РЕНТГЕНДИАГНОСТИКА ПАТОЛОГИИ КОСТНОЙ СИСТЕМЫ S. Matcovschi Dşm, Conf.




































































































1320-osteoarticular_ru.ppt
- Количество слайдов: 100
РЕНТГЕНДИАГНОСТИКА ПАТОЛОГИИ КОСТНОЙ СИСТЕМЫ S. Matcovschi Dşm, Conf. Univ.
Строение кости Фотография распила проксимального конца бедренной кости Рентгенограмма того же распила
Схема распределения силовых линий в шейке бедренной кости
Симптомы перелома – линия перелома Виды переломов a. Поперечный • d. Т -образный b. Косой • e. V -образный c. Продольный
Симптомы перелома – смещение отломков Виды смещения a. Боковое смещение • d. Продольное смещение b. Продольное смещение с вклинением отломков с захождением отломков • e. Угловое смещение c. Продольное смещение • f. Периферическое с расхождением отломков смещение
Рентгенограмма бедра Укорочение кости за счет захождения отломков
Перелом правой ветви нижней челюсти – поперечная линия перелома в ментальной области, после репозиции и фиксации.
Рентгенограмма локтевого сустава Нарушение соотношения суставных поверхностей (вывих)
Симптомы костной патологии 1. изменение формы и величины 2. нарушение контуров 3. нарушение костной структуры Изменение формы и размеров Искривление кости Дугообразное • Угловое • S -образное
Атрофия кости (схема) Эксцентрическая • Концентрическая
Рентгенограмма голени и голеностопного сустава Атрофия от давления
Выраженная атрофия альвеолярного отростка с исчезновением межальвеолярных перегородок, уменьшение в объеме ветвей нижней челюсти.
ЛОКАЛЬНОЕ УВЕЛИЧЕНИЕ ОБЪЕМА КОСТИ Рентгенограмма бедра Вздутие кости
Рентгенограмма бедра Утолщение кости (гиперостоз) Равномерное Одностороннее Изменение контуров кости
Остеопороз Остеосклероз Остеодеструкция Остеонекроз Остеолиз Изменение структуры костной ткани
Остеопороз Норма В губчатом веществе В корковом слое Изменение структуры костной ткани
Рентгенограмма поясничного отдела позвоночника
Рентгенограмма коленного сустава Гипертрофический остеопороз
Остеосклероз Норма В губчатом веществе В корковом слое
Рентгенограмма голени. Остеосклероз Очаговый склероз • Эбуреация кости
ОСТЕОДЕСТРУКЦИЯ Рентгенограмма бедра и области коленного сустава Остеодеструкция при остеомиелите
Рентгенограмма стопы Остеодеструкция при туберкулезном остите
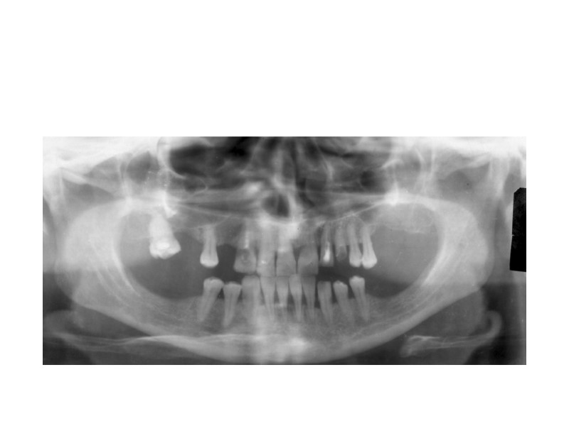
Полная деструкция коронки верхнего VIII-го и нижнего VII-го зубов справа.
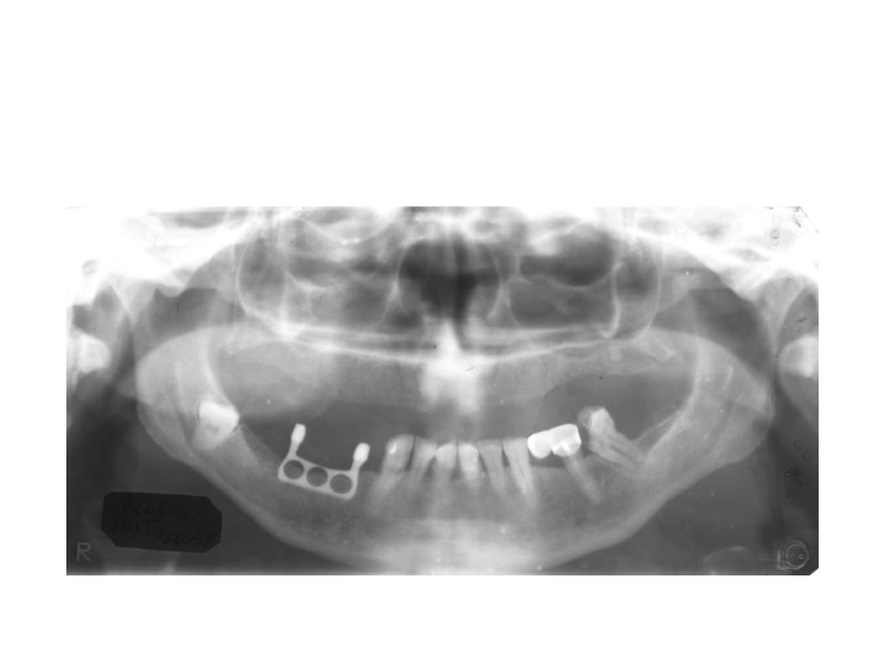
Деструктивный процесс правой ветви нижней челюсти с дополнительным карманом и секвестром в нем
Тотальный деструктивный процесс левой ветви нижней челюсти (одонтогенный остеомиелит)
Одонтогенная киста с ячеистой структурой.
Рентгенограмма голени Остеодеструкция при остеогенной саркоме литического типа
Рентгенограмма голени Остеодеструкция при метастазах
Рентгенограмма плеча Остеодеструкция при солитарной костной кисте
Рентгенограмма предплечья Остеодеструкция при гигантоклеточной опухоли, литическая фаза
Рентгенограмма голени Остеодеструкция при гигантоклеточной опухоли, ячеистая фаза
Различные положения секвестра (схема) Внутри полости • Пенетрирующий • Вне кости
Рентгенограмма области коленного сустава Губчатый секвестр
Рентгенограмма бедра Корковый секвестр
Рентгенограмма бедра Секвестр внутри полости
Деструктивный процесс правой ветви нижней челюсти с дополнительным карманом и секвестром в нем
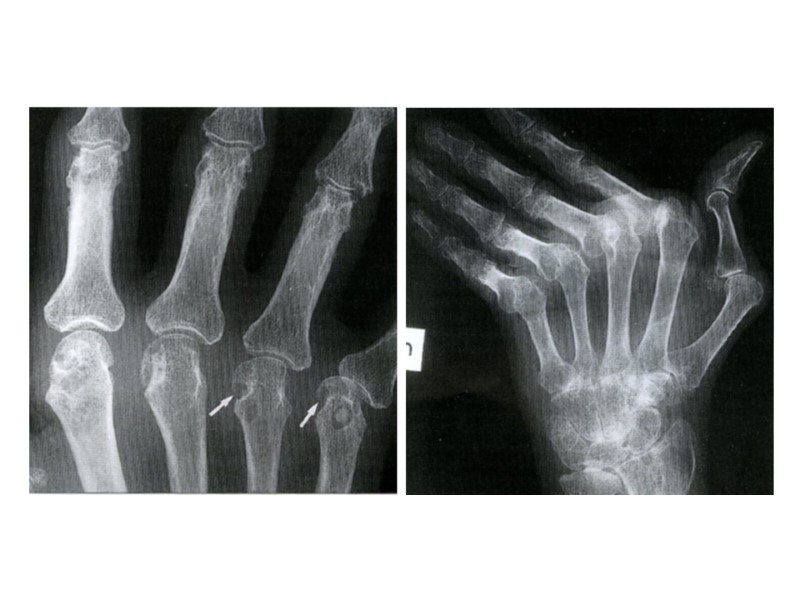
Рентгенограмма пальцев кисти Остеолиз фаланг пальцев
Рентгенограмма локтевого сустава Остеолиз суставных концов
ИЗМЕНЕНИЯ НАДКОСТНИЦЫ Рентгенограмма голени Линейный периостит
Рентгенограмма бедра Слоистый периостит
Рентгенограмма бедра Бахромчатый периостит
Рентгенограмма бедра Кружевной периостит
Рентгенограмма голени Игольчатый периостит
Рентгенограмма бедра Периостальные наслоения в виде так называемого козырька
Рентгенологические симптомы Расширение рентгеновской суставной щели Сужение рентгеновской суставной щели Склероз субхондральных пластинок Продуктивные изменения по краям суставной поверхности Узурация суставной поверхности Патологические подвывихи Изменения суставов
Рентгенограмма таза Расширение рентгеновской суставной щели (слева) при остеохондропатии
Pacienta N.,44 ani suferă de LES. În rînd cu alte simptoame au apărut dureri în articulaţiile coxomefurale pe dreapta. A – Radiografia articulaţiilor coxofemurale –fără modificări patologice. B – Scintigrafia: pe dreapta cumulare intensivă a farmaceuticului
-A Explorare radiologică:suspiciune de NA pe stînga -B T1 suspendată IMR frontală articulaţiei coxomemurală pe stînga. Se constată intensitate superioară în regiunea osteonecrozei, ce manifestă prezenţa degeneraţiei adipoase.
Explorare IRM a mîinii drepte. A-B – sînt efectuate în incidenţa coronariană T1 Imaginea C efectuate în incidenţa transversală T1. se constată sinovita de gr III. Tomografia prin IRM a permis diagnosticul diferenţiat între AR şi artrita reactivă prin constatarea sinovitei hipertrofice ce este caracteristic pentru AR.
Расширение рентгеновской суставной щели в результате деструкции суставных концов (схема)
Рентгенограммы коленного сустава Сужение рентгеновской суставной щели Равномерное • Неравномерное Изменения суставов
Рентгенограмма области коленного сустава Склероз субхондральных пластинок
Рентгенограмма плечевого сустава Краевые костные разрастания
Рентгенограмма тазо-бедренного сустава Кистозные изменения при деформирующем артрозе
Рентгенограмма локтевого сустава Нарушение соотношения суставных поверхностей (вывих)
Пневмоартрограмма коленного сустава Добавочные внутрисуставные образования (мыши)
Рентгенограмма локтевого сустава Хондроматоз
Рентгенограмма коленного сустава Костный анкилоз
Височно-нижнечелюстной сустав
Анатомия височно-нижнечелюстного сустава
Мыщелок нижней челюсти вид спереди и сверху
Основание черепа нижнечелюстная впадина
Боковые томограммы ВНЧ сустава в различных положениях мыщелка
Транскраниальная проекция ВНЧ сустава справа (закрытый и открытый рот)
Линии ориентации и репозиции Телерадиография в профиль (F. Bassigni, 1991)

