Допплер-апрель 2011.ppt
- Количество слайдов: 72
Принципы анализа допплеровских спектрограмм потоков крови
Эффект Допплера Объект неподвижен Движение к датчику Движение от датчика
Допплеровское исследование • Импульсно-волновой (PW) • Режим высокой частоты повторения импульсов (HPRF) • Непрерывноволновой (CW) • Цветовой М-режим • Энергетический • Тканевой
Импульсноволновой допплер (Pulsed wave, PW)
Контрольный объем (sample volume) – место исследования кровотока. Длина – 2 -20 мм.
Pulsed Wave Doppler
Pulsed Wave Doppler
Pulsed Wave Doppler Достоинства метода: • Возможно регистрировать кровоток в любой камере сердца или магистральном сосуде • Регистрация потока на строго определенной глубине → точная локализация потока • Место исследования – контрольный объем
Pulsed Wave Doppler. Недостатки метода: • Предельная скорость, которую можно измерить, определяется пределом Найквиста → возможно искажение спектра (aliasing) • Невозможно зарегистрировать высокоскоростные потоки • Зависимость оценки спектра скоростей от угла между осью УЗ луча и направлением кровотока
Непрерывноволновой допплер (Continuous wave, СW)
Непрерывно-волновое исследование (Continuous Wave Doppler, CW)
Continuous Wave Doppler • Можно измерить любую скорость кровотока (нет предела Найквиста) НО: • Нет точной локализации места измерения скорости (контрольного объема)
Continuous Wave Doppler
PW CW
Continuous Wave Doppler
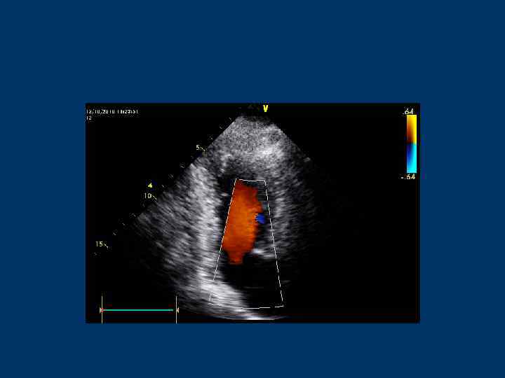
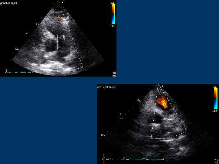
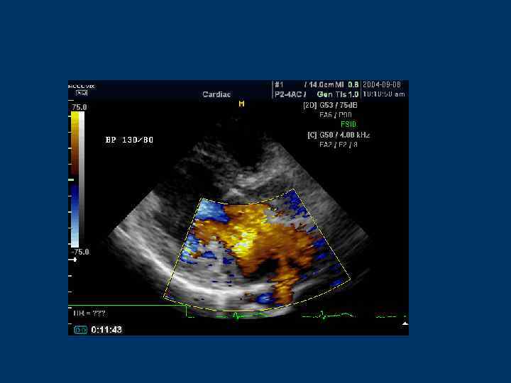
Цветное допплеровское сканирование (Color Doppler)
Color Doppler
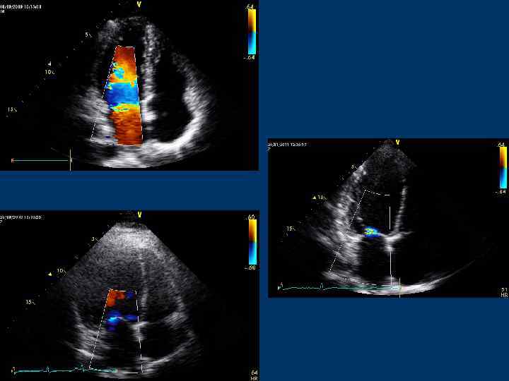
Трансмитральный диастолический поток Позиции: – Парастернальная позиция по длинной оси ЛЖ – Апикальная 4 -камерная – Апикальная 5 -камерная – Апикальная 2 -камерная – Апикальная 3 -камерная – Субксифоидальная
Трансмитральный кровоток
Трансмитральный поток
Трансмитральный поток
Трансмитральный кровоток
Трансмитральный диастолический поток Контрольный объем располагают в ЛЖ на уровне концов створок МК или в области фиброзного АВ кольца
Трансмитральный диастолический поток Скорость пика Е – 0, 9 м/с (0, 6 -1, 3) Скорость, пика А – 0, 2 -0, 4 м/с Е/А = 1, 6 -1, 7 (до 2)
Трансмитральный поток
Транстрикуспидальный диастолический поток • Парастернальная позиция по короткой оси ЛЖ на уровне основания сердца • Позиция длинной оси ПЖ • Апикальная 4 -камерная позиция • Апикальная 5 -камерная позиция • Субксифоидальная позиция
Транстрикуспидальный поток
Транстрикуспидальный диастолический поток Контрольный объем располагают над створками ТК или в области правого фиброзного АВ кольца
Транстрикуспидальный поток Скорость пика Е – 0, 5 м/с (0, 3 -0, 7 )
Транстрикуспидальный поток
Аортальный клапан и выносящий тракт ЛЖ (LVOT) • Парастернальная позиция по длинной оси ЛЖ • Апикальная 5 -камерная позиция • Апикальная 3 -камерная позиция
Трансаортальный поток
Выносящий тракт ЛЖ (LVOT): Контрольный объем – в выносящем тракте ЛЖ под створками АК Аортальный клапан: Контрольный объем – между створками АК или в аорте не ниже 1 см
Скорость потока через АК - 1, 35 м/с (1, 0 -1, 7) Скорость потока в ВТЛЖ – 0, 9 м/с (0, 7 -1, 1)
Трансаортальный поток
Выносящий тракт ЛЖ Скорость потока 0, 8 -1, 2 м/с
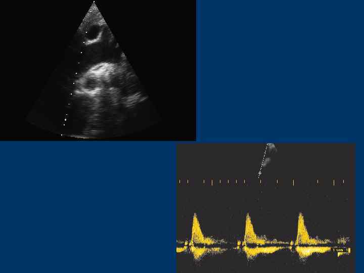
Выносящий тракт ПЖ (RVOT) • Парастернальная позиция по короткой оси • Субкостальная позиция по короткой оси
Выносящий тракт ПЖ
Выносящий тракт ПЖ (RVOT) Контрольный объем располагают в ПЖ под створками клапана ЛА
Выносящий тракт ПЖ (RVOT) Скорость потока – 0, 75 (0, 6 -0, 9 м/с
Поток в аорте
Поток в восходящей аорте Контрольный объем – в восходящем отделе АО над створками АК
Поток в восходящей аорте Скорость потока – 1, 2 -1, 8 м/с.
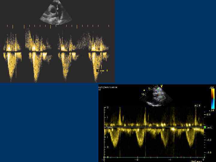
Поток в нисходящей аорте Контрольный объем – в точке перехода дуги АО в нисходящий отдел, затем вниз
Поток в нисходящей аорте
Поток в нисходящей аорте (PW)
Кровоток в легочных венах
Кровоток в легочных венах • 4 -камерная верхушечная позиция • 2 -камерная верхушечная позиция Контрольный объем – в 0, 5 -1 см от устья впадения легочных вен в ЛП
Кровоток в легочных венах
Кровоток в легочных венах
Нижняя полная вена
Кровоток в печеночных венах • Субкостальная позиция Контрольный объем – в печеночной вене, в месте ее впадение в нижнюю полую вену
Кровоток в печеночных венах
Основные понятия, используемые при проведении допплеровского исследования • АТ (acceleration time) - время ускорения потока определяется от начала до пика кривой, мс • DТ (deceleration time) - время замедления - от пика до окончания кривой, мс • Velocity – скорость потока (м/с, см/с) – максимальная (peak, max) – средняя (mean) • ЕТ (ejection time) - период изгнания - от начала до окончания кривой, мс • VTI (velocity time integral) – площадь под кривой TVI= Velmean х ET • IVRT – время изоволюметрического расслабления • IVСT – время изоволюметрического сокращения


