пузырные дерматозы.ppt
- Количество слайдов: 106
Пузырные дерматозы Кафедра дерматовенерологии ГОУ ВПО Ор. ГМА
Пузырные (буллёзные) дерматозы –группа не инфекционных заболеваний кожи, основным морфологическим элементом которых является пузырь.
Классификация буллёзных дерматозов: 1. Истинная (акантолитическая) пузырчатка: • А. Вульгарная; • Б. Вегетирующая; • В. Листовидная (эксфолиативная) и её эндемический вариант – бразильская; • Г. Эритематозная (себорейная).
2. Пемфигоид (неакантолитическая пузырчатка): А. Буллёзный пемфигоид Левера; Б. Рубцующийся пемфигоид. В. Пемфигоид беременных ( «Herpes hestationis» ); Д. Доброкачественная неакантолитическая пузырчатка только полости рта Пашкова- Шеклакова.
3. Герпетиформные дерматозы А. Герпетиформный дерматоз Дюринга; Б. Субкорнеальный пустулёз Снеддона. Уилкинсона; В. Энтеропатический акродерматит (болезнь Данбольта-Клосса).
4. Наследственные пузырные дерматозы: А. Доброкачественная хроническая семейная пузырчатка Гужеро-Хейли; Б. Группа буллёзного эпидермолиза
ИСТИННАЯ, ПУЗЫРЧАТКА (Pemphigus acantholiticus)
Теории возникновения: - инфекционная - нейрогенная - эндокринная - энзимная - токсическая - наследственная
Ø Аутоагрессия против межклеточной субстанции, белков десмосом, клеток шиповатого слоя, многослойного плоского эпителия видимых слизистых оболочек Ø Разрушение десмосом эпидермоцитов и эпителия слизистых оболочек Ø Разрушение связей между клетками шиповатого слоя эпидермиса
АП - тяжелое, неуклонно прогрессирующее, аутоиммунное заболевание, с хроническим, волнообразным течением, с образованием на неизменённой коже и видимых слизистых оболочках внутриэпидермальных пузырей, формированием распространённых поражений кожи и слизистых, что без адекватного лечения приводит к гибели больных в течение 1 -2 лет.
Частота встречаемости – 0, 6% всех дерматозов. Распределение по полу и возрасту – чаще болеют женщины в возрасте 4060 лет. Реже болеют мужчины. Очень редко - дети.
Начало болезни внезапное, без видимых причин, чаще на слизистых оболочках рта и красной кайме губ (более 60% случаев), реже – на слизистой гортани, задней стенке глотки, трахеи, слизистой носа, половых органов, прямой кишки. Через 1 -3 месяца появляются высыпания на коже.
• Высыпания в ротовой полости сопровождаются выраженной болезненностью; саливацией; невозможностью нормально разжевывать пищу и глотать пищу; проводить гигиеническую обработку рта. • На эрозиях появляются гнойно-фибринозные налёты со зловонным запахом; • Могут быть охриплость голоса, поражение слизистой носа
Патогномоничные симптомы вульгарной пузырчатки: 1. Симптом Никольского 2. Краевой симптом Никольского 3. Симптом Асбо-Ханзена 4. Феномен «груши» (симптом Шеклакова Н. Д. , 1961 г. )
Суть этого феномена заключается в отслойке части клинически не измененного эпидермиса при скользящем давлении (трении) пальцем рядом с очагом поражения и в отдалении. Верхний слой эпидермиса сдвигается под пальцем в виде тонкой плёнки (как бы соскальзывает), образуя эрозию.
• Краевой симптом Никольского воспроизводится при потягивании пинцетом за покрышку пузыря, когда эпидермис отслаивается за пределы пузыря более 0, 5 см.
Менее информативен симптом, описанный Асбо- Ханзеном. При давлении пальцем или покровным стеклом сверху на пузырь, площадь его основания увеличивается. Этот симптом положительный не только при пузырчатке, но и при пемфигоидах за счёт перисодержимого в краевой зоне.
• Дебют заболевания (часто на слизистой оболочке рта глотки, носа). • Высыпания локализованы, общее состояние удовлетворительное. • Может начаться с поражения кожи с последующим вовлечением в процесс слизистых оболочек. • Длительность фазы - несколько месяцев (2, 3 и более)
• появление высыпаний на коже; • постепенное распространение патологического процесса при сохранении относительно удовлетворительного состояния.
• Разгар заболевания. • Распространение пузырей и эрозий на весь кожный покров и видимые слизистые оболочки, образование обширных эрозий. • Нарастание интенсивности болевого синдрома в зонах поражения. • Симптомы интоксикации, высокая лихорадка, потеря веса.
• КЛИНИЧЕСКИЕ • ЛАБОРАТОРНЫЕ
1. Характерная клиническая картина поражения 2. Положительный симптом Никольского на видимо неизменённой коже. 3 Краевой симптом Никольского. Положительный симптом Асбо-Хансена
4. Цитологический метод диагностики (по Тцанку): - получение мазков отпечатков со дна свежих эрозий на коже с использованием сухих обезжиренных спиртом стёкол, которые плотно прикладывают к поверхности эрозий; - опосредованный способ - путём мягкого граттажа
Акантолитические клетки (Павлов С. Т. , 1932; Tzank A. , 1948) изменившиеся клетки шиповатого слоя, подвергшиеся акантолизу и дегенерации, имеющие отличительные от нормальных клеток этого слоя морфологические и тинкториальные свойства.
Акантолитические клетки • Они круглые (овальные), разобщены, величина АК меньше величины нормальных клеток. • Ядра интенсивно окрашены. • В увеличенном ядре обнаруживаются 2 -3 крупных ядрышка. • Цитоплазма резко базофильна, окрашивается неравномерно.
5. Гистологический метод исследования Внутриклеточный отёк и исчезновение межклеточных мостиков в нижней части шиповатого слоя. Акантолиз щели, пузыри супрабазальное положение) Отдельные шиповатые клетки прикреплённые к слою неизменённых базальных клеток.
6. Иммуноморфологические исследования: - Метод прямой иммунофлюоресценции (ПИФ) – выявление Ig. G и комплемента в межклеточных пространствах эпидермиса в виде зеленоватого свечения. - Метод непрямой иммунофлюоресценции (РНИФ) – выявление в крови и жидкости пузыря высоких титров аутоантител (Ig. G) к белкам десмосом. Высота их титров прямо коррелирует с тяжестью течения пузырчатки
Вегетирующая пузырчатка
• дебют заболевания аналогичен таковому при вульгарной пузырчатке; • одновременно с поражением слизистой оболочки полости рта или несколько позже высыпания появляются на коже вокруг естественных отверстий (в месте перехода слизистой в кожу) и в естественных складках кожи на соприкасающихся поверхностях; • появление вегетирующих образований в области сливающихся эрозий.
I тип вегетирующей пузырчатки (Neumann) • На поверхности пузырей/эрозий вегетирующие очаги с гиперкератозом • Склонность к росту • Обильный экссудат серозно-гнойный со зловонным запахом (присоединение вторичной флоры) • По периферии узкая эрозированная кайма с остатками пузырей • М. б. на гладкой коже
II тип вегетирующей пузырчатки (Hallopeau вегетирующяя пиодермия) • Первичный морфологический элемент – сгрупированные желтоватые пустулы (мелкие акантолитические пузыри с большим скоплением эозинофильных лейкоцитов) • Внутри пузырей, на поверхности эрозий папилломатозные разрастания с мацерированной поверхностью • Выраженные боли
Диагностика Гистопатология: I – при свежем пузыре изменения аналогичны вульгарной пузырчатке. При папилломатозно-веррукозных изменениях массивный акантоз, папилломатоз, гиперкератоз, внутриэпидермальные микроабсцессы с эозинофильными лейкоцитами. II – ранние очаги – пузыри пустулы: акантолиз с образованием мелких щелей, располагаются супрабазально. В дерме – эоз. инфильтрат, в эпидермисе – спонгиоз.
Дифференциальная диагностика • вульгарная пузырчатка, широкие кондиломы при вторичном сифилисе, некоторые формы лекарственной токсикодермии, черный акантоз, хроническая доброкачественная пузырчатка Гужеро-Хейли
Листовидная пузырчатка
• Тяжёлое злокачественное заболевание • Патогенез Клиника: • Обычно на коже в/ч головы, лица, груди, спины, слизистые не поражаются • Пузыри, эрозии быстро трансформирующиеся в слоистые чешуйко-корки. • Повторное образование на местах прежних эрозий – желтовато-коричневатые чешуйко-корки (слоёное тесто или спресованные листья)
Клинические варианты • Бразильская листовидная пузырчатка • Себорейная пузырчатка • Герпетиформная пузырчатка
Себорейная пузырчатка
• • Проявляется в более раннем возрасте до 30 лет Проявляется на себорейных участках кожи Хроническое доброкачественное течение Заболевание провоцируют УФ-облучение, медикаменты • Без лечения м. б. переход в листовидную форму
• Патогенез аутоиммунный: аутоатитела к десмоглайну 1 и плакоглобину. • Акантолиз в верхних слоях шиповатого слоя, под зернистым или даже под роговым. • Часто АТ откладываются в зоне базальной мембраны (как при красной волчанке).
- Слизистые поражаются редко. Сочетает симптомы: Себорейного дерматита (эритема, шелушение) Дискоидной красной волчанки (эритема, инфильтрация, гиперкератоз) Пузырчатки (вялые пузыри)
• Диагностика: аналогичная • Цитология: дискератотические кератиноциты, лейкоциты, акантолитические клетки обнаруживаются не всегда • Гистология: в эпидермисе щели и плоские пузыри под роговым или зернистом слоем, в области базальных кератиноцитов вакуольная дегенерация, фоликулярный гиперкератоз. Дерма: расширение капиляров и периваскулярные инфильтраты, утолщение БМ.
Дифференциальный диагноз • • с другими формами пузырчатки, себорейным дерматитом, с кожными формами красной волчанки, с распространенным стрептококковым и вульгарным импетиго, • субкорнеальным пустулёзом Снеддона. Уилкинсона.
Дифференциальная диагностика клинических форм истинной пузырчатки Локализация, клинические проявления Вульгарная пузырчатка Видимые слизистые оболочки, чаще в полости рта; кожа головы, туловища, может быть в кожных складках. Вялые нестойкие пузыри на видимо не измененной коже и слизистых, длительно существующие эрозии под корками (вне складок) пигментные пятна Вегетирующая пузырчатка Слизистые оболочки, чаще рта, крупные складки кожи, места перехода кожи в слизистые оболочки. Вялые, быстро вскрывающиеся пузыри на неизмененной слизистой и коже; стойкие эрозии с белесоватой (мацерированной) вегетирующей поверхностью. Увеличивающиеся в размерах, сливающиеся Пузырчатка себорейная Пузырчатка листовидная
Пузырчатка себорейная Лицо, волосистая часть головы, грудь, спина, редко может поражаться слизистая оболочка рта. Высыпания представленны слабо инфильтрированными эритематозными бляшками, покрытыми чешуйками и пластинчатыми корками, при снятии которых обнажаются поверхностные эрозии. Могут yт наблюдаться тонкостенные дряблые пузыри на эритематозном фоне Пузырчатка листовидная Кожа головы, грудь, спина (чаще себорейные участки). На лице поражение может напоминать форму бабочки. Слизистые не поражаются. Эритематозные очаги склонны к периферическому росту, покрыты слоистыми чешуйко-корками, при снятии которых – эрозии. Отдельные плоские пузыри на эритематозном фоне. Характерны периферический рост, слияние очагов, формирование эксфолиативной эритродермии
Симпотом Никольского Вульгарная пузырчатка + Вегетирующая пузырчатка + Себорейная пузырчатка ++ Листовидная пузырчатка +++ Цитодиагностика (мазок-отпечаток) Вульгарная пузырчатка Акантолитические клетки Вегетирующая пузырчатка Акантолитические клетки, эозинофилы Себорейная пузырчатка Акантолитические клетки обнаруживают редко Листовидная пузырчатка То же
Гистологическая диагностика Вульгарная пузырчатка Интраэпидермильный, супрабазальный акантолиз обуславливает образование щелевидной полости, выстилаемой шиповатыми (акантолитическими) клетками Вегетирующая пузырчатка Интраэпидермальный, супрабазальный акантолиз, щелевидные сипрабазальные полости, псевдоэпителиоматозная гиперплазия, акантолитические клетки, многочисленные эозинофилы Себорейная пузырчатка Интраэпидермальный, субкорнеальный акантолиз, воспалительная инфильтрация сосочкового слоя дермы Листовидная пузырчатка Интраэпидермальный, субкорнеальный акантолиз, приводящий к щелевидным полостям под роговым слоем и на уровне зернистого слоя. Слабый воспалительный инфильтрат в дерме.
Прямая ИФ Вульгарная пузырчатка Отложение Ig G и С 3 -комплемента на уровне межклеточных связей клеток шиповатого слоя эпидермиса Вегетирующая пузырчатка Тоже Себорейная пузырчатка Отложение Ig. G и с3 -комплемента в межклеточных пространствах и непосредственно под эпидермисом Листовидная пузырчатка Тоже Непрямая ИФ Вульгарная пузырчатка Антитела против межклеточной субстанции эпидермиса (Ig G) Вегетирующая пузырчатка То же Себорейная пузырчатка То же Листовидная пузырчатка То же
Принципы лечения
ГКС – ударная доза – 3 -6 недель постепенное медленное снижение – 4 месяца длительное (пожизненное) амбулаторное лечение Сочетание с цитостатиками и производными хлорхинолона (делагил, плаквенил) по 0, 25 г 2 раза в сутки – 7 -10 дневными курсами
• Если в течение недели не удаётся подавить образование пузырей, суточную дозу увеличивают на 1/3, а при необходимости её можно удвоить. • Распределение суточной дозы в соответствии с физиологическим ритмом секреции гормонов коры надпочечников. Максимальную дозу (обычно 2/3 суточной дозы) дают после еды в утренние часы, остальную 1/3 днем. • Терапию следует начинать в дерматологическом стационаре после всестороннего клинического обследования и верификации диагноза (биопсия пораженной кожи, иммунологические исследования). Особенно важно выяснить состояние ЖКТ, наличие хронических очагов инфекции и других сопутствующих заболеваний.
• В клинической практике применяются природные глюкокортикоиды (кортизон и гидрокортизон) и их полусинтетические производные. • Последние, в свою очередь, делятся на нефторированные (преднизон, преднизолон, метилпреднизолон) и фторированные (триамцинолон, дексаметазон и бетаметазон).
Этапы лечения • I назначение «ударных» доз, в течение 3 -6 недель (прекращение образования новых пузырей, полная эпителизация эрозий на коже) 60 -100 мг/сут. (12 -20 таб. ) • В тяжелых случаях прибегают к пульс-терапии: 1 тыс. мг преднизолона однократно в/в с последующим переходом на его пероральный прием в обычных дозах.
• II. Постепенное медленное снижение суточной дозы ГК до поддерживающей (продолжительность этапа - около 4 месяцев). На 1 таб. каждые 7 -10 дней, по достижении суточной дозы 5 -7 таб. , «темп» снижения замедляют до ½, а в последующем до ¼ таб. • III. Длительное (пожизненное) амбулаторное лечение больного поддерживающими дозами глюкокортикостероидного гормона при тщательном диспансерном наблюдении.
• Поддеживающей дозой ГК считают ту минимальную дозу, которая сдерживает у конкретного больного образование пузырей. Эта доза "оттитровывается" врачом с учетом конкретных клинических данных - до появления свежего пузыря или эрозии. У каждого больного поддерживающая доза ГК индивидуальна и обычно колеблется около 20 мг преднизолона в сутки. • К сожалению, пока нет строгих объективных критериев, помогающих определить эту дозу.
Запрещено • жирные сорта мяса, свиной, говяжий и бараний жир, насыщенные мясные бульоны и отвары, субпродукты (печень, почки, мозги, легкие, сердце), утка и гусь; • консервированная рыба в масле, морская, копченая, соленая, вяленая рыба, красная и черная икра, морепродукты; • сладости (шоколад, крем, какао, мороженое, консервированные фрукты, сладкая сырковая и творожная масса и др. );
• солёные и маринованные овощи; • алкоголь в любом виде, сладкие газированные и тонизирующие напитки (кока-кола, пепси-кола), крепкий чай, натуральный кофе; • острые соусы и приправы; • лук репчатый, лук-порей, чеснок
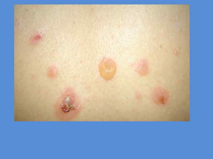
Булёзный пемфигоид Левера
Редкий хронически протекающий дерматоз Чаще у лиц 60 - 70 лет Этиология: неизвестна Патогенез аутоиммунный. АТ к белку с молекулярным весом 230 к. Д, он является составной частью БМ • Разрушение БМ, разделение эпидермиса и дермы, формирование субэпителиального пузыря • •
Клиника: • Высыпания распространённые, симметричные, чаще на боковых поверхностях шеи, в подмышечных областях, паховых складках, на сгибательной поверхности конечностей, верхней части живота. • Развитие напряжённых пузырей на видимо неизменённой коже или на фоне отёчной эритемы, выраженный зуд. • Серозное или серозно-геморрагическое содержимое • Групирруются • Эрозии, быстро эпителизируются с образованием гиперпигментации
• Истинный и ложный полиморфизм • Появление новых высыпаний сопровождается общими симптомами интоксикации • Краевой симптом Никольского слабоположительный • Слизистая оболочка поражается сравнительно редко. При этом пузыри сохраняются довольно долго
Диагностика: • Цитодиагностика: Эо, акантолитические клетки • Гистологическое исследование: субэпидермальная полость с многочисленными Эо. ПАС-положительная зона БМ расшеплена и прослеживается как в основании пузыря, так и в его покрышке. Дерма – отёк сосочков и инфильтрат, состоящий из Эо гранулоцитов.
Дифференциальный диагноз • • Вульгарная пузырчатка Дерматит Дюринга Буллёзная токсидермия Буллёзная форма полиморфной экссудативной эритемы
Лечение • ГКС – преднизолон 40 -60 мг – около 2 -3 недель; • Снижают до поддерживающей • При отсутствии появления свежих пузырей в течение 3 -6 месяцев, полная отмена
Герпетиформный дерматоз Дюринга
• хронический рецидивирующий, доброкачественный, полиморфный дерматоз, обусловленный энтеропатией при повышенной чувствительности к глютену (синдром мальабсорбции) с последующим формированием иммуноаллергических реакций.
• Частота встречаемости 1: 800. • Соотношение больных мужчин и женщин - 3: 2. • Этиопатогенез дерматоза Дюринга: особая форма целиакии с характерными кожными проявлениями
Нарушение процессов всасывания обусловлена повышеной чувствительностью к глютену - смеси белков клейковины, входящей в состав злаков, а именно, его фракции - белка глиадина Аллергия к глютену
Хроническая воспалительная реакция в тонкой кишке (атрофия ворсинок слизистой кишечника, лимфоцитарный воспалительный инфильтрат в подслизистой ткани, нарушение энзимной активности эпителия)
Образуются АТ класса Ig A (реже Ig G, Ig M) АТ к ретикулярной соединительной ткани (ретикулина) Иммунные комплексы глиадин-иммуноглобулин А достигают кожи, фиксируются в области верхушек сосочков дермы и базальной мембраны и вызывают стереотипную воспалительную реакцию
Активация системы комплемента Усиление хемотаксиса нейтрофилов и эозинофилов, миграция их в субэпителиальную зону Высвобождение ферментов гранулоцитов Отслоение эпидермиса от дермы и формирование субэпидермального пузыря.
Клиника: Истинный полиморфизм высыпаний Симметричность расположения Сильный зуд, жжение, боль Преимущественно на разгибательных поверхностях конечностей, верхней части спины, животе, ягодицах • Вначале образуются эритема, уртикарии и даже папулы • •
Клинические варианты дерматоза Дюринга Мелкопузырный Пемфигоидный
• • • Общее состояние нарушается редко; М. б. симптомы общей интоксикации; Симптом Никольского отрицательный Слизистая рта не поражается. Повышенная чувствительность к йоду: проба Ядассона: йодистый калий 20 -50%.
• Цитодиагностика: мазки-отпечатки: большое количество эозинофилов; • Гистопатология: Субэпидермально расположенные пузыри; отёк и воспалительный инфильтрат сосочкового слоя дермы, состоящий из гистиоцитов, лимфоцитов, эозинофилов и нейтрофилов; • Эозинофильно-нейтрофильные микроабсцессы на вершинах сосочков дермы.
Критерии диагностики дерматоза Дюринга • Типичная симптоматика высыпаний. • Положительная проба Ядассона – накожная компрессная проба с мазью, содержащей 20 -50% йодистый калий. • Интенсивный зуд кожи и жжение в области поражения. • Хроническое, рецидивирующее доброкачественное течение.
• Результаты цитологического и гистологического исследований. • Результат иммунологического исследования: при прямой ИФ – зернистое отложение Ig. A и С 3 фракции комплемента на вершинах сосочков дермы или зернисто-линейное их отложение в зоне базальной мембраны. • Положительный эффект от проводимой терапии ex juvantibus сульфоновыми препаратами.
Дифференциальная диагностика: • Мелкопузырный вариант: • Чесотка; почесуха взрослых; пруригинозные высыпания при Ат. Д; субкорнеальный пустулёз • Буллёзный вариант: • Вульгарная пузырчатка; пемфигоид
Терапия дерматоза Дюринга • Безглютеновая диета • Курсовое назначение препаратов сульфонового ряда (диуцифон, ДДС, димоцифон, дапсон, авлосульфон, сульфетрон, лампрен и др. ) • ГКС • Наружные противовоспалительные, противозудные, противомикробные средства.
Потенциально опасные комбинации диафенилсульфоновых препаратов с другими медикаментами: • Сульфаниламидами • Барбитуратами • Цитостатиками
Буллёзный эпидермолиз •
Благодарим за внимание!


