острые восполительные заболевания.ppt
- Количество слайдов: 39
Рентгенодиагностика острых воспалительных заболеваний легких
классификация острых пневмоний Л. С. Розенштрауха n n n n n Первичные пневмонии I. Бактериальные пневмонии. 1. Пневмококковые пневмонии: а) крупозная пневмония, б) бронхопневмония. 2. Стрептококковые и стафилококковые пневмонии. 3. Фридлендеровская пневмония. 4. Болезнь легионеров (легионеллез). II. Вирусные пневмонии. 1. Острая интерстициальная пневмония. Гриппозная пнев мония. 2. Орнитозная, пситтакозная пневмония. 3. Пневмония при аденовирусах. III. Микоплазменные пневмонии. IV. Пневмоцистные пневмонии. V. Аллергические пневмонии. VI. Риккетсиозные пневмонии. Лихорадка КУ. VII. Паразитарные пневмонии. VIII. Грибковые пневмонии. Вторичные пневмонии I. Пневмонии при нарушениях кровообращения в малом круге. 1. Застойная пневмония. 2. Гипостатическая пневмония. 3. Инфарктная пневмония. II. Пневмонии при нарушениях бронхиальной проходимости. III. Аспирационные пневмонии. IV. Пневмонии при заболеваниях других органов и систем. 1. Пневмонии при гнойных заболеваниях. 2. Пневмонии при инфекционных заболеваниях. 3. Пневмонии при других первичных процессах. V. Травматические пневмонии. VI. Послеоперационные пневмонии.
Крупозная пневмония
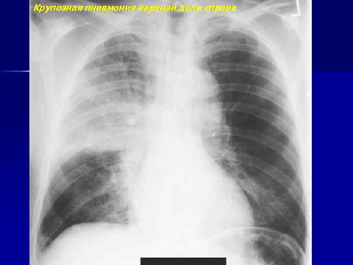
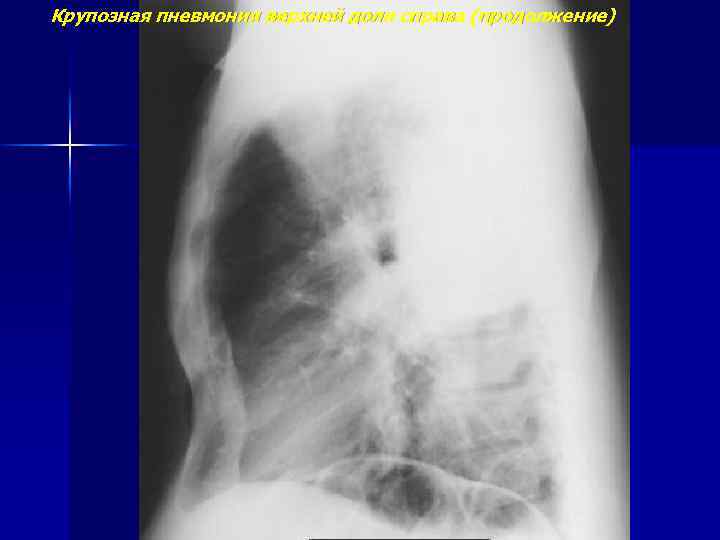
Крупозная пневмония верхней доли справа
Крупозная пневмония верхней доли справа (продолжение)
Крупозная пневмония верхней доли слева
Крупозная пневмония верхней доли слева (продолжение)
Крупозная пневмония средней доли справа
Крупозная пневмония средней доли справа (продолжение)
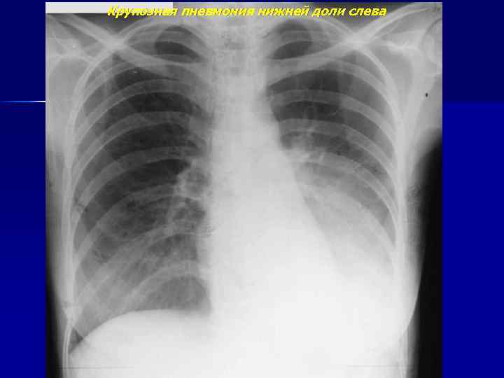
Крупозная пневмония нижней доли слева
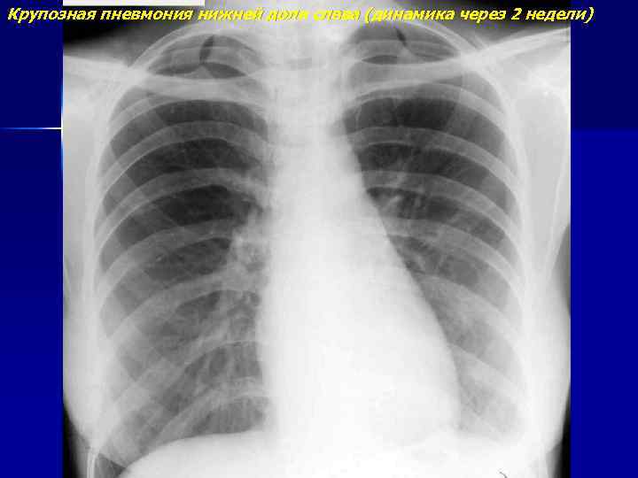
Крупозная пневмония нижней доли слева (динамика через 2 недели)
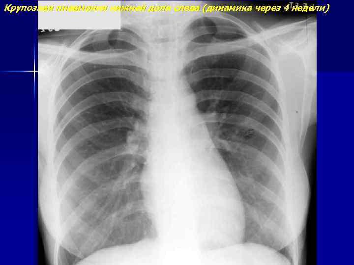
Крупозная пневмония нижней доли слева (динамика через 4 недели)
Разновидности течения исходы и осложнения крупозной пневмонии
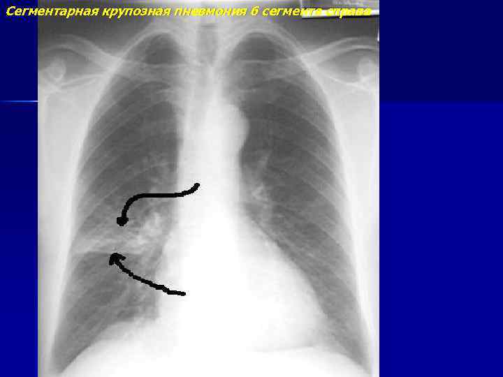
Сегментарная крупозная пневмония 6 сегмента справа
Сегментарная крупозная пневмония 6 сегмента справа (продолжение)
Сегментарная крупозная пневмония язычка справа
Сегментарная крупозная пневмония язычка слева (продолжение)
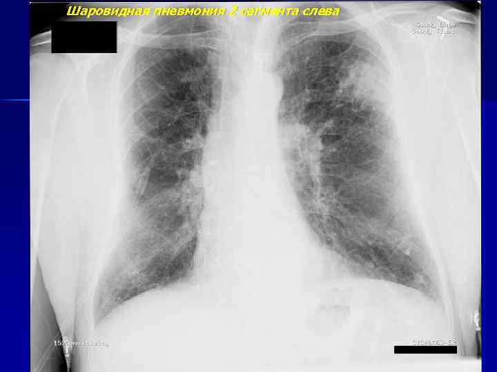
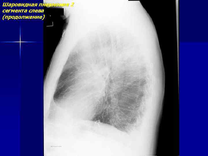
Шаровидная пневмония 2 сегмента слева
Шаровидная пневмония 2 сегмента слева (продолжение)
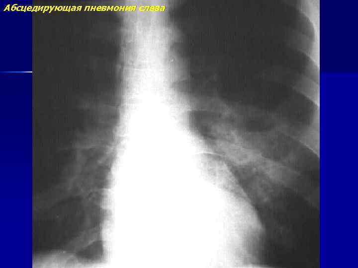
Абсцедирующая пневмония слева
Нижнедолевая крупозная пневмония слева с плевритом
Бронхопневмония
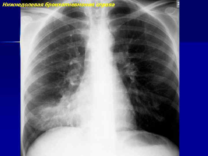
Нижнедолевая бронхопневмония справа
Двухсторонняя прикорневая бронхопневмония
Нижнедолевая бронхопневмония слева
Разновидности течения бронхопневмонии
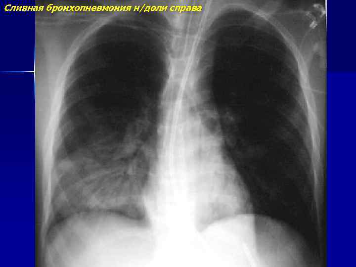
Сливная бронхопневмония н/доли справа
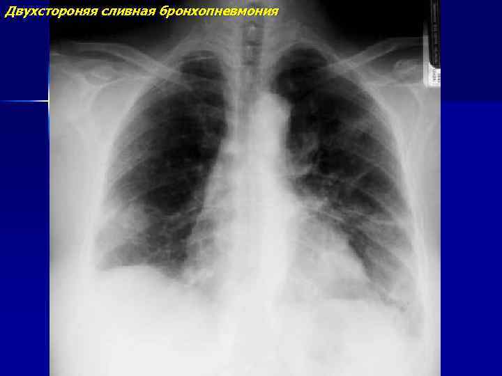
Двухстороняя сливная бронхопневмония
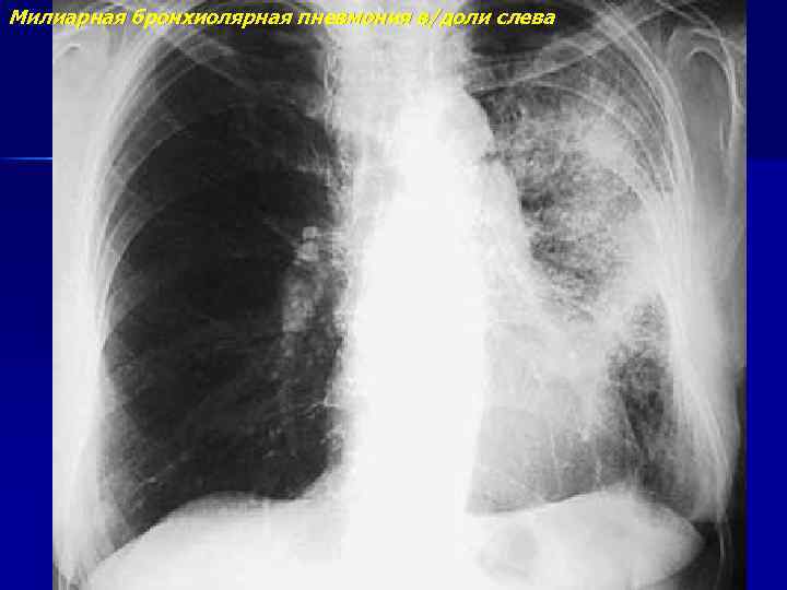
Милиарная бронхиолярная пневмония в/доли слева
Стафилококковые и стрептококковые пневмонии
Двухсторонняя стафилококковая пневмония с распадом справа
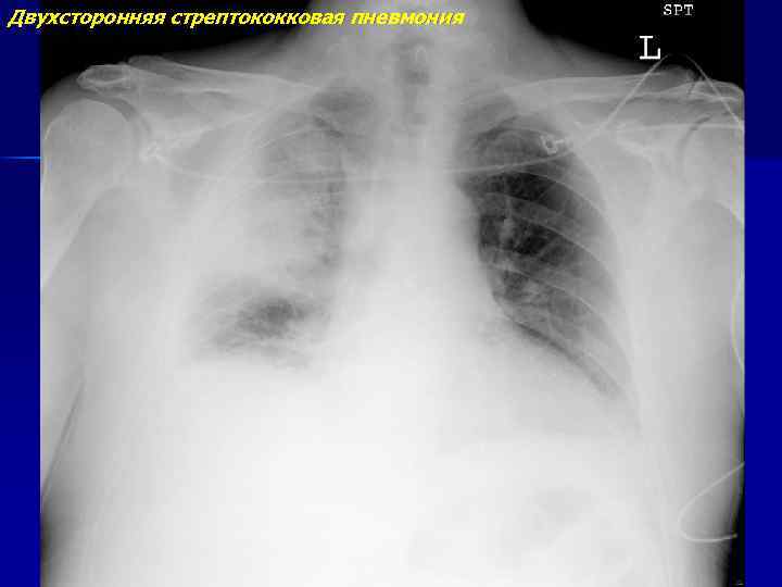
Двухсторонняя стрептококковая пневмония
Фридлендеровская пневмония
Фридлендеровская пневмония в/доли справа с распадом
Болезнь легионеров (легионеллез)
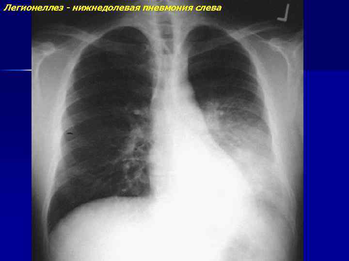
Легионеллез - нижнедолевая пневмония слева
Легионеллез - нижнедолевая пневмония слева (продолжение)
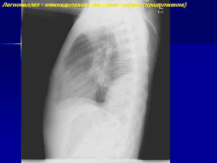
Легионеллез - нижнедолевая пневмония справа
Легионеллез - нижнедолевая пневмония справа (продолжение)
острые восполительные заболевания.ppt