Роль зубных отложени в развитии пародонта.pptx
- Количество слайдов: 23
Роль зубных отложени в развитии пародонта
Пародонтит - это воспалительно-деструктивный процесс, который характеризуется разрушением связок, удерживающих зуб, и убылью костной ткани челюстей. Пародонт включает в себя : десну, периодонтальные связки, костную ткань челюстей, расположенную вокруг зубов цемент зуба, покрывающий его корень.
Пародонт включает в себя : десну, периодонтальные связки, костную ткань челюстей, расположенную вокруг зубов цемент зуба, покрывающий его корень.
строение зуба
Основные причины возникновения пародонтита недостаточная гигиена полости рта наличие зубных отложений (зубной налет и камень) микроорганизмы и продуцируемые ими токсины зубо-челюстная деформация несбалансированное питание (недостаток в пище витаминов, кальция, фтора, микроэлементов, избыток сахара в пище и напитках) Курение злоупотребление алкоголя хронические заболевания (диабет, болезни желудочнокишечного тракта и др. ) снижение иммунной системы организма В настоящее время большинство исследователей считают, что в возникновении воспалительных заболеваний пародонта важнейшая роль принадлежит зубным отложениям - зубной налет и камень.
Зубной налет скопление бактерий в виде плёнки, образующееся на зубах (в том числе и здорового человека). Зубной налёт включает аэробные, факультативно- анаэробные бактерии.
Зубной налет состоит из микроорганизмов, солей слюны и на 8085% - из воды. Минимальное количество зубного налета образуется через 2 -6 ч после чистки зубов, растет и накапливается за счет постоянного наслаивания новых микробов. В зубном налете происходит активная жизнедеятельность микроорганизмов, сопровождающаяся кислотообразованием. Эти кислоты и действуют на ткани пародонта.
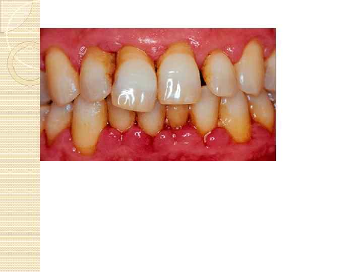
Зубной камень это минерализованный или находящийся на стадии минерализации зубной налет. Зубной камень состоит на 70 -90% из неорганических и на 10 -30% из органических компонентов. Зубной камень располагается над гребнем десневого края, и называется наддесневым. Он обычно белого, серого, желтого цвета, твердой консистенции. Наддесневой зубной камень минерализуется за счет попадания солей кальция из слюны на поверхность зубного налета.
Поддесневой зубной камень интенсивно растет внутрь по корню зуба, разрушая связочный аппарат периодонта (опорно-удерживающие связки зуба в челюстной кости). Впоследствии образуется зубодесневой карман - промежуток между десной и зубом, а в последующем - костный карман. От костного кармана и развиваются серьезные заболевания пародонта (опорноудерживающий аппарат зуба). Сначала развивается гингивит (воспаление десен), который постепенно переходит в пародонтит. Все это и впоследствии приводит к расшатыванию и потере совсем невинных зубов. Часто пародонтит именуют с "пародонтозом" устаревшее понятие для не воспалительного процесса атрофии кости челюсти. Напротив, при пародонтите речь идет, прежде всего, о воспалительном процессе.
Поддесневой зубной камень гингивит зубодесневой карман пародонтит костный карман расшатыванию и потеря зубов
Гингивит-это воспаление десен, без нарушения целостности пародонта. Это начальная стадия развития болезней пародонта Ткань здоровых десен имеет светло-розовую окраску без каких-либо видимых вооруженным глазом изменений. Здоровая десна не кровоточит при правильной чистке зубов воспаленная ткань десен имеет темно-красную окраску и часто кровоточит при малейших прикосновениях к ней зубной щеткой. Если у Вас появилось ощущение, что Ваши зубы стали "длиннее", или их шейки обнажились (отхождение десны от зубов), это может свидетельствовать о начавшемся пародонтите. Наличие неприятного запаха изо рта. Причиной этого могут быть наличие назубных отложений, застрявшие в зубах, межзубных промежутках или в зубодесневых карманах. Покраснение, припухлость и напряжение десен. Веерообразное расхождение зубов, появление промежутков между ними. Появление гноя между зубом и десной при надавливании на десну.
Острый пародонтит может быль вызван механическим повреждением или раздражением пародонта в результате травмы, некачественного пломбирования зубов или неверно поставленной коронки. В этом случае неожиданно появляется воспаление локальной части пародонта.
Лечение пародонтита осмотра, обследования постановки диагноза В первое посещение врач-пародонтолог определяет количество зубных отложений (зубной налет и камни), степень кровоточивости десен, измеряет глубину пародонтальных карманов. Рассматриваются панорамные снимки, модели зубов пациента. Первым этапом лечения пародонтита является профессиональная чистка зубов(удаление зубного налета, камней, полировка корней зубов). Важно очень научить пациентам правильной индивидуальной гигиены полости рта. Пациентам назначают зубные пасты специального назначения, например, Пародонтакс.
Закрытый кюретаж - чистка пародонтальных карманов. Процедура: под местной анестезией с применением тонких ручных или ультразвуковых инструментов производится чистка пародонтальных карманов, полировка корней зубов. Через 4 -8 недель после закрытого кюретажа, доктор обследует глубину десневых карманов(неглубокие карманы уже после закрытого кюретажа могут исчезнуть, а глубокие карманы могут уменьшиться). Если при обследования после закрытого кюретажа глубина карманов более 5 мм, то назначается пациентам открытый кюретаж.
Открытый кюретаж проводится под местной анестезией. Отличается от закрытого тем, что при открытом кюретаже отслаивается десна, и проводится более глубокий кюретаж. После кюретажа в карманы наносятся костеобразующие препараты для дальнейшей стимуляции роста костной ткани (возмещение потерянной костной субстанции). После этого ушивается десна.
Лоскутная операция проводится при глубине пародонтальных карманов более 6 мм. Процедура: чистка костных карманов, абсолютное удаление грануляционных тканей, применение костеобразующих препаратов для возмещения потерянной костной ткани. При лоскутной операции важное преимущество - максимально тщательная обработка костных карманов. Для лучшей обработки и лучшего обзора костных карманов. После местной анестезии делаются два вертикальных разреза, и откидывается лоскут. После чего пародонтолог удаляет грануляционные ткани со стенок карманов, снимает отложения и сглаживает поверхность корней. Для воздействия на механизмы костеобразования применяется остеопластическая подсадка костной ткани. Накладываются швы, затем пародонтальная повязка.
Закрытый кюретаж Открытый кюретаж Лоскутная операция
Роль зубных отложени в развитии пародонта.pptx