ee4aa913be74c19342a910b5be0865ee.ppt
- Количество слайдов: 82
Rotational Field Quantum Magnetic Resonance in Tissue Engineering A Preliminary Experience Dr. R. V. Kumar Center for Advanced Research and Development & Institute of Aerospace Medicine, Indian Air Force, Bangalore Shreis Health Inc. Proprietary & Confidential
Rotational Field Quantum Magnetic Resonance Establishing Communication with Living Cells Centre for Advanced Research and Development (CARD) Institute. Health Inc. Shreis of Aerospace Medicine (IAM) Bangalore Proprietary & Confidential
Where did it all start. . l l In 1996, the Centre for Advanced Research and Development (CARD), initiated a project to study the effect of modulated Radio Frequency (RF) in the so far unexplored frequency band of 1 k. Hz to 10 MHz. Our engineers by simulation established that, when a biological Cell is exposed to such RF under a instantaneous magnetic field of several Tesla should alter many cell parameters, including its resting Transmembrane Potentials (TMP) Shreis Health Inc. Proprietary & Confidential
Where did it all start. . Many Cellular activity is closely linked with the TMP plays an Important role in the synthesis of many proteins (Cone CD. et. al. , Variation of transmembrane potential level as a basic mechanism of mitosis control : Oncology: 1970; 24: 438 -470) l Powerful Mathematical Models and real time simulation in combination with MRI data of the tissue is used to precisely alter transmembrane potentials of target tissue. l Shreis Health Inc. Proprietary & Confidential
The Hypothesis. . Ê Ë Selectively altering TMP, can initiate synthesis of HSP group of proteins or P 53 group of proteins that generally control mitotic activities in biological systems. Alternatively, Rotational Field Quantum Nuclear Magnetic Resonance (RFQMR) is probably triggering the msx 1, BMP 4, and the NOTCH group of Genes that is dormant in mammals, but is well expressed in primitive biological systems, where dedifferentiation of terminally differentiated cells and redifferentiation in to specific organs cells is well established eg. In Salamander or Zebra fish. (Shannon J Odelberg. , et. , al, . Dedifferentiation of Mammalian Myotubes Induced by msx 1; Cell: 103; 1099 -1109; Dec. 22, 2000). Shreis Health Inc. Proprietary & Confidential
In Cancer. . We need to understand Cytonics, the electronics of the biological cell, it’s control and communication. We have, to a large extent understood the Phenome and the Genome but very little on cellular cytonics. CARD has in the past few years, accrued considerable data to work on Cytonics of neoplastic cells. A lot remains to be proved, but it is a good and humble beginning. Shreis Health Inc. Proprietary & Confidential
The Technology…. . Ê Ë Ì The RFQMR or the Cytotron Technology was patented by us under PCT. The Cytotron Device will deliver precise dose of RF radiation in the unexplored 1 Khz to 10 MHz Range in the presence of high instantaneous magnetic field, which is perfectly focused. There has been anecdotal reference of MRI, providing significant changes in patients with depression not responding to other treatments. Cytotron has been in use for the last two years for the treatment of Osteoarthrites and Cancer as part of a clinical trial. Shreis Health Inc. Proprietary & Confidential
A small bit of theory. . . l l Problem of RF wave incidence on a lossy medium (tissue) Incident RF energy is reflected and refracted at the interface of air and tissue Fundamental constants defining how much is reflected and refracted are parameters of the medium Air Biological Tissue Er Sr Et Hr Interfac e l Ei Hi Shreis Health Inc. Ht St Si Proprietary & Confidential
RFQMR incidence l Relative amplitudes of the reflected and transmitted components of the incident electric field wave are defined below: l Reflection coefficient, gamma, and, appropriately, transmission coefficient, tau, are determined purely by the parameters of the two media of conduction: Shreis Health Inc. Proprietary & Confidential
Parameters of media l Permittivity, , defines the polarizability of a material – Applied E-field gives rise to dipole moment distribution in atoms or molecules – Secondary fields are set up, thus net E-field is different – If dipole moment distribution is denoted by vector P, the relationship between applied electric field and P is: l Conductivity, , summarizes the microscopic behavior of conductors – Applied E-field gives rise to electron drift – This drift results in a current density in the direction of the E-field – Conductivity is the factor which relates the E-field to the drift current Shreis Health Inc. Proprietary & Confidential
Parameters of media l Permeability, , is analogous to the permittivity in that it describes the relationship between the magnetic dipole vector and the magnetic field – Most of the cells and tissues that will be of interest are nonmagnetic – For these types of materials, is considered to be equivalent to 0, the permeability of free space – It is, therefore, much less critical to our analysis of RF interaction with biological tissue than permittivity and conductivity l These three parameters fundamentally characterize any medium macroscopically – Parameters can be used to determine depth of penetration and absorbed power of an incident RF wave on the medium Shreis Health Inc. Proprietary & Confidential
Permittivity of tissues Shreis Health Inc. Proprietary & Confidential
Conductivity of tissues Shreis Health Inc. Proprietary & Confidential
Depth of penetration l l l Any wave that enters a lossy medium will be attenuated after some distance Depth of penetration (D. O. P. ) characterizes the distance after which the field intensity is 1 / e of its incident value For a low-loss dielectric medium, the D. O. P. is described by the following equation, in which tan( c) is the loss tangent of the material Shreis Health Inc. Proprietary & Confidential
DOP of tissues Shreis Health Inc. Proprietary & Confidential
Non-ionizing radiation l l l Microscopic effects of non-ionizing RF energy have been studied extensively over the past few decades because we are exposed to these waves more often than ever before However, many mechanisms of interaction are still not well known nor are relevant results consistent In contrast, effects and health/safety standards are widely accepted in the science community Level of understanding of mechanisms of interaction decreases as we move from extracellular (membrane) to intracellular (enzyme, DNA) components We will consider these effects of non-ionizing radiation in two separate frequency bands, distinguished by the relative size of wavelength versus medium (human body) – Low Radio frequency radiation: >> D – MHz Radio frequency radiation: ~ D, << D Shreis Health Inc. Proprietary & Confidential
Power Lines Shreis Health Inc. LF Radio beacons (Navigation) 300 k. Hz 30 k. Hz Submarine Comm. VLF Lower frequencies Audio (sound) Proprietary & Confidential
Low frequency RF effects l Prevailing theory is that interactions occur primarily in the plasma membrane, then a cascade of changes propagates from the membrane to the nucleus of the cell as shown below 2: Plasma Cellular Membrane l Enzymes, Genes, Proteins Biochemical Messenger Nucleus An alternate theory suggests the possibility that low frequency RF interacts directly with the nucleus and the DNA based on the following analysis – Membrane blocks low-level electric fields but not magnetic fields – Although cellular dimensions limit the induced electric field resulting from the penetrating magnetic field to very small values, the magnetic field itself may interact with cellular components – Recent studies by Blank and Goodman show that the magnetic field may interact with enzymes and DNA within the cell through classical physics based mechanisms Shreis Health Inc. Proprietary & Confidential
Theory of signal transduction l First, consider the signal transduction theory in which an enzymatic cascade is responsible for changes in biosynthesis Plasma Membrane l Cellular Membrane Enzymes, Genes, Proteins Biochemical Messenger Nucleus, DNA The following is a step by step account (from Behari 1999) of how the signal reaches the DNA in order for changes in biosynthesis to occur: – Faraday induction creates currents in the ionic aqueous solution of the plasma membrane – These currents are blocked by the strong dielectric barrier of the cell membrane; however, they cause changes in the cell surface involving counter ion layer, ion channel permeability, glycoproteins, and ligand receptors – Consequently, there is enzyme activation, gene induction, protein synthesis, and mitogenesis / cell proliferation / retardation – Secondary biochemical messengers then pass this signal to the nucleus and the DNA of the cell Shreis Health Inc. Proprietary & Confidential
Direct interaction theory l Many current studies present possible direct RF interaction mechanisms with DNA to explain changes in biosynthesis of the cell exposed to Controlled RF under the influence of high magnetic fields – Blank suggests Mobile Charge Interaction (MCI) model from a variety of experiments. l Magnetic fields interact with moving charges via the classical electromagnetic relation: l l In the case of intracellular flowing charges, such as enzymes, this force will result in a change in velocity and a resulting alteration in intended biological function (demonstrated in Na, K -ATPase and cytochrome oxidase reactions) In addition, moving electrons in DNA helices will begin to experience forces which may repel them from each other and bend, or even break, the chain, resulting in increased DNA Shreis Health Inc. Proprietary & Confidential multiplication
DNA chain bending B F I I F After time I I l A direct result of equation (7) is the relationship between flowing charge (current), magnetic field, and induced force shown in equation below l When two wires have currents flowing in opposite directions, an applied magnetic field will cause repulsion Expanding this idea by thinking about the DNA helix simply as two “wires” which may carry charge through electron transport in opposing directions, we expect chain bending in some instances: l Shreis Health Inc. Proprietary & Confidential
MHz Radio frequencies AM Broadcasting TV Broadcasting, FM Radio Shreis Health Inc. 300 GHz 300 k. Hz RF Microwave Oven Satellite Comm. Cellular Phone Proprietary & Confidential
Where does RFQMR fit on the EM Spectrum Sub-Radio and Near-Radio, A part of the spectrum used for the first time in Medical Field. Currently used in Oceanography and Submarines Shreis Health Inc. Proprietary & Confidential
MHz Radio frequency effects l l Mechanisms of interaction for RF radiation on the body are very different at low-levels of radiation versus higher levels Low-level RF radiation causes predominantly non-thermal effects because the intensity is not high enough to significantly change tissue temperature – Non-thermal effects are direct interactions of RF with biological cells – Very important because most common exposure is at low-levels – Not as well understood: specifically, mechanisms are not fully explored nor consistently documented l High-level RF radiation causes thermal effects – Thermal effects are indirect interactions: EMF -> heat -> biological effect – RF energy and, specifically, Specific Absorption Rate (SAR), are high enough to significantly heat the tissue – Hazards are well established, safety levels are well documented Shreis Health Inc. Proprietary & Confidential
Non-thermal effects of MHz RF l l RF fields induce torque on molecular dipoles which can result in ion displacement, vibrations in bound charges, and precession This effect is characterized by the Bloch Equation which is fundamental to MR Imaging l With an applied magnetic field, the nuclear spins will precess in a lefthand direction around the field with angular frequency proportional to its amplitude l No observable biological hazards have been noted as a result of these mechanisms because they are outweighed by random thermal agitation in low-level fields Shreis Health Inc. Proprietary & Confidential
THE CYTOTRON Shreis Health Inc. Proprietary & Confidential
THE CYTOTRON Shreis Health Inc. Proprietary & Confidential
Typical RFQMR Gun Assembly Shreis Health Inc. Proprietary & Confidential
RFQMR can be successful in ……. l the non-invasive treatment of……. Many Degenerative Diseases like, Osteoarthrites, Osteoporosis, Tendenitis, aseptic necrosis, Migraine, acute burns, drug resistant epilepsy, diabetic neuropathy, peripheral and coronary Angiogenesis grow new blood vessels in the heart muscle in place of a bypass surgery etc. , where ever Tissue Regeneration is essential…. . . Shreis Health Inc. Proprietary & Confidential
With RFQMR…. . . l We will be able to communicate with the cancer cells in cancer patients and take over the cell’s command control and effect successful degeneration by, 1. Directly halting active cell division. 2. Opening up Protein path ways to allow Chemotherapy molecules without effecting other healthy cells. 3. Or guide glucose coated ferrite nanoparticles into the tumor cells and Rip them apart. Shreis Health Inc. Proprietary & Confidential
Regenerative and Degenerative Experiences with RFQMR Shreis Health Inc. Proprietary & Confidential
OSTEOARTHRITIS Shreis Health Inc. Proprietary & Confidential
OSTEOARTHRITIS Inclusion: Volunteers posted for Knee Replacement Surgery. Presentation: l. Pain l. Restriction of movements l. Option - surgery Shreis Health Inc. Proprietary & Confidential
RESULTS Evaluation Criteria l International Knee society rating system -Range of knee movement -Pain score -Dynamometry -Total knee score -Functional knee score l l Radiological Evidence Quality of Life (FACT) Shreis Health Inc. Proprietary & Confidential
PRE POST Shreis Health Inc. Proprietary & Confidential
PRE Shreis Health Inc. POST Proprietary & Confidential
CANCER Shreis Health Inc. Proprietary & Confidential
CMP in Living Cell …. . . Altering the Cell Membrane Potential (CMP) is a complex process. However…. l -70 to -90 m. V is the CMP in Healthy Cells. l -40 to -60 m. V when Infected. l -20 to -30 m. V in Cancer l and “ 0” when the Cell dies. RFQMR is capable of altering this potential, to achieve cellular control. Shreis Health Inc. Proprietary & Confidential
RFQMR Treatment Process l l l RFQMR treatment procedure starts with a conventional Diagnostic MRI. The Radiologist Prepares the Planning film positioning the RFQMR guns around the region of interest (ROI) He also does the surface marking of the ROI A template is made from the surface markings The Planning film is fed into the Cytotron Machine, that calculates the required dose. Thereafter the exposure continues for the determined period. Shreis Health Inc. Proprietary & Confidential
Planning film Shreis Health Inc. Proprietary & Confidential
Typical Dose Planning Process • The Gun emission depends on the tissue that come in the gun path. • Air is the best friend and Fat is the worst enemy of RFQMR. • PD or Proton Density is simply the H 2 atom concentration in a given tissue. Shreis Health Inc. Proprietary & Confidential
CANCER PROJECT Phase-1 l Terminal cancer l Not amenable to Surgery/ RT/ CT l Single lesion l Pain alleviation l Shreis Health Inc. Proprietary & Confidential
Criteria Clinical assessment l Radiological assessment l Tumor markers l Histopathology l QOL l Shreis Health Inc. Proprietary & Confidential
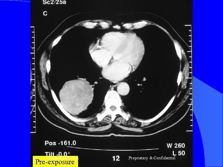
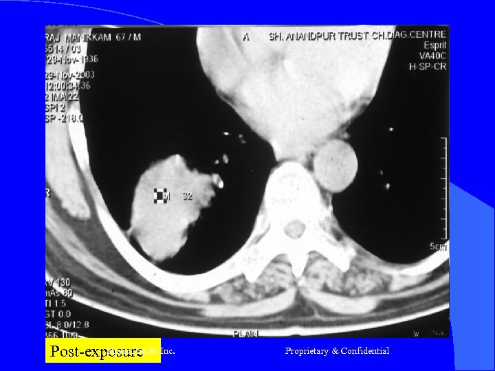
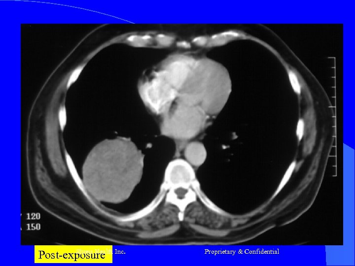
Case- 1 l l l Mr R, 68 yrs Nov-2003 -Ca Lung RLL T 2 N 0 (Adeno ca) Chemo – (Carbo + Eto) 3 # till March 2004 April 2004 – Prog of disease (vide CT) Presented – Cough Hemoptysis - Breathlessness - Pallor - Debility Shreis Health Inc. Proprietary & Confidential
Case 1 RFQMR-1#26/11/2004 – 09/12/2004 2# 24/12/2004 – 07/1/2005 l CT – Jan 2005 – Aug 2005 - Static l Now No Complaints - Energetic - Walks 30 m daily Appetite Good l Shreis Health Inc. Proprietary & Confidential
Shreis Health Inc. Pre-exposure Proprietary & Confidential
Shreis Health Post-exposure Inc. Proprietary & Confidential
Post-exposure Inc. Shreis Health Proprietary & Confidential
Shreis Health Post-exposure Inc. Proprietary & Confidential
Brain tumours l Brain tumours: initial results are encouraging Shreis Health Inc. Proprietary & Confidential
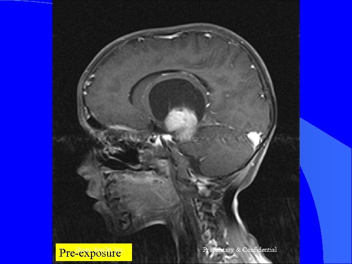
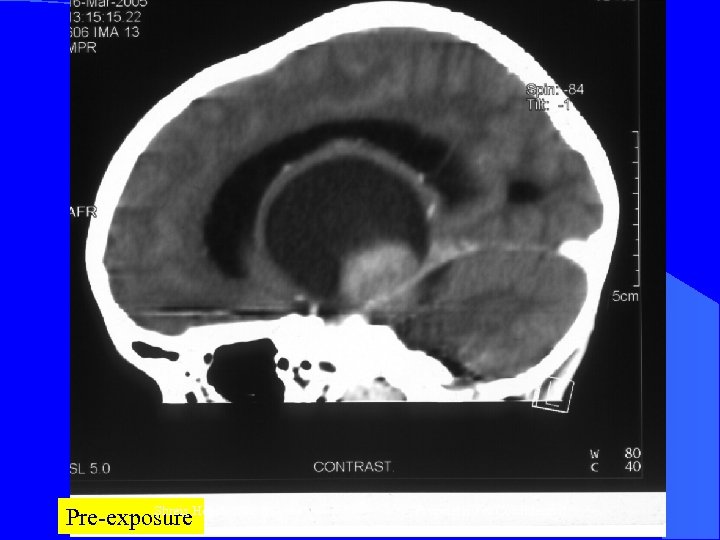
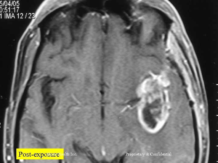
CASE 2 Mr R, 56 yrs l Nov 2004 – MRI Brain = Left frontal SOL (4 x 3 cm) - SX = Craniotomy x decompression of insular glioma HPR = Glioblastoma Grade IV l RT – 60 Gy/30 # till Jan 2005 l CT – Temedol x 2 # till Feb 2005 l Shreis Health Inc. Proprietary & Confidential
l l Presented Feb 05 - Loss of memory - Apathetic - Hemiparesis ® (power 3/5) Today after 1 course of RFQMR - No focal/Gen Neuro deficit - Normal higher functions and back to work. Shreis Health Inc. Proprietary & Confidential
Shreis Health Pre-exposure Inc. Proprietary & Confidential
Shreis Pre-exposure. Health Inc. Proprietary & Confidential
Shreis Health Inc. Post-exposure Proprietary & Confidential
Shreis Health Post-exposure Inc. Proprietary & Confidential
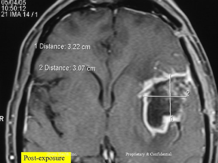
CASE 3 Mr RG, 5 yrs l May 2004 – Right Hemiparesis with ICSOL - MRI – Left Thalamic glioma with systi changes obst. Hydrocephalus - Op n = Right VP shunt - Neuro improvement l Jun 2004 – Neuro deterioration - Op n = Revision of VP shunt l. l Shreis Health Inc. Proprietary & Confidential
At Presentation – Nov 04 - ® Hemiparesis -Headache -Diplopia RFQMR – Nov 2004 Today - No increase ICT - Mild residual ® Hemiparesis Shreis Health Inc. Proprietary & Confidential
Shreis Health Inc. Pre-exposure Proprietary & Confidential
Shreis Health Inc. Pre-exposure Proprietary & Confidential
Shreis Health Inc. Post-exposure Proprietary & Confidential
Shreis Health Inc. Post-exposure Proprietary & Confidential
Shreis Pre-exposure. Health Inc. Proprietary & Confidential
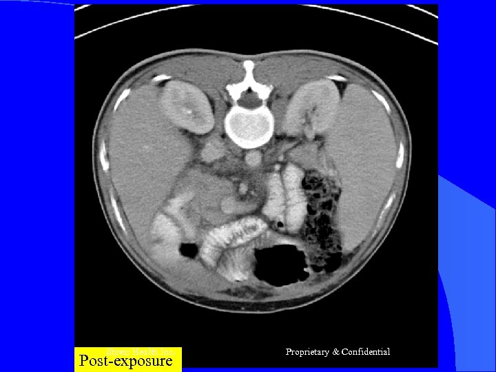
CASE 4 l l l Mr D, 44 yrs Sept 2003 -SOJ (Se Bil=4. 5, Alk. PO 4=450 BX of pre-op lesion = PD Adeno Ca Nov 2003 -Op n-Inoperable mass head pancreas (1”) -Infiltrating SMR/PV =>Palliative-C cys J +GJ Chemo – gemcit 5# Presentation – Cachexic - Wt loss 20 Kg Shreis Health Inc. Proprietary & Confidential
RFQMR-1# 01 Jan – 31 Jan 2005 -2# 15 Feb – 28 Feb 2005 CT scans – Sept 2003 – Jan 2005 = Progress of Lesion Jan 2005 – Sept 2005 = static Went back to Duty- April 05 Shreis Health Inc. Proprietary & Confidential
Shreis Health Pre-exposure Inc. Proprietary & Confidential
Shreis Health Pre-exposure Inc. Proprietary & Confidential
Shreis Health Inc. Post-exposure Proprietary & Confidential
CA 19 -9 l 18. 5 – > 13. 8 – > 13. 7 – > 13. 8 – >13. 7 Shreis Health Inc. Proprietary & Confidential
CASE 5 l l l Mrs NK – 41 Yrs Ca Ovary III C Sx – Jul 03 - Sub optional debulking - Jan 04 - Sub optional debulking Chemo- Post operative x 02 complete course HPE - Mucin Secreting Adeno Ca Oct 04 – Slowly increasing cyst behind bladder Shreis Health Inc. Proprietary & Confidential
RFQMR- Nov 04 l Expl Lap - 13. 04. 05 - Solid intra abdominal masses - 10 Cm cyst from bladder - Partial cystectomy l HPE - Mesothelial Cyst l Shreis Health Inc. Proprietary & Confidential
Our experiences with cancer treatment An Overview Shreis Health Inc. Proprietary & Confidential
Spectrum of Patients Shreis Health Inc. Proprietary & Confidential
Overall Outcome Shreis Health Inc. Proprietary & Confidential
Survival Period Shreis Health Inc. Proprietary & Confidential
CNS Tumours: Outcome Shreis Health Inc. Proprietary & Confidential
Survival Period: CNS Tumours Shreis Health Inc. Proprietary & Confidential
Evaluation Criteria CNS Tumours : Overall Shreis Health Inc. Proprietary & Confidential
Evaluation Criteria CNS Tumours Localised (N=13) Shreis Health Inc. Proprietary & Confidential
Evaluation Criteria CNS Tumours Disseminated (N=9) Shreis Health Inc. Proprietary & Confidential
Cancer Treatment Results Shreis Health Inc. Proprietary & Confidential
Potential Appliations Diabetes l Angiogenesis l Tinnitus l Macular Degeneration l Nanoporation l Delivery of Genetherapy l Nanoblasting l Shreis Health Inc. Proprietary & Confidential


