Скачать презентацию Принципы интрамедулярного остеосинтеза Сотников Михаил Валерьевич Интрамедулярный Скачать презентацию Принципы интрамедулярного остеосинтеза Сотников Михаил Валерьевич Интрамедулярный

Принципы интрамедулярного остеосинтеза.pptx

  • Количество слайдов: 23

Принципы интрамедулярного остеосинтеза. Сотников Михаил Валерьевич Принципы интрамедулярного остеосинтеза. Сотников Михаил Валерьевич

Интрамедулярный остеосинтез • Остеосинтез гладкими спицами • Остеосинтез штифтом с запирающей фиксацией. Интрамедулярный остеосинтез • Остеосинтез гладкими спицами • Остеосинтез штифтом с запирающей фиксацией.

 • На сегодняшний день нет и вряд ли можно создать универсальную методику пригодную • На сегодняшний день нет и вряд ли можно создать универсальную методику пригодную для лечения всего многообразия переломов и их последствий.

 • Обеспечение стабильности костных отломков – залог успешности лечения перелома. • Обеспечение стабильности костных отломков – залог успешности лечения перелома.

Как обеспечить стабильность перелома? При реконструкции учесть и нейтрализовать все силы действующие на место Как обеспечить стабильность перелома? При реконструкции учесть и нейтрализовать все силы действующие на место перелома

Какие силы действуют на перелом? • Ротация • Сдвиг • Изгиб Какие силы действуют на перелом? • Ротация • Сдвиг • Изгиб

Какие силы действующие на перелом нейтрализует интрамедулярный фиксатор? • Превосходно противостоит изгибающим нагрузкам. Какие силы действующие на перелом нейтрализует интрамедулярный фиксатор? • Превосходно противостоит изгибающим нагрузкам.

Интрамедулярный остеосинтез • Гладкие спицы и интрамедуллярные штифты плохо сопротивляются силам ротации и скольжения. Интрамедулярный остеосинтез • Гладкие спицы и интрамедуллярные штифты плохо сопротивляются силам ротации и скольжения.

Интрамедулярный остеосинтез • Метод применяется у мелких и средних животных при стабильных переломах. • Интрамедулярный остеосинтез • Метод применяется у мелких и средних животных при стабильных переломах. • Не используется при переломах бедра у крупных собак. • Не используется при переломе лучевой кости.

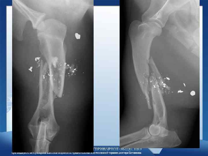
Интрамедулярный остеосинтез • Оскольчатые переломы - прямое противопоказание! • Просто, не всегда правильно! Интрамедулярный остеосинтез • Оскольчатые переломы - прямое противопоказание! • Просто, не всегда правильно!

Интрамедулярный остеосинтез • Считается низкотравматичной методикой и вызывает минимальные нарушения кровообращения. Интрамедулярный остеосинтез • Считается низкотравматичной методикой и вызывает минимальные нарушения кровообращения.

Интрамедулярный остеосинтез • Интрамедулярный фиксатор должен занимать примерно 70% просвета канала, если используется как Интрамедулярный остеосинтез • Интрамедулярный фиксатор должен занимать примерно 70% просвета канала, если используется как единственный метод.

Интрамедулярный остеосинтез • Допустимо как нормоградное, так и ретроградное (в проксимальный фрагмент) введение спиц. Интрамедулярный остеосинтез • Допустимо как нормоградное, так и ретроградное (в проксимальный фрагмент) введение спиц. • Не рекомендуется ретроградное введение при переломе большеберцовой кости.

Гладкие спицы Гладкие спицы

Гладкие спицы Гладкие спицы

Пучок гладких спиц Пучок гладких спиц

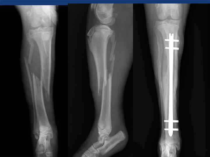
Интрамедулярный штифт Интрамедулярный штифт

Не надо так делать! Не надо так делать!

Интрамедулярный остеосинтез • Часто сочетается с другими методами фиксации. Интрамедулярный остеосинтез • Часто сочетается с другими методами фиксации.

Интрамедулярный остеосинтез • Фиксация перелома интрамедулярным штифтом с запирающим винтом. – Такой фиксатор успешно Интрамедулярный остеосинтез • Фиксация перелома интрамедулярным штифтом с запирающим винтом. – Такой фиксатор успешно противостоит всем силам действующим на перелом.