ПРИОБРЕТЕННЫЕ ПОРОКИ СЕРДЦА.ppt
- Количество слайдов: 77
ПРИОБРЕТЕННЫЕ ПОРОКИ СЕРДЦА
Схематическое изображение камер сердца 1 — левый желудочек сердца; 2 — митральный клапан; 3 — левое предсердие; 4 — аорта; 5 — легочный ствол; 6 — правое предсердие; 7 — трикуспидальный клапан; 8 — правый желудочек; 9 — капилляры большого круга кровообращения; 10 — капилляры малого круга кровообращения
Классификация ППС Пороки митрального клапан: Ш Недостаточность митрального клапана. Ш Митральный стеноз. Ш Митральный порок с преобладанием недостаточности. Ш Митральный порок с преобладанием стеноза. Ш Митральный порок без четкого преобладания недостаточности или стеноза.
Классификация ППС Пороки аортального клапана: Ш Недостаточность аортального клапана. Ш Стеноз устья аорты. Ш Аортальный порок с преобладанием недостаточности. Ш Аортальный порок с преобладанием стеноза. Ш Аортальный порок без четкого преобладания недостаточности или стеноза.
Классификация ППС Пороки трикуспидального клапана: Ш Ш Ш Недостаточность трикуспидального клапана. Трикуспидальный стеноз. Трикуспидальный порок с преобладанием недостаточности. Трикуспидальный порок с преобладанием стеноза. Трикуспидальный порок без четкого преобладания недостаточности или стеноза. Порок клапана легочной артерии: Ш Недостаточность клапана легочной артерии.
Митральный стеноз
Схема основных изменений сердца и гемодинамики при митральном стенозе • Повышение давления в левом предсердии и в малом круге кровообращения, значительная дилатация и гипертрофия левого предсердия, гипертрофия правого желудочка • Перекрещенной стрелкой указано место препятствия продвижению крови (стеноз) в диастолу.
По степени выраженности митрального стеноза выделяют: 1. Умеренный стеноз, диаметр отверстия более 1 см; 2. Значительный стеноз, отверстие 0, 5 -1 см; 3. Резкий стеноз - диаметр менее 0, 5 см.
В клиническом течении заболевания выделяют 5 стадий l l l 1 стадия. Полная компенсация при наличии признаков сужения. 2 стадия относительной недостаточности кровообращения в виде одышки при физической нагрузке. 3 стадия. Начинается стадия выраженной недостаточности кровообращения. Сердце увеличено, повышено венозное давление и имеется некоторое увеличение печени. 4 стадия. Конечная стадия выраженной недостаточности кровообращения. Выраженная одышка, значительное увеличение печени, периферические отеки, асцит. 5 стадия соответствует терминальной стадии нарушения кровообращения.
ЭКГ больного со стенозом митрального клапана. Признаки гипертрофии лев. предсердия, гипертрофия и перегрузка пр. желудочка.
Одномерная эхокардиограмма при митральном стенозе. Однонаправленное движение передней (ПМС) и задней (ЗМС) створок митрального клапана. МЖП – межжелудочковая перегородка.
Дилататор Дюбоста
Схематическое изображение закрытой митральной комиссуротомии с помощью дилататора Дюбоста с использованием чрезжелудочкового доступа.
Вентильные клапаны: а – Старра-Эдвардса; б – МКЧ-25; в – АКЧ-02; г – АКЧ-06; д – МКЧ-27.
Шарнирный клапан Бьерка-Шейли. Митральные клапаны с различной формой манжетки (1 -3) и аортальный клапан (4).
Двустворчатый клапан Св. Иуды . Самый распространенный в мире механический протез. Износоустойчивость - сотни лет. Выпускается с 1977 г. , а 21. 01. 2000 г. был имплантирован миллионный образец
Ксеноперикардиальный биопротез.
Удаленный митральный клапан при комбинированном ревматическом пороке. Утолщение створок, укорочение и спаяние хорд и сосочковых мышц.
Удаленный митральный клапан при вторичном инфекционном эндокардите (стрелкой показан отрыв двух хорд передней митральной створки).
Схематическое изображение камер сердца при недостаточности митрального клапана n Дилатация и гипертрофия (коричневым цветом) левых желудочка и предсердия, повышение давления крови (голубым цветом) в левом предсердии и в малом круге кровообращения; стрелкой показано направление регургитации крови в систолу.
n ЭКГ больного с недостаточностью митрального клапана. Признаки гипертрофии левых предсердия и желудочка.
Макропрепарат сердца при кальцинированном стенозе аортального клапана
Схема основных изменений сердца при аортальном стенозе Повышение давления в полости левого желудочка, выраженная гипертрофия его миокарда. Перекрещенной стрелкой указано место препятствия продвижению крови (стеноз) в систолу.
ЭКГ больного со стенозом аортального клапана. Признаки гипертрофии левого желудочка с относительной коронарной недостаточностью и блокадой левой ножки предсердножелудочкового пучка
n n Фонокардиограмма, зафиксированная в пятой точке при стенозе аортального клапана. Определяется характерный систолический шум ромбовидной формы.
Одномерная эхокардиограмма больного с кальцинированным стенозом аортального клапана. В просвете аорты определяются множественные эхосигналы от обызвествленных створок. Ао – аорта; ЛП – левое предсердие.
Одномерная эхокардиограмма больного со стенозом аортального клапана. Определяется неполное систолическое открытие створок аортального клапана (указано стрелкой). Ао – аорта; ЛП – левое предсердие.
Макропрепарат аортального клапана при недостаточности клапана ревматической этиологии. Отверстие клапана зияет, небольшие сращения по комиссурам, заслонки утолщены и укорочены.
Схема основных изменений сердца при недостаточности аортального клапана § Значительная дилатация и гипертрофия левого желудочка. § Стрелкой указано направление регургитации крови в диастолу
ЭКГ больного с недостаточностью аортального клапана. Признаки гипертрофии и дилатации левого желудочка с относительной коронарной недостаточностью.
Фонокардиограмма, зафиксированная в четвертой точке, при недостаточности аортального клапана. Регистрируется «затухающий» диастолический шум.
Одномерная эхокардиограмма больного с недостаточностью аортального клапана. § Мелкоамплитудное трепетание перед. створки митрального клапана (указано стрелкой). МК – перед. створка митрального клапана; МЖП – межжелудочковая перегородка.
Аортограмма больного с недостаточностью аортального клапана. Интенсивный сброс контрастированной крови в левый желудочек из аорты в период диастолы. Регургитация III степени.
Схематическое изображение поперечной аортотомии. Ао – аорта.
§ Аортограмма больного после протезирования аортального клапана протезом АКЧ-02 -1.
Макропрепарат сердца при митрально-аортальнотрехстворчатом пороке. Комиссуры трехстворчатого клапана сращены, отверстие клапана треугольной формы.
Схема основных изменений сердца и гемодинамики при трикуспидальном стенозе l l Повышение давления в правом предсердии и венах большого круга кровообращения, дилатация и гипертрофия правого предсердия Перекрещенной стрелкой указано место препятствия продвижению крови (стеноз) в диастолу.
Схема основных изменений сердца и гемодинамики при недостаточности трикуспидального клапана l l Дилатация и гипертрофия правых желудочка и предсердия, повышение давления в правом предсердии и венах большого круга кровообращения. Стрелкой указано направление регургитации крови в систолу.
ЭКГ больного со стенозом трехстворчатого клапана. Признаки гипертрофии правого предсердия, умеренная гипертрофия правого желудочка, замедление предсердно-желудочковой проводимости.
ЭКГ больного с недостаточностью трехстворчатого клапана. Выраженная гипертрофия и перегрузка правого желудочка.
Фонокардиограмма больного со стенозом трехстворчатого клапана. Амплитуда I тона увеличена, веретенообразный диастолический шум.
Фонокардиограмма больного с недостаточностью трехстворчатого клапана. Характерный лентовидный систолический шум.
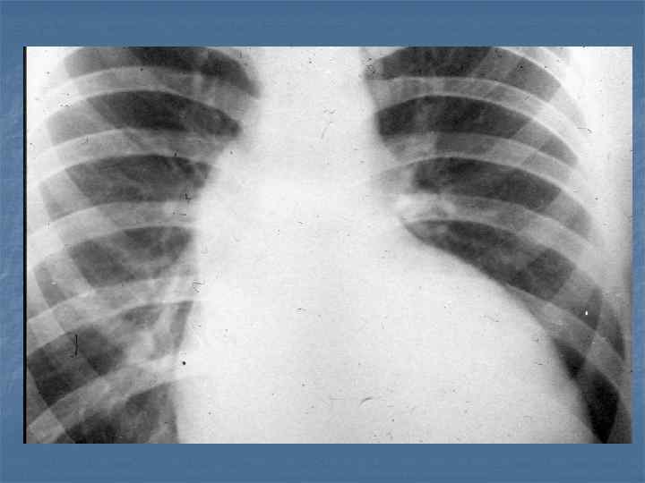
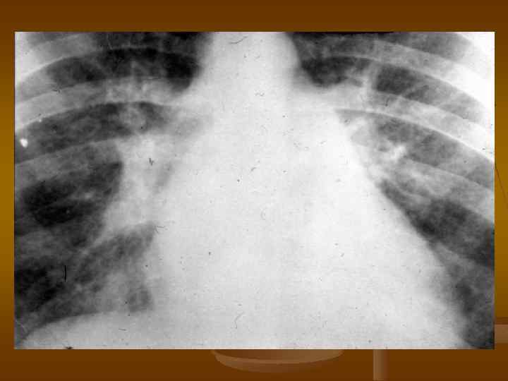
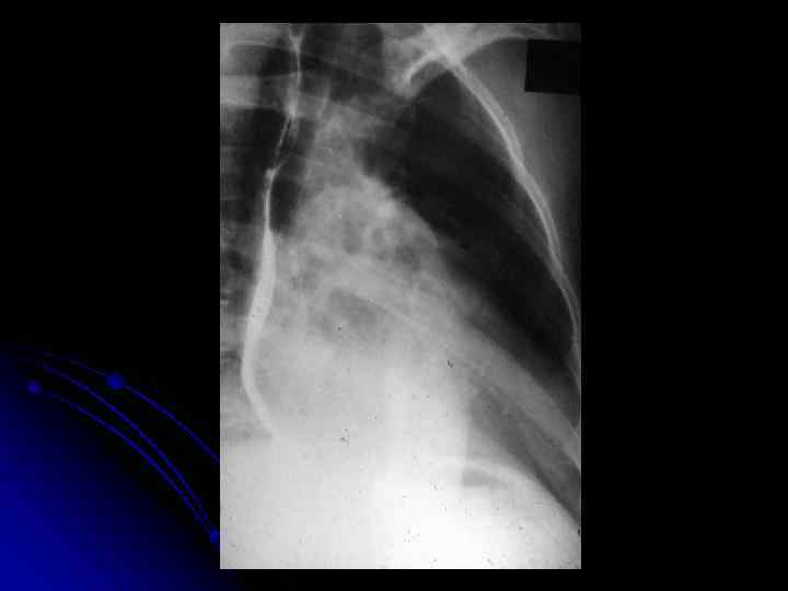
Рентгенограмма грудной клетки больного со стенозом трехстворчатого клапана во второй косой проекции.
Рентгенограмма грудной клетки больного с недостаточностью трехстворчатого клапана во второй косой проекции.
Одномерная эхокардиограмма при органическом пороке трехстворчатого клапана. Деформация диастолического наклона передней створки (ПС), патологическое переднее движение задней створки (ЗС).
Классификация приобретенных пороков трехстворчатого клапана (ИССХ им. А. Н. Бакулева АМН СССР) Ш 1) «чистый» стеноз; Ш 2) преобладающий стеноз; Ш 3) комбинированный порок; Ш 4) относительную недостаточность.
Недостаточность трехстворчатого клапана подразделяют на четыре степени: ь ь I степень - едва ощутимая обратная струя крови; II степень - обратная струя ощущается на расстоянии 2 см от клапана; I I I степень - струя регургитации определяется на расстоянии более 2 см от клапана; IV степень - широкая обратная струя крови определяется на большом протяжении полости правого предсердия.
Стенозирование правого атриовентрикулярного отверстия подразделяется на три степени в зависимости от выраженности сужения отверстия: ь ь ь Резкое — до 1, 5 см, Выраженное — 1, 5— 2, 5 см Умеренное — 2, 5— 3 см.
Схематическое изображение шовной аннулопластики трехстворчатого клапана по Кею в модификации Бойда.
Схематическое изображение шовной аннулопластики трехстворчатого клапана по методам Амосова и Де Вега.
Схематическое изображение кольцевой аннулопластики трехстворчатого клапана по методу Карпантье.
ПРИОБРЕТЕННЫЕ ПОРОКИ СЕРДЦА.ppt