91e16a2ec15f65ede342a9fa7bb16441.ppt
- Количество слайдов: 32
Safety of Lead Extraction After Decades of Implantation Alpay Çeliker M. D. Acıbadem University, Istanbul
15 year old boy with postoperative AV block. VDD pacemaker. Needs biventricular pacing. What to do? ? ?
17 year old boy with postop FT. One abandoned TV lead. History of fever
Complications of Pacing System • Infection; ▫ Superficial, deep pocket ▫ Lead ▫ Endocarditis • Lead malfunction ▫ Fracture ▫ Insulation & other problems • Venous occlusion • Damage to cardiovascular system
Lead Malfunction • Compromised pacing ▫ Failure to capture, high threshold ▫ Extra-cardiac stimulation • Compromised sensing ▫ Under-oversensing ▫ Lead-lead interaction • Electrical Abnormality ▫ Abnormal pacing impedance ▫ Abnormal high voltage impedance ▫ Low-amplitude electrogram
Lead Malfunction: Treatment • Lead surgically abandoned or capped • Lead electrically abandoned (mode change) • Lead explanted/repaired • Device reprogrammed (polarity) • Lead related intervention: reposition, partially abandone
Factors to Consider • Patient ▫ Pacemaker dependence ▫ Patient prognosis ▫ Risk of revision/replacement procedure • Lead ▫ Malfunction characteristics ▫ Adverse clinical consequencce ▫ Availability of reporogramming
Lead Extraction in Children. Why? • Remove the intravascular and intracardiac lead material • Relieve and reconstruct the venous access for the new leads • Prevent lead related infection
Indications • Class I: ▫ ▫ a: CIED infection b: Life-threatening arrhythmia c: Life threatening condition d: Thromboembolic event caused by retained lead ▫ Obliteration of all useable veins ▫ Lead interfereres with the operation of another device
Procedure • Basic lab tests and crossmatch for blood should be obtained • All x-rays related with pacemaker and leads must be evaluated • Arterial and venous catheters for BP monitor and fluid supply • Anesthesia
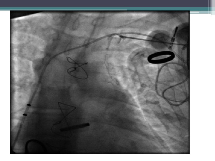
Lead Extraction Methods • Simple traction • Snares ▫ Needles eye, Goose neck • Lead locking devices ▫ Cook, Spectranetrics • Laser sheaths • Radiofrequency sheaths • Rotating sheaths
Common Areas of Fibrosis
Expanded Compressed Lead Locking Device • Types of locking devices • Cook • Spectranetrics • Vascoextor • Limitations of usage • Broken conducture • Distortion of central lumen
Telescopic Sheaths • Locking stylet needed • Made from metal, teflon or propylene
Laser Sheaths 12 -16 F sizes available
Electrosurgical Dissection Sheath & Generator Bipolar Radiopaque Electrodes Outer Sheath Teflon Inner Sheath
Rotating Sheaths Ayman et al. Heart Rhythm 20101 41 leads in 29 patients Success alone 77% Needs femoral WU in two cases. Oto et al. Europace 2011 41 leads in 23 patients Success alone 82% Needs femoral WU four patients ** Wrapping of coexistent leads may pose a problem Rotational mechanism Stainless-steel blade tip
Snares, Sheaths & Baskets
Definition of Success Complete Success - Removal of all lead material from the vascular space. Partial Success - Removal of all but a small portion of the lead. Failure – Abandoning a significant length of lead (more than 4 cm)
Classification of Complications • Major Complication ▫ Death ▫ Cardiac or vascular avulsion or tear ▫ Pulmonary embolism ▫ Stroke • Minor Complication ▫ Pericardial effusion or hemothorax ▫ Vascular repair need ▫ Pneumothorax requiring a chest tube ▫ Pulmonary embolism not requiring surgical intervention
Pacing System Infection: Treatment Choices • Intervention − Small vegetations − Strand formation − Lead amenable to extraction • Surgery −Large vegetations (> 10 mm) −Abcess formation −Broken lead −Abandoned old leads −Concomitant surgery need
Lead Problem Lead fracture Upgrade Infection Dislodgement Other reasons n 14 8 7 5 5
Excimer-laser extraction in children • • 25 patients, 43 leads (36 pacing/7 ICD leads) Median age at extraction 13, 9 years (8, 4 -29, 2) Mean duration of lead 49, 4 months (3 -128) Lead fracture 37/43 leads (86, 6%) Lead position: Ventricular 58%, atrial 42% Complete removal 39/43 (91%), partial in four Major complication 2/25 ▫ Cardiac perforation and tamponade ▫ Thrombosis of left subclavian and innominate vein Moak J et al. PACE 2006.
LEAD EXTRACTION WITH SEVERAL METHODS Cecchin et al. Circ Arrhythm Electrophysiol. 2010.
• Unsuccessfull Simple Extraction: ▫ older lead age ▫ lead in the ventricular position ▫ polyurethane lead insulation
Surgery for Lead Problems • Infection • Lead can not be explanted by interventional methods • Lead should not be explanted by interventional methods • Concomitant surgery need
New Problems !!! • • • Coronary sinus leads ICD leads Lumenless electrodes Multipl leads Venous obstruction Tricuspid valve impingement
Conclusions • Lead problems is relatively more frequent than in adult population • Lead extraction results in children are comparable with the adult series • Newer techniques may offer more success and less complications. • Surgery may be needed infrequently. • Technologic improvement at epicardial and transvenous pacing may lower the incidence of lead problems.
S e v a t e h d te a


