Аорта и ангиографические исслдеования.pptx
- Количество слайдов: 42
Российский научный центр хирургии им. акад. Б. В. Петровского РАМН СОВРЕМЕННЫЕ АСПЕКТЫ МСКТ АОРТОГРАФИИ В РАДИОЛОГИИ Ким С. Ю. Москва 2014 год
АОРТА • В течении жизни принимает объем 200 млн литров крови за 3 млрд сердечных сокращений • В систолу желудочков преобразует часть кинетической энергии в потенциальную (растяжении стенки), а затем её конвертирует обратно в кинетическую для продвижения крови • Роль в регуляции резистентности сосудов барорецепторы и вегетативную нервную систему через
Классификации заболеваний аорты • Аневризмы • Расслоение стенки аорты • Интрамуральная гематома • Пенетрирующие атеросклеротические язвы • Врожденные аномалии дуги аорты, коарктация аорты • Атеросклероз • Артериальная гипертензия • Механические повреждения стенки аорты • Соединительнотканные дисплазии • Артерииты (аортиты – воспалительные заболевания) • Наследственные заболевания аорты
Методы визуализации заболеваний аорты Ретгенологические исследования Ангиография Ультразвуковые исследования • ЭХО КГ • ЧП Эхо-КГ • Дуплексное сканирование Компьютерная томография • Многослойная спиральная компьютерная томография • Магнитно-резонансная компьютерная томография
Использование компьютерной томографии за последние 10 лет позволило радикально уменьшить количество инвазивных методов диагностики, необходимых для принятия решения об объеме хирургического вмешательства (Hoang JK et al. , 2009; Hoey ED, 2010) Выявление при компьютерной томографии аневризм аорты любой локализации составляет 100% (Прозеров С. А. , 2010)
30 лет СКТ исследованиям аорты 1991 год 2001 год 2010 год Аксиальные срезы при болюсном в/в контрастировании
КТ-ангиография – метод, заключающийся в сочетании традиционной компьютерной томографии с ангиографией. Это подробное послойное изображение кровеносных сосудов и окружающих их тканей.
Подготовка пациента к исследованию n Заполнение информированного добровольного согласия на выполнение мультиспиральной компьютерной томографии (МСКТ)
ВАЖНО! - ИССЛЕДОВАНИЕ ПРОВОДИТСЯ НАТОЩАК - ПРИ НАЛИЧИИ АЛЛЕРГИИ НА ЙОД НЕОБХОДИМО ВЫПОЛНЕНИЕ НАЗНАЧЕННОЙ ЛЕЧАЩИМ ВРАЧОМ ПРЕМЕДИКАЦИИ ЗА 13, 8 И 1 Ч ДО ИССЛЕДОВАНИЯ ПО 50 МГ ПРЕДНИЗОЛОНА ПЕРОРАЛЬНО + ЗА 1 Ч – 50 МГ АНТИГИСТАМИННОГО ПРЕПАРАТА (ДИМЕДРОЛ) В/М - ОБРАТИТЬ ВНИМАНИЕ НА ФУНКЦИЮ ПОЧЕК (КРЕАТИНИН В НОРМЕ 60130 МКМОЛЬ/Л) - ОБРАТИТЬ ВНИМАНИЕ НА УРОВЕНЬ ГОРМОНОВ ЩИТОВИДНОЙ ЖЕЛЕЗЫ (ТИРЕОТРОПНЫЙ ГОРМОН 0, 23 -4, 0 ПГ/МЛ; ОБЩИЙ ТРИЙОДТИРОНИН 0, 8 -1, 8 НГ/МЛ; СВОБОДНЫЙ ТРИЙОДТИРОНИН 3, 5 -6, 0 ПГ/МЛ; ОБЩИЙ ТИРОКСИН 45 -115 НГ/МЛ; СВОБОДНЫЙ ТИРОКСИН 8, 020, 0 ПГ/МЛ)
- Убеждаемся в отсутствии металлических предметов на теле пациента, особенно в области исследования - Информируем пациента о необходимости лежать во время исследования неподвижно и задерживать дыхание по специальной команде
Контрастирование - Внутривенное контрастирование (используется в/в канюля диаметром 18 G, 17 G; скорость введения КВ 4, 5 -6 мл/с; объём КВ 1 -1, 5 мл/кг) В среднем 80 -120 мл.
Контрастирование
Контрастирование ВАЖНО!!! Перед выполнением исследования необходимо убедиться в отсутствии воздуха в системе
Внутривенное контрастирование
Внутривенное контрастирование ОБРАТИТЕ ВНИМАНИЕ! Неправильное положение руки с в/в катетером
Виды и свойства контрастных средств 1) Осмолярность (о п р е д е л я е т с я числом частиц в растворе) - неионные низкоосмолярные (>120 м. Осм/кг H 2 О) - ионные высокоосмолярные (<120 м. Осм/кг Н 2 О) 2) Растворимость (с п о с о б н о с т ь вещества в смеси с одним или несколькими другими веществами образовывать однородные смеси – растворы) - водорастворимые - водонерастворимые 3) Вязкость (с в о й с т в о жидкостей, характеризующее сопротивление действию внешних сил, вызывающих их течение) 4) Гидрофильность (с п о с о б н о с т ь водой) вещества смачиваться
ПОБОЧНЫЕ РЕАКЦИИ НА КОНТРАСТНЫЕ СРЕДСТВА Ранние реакции (до 60 мин после инъекции) - Лёгкие и умеренные (тошнота, рвота, крапивница, диффузная эритема, бронхоспазм) - Тяжёлые – требуют лечения (отёк гортани, отёк лёгких, гипотензия, анафилактический шок, остановка дыхания, остановка сердца) Отсроченные реакции (60 мин-7 дней после инъекции) - Кожные реакции (сыпь, зуд, отёк) - Системные реакции (головная боль, головокружение, тошнота, понос, озноб, ригидность мышц, гриппоподобные симптомы) - Отсроченная боль в руке
Лечение побочных реакций на КВ ГЕНЕРАЛИЗОВАННАЯ КРАПИВНИЦА / СОСУДИСТЫЙ ОТЁК / ДИФФУЗНАЯ ЭРИТЕМА - 50 МЛ ДИФЕНИЛГИДРАМИНА П/К, В/М, В/В - 50 МЛ РАМИТИДИНА В 20 МЛ ФИЗИОЛОГИЧЕСКОГО РАСТВОРА МЕДЛЕННО В/В ЛЁГКИЙ ОТЁК ГОРТАНИ - КИСЛОРОД 10 Л/МИН ЧЕРЕЗ МАСКУ - АДРЕНАЛИН 1: 1000 0, 5 МЛ, МОЖНО ПОВТОРИТЬ ЧЕРЕЗ 5 МИН ТЯЖЁЛЫЙ ОТЁК ГОРТАНИ - КИСЛОРОД 10 Л/МИН ЧЕРЕЗ МАСКУ - АДРЕНАЛИН 1: 1000 0, 5 МЛ, МОЖНО ПОВТОРИТЬ ЧЕРЕЗ 5 МИН - 50 МЛ РАМИТИДИНА В 20 МЛ ФИЗИОЛОГИЧЕСКОГО РАСТВОРА МЕДЛЕННО В/В
Лечение побочных реакций на КВ ГИПОТЕНЗИЯ С БРАДИКАРДИЕЙ - приподнять ноги, освободить живот - кислород 10 л/мин через маску - 0, 6 -1, 0 мг атропина медленно в/в, можно повторять каждые 5 минут до 3 мг АНАФИЛАКТИЧЕСКИЙ ШОК - приподнять ноги, освободить живот - кислород 10 л/мин через маску - 0, 6 -1, 0 мг атропина медленно в/в, можно повторять каждые 5 минут до 3 мг - вызвать реаниматолога - адреналин 1: 1000 0, 5 мл в/м - перевести пациента в реанимационное отделение
Лечение побочных реакций на КВ ОТЁК ЛЁГКИХ - поднять головной конец или посадить пациента - кислород 10 л/мин через маску - фуросемид 40 - 80 мг в/в медленно - 500 -1000 мг гидрокортизона в/в - вызвать реаниматолога при отсутствии эффекта СТЕНОКАРДИЯ - 0, 4 мг нитроглицерина под язык - кислород 10 л/мин через маску - вызвать кардиолога и сделать ЭКГ
Лечение побочных реакций на КВ ОСТАНОВКА СЕРДЦА - начать искусственную вентиляцию лёгких и массаж сердца - немедленно вызвать реаниматолога СУДОРОГИ - повернуть пациента на бок, чтобы избежать аспирации - кислород 10 л/мин через маску - 2, 5 мг мидазолама или 5 мг диазепама медленно в/в
Исследование сосудов головного мозга
Исследование сосудов шеи
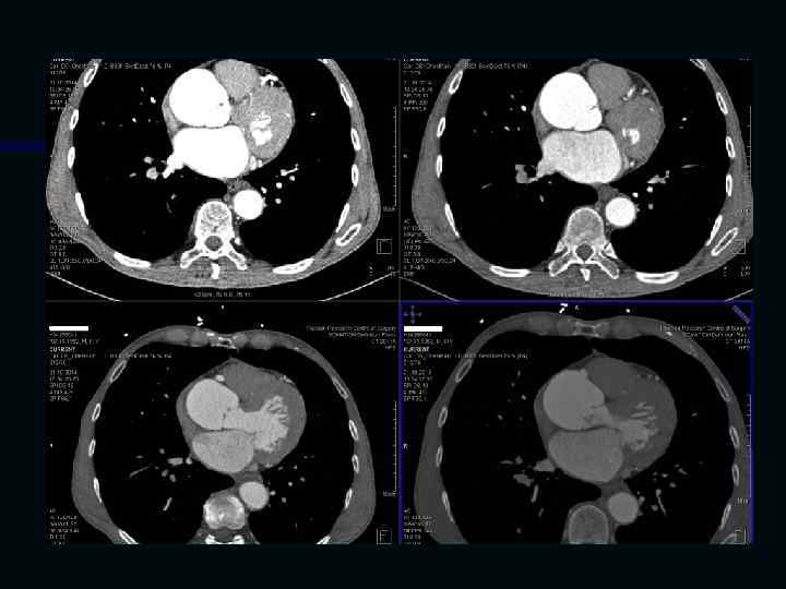
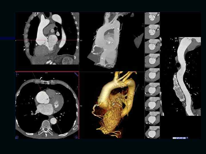
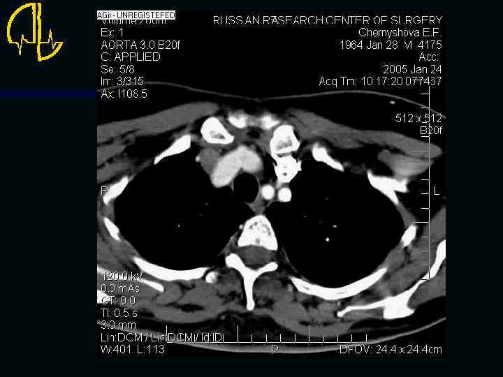
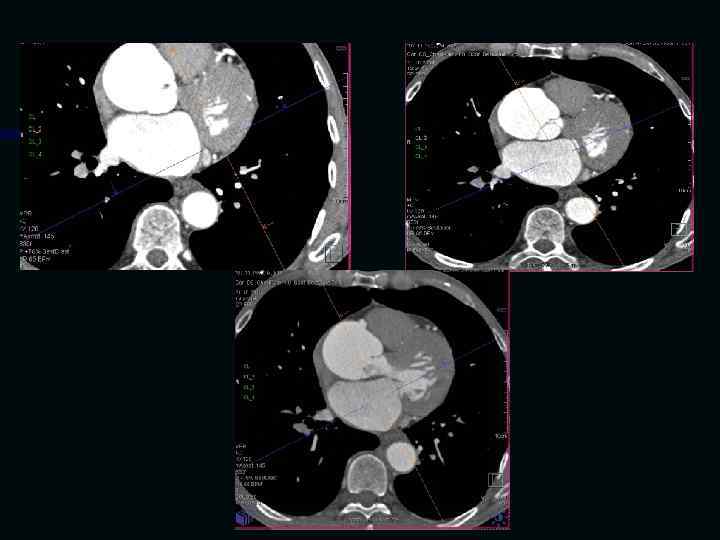
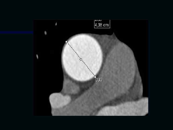
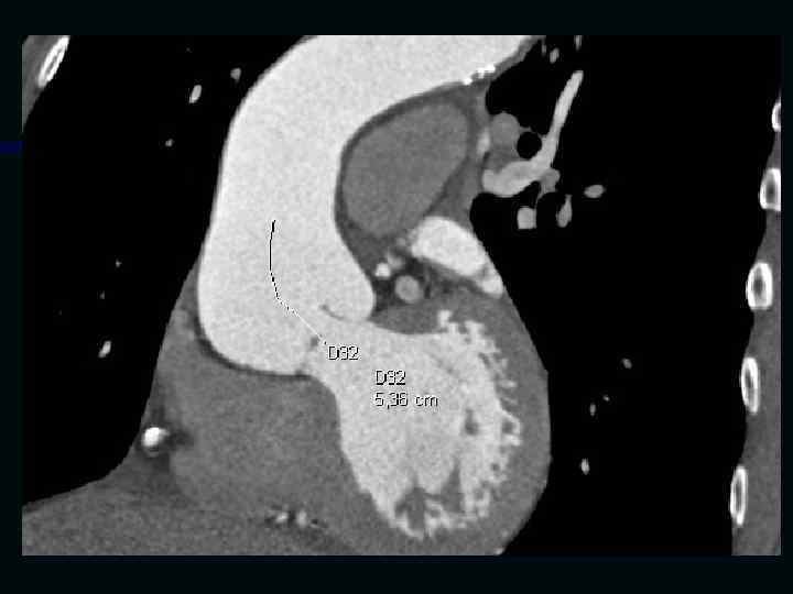
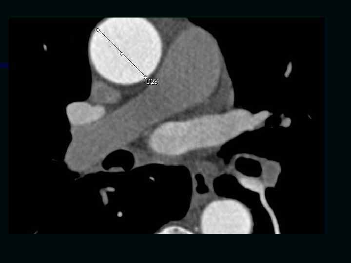
Исследование сосудов грудной клетки
Исследование сосудов брюшной полости
Исследование сосудов малого таза
Безопасность исследования Высокое качество получаемых изображений Максимальная информативность
Российский научный центр хирургии им. акад. Б. В. Петровского РАМН Спасибо за внимание!
Аорта и ангиографические исслдеования.pptx