a5254df28063dd120a60fb650772824e.ppt
- Количество слайдов: 68
RT 255 C Cross Sectional Anatomy Week 1 FINAL 4 -13 -09 1
Name the Sectional Planes A B C D 2
Oblique and Transverse Used for imaging of heart. Commonly used in MR and sonography 3
Axial (Transverse) Planes – 1 – 2 – 3 – 4 – 5 – 6 4
Axial Scout 5
6
Axial (cross sectional) 7
Sagittal Plane • 1 • 2 • 3 8
Sagittal Scout 9
Sagittal 10
Coronal Plane • 1 • 2 • 3 • 4 • 5 11
Coronal 12
13
Coronal 14
Name the Imaging Plane 15
16
17
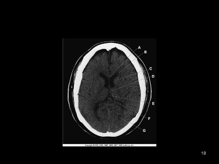
18
19
20
21
22
23
24
25
Both Radiation: Why CT vs. Radiography • Superimposition • Contrast Resolution – Less scatter • One exposure 26
Similar to Radiography • Radiopaque are white – Bone – Prosthesis • Lower density images are gray – Fat – Muscles – Organs • Very low density are black – Air 27
Hounsfield Units 28
Fundamentals of CT Cross sectional Tube rotates around patient Detectors measures primary data Primary data sent to computer Calculated according to algorithm Data assembled into a matrix Each sectional slice is displaced on cathode ray tube 29
Generations of Scanners • First generation – – 1 2 3 4 • Second generation – – 1 2 3 4 30
Third Generation • Rotate/ rotate • More than 750 detectors • 1 -10 seconds 31
Fourth Generation • Rotate only • Fixed detectors • More detectors • Higher dose to PT 32
Technical Aspects • Remnant radiation is collected – 1 – 2 • Electrical signal digitized – Each signal assigned a number • Signals combined to form digital image – Field of View (FOV) determines amount of data to be displayed on monitor 33
Breakdown of the Digital Image • Array of numbers – 1 • Pixel – 1 – 2 • Voxel – 1 – 2 – 3 34
System Components • Computer – Operators console • Gantry • Table 35
Computer • Four basic functions – – 1. 2 3 4 36
Data Acquisition • Tech chooses various parameters – 1 – 2 – 3 – 4 37
Image Reconstruction • Digitizes raw data • Computer performs mathematical computations on a temporary storage system – Host computer has limited storage capacity • Reconstruction takes a few seconds 38
Long term Storage • After reconstruction it is transferred to another storage medium • Those temporary images on the host computer are archived separately as an independent study that can be retrieved later 39
Image display • Can be viewed on a video monitor • Tech and doctor can communicate with host computer to view images • Can manipulate images – 1 – 2 – Image resolution lost with reconstruction in other planes 40
Gantry • Circular • Aperture is the hole PT goes in • Houses – Detector, slip ring, generator and x-ray tube • Tube similar to x-ray tube – Must withstand higher amounts of heat • Can be tilted 30 degrees forward and back 41
Table • Automated device linked to gantry & computer • Moves in increments – According to protocol • Made of wood or low density carbon composite • Has a weight limit 42
Control Console • Where the tech controls the scanner • Has a keyboard, display monitor & mouse • Allows tech to control – – 1. 2 3 4 43
Image Manipulation • Windowing – 1. • Window width – 1 – 2 – 3 • Window level – 1 – 2 44
Windowing Window width 400 Window width 2200 Window level 35 Window level 400 45
Factors Affecting Image Quality • • Spatial resolution Contrast resolution Noise Artifacts Patient factors Scan times Scan diameter 46
Spatial Resolution • What happens to resolution with smaller phosphor crystals in standard film screen systems? • Is a function of pixel size – Smaller: better detail • Thinner slices: increased detail 47
Contrast Resolution and Noise • Appears as graininess • Ability to distinguish adjacent tissue • In CT it is better than in conventional x-ray – Less scatter • Low noise is smooth to the eye • High noise is blotchy and spotty • As noise increases contrast resolution decreases 48
Artifacts • Streak artifacts – Metallic objects, pacemakers, and prosthesis • High concentration barium 49
Patient Factors • Motion • Size of patient 50
Image Quality under Tech Control • Slice thickness • Scan time • Scan diameters 51
Diagnostic Applications • Most common anatomy examined is – Head, chest and abdomen • Exam of choice for: – Head trauma – CVA • Also useful for: – – – – – Infarctions Hemorrhage Disk herniations Craniofacial fractures and tumors Cancers Hydrocephalus Degenerative diseases Inflammatory infections Congenital disorders 52
Use of Contrast Media • Can be administered orally, rectally and intravenously • IV usually non-ionic contrast • BA and Hypaque used for abdomen and GI studies. – 2% concentration BA – Low concentration (hypaque) 53
Special Features • • • Dynamic scanning CT angiography (CTA) Spiral/helical CT Multi-slice Spiral/helical CT 3 D imaging Radiation therapy treatment 54
Dynamic Scanning and CTA • After contrast administration • Sequential scanning times as different structures enhance • CTA: – 1 – 2 – 3 55
CTA 56
CTA 57
Spiral / Helical CT and Multi-slice Spiral/ Helical CT • Single row of detectors • Gantry rotates around PT as table moves • Multiple rows of detector arrays • A four row scanner would scan 4 times faster • Scans a volume instead of slices • Better detail • Improced spatial resolution • Fast scan times • LG areas of body can be done with one breath hold – For peds and combative patients 58
Spiral and Multi-slice Spiral 59
3 D Imaging • Postprocessing technique • Takes 2 D raw data and constructs a 3 D image 60
3 D imaging 61
3 D Imaging 62
Radiation Therapy Planning • Gives volumetric and depth calculation ability • Allows for one CT instead of the 3 they used to do • Flat board used instead of curved couch • Dose to normal tissue is minimized 63
RAD Therapy and CT 64
RAD Therapy and CT 65
CT and Radiation Dose • CT doses are higher than conventional radiography • A lower pitch results in a higher dose – More overlap • Thinner slices also result in a higher dose 66
CT vs. MRI • MRI exhibits better low contrast than CT • CT demonstrates bone better than MRI • Higher cost and takes longer • Faster, so preferred for some PT’s • Cannot do with metal – Small gantry – Wide aperture • Less costly 67
The Future of CT • Has significantly increased in the past 5 years • Higher quality images increase accuracy of diagnosis and treatment • Cost effective • Will continue to be a diagnostic tool 68


