Рентгенанатомия на панорамных снимках..pptx
- Количество слайдов: 18
Рентгенанатомия при ортопантомографии.
• На стандартных суммационных снимках, таких как ОПТГ, зонограммы , все анатомические структуры проецируются друг на друга, объемное изображение переноситься на двухмерный плоский снимок, трехмерные структуры не только проецируются друг на друга но и зависимости от их удаления от выделяемого слоя размазываются или стираются. В связи с этим рентгенанатомия имеет свои особенности и закономерности, которые лежат в особенностях интерпретации рентгеновского снимка. Ортопантомография с ее изменяющейся соответственно строению челюстей толщиной выделяемого слоя является не собственно томографией по своей природе, а зонографией или толстослойным снимком, на котором структуры расположенные вне выделяемого слоя, также появляются на изображении и могут затруднить расшифровку снимка.
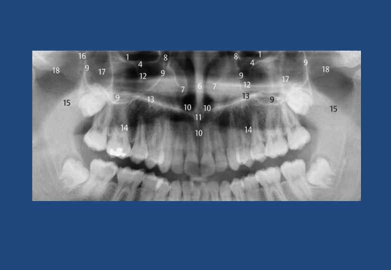
• 1. Рентгенанатомия при ОПТГ. • 2. Глазница • 3. Атлантоокципитальное сочленение • 4. Щека с носогубной складкой • 5. Подглазничный канал • 6. Компактное вещество в основании противоположной стороны челюсти • 7. Перегородка носа с носовым гребнем верхней челюсти • 8. Нижняя носовая раковина • 9. Слезная ямка • 10. Верхнечелюстная пазуха (границы) • 11. Носонебный канал и резцовое отверстие • 12. Верхняя носовая ость • 13. Горизонтальная пластинка небной кости • 14. Латеробазальная граница носовой полости, крыша неба располагается между 12 и 13 • 15. Спинка языка • 16. Небная занавеска • 17. Крыловидно-небная ямка • 18. Тело скуловой кости с безымянной линией • 19. Скуловая дуга
• • • • • • 1. Глазница 2. Шейные отдел позвоночника и зуб второго шейного позвонка 3. Компактный слой вещества в основании противоположной половины челюсти 4. Перегородка носа 5. Нижняя носовая раковина 6. Верхнечелюстная пазуха 7. Передний носовой гребень 8. Горизонтальная пластинка небной кости 9. Боковая стенка полости носа 10. Небная занавеска 11. Крыловидно-небная ямка 12. Тело скуловой кости с безымянной линией 13. Скуловая дуга 14. Компактное вещество тела нижней челюсти 15. Челюстно-подъязычная линия 16. Канал нижней челюсти 17. Подбородочное отверстие канала нижней челюсти 18. Двубрюшная или подбородочная ямка 19. Ушная раковина с отверстием наружного слухового прохода 20. Мыщелковый отросток нижней челюсти 21. Венечный отросток нижней челюсти 22. Шиловидный отросток височной кости 23. Подъязычная кость 24. Основание языка
• • • • • • • 1. Верхнечелюстная пазуха границы 2. Горизонтальная пластинка небной кости и латеробазальная граница полости носа 3. Венечный отросток, наслаивающейся на крыловидный отросток клиновидной кости, бугор верхней челюсти и мягкие ткани небной занавески 4. Тело скуловой кости с безымянной линией 5. Безымянная линия (линия на височной поверхности скуловой кости) 6. Скуловая дуга 7. Височно-скуловой шов 8. Суставная ямка 9. Суставной бугорок 10. Мягкие ткани ушной раковины 11. Наружный слуховой проход 12. Мыщелковый отросток и головка нижней челюсти 13. Шиловидный отросток височной кости 14. Верхние отделы глотки 15. Небная занавеска 16. Спинка языка 17. Отверстие нижнечелюстного канала 18. Нижнечелюстной канал 19. Передний бугорок первого шейного позвонка 20. Зуб второго шейного позвонка 21. Отверстие поперечного отростка второго шейного позвонка 22. Наружная косая линия (продолжение переднего края в каудальном и боковом направлениях) 23. Височный гребень 24. Бугор верхней челюсти 25. Крыловидно-небная ямка
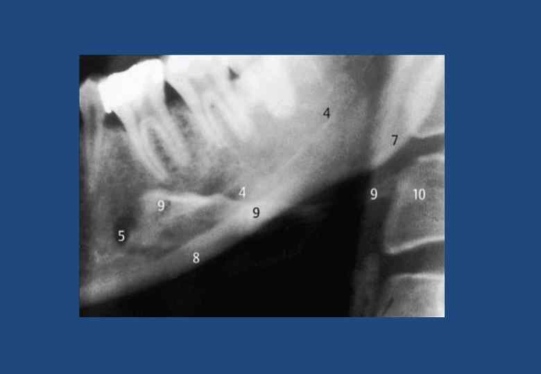
• • • • • • 1. Наружная косая линия (продолжение переднего края в каудальном и боковом направлениях) 2. Височный гребень с ретромолярным треугольником 3. Нижнечелюстное отверстие 4. Нижнечелюстной канал 5. Подбородочное отверстие 6. Угловой отросток на жевательной бугристости 7. Угол нижней челюсти 8. Компактное вещество в основании нижней челюсти 9. Подъязычная кость с ее большим рогом 10. Шейный отдел позвоночника с отчетливо видимыми замыкающими пластинами тел позвонков 11. Верхнечелюстная пазуха (границы) 12. Спинка языка 13. Медиальный полюс суставной головки 14. Латеральный полюс суставной головки 15. Венечный отросток в суперпозиции к крыловидному отростку, бугру верхней челюсти и тканям небной занавески 16. Шейка мыщелкового отростка 17. Небная занавеска 18. Тень крыши неба и тел носовых раковин 19. Верхний отдел глотки 20. Длинный оссифицированный шиловидный отросток 21. Тень компактного вещества противоположной стороны челюсти


