Скачать презентацию Практическое занятие Промежуточный мозг таламус Структурно-функциональная классификация ядер Скачать презентацию Практическое занятие Промежуточный мозг таламус Структурно-функциональная классификация ядер

Домашнее задание 4 Чечётина Дарья.pptx

  • Количество слайдов: 7

Практическое занятие Промежуточный мозг: таламус Структурно-функциональная классификация ядер таламуса Восходящие сенсорные пути: соматосенсорные, слуховой, Практическое занятие Промежуточный мозг: таламус Структурно-функциональная классификация ядер таламуса Восходящие сенсорные пути: соматосенсорные, слуховой, зрительный

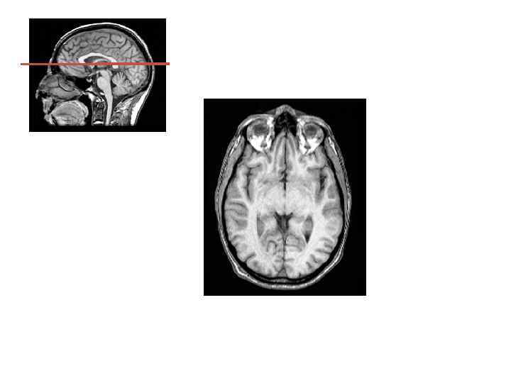
Задание 1. На горизонтальном МРТ и анатомическом срезе отметить таламус и разметить ядра передней, Задание 1. На горизонтальном МРТ и анатомическом срезе отметить таламус и разметить ядра передней, задней, латеральной и медиальной групп таламуса (Занятие 3, задание 3). Отметить уровень среза на срединной сагиттальной МР томограмме. Передняя группа ядер Подушка Медиальное дорсальное Вентробазальный комплекс

Таламус Дорсальные меодиальные ядро Переднее ядро Вентральное переднее и латеральное ядро Вентральные задние ядро Таламус Дорсальные меодиальные ядро Переднее ядро Вентральное переднее и латеральное ядро Вентральные задние ядро

Задание 2. На двух фронтальных анатомических срезах на уровне промежуточного мозга, разметить ядра таламуса Задание 2. На двух фронтальных анатомических срезах на уровне промежуточного мозга, разметить ядра таламуса (см. схему и таблицу ядер таламуса). Отметить уровни фронтальных срезов на срединной сагиттальной МР томограмме. Подобрать МРТ срезы. Подушка Латеральное коленчатое тело Медиальное коленчатое тело медиальное дорсальное ядро таламуса (MD) Вентральное переднее и латеральное ядра таламуса (VA, VL) Третий желудочек

Латеральное коленчатое тело Медиальное коленчатое тело Латеральное коленчатое тело Медиальное коленчатое тело

Медиальное дорсальное ядро Вентролатеральная группа ядер Медиальное дорсальное ядро Вентролатеральная группа ядер