Рентгенология - брюшная полость 2 занятие.ppt
- Количество слайдов: 159
Рентгенодиагностика Брюшная полость
Анатомия брюшной полости
Нормальная брюшная полость кота
Анатомия брюшной полости
Правое боковое положение
Левое боковое положение
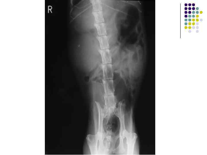
Брюшная полость кота
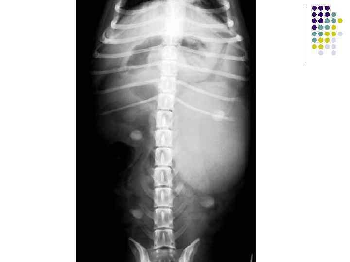
Брюшная полость собаки
Жидкость в брюшной полости
Абдоминальный выпот
Абдоминальный выпот
Асцит
Асцит у щенка тойтерьера
Асцит у лягушки
Асцит у ящерицы
Эффект «матового стекла» у щенка
Неоплазия брюшной полости
Неоплазия брюшной полости
Неоплазия брюшной полости
Неоплазия брюшной полости Аденокарцинома кишечника кошки
Неоплазия брюшной полости
Неоплазия брюшной полости Лимфосаркома кишечника у кота
Лимфосаркома кишечника у кота
Неоплазия корня брыжейки
Опухоль брыжейки кишечника
Объёмное образование в брюшной полости
Неоплазия поджелудочной железы
Неоплазия поджелудочной железы
Грыжа брюшной стенки
Грыжа брюшной стенки
Грыжа брюшной стенки
Паховая грыжа у суки
Промежностная грыжа
Кишечная непроходимость
Кишечная непроходимость
Кишечная непроходимость Ущемлённая паховая грыжа
Кишечная непроходимость
Кишечная непроходимость
Кишечная непроходимость
Кишечная непроходимость
Кишечная непроходимость
Кишечная непроходимость
Кишечная непроходимость Инвагинация кишечника
Кишечная непроходимость
Кишечная непроходимость Инвагинация у кошки
Кишечная непроходимость
Кишечная непроходимость Лимфосаркома кишечника
Кишечная непроходимость
Инородные тела в желудке Шерстный безоар у кота
Кишечная непроходимость Шерстный безоар у кота
Инородные тела в желудке Шерстный безоар у собаки
Шерстный безоар у собаки
Инородное тело кишечника
Инородное тело в кишечнике
Инородное тело в кишечнике
Инородное тело в кишечнике
Инородное тело в кишечнике
Инородное тело в кишечнике
Инородное тело в кишечнике
Инородное тело в кишечнике
Инородное тело в кишечнике
Инородное тело в кишечнике
Инородные тела в желудке и кишечнике
Заворот желудка
Заворот желудка
Заворот желудка
Заворот желудка
Острое расширение желудка
Копростаз
Копростаз
Копростаз
Копростаз
Копростаз
Копростаз
Копростаз
Копростаз
Копростаз и промежностная грыжа
Печень
Печень Норма
Печень Увеличение
Печень
Гепатомегалия
Гепатомегалия
Гепатомегалия
Увеличение печени Жировая дистрофия печени у кота при сахарном диабете.
Опухоль печени
Жировая дистрофия Рак печени
Печень Абсцесс печени
Печень Киста желчного пузыря у 10 летнего перса к
Киста желчного пузыря у 10 летнего перса
Печень Уменьшение
Портосистемный шунт у 2 летнего эрделя
Матка (пиометра)
Пиометра
Пиометра
Пиометра
Пиометра
Беременность
Беременность
Беременность
Беременность
Беременность
Беременность Эмфизема плода
Беременность Мацерация плода
Разрыв матки (жидкость и газ в брюшной полости)
Беременность у черепахи
Беременность у черепахи
Беременность у змеи
Мочевыделительная система
Нормальные почки кота
Нормальные почки хорька
Нормальный мочевой пузырь у кота
Увеличенный мочевой пузырь
Увеличенный мочевой пузырь
Увеличенный мочевой пузырь Неоплазия 2 поясничного позвонка
Камни мочевого пузыря
Камни мочевого пузыря
Камни мочевого пузыря
Камни мочевого пузыря
Камни мочевого пузыря
Камни мочевого пузыря
Камни мочевого пузыря
Камень в мочевом пузыре игуаны
Камень в мочевом пузыре черепахи
Камни в уретре
Камни в уретре
Камни в уретре
Камни почечной лоханки
Камни почечной лоханки
Камни в почечных лоханках и в мочевом пузыре
Камень в почке у пекинеса
Камень в почке у пекинеса
Камень почечной лоханки
Камни в почечных лоханках
Гидронефроз обеих почек
Поликистоз почки у перса
Поликистоз почки у перса
Поликистоз
Опухоль почки
Опухоль почки
Лимфосаркома обеих почек
Уменьшенные почки у кота
Х. П. Н.
Х. П. Н.
Гиперплазия предстательной железы
Гиперплазия предстательной железы
Рентгенология - брюшная полость 2 занятие.ppt