ELISA and IFA) • Seroepidemiology – Prevalence of antibody in healthy persons = 0 – Is there asymptomatic seroconversion? – Does antibody confer immunity?
What Next? • Expect epidemic curve to peak and die out – Warmer weather should reduce transmission – Fewer susceptibles in community – Likely another epidemic in 2004 • Since genome sequenced – Expect progress on determining protective epitopes, thus leading to – Candidate Vaccine trials
Summary
In Memory


