Скачать презентацию Ревматическая триада — Генетическая предрасположенность Инфекционный фактор Скачать презентацию Ревматическая триада — Генетическая предрасположенность Инфекционный фактор

Ревматоидный артрит.pptx

  • Количество слайдов: 9

 «Ревматическая триада» - Генетическая предрасположенность Инфекционный фактор «Пусковой фактор» «Ревматическая триада» - Генетическая предрасположенность Инфекционный фактор «Пусковой фактор»

Микроскопически - Сосудистые изменения Инфильтрация Т и B-лимфоцитами Синтез цитокинов Выработка ревматоидных тел Аутоиммунные Микроскопически - Сосудистые изменения Инфильтрация Т и B-лимфоцитами Синтез цитокинов Выработка ревматоидных тел Аутоиммунные процессы Воспаление, альтерация

Макроскопически - Гиперемия и отек синовиальной оболочки - Увеличение количества суставной жидкости - Симметрическая Макроскопически - Гиперемия и отек синовиальной оболочки - Увеличение количества суставной жидкости - Симметрическая и асимметрическая деформация сустава (суставов).

Клиническая симптоматика - Боль в суставах при движении Утомляемость Снижение аппетита Похудение Изредка проявления Клиническая симптоматика - Боль в суставах при движении Утомляемость Снижение аппетита Похудение Изредка проявления лихорадки.

Критерии диагноза ревматоидного артрита Американской ревматологической ассоциации (1987). Наличие, по крайней мере, 4 из Критерии диагноза ревматоидного артрита Американской ревматологической ассоциации (1987). Наличие, по крайней мере, 4 из следующих признаков: -утренняя скованность более 1 часа; -артрит 3 и более суставов; -артрит суставов кистей; -симметричный артрит; -ревматоидные узелки; -положительный ревматоидный фактор; -рентгенологические изменения.

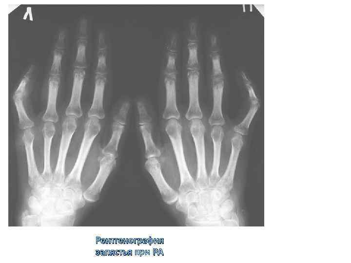
Рентгенография запястья при РА Рентгенография запястья при РА

Рентгенография запястья в норме Рентгенография запястья в норме

Лечение - Иммунная депрессия - Противовоспалительные препараты, аналгетики - Хирургическое эндопротезирование и синвэктомия. Лечение - Иммунная депрессия - Противовоспалительные препараты, аналгетики - Хирургическое эндопротезирование и синвэктомия.

Статистические данные - Болеет 0, 8% населения Женщины болеют в 3 раза чаще В Статистические данные - Болеет 0, 8% населения Женщины болеют в 3 раза чаще В 70% случаев ведет к инвалидизации Как правило сопровождается серьезным нарушениями сердечно – сосудистой системы ( Перикардит, Тампонада сердца) и нарушениями других систем.